JavaScript is disabled in your browser. Please enable JavaScript to view this website.
AB307602

Anti-xCT antibody [EPR27115-64] - BSA and Azide free

  • BOND RX™ Validated
  • RabMAb
  • Recombinant
  • KO Validated
  • What is this?

Be the first to review this product! Submit a review

|

(2 Publications)

Rabbit Recombinant Monoclonal XCT antibody. Carrier free. Suitable for IP, Flow Cyt (Intra), ICC/IF, IHC-P, WB and reacts with Human, Rat, Mouse samples. Cited in 2 publications.

View Alternative Names

Cystine/glutamate transporter, Amino acid transport system xc-, Calcium channel blocker resistance protein CCBR1, Solute carrier family 7 member 11, xCT, SLC7A11

19 Images
Immunocytochemistry/ Immunofluorescence - Anti-xCT antibody [EPR27115-64] - BSA and Azide free (AB307602)
  • ICC/IF

Supplier Data

Immunocytochemistry/ Immunofluorescence - Anti-xCT antibody [EPR27115-64] - BSA and Azide free (AB307602)

This data was developed using ab307601, the same antibody clone in a different buffer formulation. Immunofluorescent analysis of 4% Paraformaldehyde-fixed, 0.1% Triton X-100 permeabilized A549 (human lung carcinoma epithelial cell) cells labeling xCT with ab307601 at 1/500 dilution, followed by ab150081 Goat Anti-Rabbit IgG H&L (Alexa Fluor® 488) preadsorbed antibody at 1/1000 dilution (Green). Confocal image showing membranous and cytoplasmic staining in A549 cell line. Low expression : COLO 205 (PMID : 31000598). Image was taken with a confocal microscope(Leica-Microsystems, TCS SP8). ab195889 Anti-alpha Tubulin mouse monoclonal antibody - Microtubule Marker (Alexa Fluor® 594) was used to counterstain tubulin at 1/200 dilution (2.5 µg/ml) (Red). Nuclear counterstain was DAPI (Blue). Secondary antibody only control : Secondary antibody is ab150081 Goat Anti-Rabbit IgG H&L (Alexa Fluor® 488) preadsorbed at 1/1000 dilution.

Immunohistochemistry (Formalin/PFA-fixed paraffin-embedded sections) - Anti-xCT antibody [EPR27115-64] - BSA and Azide free (AB307602)
  • IHC-P

Supplier Data

Immunohistochemistry (Formalin/PFA-fixed paraffin-embedded sections) - Anti-xCT antibody [EPR27115-64] - BSA and Azide free (AB307602)

This data was developed using ab307601, the same antibody clone in a different buffer formulation. Immunohistochemical analysis of paraffin-embedded human cerebrum tissue labeling xCT with ab307601 at 1/500 dilution (1.024 µg/ml) followed by ready to use LeicaDS9800 (Bond™ Polymer Refine Detection). Positive staining on human cerebrum. The section was incubated with ab307601 for 30 mins at room temperature. The immunostaining was performed on a Leica Biosystems BOND® RX instrument. Counterstained with Hematoxylin. Secondary antibody only control : Secondary antibody is ready to use LeicaDS9800 (Bond™ Polymer Refine Detection). Heat mediated antigen retrieval was performed with Tris-EDTA buffer (pH 9.0, Epitope Retrieval Solution2) for 20 mins.

Immunohistochemistry (Formalin/PFA-fixed paraffin-embedded sections) - Anti-xCT antibody [EPR27115-64] - BSA and Azide free (AB307602)
  • IHC-P

Supplier Data

Immunohistochemistry (Formalin/PFA-fixed paraffin-embedded sections) - Anti-xCT antibody [EPR27115-64] - BSA and Azide free (AB307602)

This data was developed using ab307601, the same antibody clone in a different buffer formulation. Immunohistochemical analysis of paraffin-embedded human skeletal muscle tissue labeling xCT with ab307601 at 1/500 dilution (1.024 µg/ml) followed by ready to use LeicaDS9800 (Bond™ Polymer Refine Detection). Negative control : no staining on human skeletal muscle. The section was incubated with ab307601 for 30 mins at room temperature. The immunostaining was performed on a Leica Biosystems BOND® RX instrument. Counterstained with Hematoxylin. Secondary antibody only control : Secondary antibody is ready to use LeicaDS9800 (Bond™ Polymer Refine Detection). Heat mediated antigen retrieval was performed with Tris-EDTA buffer (pH 9.0, Epitope Retrieval Solution2) for 20 mins.

Flow Cytometry (Intracellular) - Anti-xCT antibody [EPR27115-64] - BSA and Azide free (AB307602)
  • Flow Cyt (Intra)

Supplier Data

Flow Cytometry (Intracellular) - Anti-xCT antibody [EPR27115-64] - BSA and Azide free (AB307602)

This data was developed using ab307601, the same antibody clone in a different buffer formulation. Flow cytometric analysis of 4% paraformaldehyde-fixed 90% methanol-permeabilized COLO 205 (human colon adenocarcinoma tumor ascitic epithelial cell) (Left panel) / A549 (human lung carcinoma epithelial cell) (Right panel) cells labeling xCT with ab307601 at 1/50 dilution (1µg) (Red) compared with a Rabbit monoclonal IgG (ab172730) (Black) isotype control and an unlabeled control (cells without incubation with primary antibody and secondary antibody) (Blue). A Goat Anti-Rabbit IgG (Alexa Fluor® 488, ab150081) at 1/2000 dilution was used as the secondary antibody. Low expression : COLO 205 (PMID : 31000598).

Immunohistochemistry (Formalin/PFA-fixed paraffin-embedded sections) - Anti-xCT antibody [EPR27115-64] - BSA and Azide free (AB307602)
  • IHC-P

Supplier Data

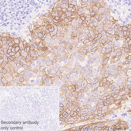
Immunohistochemistry (Formalin/PFA-fixed paraffin-embedded sections) - Anti-xCT antibody [EPR27115-64] - BSA and Azide free (AB307602)

This data was developed using ab307601, the same antibody clone in a different buffer formulation.

Immunohistochemical analysis of paraffin-embedded human thyroid carcinoma tissue labeling xCT with ab307601 at 1/500 dilution (1.024 µg/ml) followed by ready to use LeicaDS9800 (Bond™ Polymer Refine Detection). Positive staining on human thyroid carcinoma.

The section was incubated with ab307601 for 30 mins at room temperature. The immunostaining was performed on a Leica Biosystems BOND® RX instrument. Counterstained with Hematoxylin.

Secondary antibody only control : Secondary antibody is ready to use LeicaDS9800 (Bond™ Polymer Refine Detection. Heat mediated antigen retrieval was performed with Tris-EDTA buffer (pH 9.0, Epitope Retrieval Solution2) for 20 mins.

Immunoprecipitation - Anti-xCT antibody [EPR27115-64] - BSA and Azide free (AB307602)
  • IP

Supplier Data

Immunoprecipitation - Anti-xCT antibody [EPR27115-64] - BSA and Azide free (AB307602)

This data was developed using ab307601, the same antibody clone in a different buffer formulation. xCT was immunoprecipitated from 0.35 mg A549 (human lung carcinoma epithelial cell) whole cell lysate 10 µg with ab307601 at 1/30 dilution (2 µg in 0.3 5mg lysates). Western blot was performed on the immunoprecipitate using ab307601 at 1/1000 dilution. VeriBlot for IP secondary antibody(HRP)(ab131366) was used at 1/5000 dilution. Lane 1 : A549 whole cell lysate 10 µg Lane 2 : ab307601 IP in A549 whole cell lysate Lane 3 : Rabbit monoclonal IgG (ab172730) instead of ab307601 in A549 whole cell lysate Blocking and dilution buffer and concentration : 5% NFDM/TBST. Exposure time : 41 seconds.

All lanes:

Immunoprecipitation - Anti-xCT antibody [EPR27115-64] (<a href='/en-us/products/primary-antibodies/xct-antibody-epr27115-64-ab307601'>ab307601</a>) at 1/30 dilution

All lanes:

A549 (human lung carcinoma epithelial cell)

Secondary

All lanes:

Immunoprecipitation - VeriBlot for IP Detection Reagent (HRP) (<a href='/en-us/products/reagents/veriblot-for-ip-detection-reagent-hrp-ab131366'>ab131366</a>) at 1/5000 dilution

Observed band size: 37 kDa

false

Exposure time: 41s

Immunohistochemistry (Formalin/PFA-fixed paraffin-embedded sections) - Anti-xCT antibody [EPR27115-64] - BSA and Azide free (AB307602)
  • IHC-P

Supplier Data

Immunohistochemistry (Formalin/PFA-fixed paraffin-embedded sections) - Anti-xCT antibody [EPR27115-64] - BSA and Azide free (AB307602)

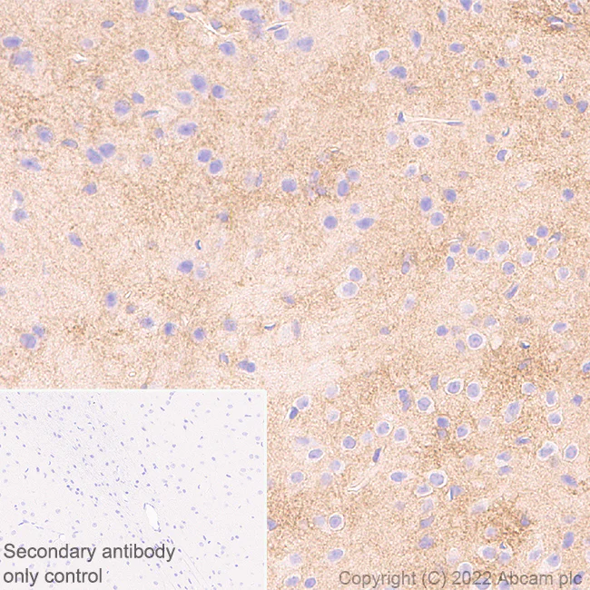
This data was developed using ab307601, the same antibody clone in a different buffer formulation. Immunohistochemical analysis of paraffin-embedded rat cerebrum tissue labeling xCT with ab307601 at 1/500 dilution (1.024 µg/ml) followed by ready to use LeicaDS9800 (Bond™ Polymer Refine Detection). Positive staining on rat cerebrum. The section was incubated with ab307601 for 30 mins at room temperature. The immunostaining was performed on a Leica Biosystems BOND® RX instrument. Counterstained with Hematoxylin. Secondary antibody only control : Secondary antibody is ready to use LeicaDS9800 (Bond™ Polymer Refine Detection). Heat mediated antigen retrieval was performed with Tris-EDTA buffer (pH 9.0, Epitope Retrieval Solution2) for 20 mins.

Immunohistochemistry (Formalin/PFA-fixed paraffin-embedded sections) - Anti-xCT antibody [EPR27115-64] - BSA and Azide free (AB307602)
  • IHC-P

Supplier Data

Immunohistochemistry (Formalin/PFA-fixed paraffin-embedded sections) - Anti-xCT antibody [EPR27115-64] - BSA and Azide free (AB307602)

This data was developed using ab307601, the same antibody clone in a different buffer formulation. Immunohistochemical analysis of paraffin-embedded rat skeletal muscle tissue labeling xCT with ab307601 at 1/500 dilution (1.024 µg/ml) followed by ready to use LeicaDS9800 (Bond™ Polymer Refine Detection). Negative control : no staining on rat skeletal muscle (PMID : 17401668). The section was incubated with ab307601 for 30 mins at room temperature. The immunostaining was performed on a Leica Biosystems BOND® RX instrument. Counterstained with Hematoxylin. Secondary antibody only control : Secondary antibody is ready to use LeicaDS9800 (Bond™ Polymer Refine Detection). Heat mediated antigen retrieval was performed with Tris-EDTA buffer (pH 9.0, Epitope Retrieval Solution2) for 20 mins.

Immunohistochemistry (Formalin/PFA-fixed paraffin-embedded sections) - Anti-xCT antibody [EPR27115-64] - BSA and Azide free (AB307602)
  • IHC-P

Supplier Data

Immunohistochemistry (Formalin/PFA-fixed paraffin-embedded sections) - Anti-xCT antibody [EPR27115-64] - BSA and Azide free (AB307602)

This data was developed using ab307601, the same antibody clone in a different buffer formulation. Immunohistochemical analysis of paraffin-embedded mouse skeletal muscle tissue labeling xCT with ab307601 at 1/500 dilution (1.024 µg/ml) followed by ready to use LeicaDS9800 (Bond™ Polymer Refine Detection). Negative control : no staining on mouse skeletal muscle. The section was incubated with ab307601 for 30 mins at room temperature. The immunostaining was performed on a Leica Biosystems BOND® RX instrument. Counterstained with Hematoxylin. Secondary antibody only control : Secondary antibody is ready to use LeicaDS9800 (Bond™ Polymer Refine Detection). Heat mediated antigen retrieval was performed with Tris-EDTA buffer (pH 9.0, Epitope Retrieval Solution2) for 20 mins.

Immunohistochemistry (Formalin/PFA-fixed paraffin-embedded sections) - Anti-xCT antibody [EPR27115-64] - BSA and Azide free (AB307602)
  • IHC-P

Supplier Data

Immunohistochemistry (Formalin/PFA-fixed paraffin-embedded sections) - Anti-xCT antibody [EPR27115-64] - BSA and Azide free (AB307602)

This data was developed using ab307601, the same antibody clone in a different buffer formulation. Immunohistochemical analysis of paraffin-embedded mouse cerebrum tissue labeling xCT with ab307601 at 1/500 dilution (1.024 µg/ml) followed by ready to use LeicaDS9800 (Bond™ Polymer Refine Detection). Positive staining on mouse cerebrum (PMID : 29350434). The section was incubated with ab307601 for 30 mins at room temperature. The immunostaining was performed on a Leica Biosystems BOND® RX instrument. Counterstained with Hematoxylin. Secondary antibody only control : Secondary antibody is ready to use LeicaDS9800 (Bond™ Polymer Refine Detection). Heat mediated antigen retrieval was performed with Tris-EDTA buffer (pH 9.0, Epitope Retrieval Solution2) for 20 mins.

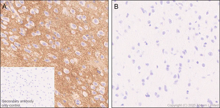
Immunohistochemistry (Formalin/PFA-fixed paraffin-embedded sections) - Anti-xCT antibody [EPR27115-64] - BSA and Azide free (AB307602)
  • IHC-P

Lab

Immunohistochemistry (Formalin/PFA-fixed paraffin-embedded sections) - Anti-xCT antibody [EPR27115-64] - BSA and Azide free (AB307602)

This data was developed using ab307601, the same antibody clone in a different buffer formulation.

Immunohistochemical analysis of paraffin-embedded (A) Cerebrum tissue from wild-type C57BL/6J mice and (B) Cerebrum tissue from xCT knockout mice tissue labeling xCT with ab307601 at 1/1000 dilution.

Positive staining on (A) Cerebrum tissue from wild-type C57BL/6J mice, no staining on (B) Cerebrum tissue from xCT knockout mice.

The primary antibody was incubated for 30 mins at room temperature. The immunostaining was performed on a Leica Biosystems BOND® RX instrument. Counterstained with Hematoxylin.

Heat mediated antigen retrieval was performed with Tris-EDTA buffer (pH 9.0, Epitope Retrieval Solution2) for 20 mins.

The tissue samples were kindly provided by GemPharmatech. C57BL/6JGpt wildtype mice and Slc7a11-KO homozygous mice (Strain ID : T015610).

Western blot - Anti-xCT antibody [EPR27115-64] - BSA and Azide free (AB307602)
  • WB

Lab

Western blot - Anti-xCT antibody [EPR27115-64] - BSA and Azide free (AB307602)

This data was developed using the same antibody clone in a different buffer formulation (ab307601).

Western blot : Anti-SLC7A11 antibody [EPR27115-64] (ab307601) staining at 1/1000 dilution, shown in black; Mouse anti-CANX [CANX/1543] (ab238078) loading control staining at 1/20000 dilution, shown in magenta. In Western blot, ab307601 was shown to bind specifically to SLC7A11. First, samples were run on an SDS-PAGE gel then transferred onto a nitrocellulose membrane. Membranes were blocked in 3 % milk in TBS-0.1 % Tween® 20 (TBS-T) before incubation with primary antibodies overnight at 4 °C. Blots were washed four times in TBS-T, incubated with secondary antibodies for 1 h at room temperature, washed again four times before development with a high-sensitivity ECL substrate kit and imaged with 30 seconds exposure time. Secondary antibodies used were Goat anti-Rabbit HRP (H+L) and Goat anti-Mouse IgG H&L 680RD at 1/20000 dilution.

All lanes:

Western blot - Anti-xCT antibody [EPR27115-64] (<a href='/en-us/products/primary-antibodies/xct-antibody-epr27115-64-ab307601'>ab307601</a>) at 1/1000 dilution

All lanes:

Recombinant Human xCT protein cell lysate at 0.01 µg

Secondary

All lanes:

Goat anti-Rabbit HRP (H+L) and Goat anti-Mouse IgG H&L 680RD at 1/20000 dilution

Observed band size: 35 kDa

false

Western blot - Anti-xCT antibody [EPR27115-64] - BSA and Azide free (AB307602)
  • WB

Supplier Data

Western blot - Anti-xCT antibody [EPR27115-64] - BSA and Azide free (AB307602)

Blocking buffer and concentration :  5% NFDM/TBST.  Diluting buffer and concentration :  5% NFDM/TBST.

Boiling leads to the formation of aggregates of membrane proteins, leading to unsuccessful migration in gel. Please do not boil your lysate when testing membrane protein.

No xCT expression or very low levels were found in lung, heart, liver, and kidney. (PMID : 22667998).

The molecular weight observed is consistent with what has been described in the literature (PMID : 26494316, 18806690, 25384799, 30425240, 29693305).

ab181602 was used as a loading control.

This data was developed using ab307601, the same antibody clone in a different buffer formulation.

All lanes:

Western blot - Anti-xCT antibody [EPR27115-64] (<a href='/en-us/products/primary-antibodies/xct-antibody-epr27115-64-ab307601'>ab307601</a>) at 1/1000 dilution

Lanes 1 and 6:

HepG2 (Human hepatocellular carcinoma epithelial cell) whole cell lysate at 20 µg

Lanes 2 and 7:

Mouse cerebellum tissue lysate at 20 µg

Lanes 3 and 8:

Mouse colon tissue lysate at 20 µg

Lanes 4 and 9:

Mouse kidney tissue lysate at 20 µg

Lanes 5 and 10:

Mouse heart tissue lysate at 20 µg

Secondary

All lanes:

Western blot - Goat Anti-Rabbit IgG H&L (HRP) (<a href='/en-us/products/secondary-antibodies/goat-rabbit-igg-h-l-hrp-ab97051'>ab97051</a>) at 1/20000 dilution

Predicted band size: 55 kDa

Observed band size: 37 kDa

false

Exposure time: 140s

Western blot - Anti-xCT antibody [EPR27115-64] - BSA and Azide free (AB307602)
  • WB

Lab

Western blot - Anti-xCT antibody [EPR27115-64] - BSA and Azide free (AB307602)

This data was developed using the same antibody clone in a different buffer formulation (ab307601).

Western blot : Anti-SLC7A11 antibody [EPR27115-64] (ab307601) staining at 1/1000 dilution, shown in black; Mouse anti-CANX [CANX/1543] (ab238078) loading control staining at 1/20000 dilution, shown in magenta. A band was observed at 35 kDa in wild-type HepG2 cell lysates with a reduction in signal observed at this size in SLC7A11 heterozygous knockout cell line. To generate this image, wild-type and SLC7A11 heterozygous knockout HepG2 cell lysates were analysed. First, samples were run on an SDS-PAGE gel then transferred onto a nitrocellulose membrane. Membranes were blocked in 3 % milk in TBS-0.1 % Tween® 20 (TBS-T) before incubation with primary antibodies overnight at 4°C. Blots were washed four times in TBS-T, incubated with secondary antibodies for 1 h at room temperature, washed again four times before development with a high-sensitivity ECL substrate kit and imaged with 16 minutes exposure time. Secondary antibodies used were Goat anti-Rabbit HRP (H+L) and Goat anti-Mouse IgG H&L 680RD at 1/20000 dilution.

All lanes:

Western blot - Anti-xCT antibody [EPR27115-64] (<a href='/en-us/products/primary-antibodies/xct-antibody-epr27115-64-ab307601'>ab307601</a>) at 1/1000 dilution

Lane 1:

Wild-type HepG2 Vehicle Control Diethyl Maleate (0mM, 24h) cell lysate at 20 µg

Lane 2:

Wild-type HepG2 Treated Diethyl Maleate (0.1mM, 24h) cell lysate at 20 µg

Lane 3:

SLC7A11 heterozygous knockout HepG2 Vehicle Control Diethyl Maleate (0mM, 24h) cell lysate at 20 µg

Lane 4:

SLC7A11 heterozygous knockout HepG2 Treated Diethyl Maleate (0.1mM, 24h) cell lysate at 20 µg

Secondary

All lanes:

Goat anti-Rabbit HRP (H+L) and Goat anti-Mouse IgG H&L 680RD at 1/20000 dilution

Observed band size: 35 kDa

false

Western blot - Anti-xCT antibody [EPR27115-64] - BSA and Azide free (AB307602)
  • WB

Supplier Data

Western blot - Anti-xCT antibody [EPR27115-64] - BSA and Azide free (AB307602)

This data was developed using ab307601, the same antibody clone in a different buffer formulation. Blocking and diluting buffer and concentration : 5% NFDM/TBST. Low expression cell line : COLO 205 (PMID : 31000598). The molecular weight observed is consistent with what has been described in the literature (PMID : 26494316, 18806690, 25384799, 30425240, 29693305).

All lanes:

Western blot - Anti-xCT antibody [EPR27115-64] (<a href='/en-us/products/primary-antibodies/xct-antibody-epr27115-64-ab307601'>ab307601</a>) at 1/1000 dilution

Lane 1:

Human cerebellum tissue lysate at 20 µg

Lane 2:

A549 (human lung carcinoma epithelial cell) whole cell lysate at 20 µg

Lane 3:

COLO 205 (human colon adenocarcinoma tumor ascitic epithelial cell) whole cell lysate at 20 µg

Lane 4:

HepG2 (human hepatocellular carcinoma epithelial cell) whole cell lysate at 20 µg

Secondary

All lanes:

Western blot - Goat Anti-Rabbit IgG H&L (HRP) (<a href='/en-us/products/secondary-antibodies/goat-rabbit-igg-h-l-hrp-ab97051'>ab97051</a>) at 1/20000 dilution

Observed band size: 37 kDa

false

Exposure time: 70s

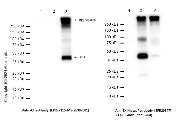
Western blot - Anti-xCT antibody [EPR27115-64] - BSA and Azide free (AB307602)
  • WB

Supplier Data

Western blot - Anti-xCT antibody [EPR27115-64] - BSA and Azide free (AB307602)

This data was developed using ab307601, the same antibody clone in a different buffer formulation.

Blocking and dilution buffer : 5% NFDM/TBST.

xCT protein is easy to form aggregates generating strong signal at the top.

All lanes:

Western blot - Anti-xCT antibody [EPR27115-64] (<a href='/en-us/products/primary-antibodies/xct-antibody-epr27115-64-ab307601'>ab307601</a>) at 1/1000 dilution

Lanes 1 and 4:

293T cells transfected with an empty vector containing a His tag whole cell lysate at 20 µg

Lanes 2 and 5:

293T cells transfected with a Human SLC7A5 expression vector containing a His-tag whole cell lysate at 20 µg

Lanes 3 and 6:

293T cells transfected with a Human xCT expression vector containing a His-tag whole cell lysate at 20 µg

Secondary

All lanes:

Western blot - Goat Anti-Rabbit IgG H&L (HRP) (<a href='/en-us/products/secondary-antibodies/goat-rabbit-igg-h-l-hrp-ab97051'>ab97051</a>) at 1/20000 dilution

Predicted band size: 55 kDa

Observed band size: 37 kDa

false

Exposure time: 7s

Western blot - Anti-xCT antibody [EPR27115-64] - BSA and Azide free (AB307602)
  • WB

Supplier Data

Western blot - Anti-xCT antibody [EPR27115-64] - BSA and Azide free (AB307602)

This data was developed using ab307601, the same antibody clone in a different buffer formulation.

Blocking and diluting buffer and concentration : 5% NFDM/TBST.

Negative control : skeletal muscle (PMID : 17401668).

The molecular weight observed is consistent with what has been described in the literature (PMID : 26494316, 18806690, 25384799, 30425240, 29693305).

All lysates were not boiled. For getting better result, we recommend not boiling the sample

All lanes:

Western blot - Anti-xCT antibody [EPR27115-64] (<a href='/en-us/products/primary-antibodies/xct-antibody-epr27115-64-ab307601'>ab307601</a>) at 1/1000 dilution

Lane 1:

Mouse cerebellum tissue lysate at 20 µg

Lane 2:

Mouse skeletal muscle tissue lysate at 20 µg

Lane 3:

Rat cerebellum tissue lysate at 20 µg

Lane 4:

Rat skeletal muscle tissue lysate at 20 µg

Secondary

All lanes:

Western blot - Goat Anti-Rabbit IgG H&L (HRP) (<a href='/en-us/products/secondary-antibodies/goat-rabbit-igg-h-l-hrp-ab97051'>ab97051</a>) at 1/20000 dilution

false

Exposure time: 180s

Western blot - Anti-xCT antibody [EPR27115-64] - BSA and Azide free (AB307602)
  • WB

Lab

Western blot - Anti-xCT antibody [EPR27115-64] - BSA and Azide free (AB307602)

This data was developed using ab307601, the same antibody clone in a different buffer formulation.

Blocking and diluting buffer and concentration : 5% NFDM/TBST.

In Western blot, Anti-GAPDH antibody [EPR16891] - Loading Control (ab181602) staining at 1/200000 dilution.

All lysates were not boiled. For getting better result we recommend not boiling the sample. The tissue samples were kindly provided by GemPharmatech. C57BL/6JGpt wildtype mice and Slc7a11-KO homozygous mice (Strain ID : T015610).

All lanes:

Western blot - Anti-xCT antibody [EPR27115-64] (<a href='/en-us/products/primary-antibodies/xct-antibody-epr27115-64-ab307601'>ab307601</a>) at 1/1000 dilution

Lane 1:

Wild-type mouse brain tissue lysate (male) at 40 µg

Lane 2:

Slc7a11 knockout mouse brain tissue lysate (male case1) at 40 µg

Lane 3:

Slc7a11 knockout mouse brain tissue lysate (male case2) at 40 µg

Secondary

All lanes:

Western blot - Goat Anti-Rabbit IgG H&L (HRP) (<a href='/en-us/products/secondary-antibodies/goat-rabbit-igg-h-l-hrp-ab97051'>ab97051</a>) at 1/20000 dilution

Observed band size: 35 kDa

false

Exposure time: 26s

Western blot - Anti-xCT antibody [EPR27115-64] - BSA and Azide free (AB307602)
  • WB

Supplier Data

Western blot - Anti-xCT antibody [EPR27115-64] - BSA and Azide free (AB307602)

This data was created using ab307601 the same clone in a different buffer formulation.

Boiling leads to the formation of aggregates of membrane proteins, leading to unsuccessful migration in gel. Please do not boil your lysate when testing membrane protein.

No xCT expression or very low levels were found in lung, heart, liver, and kidney. (PMID : 22667998)

Blocking and diluting buffer : 5% NFDM/TBST.

All lanes:

Western blot at 1/1000 dilution

Lane 1:

Rat cerebellum tissue lysate at 20 µg

Lane 2:

Rat brain tissue lysate at 20 µg

Lane 3:

Rat kidney tissue lysate at 20 µg

Lane 4:

Rat liver tissue lysate at 20 µg

Lane 5:

Rat heart tissue lysate at 20 µg

Lane 6:

Rat colon tissue lysate at 20 µg

Secondary

All lanes:

Western blot - Goat Anti-Rabbit IgG H&L (HRP) (<a href='/en-us/products/secondary-antibodies/goat-rabbit-igg-h-l-hrp-ab97051'>ab97051</a>) at 1/20000 dilution

Observed band size: 37 kDa

false

Exposure time: 180s

Key facts

Host species

Rabbit

Clonality

Monoclonal

Clone number

EPR27115-64

Isotype

IgG

Carrier free

Yes

Reacts with

Rat, Mouse, Human

Applications

IP, WB, Flow Cyt (Intra), IHC-P, ICC/IF

applications

Immunogen

The exact immunogen used to generate this antibody is proprietary information.

Specificity

We recommend not to boil your lysates before loading to gel when preparing membrane used for western blot. Boiling leads to the formation of aggregates of membrane proteins, leading to unsuccessful migration in gel. Please do not boil your lysate when testing membrane protein.

FURTHER INFORMATION ON SPECIFICITY (Chinese Version) available under the product protocols section. This file includes key technical notes of experience when using this product.

Reactivity data

{ "title": "Reactivity Data", "filters": { "stats": ["", "Species", "Dilution Info", "Notes"], "tabs": { "all-applications": {"fullname" : "All Applications", "shortname": "All Applications"}, "IP" : {"fullname" : "Immunoprecipitation", "shortname":"IP"}, "FlowCytIntra" : {"fullname" : "Flow Cytometry (Intracellular)", "shortname":"Flow Cyt (Intra)"}, "ICCIF" : {"fullname" : "Immunocytochemistry/ Immunofluorescence", "shortname":"ICC/IF"}, "IHCP" : {"fullname" : "Immunohistochemistry (Formalin/PFA-fixed paraffin-embedded sections)", "shortname":"IHC-P"}, "WB" : {"fullname" : "Western blot", "shortname":"WB"} }, "product-promise": { "all": "all", "testedAndGuaranteed": "tested", "guaranteed": "expected", "predicted": "predicted", "notRecommended": "not-recommended" } }, "values": { "Human": { "IP-species-checked": "testedAndGuaranteed", "IP-species-dilution-info": "", "IP-species-notes": "<p></p>", "FlowCytIntra-species-checked": "testedAndGuaranteed", "FlowCytIntra-species-dilution-info": "", "FlowCytIntra-species-notes": "<p></p>", "ICCIF-species-checked": "testedAndGuaranteed", "ICCIF-species-dilution-info": "", "ICCIF-species-notes": "<p></p>", "IHCP-species-checked": "testedAndGuaranteed", "IHCP-species-dilution-info": "", "IHCP-species-notes": "<p></p>", "WB-species-checked": "testedAndGuaranteed", "WB-species-dilution-info": "", "WB-species-notes": "<p></p>" }, "Mouse": { "IP-species-checked": "guaranteed", "IP-species-dilution-info": "", "IP-species-notes": "", "FlowCytIntra-species-checked": "guaranteed", "FlowCytIntra-species-dilution-info": "", "FlowCytIntra-species-notes": "", "ICCIF-species-checked": "guaranteed", "ICCIF-species-dilution-info": "", "ICCIF-species-notes": "", "IHCP-species-checked": "testedAndGuaranteed", "IHCP-species-dilution-info": "", "IHCP-species-notes": "<p></p>", "WB-species-checked": "testedAndGuaranteed", "WB-species-dilution-info": "", "WB-species-notes": "<p></p>" }, "Rat": { "IP-species-checked": "guaranteed", "IP-species-dilution-info": "", "IP-species-notes": "", "FlowCytIntra-species-checked": "guaranteed", "FlowCytIntra-species-dilution-info": "", "FlowCytIntra-species-notes": "", "ICCIF-species-checked": "guaranteed", "ICCIF-species-dilution-info": "", "ICCIF-species-notes": "", "IHCP-species-checked": "testedAndGuaranteed", "IHCP-species-dilution-info": "", "IHCP-species-notes": "<p></p>", "WB-species-checked": "testedAndGuaranteed", "WB-species-dilution-info": "", "WB-species-notes": "<p></p>" } } }

Product details

Patented technology
Our RabMAb® technology is a patented hybridoma-based technology for making rabbit monoclonal antibodies. For details on our patents, please refer to RabMAb® patents.

What are the advantages of a recombinant monoclonal antibody?
This product is a recombinant monoclonal antibody, which offers several advantages including:

  • - High batch-to-batch consistency and reproducibility
  • - Improved sensitivity and specificity
  • - Long-term security of supply
  • - Animal-free batch production

For more information, read more on recombinant antibodies.

Conjugation ready
Our carrier-free antibodies are typically supplied in a PBS-only formulation, purified and free of BSA, sodium azide and glycerol. This conjugation-ready format is designed for use with fluorochromes, metal isotopes, oligonucleotides, and enzymes, which makes them ideal for antibody labelling, functional and cell-based assays, flow-based assays (e.g. mass cytometry) and Multiplex Imaging applications.

Use our conjugation kits for antibody conjugates that are ready-to-use in as little as 20 minutes with 1 minute hands-on-time and 100% antibody recovery: available for fluorescent dyes, HRP, biotin and gold.

Compatibility
This product is compatible with the Maxpar® Antibody Labeling Kit from Fluidigm, without the need for antibody preparation. Maxpar® is a trademark of Fluidigm Canada Inc.

Properties and storage information

Form
Liquid
Purification technique
Affinity purification Protein A
Storage buffer
pH: 7.2 - 7.4 Constituents: PBS
Shipped at conditions
Blue Ice
Appropriate short-term storage conditions
+4°C
Appropriate long-term storage conditions
+4°C

Product protocols

For this product, it's our understanding that no specific protocols are required. You can visit:

Target data

Heterodimer with SLC3A2, that functions as an antiporter by mediating the exchange of extracellular anionic L-cystine and intracellular L-glutamate across the cellular plasma membrane (PubMed : 11133847, PubMed : 11417227, PubMed : 14722095, PubMed : 15151999, PubMed : 34880232, PubMed : 35245456, PubMed : 35352032). Provides L-cystine for the maintenance of the redox balance between extracellular L-cystine and L-cysteine and for the maintenance of the intracellular levels of glutathione that is essential for cells protection from oxidative stress (By similarity). The transport is sodium-independent, electroneutral with a stoichiometry of 1 : 1, and is drove by the high intracellular concentration of L-glutamate and the intracellular reduction of L-cystine (PubMed : 11133847, PubMed : 11417227). In addition, mediates the import of L-kynurenine leading to anti-ferroptotic signaling propagation required to maintain L-cystine and glutathione homeostasis (PubMed : 35245456). Moreover, mediates N-acetyl-L-cysteine uptake into the placenta leading to subsequently down-regulation of pathways associated with oxidative stress, inflammation and apoptosis (PubMed : 34120018). In vitro can also transport L-aspartate (PubMed : 11417227). May participate in astrocyte and meningeal cell proliferation during development and can provide neuroprotection by promoting glutathione synthesis and delivery from non-neuronal cells such as astrocytes and meningeal cells to immature neurons (By similarity). Controls the production of pheomelanin pigment directly (By similarity).
See full target information Cystine/glutamate transporter

Publications (2)

Recent publications for all applications. Explore the full list and refine your search

Gastroenterology report 13:goaf051 PubMed40584147

2025

BMP6 ubiquitination mediated by SMURF1 suppresses ferroptosis and diminishes sensitivity to doxorubicin in gastric cancer.

Applications

Unspecified application

Species

Unspecified reactive species

Shuzhen Xu,Qingqi Zheng,Chunlin Chen,Zhenfa Wang,Guoyan Liu

Cell & bioscience 14:109 PubMed39210450

2024

MST1R-targeted therapy in the battle against gallbladder cancer.

Applications

Unspecified application

Species

Unspecified reactive species

Wei Wang,Chao Huang,Li Zhang,Liqin Yu,Yangming Liu,Puxiongzhi Wang,Rongmu Xia
View all publications
websiteProtocolBooklet
zh

Product promise

We are committed to supporting your work with high-quality reagents, and we're here for you every step of the way. In the unlikely event that one of our products does not perform as expected, you're protected by our Product Promise.
For full details, please see our Terms & Conditions

Please note: All products are 'FOR RESEARCH USE ONLY. NOT FOR USE IN DIAGNOSTIC OR THERAPEUTIC PROCEDURES'.

For licensing inquiries, please contact partnerships@abcam.com