JavaScript is disabled in your browser. Please enable JavaScript to view this website.
AB229050

Anti-XIAP antibody [EPR22189-113]

Be the first to review this product! Submit a review

|

(12 Publications)

Rabbit Recombinant Monoclonal XIAP antibody. Suitable for WB and reacts with Mouse, Rat, Human samples. Cited in 12 publications.

View Alternative Names

API3, BIRC4, IAP3, XIAP, E3 ubiquitin-protein ligase XIAP, Baculoviral IAP repeat-containing protein 4, IAP-like protein, Inhibitor of apoptosis protein 3, RING-type E3 ubiquitin transferase XIAP, X-linked inhibitor of apoptosis protein, ILP, hILP, IAP-3, hIAP-3, hIAP3, X-linked IAP

3 Images
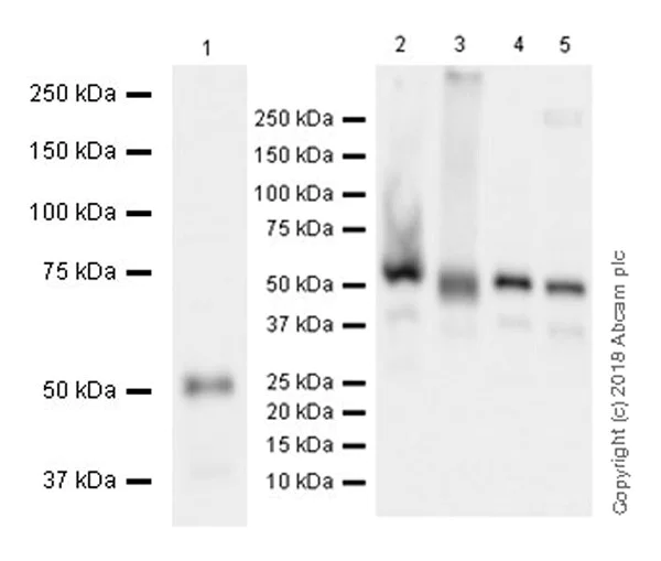
Western blot - Anti-XIAP antibody [EPR22189-113] (AB229050)
  • WB

Supplier Data

Western blot - Anti-XIAP antibody [EPR22189-113] (AB229050)

Blocking/Dilution buffer : 5% NFDM/TBST.

The expression profile observed is consistent with what has been described in the literature (PMID : 25535897).

All lanes:

Western blot - Anti-XIAP antibody [EPR22189-113] (ab229050) at 1/1000 dilution

Lane 1:

HEK-293T (human epithelial cell line from embryonic kidney transformed with large T antigen) whole cell lysate at 20 µg

Lane 2:

HeLa (human epithelial cell line from cervix adenocarcinoma) whole cell lysate at 20 µg

Lane 3:

WI-38 (human fetal lung fibroblast cell line) whole cell lysate at 20 µg

Lane 4:

HepG2 (human liver hepatocellular carcinoma cell line) whole cell lysate at 20 µg

Lane 5:

A549 (human lung carcinoma cell line) whole cell lysate at 20 µg

Secondary

All lanes:

Western blot - Goat Anti-Rabbit IgG H&L (HRP) (<a href='/en-us/products/secondary-antibodies/goat-rabbit-igg-h-l-hrp-ab97051'>ab97051</a>) at 1/100000 dilution

Predicted band size: 57 kDa

Observed band size: 50-56 kDa

false

Exposure time: 37s

Western blot - Anti-XIAP antibody [EPR22189-113] (AB229050)
  • WB

Lab

Western blot - Anti-XIAP antibody [EPR22189-113] (AB229050)

False colour image of Western blot : Anti-XIAP antibody [EPR22189-113] staining at 1/1000 dilution, shown in green; Mouse anti-GAPDH antibody [6C5] (ab8245) loading control staining at 1/20000 dilution, shown in red. In Western blot, ab229050 was shown to bind specifically to XIAP. A band was observed at 60 kDa in wild-type A549 cell lysates with no signal observed at this size in XIAP knockout cell line ab289043. To generate this image, wild-type and XIAP knockout A549 cell lysates were analysed. First, samples were run on an SDS-PAGE gel then transferred onto a nitrocellulose membrane. Membranes were blocked in 3 % milk in TBS-0.1 % Tween® 20 (TBS-T) before incubation with primary antibodies overnight at 4 °C. Blots were washed four times in TBS-T, incubated with secondary antibodies for 1 h at room temperature, washed again four times then imaged. Secondary antibodies used were Goat anti-Rabbit IgG H&L 800CW and Goat anti-Mouse IgG H&L 680RD at 1/20000 dilution.

All lanes:

Western blot - Anti-XIAP antibody [EPR22189-113] (ab229050) at 1/1000 dilution

Lane 1:

Wild-type A549 cell lysate at 20 µg

Lane 2:

XIAP knockout A549 cell lysate at 20 µg

Lane 3:

MCF7 cell lysate at 20 µg

Lane 4:

MOLT-4 cell lysate at 20 µg

Observed band size: 60 kDa

false

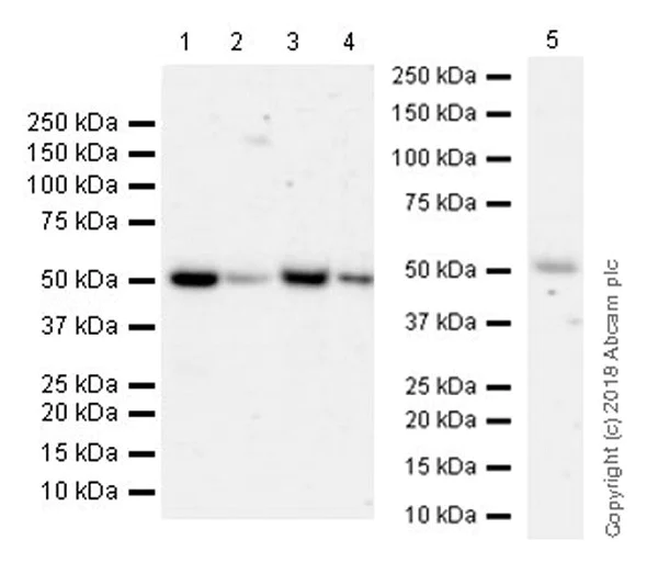
Western blot - Anti-XIAP antibody [EPR22189-113] (AB229050)
  • WB

Supplier Data

Western blot - Anti-XIAP antibody [EPR22189-113] (AB229050)

Blocking/Dilution buffer : 5% NFDM/TBST.

All lanes:

Western blot - Anti-XIAP antibody [EPR22189-113] (ab229050) at 1/1000 dilution

Lane 1:

C6 (rat glial tumor cell line) whole cell lysate at 10 µg

Lane 2:

RAW 264.7 (mouse macrophage cell line transformed with Abelson murine leukemia virus) whole cell lysate at 10 µg

Lane 3:

PC-12 (rat adrenal gland pheochromocytoma cell line) whole cell lysate at 10 µg

Lane 4:

NIH/3T3 (mouse embryo fibroblast cell line) whole cell lysate at 10 µg

Lane 5:

Neuro-2a (mouse neuroblastoma cell line) whole cell lysate at 10 µg

Secondary

All lanes:

Western blot - Goat Anti-Rabbit IgG H&L (HRP) (<a href='/en-us/products/secondary-antibodies/goat-rabbit-igg-h-l-hrp-ab97051'>ab97051</a>) at 1/100000 dilution

Predicted band size: 57 kDa

Observed band size: 50-56 kDa

false

Exposure time: 3min

  • Carrier free

    Anti-XIAP antibody [EPR22189-113] - BSA and Azide free

Key facts

Host species

Rabbit

Clonality

Monoclonal

Clone number

EPR22189-113

Isotype

IgG

Carrier free

No

Reacts with

Mouse, Rat, Human

Applications

WB

applications

Immunogen

The exact immunogen used to generate this antibody is proprietary information.

Reactivity data

{ "title": "Reactivity Data", "filters": { "stats": ["", "Species", "Dilution Info", "Notes"], "tabs": { "all-applications": {"fullname" : "All Applications", "shortname": "All Applications"}, "WB" : {"fullname" : "Western blot", "shortname":"WB"} }, "product-promise": { "all": "all", "testedAndGuaranteed": "tested", "guaranteed": "expected", "predicted": "predicted", "notRecommended": "not-recommended" } }, "values": { "Human": { "WB-species-checked": "testedAndGuaranteed", "WB-species-dilution-info": "1/1000", "WB-species-notes": "<p></p>" }, "Mouse": { "WB-species-checked": "testedAndGuaranteed", "WB-species-dilution-info": "1/1000", "WB-species-notes": "<p></p>" }, "Rat": { "WB-species-checked": "testedAndGuaranteed", "WB-species-dilution-info": "1/1000", "WB-species-notes": "<p></p>" } } }

Product details

Patented technology
Our RabMAb® technology is a patented hybridoma-based technology for making rabbit monoclonal antibodies. For details on our patents, please refer to RabMAb® patents.

What are the advantages of a recombinant monoclonal antibody?
This product is a recombinant monoclonal antibody, which offers several advantages including:

  • - High batch-to-batch consistency and reproducibility
  • - Improved sensitivity and specificity
  • - Long-term security of supply
  • - Animal-free batch production

For more information, read more on recombinant antibodies.

Properties and storage information

Form
Liquid
Purification technique
Affinity purification Protein A
Storage buffer
pH: 7.2 - 7.4 Preservative: 0.01% Sodium azide Constituents: PBS, 40% Glycerol (glycerin, glycerine), 0.05% BSA
Shipped at conditions
Blue Ice
Appropriate short-term storage duration
1-2 weeks
Appropriate short-term storage conditions
+4°C
Appropriate long-term storage conditions
-20°C
Aliquoting information
Upon delivery aliquot
Storage information
Avoid freeze / thaw cycle

Supplementary information

This supplementary information is collated from multiple sources and compiled automatically.

XIAP also known as X-linked inhibitor of apoptosis protein is a member of the inhibitor of apoptosis protein (IAP) family. XIAP has a molecular mass of approximately 57 kDa. This protein inhibits apoptosis by binding to and inhibiting caspases particularly caspase-3 caspase-7 and caspase-9. XIAP expresses in a variety of tissues including the heart kidney and liver but also shows expression in cancer cells. Its role in inhibiting cell death makes it a significant focus for cancer research.
Biological function summary

The function of XIAP involves regulation of apoptosis an important process in maintaining cellular homeostasis. It forms part of the apoptosome complex by interacting with caspases to prevent premature cell death. XIAP serves to protect cells from stress-induced apoptotic signals helping in survival under adverse conditions. This ability makes it a subject of interest in studying cancer survival mechanisms since overactive XIAP can allow cancer cells to avoid programmed cell death.

Pathways

Apoptosis regulation and cell survival pathways prominently feature XIAP. Particularly XIAP plays a role in the intrinsic apoptotic pathway which is activated in response to internal stress signals. XIAP regulates this pathway via its interaction with caspase-9 and interactions with other proteins such as Smac/DIABLO which can antagonize XIAP's function. This interaction is key in balancing cell death and survival therefore highlighting its role in apoptosis control.

XIAP's dysregulation links to cancer and neurodegenerative disorders. Overexpression of XIAP can contribute to cancer by enabling cells to evade apoptosis leading to uncontrolled cell proliferation. Moreover studies have suggested a role in neurodegenerative diseases where alterations in XIAP may affect neuronal cell survival. In these contexts XIAP's interactions with proteins such as caspases and Smac/DIABLO surface as important in understanding how apoptosis evasion or enhancement contributes to disease pathology.

Product protocols

For this product, it's our understanding that no specific protocols are required. You can visit:

Target data

Multi-functional protein which regulates not only caspases and apoptosis, but also modulates inflammatory signaling and immunity, copper homeostasis, mitogenic kinase signaling, cell proliferation, as well as cell invasion and metastasis (PubMed : 11257230, PubMed : 11257231, PubMed : 11447297, PubMed : 12121969, PubMed : 12620238, PubMed : 17560374, PubMed : 17967870, PubMed : 19473982, PubMed : 20154138, PubMed : 22103349, PubMed : 9230442). Acts as a direct caspase inhibitor (PubMed : 11257230, PubMed : 11257231, PubMed : 12620238). Directly bind to the active site pocket of CASP3 and CASP7 and obstructs substrate entry (PubMed : 11257230, PubMed : 11257231, PubMed : 16352606, PubMed : 16916640). Inactivates CASP9 by keeping it in a monomeric, inactive state (PubMed : 12620238). Acts as an E3 ubiquitin-protein ligase regulating NF-kappa-B signaling and the target proteins for its E3 ubiquitin-protein ligase activity include : RIPK1, RIPK2, MAP3K2/MEKK2, DIABLO/SMAC, AIFM1, CCS, PTEN and BIRC5/survivin (PubMed : 17560374, PubMed : 17967870, PubMed : 19473982, PubMed : 20154138, PubMed : 22103349, PubMed : 22607974, PubMed : 29452636, PubMed : 30026309). Acts as an important regulator of innate immunity by mediating 'Lys-63'-linked polyubiquitination of RIPK2 downstream of NOD1 and NOD2, thereby transforming RIPK2 into a scaffolding protein for downstream effectors, ultimately leading to activation of the NF-kappa-B and MAP kinases signaling (PubMed : 19667203, PubMed : 22607974, PubMed : 29452636, PubMed : 30026309). 'Lys-63'-linked polyubiquitination of RIPK2 also promotes recruitment of the LUBAC complex to RIPK2 (PubMed : 22607974, PubMed : 29452636). Regulates the BMP signaling pathway and the SMAD and MAP3K7/TAK1 dependent pathways leading to NF-kappa-B and JNK activation (PubMed : 17560374). Ubiquitination of CCS leads to enhancement of its chaperone activity toward its physiologic target, SOD1, rather than proteasomal degradation (PubMed : 20154138). Ubiquitination of MAP3K2/MEKK2 and AIFM1 does not lead to proteasomal degradation (PubMed : 17967870, PubMed : 22103349). Plays a role in copper homeostasis by ubiquitinating COMMD1 and promoting its proteasomal degradation (PubMed : 14685266). Can also function as E3 ubiquitin-protein ligase of the NEDD8 conjugation pathway, targeting effector caspases for neddylation and inactivation (PubMed : 21145488). Ubiquitinates and therefore mediates the proteasomal degradation of BCL2 in response to apoptosis (PubMed : 29020630). Protects cells from spontaneous formation of the ripoptosome, a large multi-protein complex that has the capability to kill cancer cells in a caspase-dependent and caspase-independent manner (PubMed : 22095281). Suppresses ripoptosome formation by ubiquitinating RIPK1 and CASP8 (PubMed : 22095281). Acts as a positive regulator of Wnt signaling and ubiquitinates TLE1, TLE2, TLE3, TLE4 and AES (PubMed : 22304967). Ubiquitination of TLE3 results in inhibition of its interaction with TCF7L2/TCF4 thereby allowing efficient recruitment and binding of the transcriptional coactivator beta-catenin to TCF7L2/TCF4 that is required to initiate a Wnt-specific transcriptional program (PubMed : 22304967).
See full target information XIAP

Publications (12)

Recent publications for all applications. Explore the full list and refine your search

International journal of molecular medicine 55: PubMed39670303

2024

Jinlida granules alleviate podocyte apoptosis and mitochondrial dysfunction via the AMPK/PGC‑1α pathway in diabetic nephropathy.

Applications

Unspecified application

Species

Unspecified reactive species

Shengnan Sun,Shurong Yang,Ying Cheng,Ting Fang,Jingru Qu,Lei Tian,Man Zhang,Shi Wu,Bei Sun,Liming Chen

Neuroreport 34:685-692 PubMed37556588

2023

Gastrodin facilitates recovery of neurological function of MCAO rats through upregulating miR-20a-5p/XIAP pathway via exosome.

Applications

Unspecified application

Species

Unspecified reactive species

Yinan Nan,Wenhao Zhu,Bin Zhu,Shaoqing Wang

BMC musculoskeletal disorders 23:789 PubMed35978328

2022

miR-215-5p regulates osteoporosis development and osteogenic differentiation by targeting XIAP.

Applications

Unspecified application

Species

Unspecified reactive species

Zilong Yin,Jian Shen,Qiang Wang,Liangyuan Wen,Wenjing Qu,Yaonan Zhang

BioMed research international 2022:1327835 PubMed35572727

2022

6'-O-Galloylpaeoniflorin Exerts Inhibitory Bioactivities in Human Neuroblastoma Cells via Modulating AMPK/miR-489/XIAP Pathway.

Applications

Unspecified application

Species

Unspecified reactive species

Lijun Zhou,Aiwu Li,Qiangye Zhang

Translational oncology 20:101356 PubMed35339891

2022

LncRNA GIHCG promoted the proliferation and migration of renal cell carcinoma through regulating miR-499a-5p/XIAP axis.

Applications

Unspecified application

Species

Unspecified reactive species

Shu-Ying Zhu,Hong-Chang Zou,Ming-Ming Gao,Yan-Xia Chen,Man Xu,Xiao-Hua Qin

Neoplasma 69:370-382 PubMed35081724

2022

TRIM35 functions as a novel tumor suppressor in breast cancer by inducing cell apoptosis through ubiquitination of PDK1.

Applications

Unspecified application

Species

Unspecified reactive species

Rong Wang,Ke-Liang Huang,Lian-Xiang Xing

International journal of nanomedicine 16:6329-6343 PubMed34556984

2021

Exosomal miR-136-5p Derived from Anlotinib-Resistant NSCLC Cells Confers Anlotinib Resistance in Non-Small Cell Lung Cancer Through Targeting PPP2R2A.

Applications

Unspecified application

Species

Unspecified reactive species

Guoqing Gu,Chenxi Hu,Kaiyuan Hui,Huiqin Zhang,Ting Chen,Xin Zhang,Xiaodong Jiang

Journal of geriatric cardiology : JGC 18:426-439 PubMed34220972

2021

Downregulation of miR-181a-5p alleviates oxidative stress and inflammation in coronary microembolization-induced myocardial damage by directly targeting XIAP.

Applications

Unspecified application

Species

Unspecified reactive species

You Zhou,Man-Yun Long,Zhi-Qing Chen,Jun-Wen Huang,Zhen-Bai Qin,Lang Li

Annals of clinical and laboratory science 51:231-240 PubMed33941563

2021

Long Non-Coding RNA Small Nucleolar RNA Host Gene 1 Alleviates Sepsis-Associated Myocardial Injury by Modulating the miR-181a-5p/XIAP Axis .

Applications

Unspecified application

Species

Unspecified reactive species

Sicong Luo,Xiaoyan Huang,Shuling Liu,Lieyuan Zhang,Xingui Cai,Bojun Chen

Experimental and therapeutic medicine 21:661 PubMed33968191

2021

Apoptosis in HUVECs induced by microRNA-616-3p via X-linked inhibitor of apoptosis protein targeting.

Applications

Unspecified application

Species

Unspecified reactive species

Hua Chen,Xi Liu,Yun Wu,Xiayin Wu,Xiaoli Wen,Yanan Lu,Xingsheng Zhao
View all publications

Product promise

We are committed to supporting your work with high-quality reagents, and we're here for you every step of the way. In the unlikely event that one of our products does not perform as expected, you're protected by our Product Promise.
For full details, please see our Terms & Conditions

Please note: All products are 'FOR RESEARCH USE ONLY. NOT FOR USE IN DIAGNOSTIC OR THERAPEUTIC PROCEDURES'.

For licensing inquiries, please contact partnerships@abcam.com