JavaScript is disabled in your browser. Please enable JavaScript to view this website.
AB37152

Anti-XBP1 antibody

5

(28 Reviews)

|

(199 Publications)

Anti-XBP1 antibody (ab37152) is a rabbit polyclonal antibody detecting XBP1 in Western Blot, IHC-P, IHC-Fr, ICC/IF. Suitable for Human, Mouse, Rat.

- KO validated for confirmed specificity
- Over 160 publications
- Trusted since 2006

View Alternative Names

TREB5, XBP2, XBP1, X-box-binding protein 1, XBP-1, Tax-responsive element-binding protein 5, TREB-5

15 Images
Immunohistochemistry (PFA fixed) - Anti-XBP1 antibody (AB37152)
  • IHC (PFA fixed)

Supplier Data

Immunohistochemistry (PFA fixed) - Anti-XBP1 antibody (AB37152)

Immunohistochemistry of human liver tissue labeling XBP1 with Anti-XBP1 antibody (ab37152) at 20μg/ml. followed by goat anti-rabbit IgG secondary antibody at 1/500 dilution (green). DAPI staining (Blue).

Immunohistochemistry (Formalin/PFA-fixed paraffin-embedded sections) - Anti-XBP1 antibody (AB37152)
  • IHC-P

PubMed

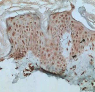
Immunohistochemistry (Formalin/PFA-fixed paraffin-embedded sections) - Anti-XBP1 antibody (AB37152)

ab37152 at 1/200 dilution staining XBP1 in human non-lesional skin tissue sections by Immunohistochemistry (Formalin/ PFA fixed paraformaldehyde tissue sections). A biotin labelled secondary was used at 1/100 dilution. Diaminobenzidine (DAB) was used for staining development in a ABC staining Kit and the sections were counterstained with haematoxylin.

Image from Ren Yunqing et.al., PLoS Genet. 2009 June; 5(6): e1000523 (Fig 6C).

Immunohistochemistry (Formalin/PFA-fixed paraffin-embedded sections) - Anti-XBP1 antibody (AB37152)
  • IHC-P

AbReview22892****

Immunohistochemistry (Formalin/PFA-fixed paraffin-embedded sections) - Anti-XBP1 antibody (AB37152)

ab37152 staining XBP1 in human liver tissue by Immunohistochemistry (Formalin/PFA-fixed paraffin-embedded sections). Tissue was fixed with formaldehyde and a heat mediated antigen retrieval step was performed using Citrate-EDTA antigen retrieval buffer and microwave. Heating was performed in the microwave 3 minutes on high until boiling, 6 minutes on 20% power. Samples were then blocked for 15 minutes at 27°C followed by incubation with the primary antibody at a 1/100 dilution for 12 hours at 4°C. An undiluted HRP-conjugated rat polyclonal was used as the secondary antibody.

Image courtesy of an anonymous Abreview.

Immunohistochemistry (PFA fixed) - Anti-XBP1 antibody (AB37152)
  • IHC (PFA fixed)

Supplier Data

Immunohistochemistry (PFA fixed) - Anti-XBP1 antibody (AB37152)

Immunohistochemistry of human pancreas tissue labeling XBP1 with Anti-XBP1 antibody (ab37152) at 20μg/ml. followed by goat anti-rabbit IgG secondary antibody at 1/500 dilution (green). DAPI staining (Blue).

Immunocytochemistry/ Immunofluorescence - Anti-XBP1 antibody (AB37152)
  • ICC/IF

Supplier Data

Immunocytochemistry/ Immunofluorescence - Anti-XBP1 antibody (AB37152)

Immunofluorescent analysis of methanol-fixed HeLa cells labeling XBP1 with ab37152 at 10 µg/mL, followed by goat anti-rabbit IgG secondary antibody at 1/1000 dilution (red) and DAPI staining (blue). Alpha tubulin was stained with anti-alpha tubulin antibody following by goat anti-mouse IgG secondary antibody (green). Images were captured with confocal microscopy.

Immunohistochemistry (Formalin/PFA-fixed paraffin-embedded sections) - Anti-XBP1 antibody (AB37152)
  • IHC-P

Supplier Data

Immunohistochemistry (Formalin/PFA-fixed paraffin-embedded sections) - Anti-XBP1 antibody (AB37152)

Immunohistochemical analysis of paraffin-embedded Mouse spleen tissue using ab37152 at 1 µg/ml. Tissue was fixed with formaldehyde and blocked with 10% serum for 1 h at RT; antigen retrieval was by heat mediation with a citrate buffer (pH6). Samples were incubated with primary antibody overnight at 4°C. A goat anti-rabbit IgG H&L (HRP) at 1/250 dilution was used as secondary antibody. Counter stained with Hematoxylin.

Immunohistochemistry (Formalin/PFA-fixed paraffin-embedded sections) - Anti-XBP1 antibody (AB37152)
  • IHC-P

Supplier Data

Immunohistochemistry (Formalin/PFA-fixed paraffin-embedded sections) - Anti-XBP1 antibody (AB37152)

Immunohistochemical analysis of paraffin-embedded Mouse testis tissue using ab37152 at 1 µg/ml. Tissue was fixed with formaldehyde and blocked with 10% serum for 1 h at RT; antigen retrieval was by heat mediation with a citrate buffer (pH6). Samples were incubated with primary antibody overnight at 4°C. A goat anti-rabbit IgG H&L (HRP) at 1/250 dilution was used as secondary antibody. Counter stained with Hematoxylin.

Immunohistochemistry (Formalin/PFA-fixed paraffin-embedded sections) - Anti-XBP1 antibody (AB37152)
  • IHC-P

Supplier Data

Immunohistochemistry (Formalin/PFA-fixed paraffin-embedded sections) - Anti-XBP1 antibody (AB37152)

Immunohistochemical analysis of paraffin-embedded Rat spleen tissue using ab37152 at 1 µg/ml. Tissue was fixed with formaldehyde and blocked with 10% serum for 1 h at RT; antigen retrieval was by heat mediation with a citrate buffer (pH6). Samples were incubated with primary antibody overnight at 4°C. A goat anti-rabbit IgG H&L (HRP) at 1/250 dilution was used as secondary antibody. Counter stained with Hematoxylin.

Western blot - Anti-XBP1 antibody (AB37152)
  • WB

Supplier Data

Western blot - Anti-XBP1 antibody (AB37152)

Lane 1:

Western blot - Anti-XBP1 antibody (ab37152) at 0.5 µg/mL

Lane 2:

Western blot - Anti-XBP1 antibody (ab37152) at 1 µg/mL

Lane 3:

Western blot - Anti-XBP1 antibody (ab37152) at 2 µg/mL

All lanes:

Human XBP-1 recombinant protein at 100 ng

Secondary

All lanes:

Goat anti-rabbit IgG HRP conjugate at 1/10000 dilution

false

Western blot - Anti-XBP1 antibody (AB37152)
  • WB

Supplier Data

Western blot - Anti-XBP1 antibody (AB37152)

1h incubation at RT in 5% NFDM/TBST.

All lanes:

Western blot - Anti-XBP1 antibody (ab37152) at 4 µg/mL

Lane 1:

WT 293T Cells at 10 µg/mL

Lane 2:

XBP-1 knockout 293T Cells at 10 µg

Secondary

All lanes:

Goat Anti-Rabbit IgG HRP conjugate at 1/10000 dilution

Predicted band size: 29 kDa

false

Western blot - Anti-XBP1 antibody (AB37152)
  • WB

Supplier Data

Western blot - Anti-XBP1 antibody (AB37152)

1h incubation at RT in 5% NFDM/TBST.

Lane 1:

Western blot - Anti-XBP1 antibody (ab37152) at 0.25 µg/mL

Lane 2:

Western blot - Anti-XBP1 antibody (ab37152) at 0.5 µg/mL

Lane 3:

Western blot - Anti-XBP1 antibody (ab37152) at 1 µg/mL

All lanes:

A549 cell lysate at 15 µg

Secondary

All lanes:

Goat anti-rabbit IgG HRP conjugate at 1/10000 dilution

Predicted band size: 29 kDa

false

Western blot - Anti-XBP1 antibody (AB37152)
  • WB

Supplier Data

Western blot - Anti-XBP1 antibody (AB37152)

1h incubation at RT in 5% NFDM/TBST.

All lanes:

Western blot - Anti-XBP1 antibody (ab37152) at 4 µg/mL

Lane 1:

Wild Type HeLa cells at 10 µg

Lane 2:

XBP-1 knockout HeLa cells at 10 µg

Secondary

All lanes:

Goat Anti-Rabbit IgG HRP conjugate at 1/10000 dilution

Predicted band size: 29 kDa

false

Western blot - Anti-XBP1 antibody (AB37152)
  • WB

Supplier Data

Western blot - Anti-XBP1 antibody (AB37152)

1h incubation at RT in 5% NFDM/TBST.

All lanes:

Western blot - Anti-XBP1 antibody (ab37152) at 1 µg/mL

Lane 1:

Rat Liver Tissue Lysate at 15 µg

Lane 2:

Rat Liver Tissue Lysate at 15 µg with Blocking peptide

Secondary

All lanes:

Goat Anti-Rabbit IgG HRP conjugate at 1/10000 dilution

Predicted band size: 29 kDa

false

Western blot - Anti-XBP1 antibody (AB37152)
  • WB

Supplier Data

Western blot - Anti-XBP1 antibody (AB37152)

1h incubation at RT in 5% NFDM/TBST.

All lanes:

Western blot - Anti-XBP1 antibody (ab37152) at 4 µg/mL

All lanes:

Mouse Pancreas Tissue lysate at 15 µg

Secondary

All lanes:

Goat Anti-Rabbit IgG HRP conjugate at 1/10000 dilution

Predicted band size: 29 kDa

false

Western blot - Anti-XBP1 antibody (AB37152)
  • WB

Supplier Data

Western blot - Anti-XBP1 antibody (AB37152)

Lane 1:

Western blot - Anti-XBP1 antibody (ab37152) at 1 µg/mL

Lane 2:

Western blot - Anti-XBP1 antibody (ab37152) at 2 µg/mL

All lanes:

HepG2 cell lysate at 15 µg

Secondary

All lanes:

Goat anti-rabbit IgG HRP conjugate at 1/10000 dilution

Predicted band size: 29 kDa

false

Key facts

Host species

Rabbit

Clonality

Polyclonal

Isotype

IgG

Carrier free

No

Reacts with

Mouse, Human, Rat

Applications

IHC-P, ICC/IF, ICC, IHC (PFA fixed), WB, IHC-Fr

applications

Immunogen

Synthetic Peptide within Human XBP1. The exact immunogen used to generate this antibody is proprietary information.

P17861

Specificity

XBP-1 antibody will recognize both isoforms (non-spliced and spliced) of XBP-1.

Reactivity data

{ "title": "Reactivity Data", "filters": { "stats": ["", "Species", "Dilution Info", "Notes"], "tabs": { "all-applications": {"fullname" : "All Applications", "shortname": "All Applications"}, "WB" : {"fullname" : "Western blot", "shortname":"WB"}, "IHCPFAfixed" : {"fullname" : "Immunohistochemistry (PFA fixed)", "shortname":"IHC (PFA fixed)"}, "IHCP" : {"fullname" : "Immunohistochemistry (Formalin/PFA-fixed paraffin-embedded sections)", "shortname":"IHC-P"}, "ICC" : {"fullname" : "Immunocytochemistry", "shortname":"ICC"}, "ICCIF" : {"fullname" : "Immunocytochemistry/ Immunofluorescence", "shortname":"ICC/IF"}, "IHCFr" : {"fullname" : "Immunohistochemistry (Frozen sections)", "shortname":"IHC-Fr"} }, "product-promise": { "all": "all", "testedAndGuaranteed": "tested", "guaranteed": "expected", "predicted": "predicted", "notRecommended": "not-recommended" } }, "values": { "Human": { "WB-species-checked": "testedAndGuaranteed", "WB-species-dilution-info": "0.5-2 µg/mL", "WB-species-notes": "<p>Use at a concentration of 1 - 2 μg/ml. Predicted molecular weight: 29 kDa (isoform 1) and 40 kD (isoform 2). Can be blocked with XBP1 peptide (<a href='/en-us/products/proteins-peptides/human-xbp1-peptide-ab39910'>ab39910</a>).</p>", "IHCPFAfixed-species-checked": "testedAndGuaranteed", "IHCPFAfixed-species-dilution-info": "20 µg/mL", "IHCPFAfixed-species-notes": "<p></p>", "IHCP-species-checked": "testedAndGuaranteed", "IHCP-species-dilution-info": "2-5 µg/mL", "IHCP-species-notes": "<p></p>", "ICC-species-checked": "guaranteed", "ICC-species-dilution-info": "10 µg/mL", "ICC-species-notes": "<p></p>", "ICCIF-species-checked": "testedAndGuaranteed", "ICCIF-species-dilution-info": "20 µg/mL", "ICCIF-species-notes": "<p></p>", "IHCFr-species-checked": "guaranteed", "IHCFr-species-dilution-info": "", "IHCFr-species-notes": "<p></p>" }, "Mouse": { "WB-species-checked": "testedAndGuaranteed", "WB-species-dilution-info": "0.5-2 µg/mL", "WB-species-notes": "<p>Use at a concentration of 1 - 2 μg/ml. Predicted molecular weight: 29 kDa (isoform 1) and 40 kD (isoform 2). Can be blocked with XBP1 peptide (<a href='/en-us/products/proteins-peptides/human-xbp1-peptide-ab39910'>ab39910</a>).</p>", "IHCPFAfixed-species-checked": "testedAndGuaranteed", "IHCPFAfixed-species-dilution-info": "20 µg/mL", "IHCPFAfixed-species-notes": "<p></p>", "IHCP-species-checked": "testedAndGuaranteed", "IHCP-species-dilution-info": "2-5 µg/mL", "IHCP-species-notes": "<p></p>", "ICC-species-checked": "predicted", "ICC-species-dilution-info": "", "ICC-species-notes": "", "ICCIF-species-checked": "guaranteed", "ICCIF-species-dilution-info": "", "ICCIF-species-notes": "", "IHCFr-species-checked": "testedAndGuaranteed", "IHCFr-species-dilution-info": "", "IHCFr-species-notes": "<p></p>" }, "Rat": { "WB-species-checked": "testedAndGuaranteed", "WB-species-dilution-info": "0.5-2 µg/mL", "WB-species-notes": "<p>Use at a concentration of 1 - 2 μg/ml. Predicted molecular weight: 29 kDa (isoform 1) and 40 kD (isoform 2). Can be blocked with XBP1 peptide (<a href='/en-us/products/proteins-peptides/human-xbp1-peptide-ab39910'>ab39910</a>).</p>", "IHCPFAfixed-species-checked": "guaranteed", "IHCPFAfixed-species-dilution-info": "", "IHCPFAfixed-species-notes": "", "IHCP-species-checked": "testedAndGuaranteed", "IHCP-species-dilution-info": "2-5 µg/mL", "IHCP-species-notes": "<p></p>", "ICC-species-checked": "predicted", "ICC-species-dilution-info": "", "ICC-species-notes": "", "ICCIF-species-checked": "guaranteed", "ICCIF-species-dilution-info": "", "ICCIF-species-notes": "", "IHCFr-species-checked": "guaranteed", "IHCFr-species-dilution-info": "", "IHCFr-species-notes": "" }, "Cow": { "WB-species-checked": "predicted", "WB-species-dilution-info": "", "WB-species-notes": "", "IHCPFAfixed-species-checked": "predicted", "IHCPFAfixed-species-dilution-info": "", "IHCPFAfixed-species-notes": "", "IHCP-species-checked": "predicted", "IHCP-species-dilution-info": "", "IHCP-species-notes": "", "ICC-species-checked": "predicted", "ICC-species-dilution-info": "", "ICC-species-notes": "", "ICCIF-species-checked": "predicted", "ICCIF-species-dilution-info": "", "ICCIF-species-notes": "", "IHCFr-species-checked": "predicted", "IHCFr-species-dilution-info": "", "IHCFr-species-notes": "" } } }

Product details

Product Specifications
Anti-XBP1 antibody (ab37152) is a rabbit polyclonal antibody and is validated for use in ICC, ICC/IF, IHC (PFA fixed), IHC-Fr, IHC-P, WB in human, mouse, rat samples.
Anti-XBP1 antibody (ab37152) specifically detects XBP1 (UniProt ID: P17861; Molecular weight: 29kDa) and is sold in 100 µg selling sizes.

Quality and Validation
Abcam's high quality validation processes ensure Anti-XBP1 antibody (ab37152) has high sensitivity and specificity.
Anti-XBP1 antibody (ab37152) has been cited over 165 times in peer reviewed journals and is trusted by the scientific community.
Anti-XBP1 antibody (ab37152) has 28 independent reviews from customers.

Properties and storage information

Form
Liquid
Purification technique
Affinity purification Immunogen
Storage buffer
pH: 7.2 Preservative: 0.02% Sodium azide Constituents: PBS
Shipped at conditions
Blue Ice
Appropriate short-term storage duration
1-2 weeks
Appropriate short-term storage conditions
+4°C
Appropriate long-term storage conditions
-20°C
Storage information
Avoid freeze / thaw cycle

Supplementary information

This supplementary information is collated from multiple sources and compiled automatically.

XBP1 also known as X-box binding protein 1 is a transcription factor with a mass of approximately 33 kDa. It is mainly expressed in the endoplasmic reticulum of cells where it plays a significant role in regulating the unfolded protein response (UPR). XBP1 exists in two forms: an unspliced form (XBP1u) and a spliced form (XBP1s). The splicing of XBP1 mRNA is mediated by the endoribonuclease IRE1 and is a response to endoplasmic reticulum stress. This process results in a shift of the reading frame which leads to the production of a new functional transcription factor.
Biological function summary

The action of XBP1 participates in processes critical for cell survival under stress conditions particularly in the UPR. It activates genes involved in protein folding secretion and degradation to alleviate stress within the endoplasmic reticulum. XBP1 acts as part of the larger mechanism that ensures cellular homeostasis by maintaining protein quality control. It forms a complex network with other transcription factors ensuring an integrated response to stress stimuli in various tissues including pancreatic beta cells and immune cells.

Pathways

XBP1 functions intricately within the UPR and is linked to the insulin signaling pathway. It works alongside proteins such as ATF6 and PERK to coordinate the cellular response to endoplasmic reticulum stress and sustain essential cellular processes. The IRE1-XBP1 pathway represents one arm of the UPR and shows interaction with C/EBP homologous protein (CHOP) as part of the stress signaling pathways modulating apoptosis if adaptation fails. XBP1 also influences lipid metabolism and cellular differentiation through its pathway connections impacting wide-ranging physiological processes.

Dysfunctions of XBP1 have associations with metabolic diseases and multiple myeloma. Altered XBP1 activity links to diabetes due to its role in protein homeostasis in pancreatic beta cells involving modulation of insulin secretion and sensitivity. In cancer particularly multiple myeloma XBP1 interacts with proteins such as B-cell maturation antigen (BCMA) influencing cell survival and proliferation. Targeting the XBP1 signaling axis shows potential as a therapeutic strategy for managing disorders resulting from dysregulated protein folding and stress responses.

Product protocols

For this product, it's our understanding that no specific protocols are required. You can visit:

Target data

Functions as a transcription factor during endoplasmic reticulum (ER) stress by regulating the unfolded protein response (UPR). Required for cardiac myogenesis and hepatogenesis during embryonic development, and the development of secretory tissues such as exocrine pancreas and salivary gland (By similarity). Involved in terminal differentiation of B lymphocytes to plasma cells and production of immunoglobulins (PubMed : 11460154). Modulates the cellular response to ER stress in a PIK3R-dependent manner (PubMed : 20348923). Binds to the cis-acting X box present in the promoter regions of major histocompatibility complex class II genes (PubMed : 8349596). Involved in VEGF-induced endothelial cell (EC) proliferation and retinal blood vessel formation during embryonic development but also for angiogenesis in adult tissues under ischemic conditions. Functions also as a major regulator of the UPR in obesity-induced insulin resistance and type 2 diabetes for the management of obesity and diabetes prevention (By similarity).. Isoform 1. Plays a role in the unconventional cytoplasmic splicing processing of its own mRNA triggered by the endoplasmic reticulum (ER) transmembrane endoribonuclease ERN1 : upon ER stress, the emerging XBP1 polypeptide chain, as part of a mRNA-ribosome-nascent chain (R-RNC) complex, cotranslationally recruits its own unprocessed mRNA through transient docking to the ER membrane and translational pausing, therefore facilitating efficient IRE1-mediated XBP1 mRNA isoform 2 production (PubMed : 19394296, PubMed : 21233347). In endothelial cells (EC), associated with KDR, promotes IRE1-mediated XBP1 mRNA isoform 2 productions in a vascular endothelial growth factor (VEGF)-dependent manner, leading to EC proliferation and angiogenesis (PubMed : 23529610). Functions as a negative feed-back regulator of the potent transcription factor XBP1 isoform 2 protein levels through proteasome-mediated degradation, thus preventing the constitutive activation of the ER stress response signaling pathway (PubMed : 16461360, PubMed : 25239945). Inhibits the transactivation activity of XBP1 isoform 2 in myeloma cells (By similarity). Acts as a weak transcriptional factor (PubMed : 8657566). Together with HDAC3, contributes to the activation of NFE2L2-mediated HMOX1 transcription factor gene expression in a PI(3)K/mTORC2/Akt-dependent signaling pathway leading to EC survival under disturbed flow/oxidative stress (PubMed : 25190803). Binds to the ER stress response element (ERSE) upon ER stress (PubMed : 11779464). Binds to the consensus 5'-GATGACGTG[TG]N(3)[AT]T-3' sequence related to cAMP responsive element (CRE)-like sequences (PubMed : 8657566). Binds the Tax-responsive element (TRE) present in the long terminal repeat (LTR) of T-cell leukemia virus type 1 (HTLV-I) and to the TPA response elements (TRE) (PubMed : 1903538, PubMed : 2196176, PubMed : 2321018, PubMed : 8657566). Associates preferentially to the HDAC3 gene promoter region in a static flow-dependent manner (PubMed : 25190803). Binds to the CDH5/VE-cadherin gene promoter region (PubMed : 19416856).. Isoform 2. Functions as a stress-inducible potent transcriptional activator during endoplasmic reticulum (ER) stress by inducing unfolded protein response (UPR) target genes via binding to the UPR element (UPRE). Up-regulates target genes encoding ER chaperones and ER-associated degradation (ERAD) components to enhance the capacity of productive folding and degradation mechanism, respectively, in order to maintain the homeostasis of the ER under ER stress (PubMed : 11779464, PubMed : 25239945). Plays a role in the production of immunoglobulins and interleukin-6 in the presence of stimuli required for plasma cell differentiation (By similarity). Induces phospholipid biosynthesis and ER expansion (PubMed : 15466483). Contributes to the VEGF-induced endothelial cell (EC) growth and proliferation in a Akt/GSK-dependent and/or -independent signaling pathway, respectively, leading to beta-catenin nuclear translocation and E2F2 gene expression (PubMed : 23529610). Promotes umbilical vein EC apoptosis and atherosclerotisis development in a caspase-dependent signaling pathway, and contributes to VEGF-induced EC proliferation and angiogenesis in adult tissues under ischemic conditions (PubMed : 19416856, PubMed : 23529610). Involved in the regulation of endostatin-induced autophagy in EC through BECN1 transcriptional activation (PubMed : 23184933). Plays a role as an oncogene by promoting tumor progression : stimulates zinc finger protein SNAI1 transcription to induce epithelial-to-mesenchymal (EMT) transition, cell migration and invasion of breast cancer cells (PubMed : 25280941). Involved in adipocyte differentiation by regulating lipogenic gene expression during lactation. Plays a role in the survival of both dopaminergic neurons of the substantia nigra pars compacta (SNpc), by maintaining protein homeostasis and of myeloma cells. Increases insulin sensitivity in the liver as a response to a high carbohydrate diet, resulting in improved glucose tolerance. Improves also glucose homeostasis in an ER stress- and/or insulin-independent manner through both binding and proteasome-induced degradation of the transcription factor FOXO1, hence resulting in suppression of gluconeogenic genes expression and in a reduction of blood glucose levels. Controls the induction of de novo fatty acid synthesis in hepatocytes by regulating the expression of a subset of lipogenic genes in an ER stress- and UPR-independent manner (By similarity). Associates preferentially to the HDAC3 gene promoter region in a disturbed flow-dependent manner (PubMed : 25190803). Binds to the BECN1 gene promoter region (PubMed : 23184933). Binds to the CDH5/VE-cadherin gene promoter region (PubMed : 19416856). Binds to the ER stress response element (ERSE) upon ER stress (PubMed : 11779464). Binds to the 5'-CCACG-3' motif in the PPARG promoter (By similarity).
See full target information XBP1

Publications (199)

Recent publications for all applications. Explore the full list and refine your search

Immunity, inflammation and disease 13:e70251 PubMed40856260

2025

Vascular Smooth Muscle-Secreted Exosomal X26nt Impedes Atherosclerosis Progression via the c-FOS/XBP1/SOD1 Axis.

Applications

Unspecified application

Species

Unspecified reactive species

Zhibin Zhang,Dachang Liu,Yue Zheng,Yanwu Liu,Xian Cheng,Yun Chang,Xiaoyu Liang,Xiaomin Hu,Wenqing Gao

Nanoscale 17:16256-16273 PubMed40512590

2025

Upholding hyaluronic acid's multi-functionality for nucleic acid drug delivery to target EMT in breast cancer.

Applications

Unspecified application

Species

Unspecified reactive species

Lorenz Isert,Irene Gialdini,Thi My Hanh Ngo,Gabriele Loiudice,Don C Lamb,Olivia M Merkel

Cancers 17: PubMed40507377

2025

Correction: Aghaei et al. The Role of BiP and the IRE1α-XBP1 Axis in Rhabdomyosarcoma Pathology. 2021, , 4927.

Applications

Unspecified application

Species

Unspecified reactive species

Mahmoud Aghaei,Ahmad Nasimian,Marveh Rahmati,Philip Kawalec,Filip Machaj,Jakub Rosik,Bhavya Bhushan,S Zahra Bathaie,Negar Azarpira,Marek J Łos,Afshin Samali,David Perrin,Joseph W Gordon,Saeid Ghavami

Inflammation : PubMed40447963

2025

XBP1 Knockdown Alleviates Pyroptosis and Promotes Th17/Treg Imbalance in Periodontitis by Inhibiting the IL-17 Signaling Pathway.

Applications

Unspecified application

Species

Unspecified reactive species

Lixun Kang,Binglu Shi,Siyu Shen,Kai Ma,Yuanxu Jing,Qi An,Yan Dai

Cell reports 44:115694 PubMed40349346

2025

IRE1α promotes phagosomal calcium flux to enhance macrophage fungicidal activity.

Applications

Unspecified application

Species

Unspecified reactive species

Michael J McFadden,Mack B Reynolds,Britton C Michmerhuizen,Einar B Ólafsson,Sofia M Marshall,Faith Anderson Davis,Tracey L Schultz,Takao Iwawaki,Jonathan Z Sexton,Mary X D O'Riordan,Teresa R O'Meara

Journal of cosmetic dermatology 24:e70177 PubMed40214031

2025

ALKBH5 Inhibits YTHDF2-m6A-Mediated Degradation of RCN1 mRNA to Promote Keloid Formation by Activating IRE1α-XBP1-Mediated ER Stress.

Applications

Unspecified application

Species

Unspecified reactive species

Min Shi,Lu Zhang,Fangfang Bi,Zhuo Zhou

Oncology reports 53: PubMed40183386

2025

Effect of quercetin on inhibiting gefitinib‑activated non‑small cell lung cancer‑induced cell pyroptosis in cardiomyocytes via modulating mitochondrial autophagy mediated by the SHP2/ROS/AMPK/XBP‑1/DJ‑1 signaling pathway.

Applications

Unspecified application

Species

Unspecified reactive species

Jie Zhang,Shanshan Qi,Yanyan Du,Honghong Dai,Ninghua Liu

Molecular cancer therapeutics 24:1099-1110 PubMed40105196

2025

Reducing Dietary Protein Enhances the Antitumor Effects of Chemotherapy through Immune-Mediated Mechanisms.

Applications

Unspecified application

Species

Unspecified reactive species

Samantha C Mulkeen,Suchandrima Saha,Carmen R Ferrara,Vladimira Bibeva,Michael C Wood,Ji Dong K Bai,Tanara V Peres,Daniel Martinez-Martinez,Alex Montoya,Pavel Shliaha,Filipe Cabreiro,David C Montrose

Molecular medicine (Cambridge, Mass.) 31:67 PubMed39972252

2025

Gαq/11 aggravates acute lung injury in mice by promoting endoplasmic reticulum stress-mediated NETosis.

Applications

Unspecified application

Species

Unspecified reactive species

Qian Xiang,Yang Tian,Kai Yang,Yaqin Du,Jian Xie

PLoS biology 23:e3002974 PubMed39964974

2025

The cholesterol 24-hydroxylase CYP46A1 promotes α-synuclein pathology in Parkinson's disease.

Applications

Unspecified application

Species

Unspecified reactive species

Lijun Dai,Jiannan Wang,Lanxia Meng,Xingyu Zhang,Tingting Xiao,Min Deng,Guiqin Chen,Jing Xiong,Wei Ke,Zhengyuan Hong,Lihong Bu,Zhentao Zhang
View all publications

Product promise

We are committed to supporting your work with high-quality reagents, and we're here for you every step of the way. In the unlikely event that one of our products does not perform as expected, you're protected by our Product Promise.
For full details, please see our Terms & Conditions

Please note: All products are 'FOR RESEARCH USE ONLY. NOT FOR USE IN DIAGNOSTIC OR THERAPEUTIC PROCEDURES'.

For licensing inquiries, please contact partnerships@abcam.com