JavaScript is disabled in your browser. Please enable JavaScript to view this website.
AB252780

Anti-XBP1 antibody [143F] - BSA and Azide free

Be the first to review this product! Submit a review

|

(0 Publication)

Mouse Recombinant Monoclonal XBP1 antibody. Carrier free. Suitable for WB, ICC/IF, IHC-P and reacts with Human samples.

View Alternative Names

TREB5, XBP2, XBP1, X-box-binding protein 1, XBP-1, Tax-responsive element-binding protein 5, TREB-5

4 Images
Immunocytochemistry/ Immunofluorescence - Anti-XBP1 antibody [143F] - BSA and Azide free (AB252780)
  • ICC/IF

Lab

Immunocytochemistry/ Immunofluorescence - Anti-XBP1 antibody [143F] - BSA and Azide free (AB252780)

Immunofluorescent analysis of 4% paraformaldehyde-fixed, 0.1% Triton X-100 permeabilized Huh7 (human hepatocellular carcinoma epithelial cell) cells labeling XBP1 with ab241571 at 11.66 μg/ml, followed by ab150077 AlexaFluor®488 Goat anti-Rabbit secondary antibody at 1/1000 dilution (green). Confocal image showing increased signal staining in Huh7 cells treated with thapsigargin (300 nM) for 18 hours. Tubulin is detected with ab195889 Anti-alpha Tubulin antibody [DM1A] - Microtubule Marker (Alexa Fluor® 594) at 1/200 dilution (red). The nuclear counter stain is DAPI (blue).

Secondary antibody only control : Used PBS instead of primary antibody, followed by ab150077 AlexaFluor®488 Goat anti-Rabbit secondary antibody at 1/1000 dilution.

This data was developed using the same antibody clone in a different buffer formulation containing PBS, BSA, glycerol and azide (ab241571).

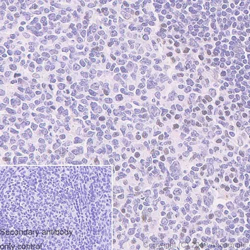
Immunohistochemistry (Formalin/PFA-fixed paraffin-embedded sections) - Anti-XBP1 antibody [143F] - BSA and Azide free (AB252780)
  • IHC-P

Lab

Immunohistochemistry (Formalin/PFA-fixed paraffin-embedded sections) - Anti-XBP1 antibody [143F] - BSA and Azide free (AB252780)

Immunohistochemical analysis of paraffin-embedded human tonsil tissue labeling XBP1 with ab241571 at 1.166 μg/ml, followed by Goat Anti-Mouse IgG H&L (HRP polymer) (ab214879) ready to use. Nuclear staining on the human tonsil is observed. Counter stained with hematoxylin.

Secondary antibody only control : Used PBS instead of primary antibody, secondary antibody is Goat Anti-Mouse IgG H&L (HRP polymer) (ab214879) ready to use.

Heat mediated antigen retrieval using ab93684 (Tris/EDTA buffer, pH 9.0).

This data was developed using the same antibody clone in a different buffer formulation containing PBS, BSA, glycerol and azide (ab241571).

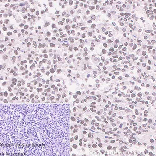
Immunohistochemistry (Formalin/PFA-fixed paraffin-embedded sections) - Anti-XBP1 antibody [143F] - BSA and Azide free (AB252780)
  • IHC-P

Lab

Immunohistochemistry (Formalin/PFA-fixed paraffin-embedded sections) - Anti-XBP1 antibody [143F] - BSA and Azide free (AB252780)

Immunohistochemical analysis of paraffin-embedded human non-Hodgkin's lymphoma tissue labeling XBP1 with ab241571 at 1.166 μg/ml, followed by Goat Anti-Mouse IgG H&L (HRP polymer) (ab214879) ready to use. Nuclear staining on the non-Hodgkin's lymphoma is observed. Counter stained with hematoxylin.

Secondary antibody only control : Used PBS instead of primary antibody, secondary antibody is Goat Anti-Mouse IgG H&L (HRP polymer) (ab214879) ready to use.

Heat mediated antigen retrieval using ab93684 (Tris/EDTA buffer, pH 9.0).

This data was developed using the same antibody clone in a different buffer formulation containing PBS, BSA, glycerol and azide (ab241571).

Western blot - Anti-XBP1 antibody [143F] - BSA and Azide free (AB252780)
  • WB

Lab

Western blot - Anti-XBP1 antibody [143F] - BSA and Azide free (AB252780)

Blocking and dilution buffer : 5% NFDM/TBST.

Exposure time : 3 minutes.

This data was developed using the same antibody clone in a different buffer formulation containing PBS, BSA, glycerol and azide (ab241571).

All lanes:

Western blot - Anti-XBP1 antibody [143F] (<a href='/en-us/products/primary-antibodies/xbp1-antibody-143f-ab241571'>ab241571</a>) at 1/1000 dilution

Lane 1:

Huh7+ thapsigargin (300nM 18h) (-) lysate at 20 µg

Lane 2:

Huh7+ thapsigargin (300nM 18h) (+) lysate at 20 µg

Secondary

All lanes:

Goat Anti-Mouse IgG, (H+L), Peroxidase conjugated at 1/10000 dilution

Predicted band size: 29 kDa

Observed band size: 54 kDa

false

Key facts

Host species

Mouse

Clonality

Monoclonal

Clone number

143F

Isotype

IgG2a

Carrier free

Yes

Reacts with

Human

Applications

ICC/IF, WB, IHC-P

applications

Immunogen

The exact immunogen used to generate this antibody is proprietary information.

Specificity

This antibody specifically recognizes XBP1-s but not XBP1-u.

Reactivity data

{ "title": "Reactivity Data", "filters": { "stats": ["", "Species", "Dilution Info", "Notes"], "tabs": { "all-applications": {"fullname" : "All Applications", "shortname": "All Applications"}, "IP" : {"fullname" : "Immunoprecipitation", "shortname":"IP"}, "ChIP" : {"fullname" : "ChIP", "shortname":"ChIP"}, "FlowCyt" : {"fullname" : "Flow Cytometry", "shortname":"Flow Cyt"}, "WB" : {"fullname" : "Western blot", "shortname":"WB"}, "ICCIF" : {"fullname" : "Immunocytochemistry/ Immunofluorescence", "shortname":"ICC/IF"}, "IHCP" : {"fullname" : "Immunohistochemistry (Formalin/PFA-fixed paraffin-embedded sections)", "shortname":"IHC-P"} }, "product-promise": { "all": "all", "testedAndGuaranteed": "tested", "guaranteed": "expected", "predicted": "predicted", "notRecommended": "not-recommended" } }, "values": { "Human": { "IP-species-checked": "notRecommended", "IP-species-dilution-info": "", "IP-species-notes": "<p></p>", "ChIP-species-checked": "notRecommended", "ChIP-species-dilution-info": "", "ChIP-species-notes": "<p></p>", "FlowCyt-species-checked": "notRecommended", "FlowCyt-species-dilution-info": "", "FlowCyt-species-notes": "<p></p>", "WB-species-checked": "testedAndGuaranteed", "WB-species-dilution-info": "0.583 µg/mL", "WB-species-notes": "<p></p>", "ICCIF-species-checked": "testedAndGuaranteed", "ICCIF-species-dilution-info": "11.66 µg/mL", "ICCIF-species-notes": "<p></p>", "IHCP-species-checked": "testedAndGuaranteed", "IHCP-species-dilution-info": "1.166 µg/mL", "IHCP-species-notes": "<p></p>" } } }

Product details

ab252780 is the carrier-free version of ab241571.

What are the advantages of a recombinant monoclonal antibody?
This product is a recombinant monoclonal antibody, which offers several advantages including:

  • - High batch-to-batch consistency and reproducibility
  • - Improved sensitivity and specificity
  • - Long-term security of supply
  • - Animal-free batch production

For more information, read more on recombinant antibodies.

Want a custom formulation?
This antibody clone is manufactured by Abcam. If you require a custom buffer formulation or conjugation for your experiments, please contact orders@abcam.com

Conjugation ready
Our carrier-free antibodies are typically supplied in a PBS-only formulation, purified and free of BSA, sodium azide and glycerol. This conjugation-ready format is designed for use with fluorochromes, metal isotopes, oligonucleotides, and enzymes, which makes them ideal for antibody labelling, functional and cell-based assays, flow-based assays (e.g. mass cytometry) and Multiplex Imaging applications.

Use our conjugation kits for antibody conjugates that are ready-to-use in as little as 20 minutes with 1 minute hands-on-time and 100% antibody recovery: available for fluorescent dyes, HRP, biotin and gold.

Compatibility
This product is compatible with the Maxpar® Antibody Labeling Kit from Fluidigm, without the need for antibody preparation. Maxpar® is a trademark of Fluidigm Canada Inc.

Properties and storage information

Form
Liquid
Purification technique
Affinity purification Protein A
Storage buffer
pH: 7.2 - 7.4 Constituents: PBS
Shipped at conditions
Blue Ice
Appropriate short-term storage conditions
+4°C
Appropriate long-term storage conditions
+4°C
Storage information
Do Not Freeze

Supplementary information

This supplementary information is collated from multiple sources and compiled automatically.

XBP1 also known as X-box binding protein 1 is a transcription factor with a mass of approximately 33 kDa. It is mainly expressed in the endoplasmic reticulum of cells where it plays a significant role in regulating the unfolded protein response (UPR). XBP1 exists in two forms: an unspliced form (XBP1u) and a spliced form (XBP1s). The splicing of XBP1 mRNA is mediated by the endoribonuclease IRE1 and is a response to endoplasmic reticulum stress. This process results in a shift of the reading frame which leads to the production of a new functional transcription factor.
Biological function summary

The action of XBP1 participates in processes critical for cell survival under stress conditions particularly in the UPR. It activates genes involved in protein folding secretion and degradation to alleviate stress within the endoplasmic reticulum. XBP1 acts as part of the larger mechanism that ensures cellular homeostasis by maintaining protein quality control. It forms a complex network with other transcription factors ensuring an integrated response to stress stimuli in various tissues including pancreatic beta cells and immune cells.

Pathways

XBP1 functions intricately within the UPR and is linked to the insulin signaling pathway. It works alongside proteins such as ATF6 and PERK to coordinate the cellular response to endoplasmic reticulum stress and sustain essential cellular processes. The IRE1-XBP1 pathway represents one arm of the UPR and shows interaction with C/EBP homologous protein (CHOP) as part of the stress signaling pathways modulating apoptosis if adaptation fails. XBP1 also influences lipid metabolism and cellular differentiation through its pathway connections impacting wide-ranging physiological processes.

Dysfunctions of XBP1 have associations with metabolic diseases and multiple myeloma. Altered XBP1 activity links to diabetes due to its role in protein homeostasis in pancreatic beta cells involving modulation of insulin secretion and sensitivity. In cancer particularly multiple myeloma XBP1 interacts with proteins such as B-cell maturation antigen (BCMA) influencing cell survival and proliferation. Targeting the XBP1 signaling axis shows potential as a therapeutic strategy for managing disorders resulting from dysregulated protein folding and stress responses.

Product protocols

For this product, it's our understanding that no specific protocols are required. You can visit:

Target data

Functions as a transcription factor during endoplasmic reticulum (ER) stress by regulating the unfolded protein response (UPR). Required for cardiac myogenesis and hepatogenesis during embryonic development, and the development of secretory tissues such as exocrine pancreas and salivary gland (By similarity). Involved in terminal differentiation of B lymphocytes to plasma cells and production of immunoglobulins (PubMed : 11460154). Modulates the cellular response to ER stress in a PIK3R-dependent manner (PubMed : 20348923). Binds to the cis-acting X box present in the promoter regions of major histocompatibility complex class II genes (PubMed : 8349596). Involved in VEGF-induced endothelial cell (EC) proliferation and retinal blood vessel formation during embryonic development but also for angiogenesis in adult tissues under ischemic conditions. Functions also as a major regulator of the UPR in obesity-induced insulin resistance and type 2 diabetes for the management of obesity and diabetes prevention (By similarity).. Isoform 1. Plays a role in the unconventional cytoplasmic splicing processing of its own mRNA triggered by the endoplasmic reticulum (ER) transmembrane endoribonuclease ERN1 : upon ER stress, the emerging XBP1 polypeptide chain, as part of a mRNA-ribosome-nascent chain (R-RNC) complex, cotranslationally recruits its own unprocessed mRNA through transient docking to the ER membrane and translational pausing, therefore facilitating efficient IRE1-mediated XBP1 mRNA isoform 2 production (PubMed : 19394296, PubMed : 21233347). In endothelial cells (EC), associated with KDR, promotes IRE1-mediated XBP1 mRNA isoform 2 productions in a vascular endothelial growth factor (VEGF)-dependent manner, leading to EC proliferation and angiogenesis (PubMed : 23529610). Functions as a negative feed-back regulator of the potent transcription factor XBP1 isoform 2 protein levels through proteasome-mediated degradation, thus preventing the constitutive activation of the ER stress response signaling pathway (PubMed : 16461360, PubMed : 25239945). Inhibits the transactivation activity of XBP1 isoform 2 in myeloma cells (By similarity). Acts as a weak transcriptional factor (PubMed : 8657566). Together with HDAC3, contributes to the activation of NFE2L2-mediated HMOX1 transcription factor gene expression in a PI(3)K/mTORC2/Akt-dependent signaling pathway leading to EC survival under disturbed flow/oxidative stress (PubMed : 25190803). Binds to the ER stress response element (ERSE) upon ER stress (PubMed : 11779464). Binds to the consensus 5'-GATGACGTG[TG]N(3)[AT]T-3' sequence related to cAMP responsive element (CRE)-like sequences (PubMed : 8657566). Binds the Tax-responsive element (TRE) present in the long terminal repeat (LTR) of T-cell leukemia virus type 1 (HTLV-I) and to the TPA response elements (TRE) (PubMed : 1903538, PubMed : 2196176, PubMed : 2321018, PubMed : 8657566). Associates preferentially to the HDAC3 gene promoter region in a static flow-dependent manner (PubMed : 25190803). Binds to the CDH5/VE-cadherin gene promoter region (PubMed : 19416856).. Isoform 2. Functions as a stress-inducible potent transcriptional activator during endoplasmic reticulum (ER) stress by inducing unfolded protein response (UPR) target genes via binding to the UPR element (UPRE). Up-regulates target genes encoding ER chaperones and ER-associated degradation (ERAD) components to enhance the capacity of productive folding and degradation mechanism, respectively, in order to maintain the homeostasis of the ER under ER stress (PubMed : 11779464, PubMed : 25239945). Plays a role in the production of immunoglobulins and interleukin-6 in the presence of stimuli required for plasma cell differentiation (By similarity). Induces phospholipid biosynthesis and ER expansion (PubMed : 15466483). Contributes to the VEGF-induced endothelial cell (EC) growth and proliferation in a Akt/GSK-dependent and/or -independent signaling pathway, respectively, leading to beta-catenin nuclear translocation and E2F2 gene expression (PubMed : 23529610). Promotes umbilical vein EC apoptosis and atherosclerotisis development in a caspase-dependent signaling pathway, and contributes to VEGF-induced EC proliferation and angiogenesis in adult tissues under ischemic conditions (PubMed : 19416856, PubMed : 23529610). Involved in the regulation of endostatin-induced autophagy in EC through BECN1 transcriptional activation (PubMed : 23184933). Plays a role as an oncogene by promoting tumor progression : stimulates zinc finger protein SNAI1 transcription to induce epithelial-to-mesenchymal (EMT) transition, cell migration and invasion of breast cancer cells (PubMed : 25280941). Involved in adipocyte differentiation by regulating lipogenic gene expression during lactation. Plays a role in the survival of both dopaminergic neurons of the substantia nigra pars compacta (SNpc), by maintaining protein homeostasis and of myeloma cells. Increases insulin sensitivity in the liver as a response to a high carbohydrate diet, resulting in improved glucose tolerance. Improves also glucose homeostasis in an ER stress- and/or insulin-independent manner through both binding and proteasome-induced degradation of the transcription factor FOXO1, hence resulting in suppression of gluconeogenic genes expression and in a reduction of blood glucose levels. Controls the induction of de novo fatty acid synthesis in hepatocytes by regulating the expression of a subset of lipogenic genes in an ER stress- and UPR-independent manner (By similarity). Associates preferentially to the HDAC3 gene promoter region in a disturbed flow-dependent manner (PubMed : 25190803). Binds to the BECN1 gene promoter region (PubMed : 23184933). Binds to the CDH5/VE-cadherin gene promoter region (PubMed : 19416856). Binds to the ER stress response element (ERSE) upon ER stress (PubMed : 11779464). Binds to the 5'-CCACG-3' motif in the PPARG promoter (By similarity).
See full target information XBP1

Product promise

We are committed to supporting your work with high-quality reagents, and we're here for you every step of the way. In the unlikely event that one of our products does not perform as expected, you're protected by our Product Promise.
For full details, please see our Terms & Conditions

Please note: All products are 'FOR RESEARCH USE ONLY. NOT FOR USE IN DIAGNOSTIC OR THERAPEUTIC PROCEDURES'.

For licensing inquiries, please contact partnerships@abcam.com