JavaScript is disabled in your browser. Please enable JavaScript to view this website.
AB246338

Anti-Xanthine Oxidase antibody [EPR4605] - BSA and Azide free

Be the first to review this product! Submit a review

|

(1 Publication)

Rabbit Recombinant Monoclonal Xanthine Oxidase antibody. Carrier free. Suitable for IHC-P, WB and reacts with Human, Mouse, Rat samples. Cited in 1 publication.

View Alternative Names

XDHA, XDH, Xanthine dehydrogenase/oxidase

2 Images
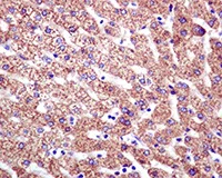
Immunohistochemistry (Formalin/PFA-fixed paraffin-embedded sections) - Anti-Xanthine Oxidase antibody [EPR4605] - BSA and Azide free (AB246338)
  • IHC-P

Lab

Immunohistochemistry (Formalin/PFA-fixed paraffin-embedded sections) - Anti-Xanthine Oxidase antibody [EPR4605] - BSA and Azide free (AB246338)

Immunohistochemistry (Formalin/PFA-fixed paraffin-embedded sections) analysis of human liver tissue sections labeling Xanthine Oxidase with purified ab109235 at 1/100 dilution (2.3 µg/mL). Heat mediated antigen retrieval was performed using ab93684 (Tris/EDTA buffer, pH 9.0). ImmunoHistoProbe one step HRP Polymer (ready to use) was used as the secondary antibody. Negative control : PBS instead of the primary antibody. Hematoxylin was used as a counterstain.
This data was developed using the same antibody clone in a different buffer formulation containing PBS, BSA, glycerol, and sodium azide (ab109235)

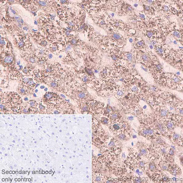
Immunohistochemistry (Formalin/PFA-fixed paraffin-embedded sections) - Anti-Xanthine Oxidase antibody [EPR4605] - BSA and Azide free (AB246338)
  • IHC-P

Unknown

Immunohistochemistry (Formalin/PFA-fixed paraffin-embedded sections) - Anti-Xanthine Oxidase antibody [EPR4605] - BSA and Azide free (AB246338)

Immunohistochemical analysis of Xanthine Oxidase expression in paraffin-embedded Human liver tissue using ab109235 (unpurified) at 1/100 dilution. Heat mediated antigen retrieval was performed with citrate buffer pH 6 before commencing with IHC staining protocol.

This data was developed using the same antibody clone in a different buffer formulation containing PBS, BSA, glycerol, and sodium azide (ab109235).

  • Unconjugated

    Anti-Xanthine Oxidase antibody [EPR4605]

  • 519 Alexa Fluor® 488

    Alexa Fluor® 488 Anti-Xanthine Oxidase antibody [EPR4605]

  • 578 PE

    PE Anti-Xanthine Oxidase antibody [EPR4605]

  • 565 Alexa Fluor® 555

    Alexa Fluor® 555 Anti-Xanthine Oxidase antibody [EPR4605]

  • 660 APC

    APC Anti-Xanthine Oxidase antibody [EPR4605]

  • 665 Alexa Fluor® 647

    Alexa Fluor® 647 Anti-Xanthine Oxidase antibody [EPR4605]

  • 617 Alexa Fluor® 594

    Alexa Fluor® 594 Anti-Xanthine Oxidase antibody [EPR4605]

  • 775 Alexa Fluor® 750

    Alexa Fluor® 750 Anti-Xanthine Oxidase antibody [EPR4605]

Key facts

Host species

Rabbit

Clonality

Monoclonal

Clone number

EPR4605

Isotype

IgG

Carrier free

Yes

Reacts with

Mouse, Rat, Human

Applications

WB, IHC-P

applications

Immunogen

The exact immunogen used to generate this antibody is proprietary information.

Specificity

The mouse and rat recommendation is based on the WB results. We do not guarantee IHC-P for mouse and rat.

Reactivity data

{ "title": "Reactivity Data", "filters": { "stats": ["", "Species", "Dilution Info", "Notes"], "tabs": { "all-applications": {"fullname" : "All Applications", "shortname": "All Applications"}, "IHCP" : {"fullname" : "Immunohistochemistry (Formalin/PFA-fixed paraffin-embedded sections)", "shortname":"IHC-P"}, "WB" : {"fullname" : "Western blot", "shortname":"WB"} }, "product-promise": { "all": "all", "testedAndGuaranteed": "tested", "guaranteed": "expected", "predicted": "predicted", "notRecommended": "not-recommended" } }, "values": { "Human": { "IHCP-species-checked": "testedAndGuaranteed", "IHCP-species-dilution-info": "", "IHCP-species-notes": "<p>The mouse and rat recommendation is based on the WB results. We do not guarantee IHC-P for mouse and rat.</p>", "WB-species-checked": "guaranteed", "WB-species-dilution-info": "", "WB-species-notes": "<p></p>" }, "Mouse": { "IHCP-species-checked": "predicted", "IHCP-species-dilution-info": "", "IHCP-species-notes": "", "WB-species-checked": "guaranteed", "WB-species-dilution-info": "", "WB-species-notes": "<p></p>" }, "Rat": { "IHCP-species-checked": "predicted", "IHCP-species-dilution-info": "", "IHCP-species-notes": "", "WB-species-checked": "guaranteed", "WB-species-dilution-info": "", "WB-species-notes": "<p></p>" } } }

Product details

ab246338 is the carrier-free version of ab109235.

Patented technology
Our RabMAb® technology is a patented hybridoma-based technology for making rabbit monoclonal antibodies. For details on our patents, please refer to RabMAb® patents.

What are the advantages of a recombinant monoclonal antibody?
This product is a recombinant monoclonal antibody, which offers several advantages including:

  • - High batch-to-batch consistency and reproducibility
  • - Improved sensitivity and specificity
  • - Long-term security of supply
  • - Animal-free batch production

For more information, read more on recombinant antibodies.

Conjugation ready
Our carrier-free antibodies are typically supplied in a PBS-only formulation, purified and free of BSA, sodium azide and glycerol. This conjugation-ready format is designed for use with fluorochromes, metal isotopes, oligonucleotides, and enzymes, which makes them ideal for antibody labelling, functional and cell-based assays, flow-based assays (e.g. mass cytometry) and Multiplex Imaging applications.

Use our conjugation kits for antibody conjugates that are ready-to-use in as little as 20 minutes with 1 minute hands-on-time and 100% antibody recovery: available for fluorescent dyes, HRP, biotin and gold.

Compatibility
This product is compatible with the Maxpar® Antibody Labeling Kit from Fluidigm, without the need for antibody preparation. Maxpar® is a trademark of Fluidigm Canada Inc.

Properties and storage information

Form
Liquid
Purification technique
Affinity purification Protein A
Storage buffer
pH: 7.2 - 7.4 Constituents: PBS
Shipped at conditions
Blue Ice
Appropriate short-term storage conditions
+4°C
Appropriate long-term storage conditions
+4°C
Storage information
Do Not Freeze

Supplementary information

This supplementary information is collated from multiple sources and compiled automatically.

Xanthine oxidase also known as XO is an enzyme often referred to as xanthine dehydrogenase/oxidase. It has an important role in purine metabolism converting hypoxanthine to xanthine and then xanthine to uric acid. This enzyme is an aldehyde oxidase and belongs to the family of molybdenum-containing enzymes. Xanthine oxidase has a molecular weight of approximately 290 kDa. It is expressed in various tissues predominantly in the liver and small intestine with lower levels in kidney and lung tissues.
Biological function summary

Xanthine oxidase has a significant role in the production of reactive oxygen species such as superoxide during the process of purine catabolism. In its dehydrogenase form XO can interconvert into an oxidase form engaging more readily in the electron transfer that leads to reactive oxygen species generation. Xanthine oxidase is not a part of any larger complex but functions as a dimer with two identical subunits that facilitate its metabolic roles.

Pathways

The enzyme is pivotal in the purine degradation pathway which is essential for the breakdown and eventual excretion of purine compounds as uric acid. This pathway connects it to enzymes like hypoxanthine-guanine phosphoribosyltransferase (HGPRT) which performs salvage reactions to recycle purines. Additionally xanthine oxidase's role in reactive oxygen species production links it to oxidative stress pathways impacting proteins such as superoxide dismutase which works to detoxify reactive intermediates.

Xanthine oxidase is closely implicated in conditions like gout and hyperuricemia due to its role in uric acid production. Elevated activity of XO can lead to excessive uric acid accumulation contributing to these disorders. Furthermore XO is associated with cardiovascular diseases as the generated reactive oxygen species can foster endothelial dysfunction. The enzyme’s activity is intertwined with systems involving proteins like endothelial nitric oxide synthase where oxidative stress affects nitric oxide availability and vascular health.

Product protocols

For this product, it's our understanding that no specific protocols are required. You can visit:

Target data

Key enzyme in purine degradation. Catalyzes the oxidation of hypoxanthine to xanthine. Catalyzes the oxidation of xanthine to uric acid. Contributes to the generation of reactive oxygen species. Has also low oxidase activity towards aldehydes (in vitro).
See full target information XDH

Publications (1)

Recent publications for all applications. Explore the full list and refine your search

Molecular therapy. Nucleic acids 33:698-712 PubMed37662970

2023

Selection of a novel cell-internalizing RNA aptamer specific for CD22 antigen in B cell acute lymphoblastic leukemia.

Applications

Unspecified application

Species

Unspecified reactive species

Dario Ruiz-Ciancio,Li-Hsien Lin,Suresh Veeramani,Maya N Barros,Diego Sanchez,Ary Lautaro Di Bartolo,Diego Masone,Paloma H Giangrande,María Belén Mestre,William H Thiel
View all publications

Product promise

We are committed to supporting your work with high-quality reagents, and we're here for you every step of the way. In the unlikely event that one of our products does not perform as expected, you're protected by our Product Promise.
For full details, please see our Terms & Conditions

Please note: All products are 'FOR RESEARCH USE ONLY. NOT FOR USE IN DIAGNOSTIC OR THERAPEUTIC PROCEDURES'.

For licensing inquiries, please contact partnerships@abcam.com