JavaScript is disabled in your browser. Please enable JavaScript to view this website.
AB238654

Anti-XIAP antibody [EPR22189-113] - BSA and Azide free

Be the first to review this product! Submit a review

|

(1 Publication)

Rabbit Recombinant Monoclonal XIAP antibody. Carrier free. Suitable for WB and reacts with Mouse, Rat, Human samples. Cited in 1 publication.

View Alternative Names

API3, BIRC4, IAP3, XIAP, E3 ubiquitin-protein ligase XIAP, Baculoviral IAP repeat-containing protein 4, IAP-like protein, Inhibitor of apoptosis protein 3, RING-type E3 ubiquitin transferase XIAP, X-linked inhibitor of apoptosis protein, ILP, hILP, IAP-3, hIAP-3, hIAP3, X-linked IAP

1 Images
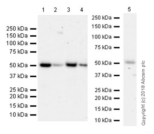
Western blot - Anti-XIAP antibody [EPR22189-113] - BSA and Azide free (AB238654)
  • WB

Supplier Data

Western blot - Anti-XIAP antibody [EPR22189-113] - BSA and Azide free (AB238654)

Blocking/Dilution buffer : 5% NFDM/TBST.

This data was developed using the same antibody clone in a different buffer formulation containing PBS, BSA, glycerol, and sodium azide (ab229050).

All lanes:

Western blot - Anti-XIAP antibody [EPR22189-113] (<a href='/en-us/products/primary-antibodies/xiap-antibody-epr22189-113-ab229050'>ab229050</a>) at 1/1000 dilution

Lane 1:

C6 (rat glial tumor cell line) whole cell lysate at 10 µg

Lane 2:

RAW 264.7 (mouse macrophage cell line transformed with Abelson murine leukemia virus) whole cell lysate at 10 µg

Lane 3:

PC-12 (rat adrenal gland pheochromocytoma cell line) whole cell lysate at 10 µg

Lane 4:

NIH/3T3 (mouse embryo fibroblast cell line) whole cell lysate at 10 µg

Lane 5:

Neuro-2a (mouse neuroblastoma cell line) whole cell lysate at 10 µg

Secondary

All lanes:

Western blot - Goat Anti-Rabbit IgG H&L (HRP) (<a href='/en-us/products/secondary-antibodies/goat-rabbit-igg-h-l-hrp-ab97051'>ab97051</a>) at 1/100000 dilution

Predicted band size: 57 kDa

Observed band size: 50-56 kDa

false

Exposure time: 3min

Key facts

Host species

Rabbit

Clonality

Monoclonal

Clone number

EPR22189-113

Isotype

IgG

Carrier free

Yes

Reacts with

Mouse, Rat, Human

Applications

WB

applications

Immunogen

The exact immunogen used to generate this antibody is proprietary information.

Reactivity data

{ "title": "Reactivity Data", "filters": { "stats": ["", "Species", "Dilution Info", "Notes"], "tabs": { "all-applications": {"fullname" : "All Applications", "shortname": "All Applications"}, "WB" : {"fullname" : "Western blot", "shortname":"WB"} }, "product-promise": { "all": "all", "testedAndGuaranteed": "tested", "guaranteed": "expected", "predicted": "predicted", "notRecommended": "not-recommended" } }, "values": { "Human": { "WB-species-checked": "testedAndGuaranteed", "WB-species-dilution-info": "", "WB-species-notes": "<p></p>" }, "Mouse": { "WB-species-checked": "testedAndGuaranteed", "WB-species-dilution-info": "", "WB-species-notes": "<p></p>" }, "Rat": { "WB-species-checked": "testedAndGuaranteed", "WB-species-dilution-info": "", "WB-species-notes": "<p></p>" } } }

Product details

ab238654 is the carrier-free version of ab229050.

Patented technology
Our RabMAb® technology is a patented hybridoma-based technology for making rabbit monoclonal antibodies. For details on our patents, please refer to RabMAb® patents.

What are the advantages of a recombinant monoclonal antibody?
This product is a recombinant monoclonal antibody, which offers several advantages including:

  • - High batch-to-batch consistency and reproducibility
  • - Improved sensitivity and specificity
  • - Long-term security of supply
  • - Animal-free batch production

For more information, read more on recombinant antibodies.

Conjugation ready
Our carrier-free antibodies are typically supplied in a PBS-only formulation, purified and free of BSA, sodium azide and glycerol. This conjugation-ready format is designed for use with fluorochromes, metal isotopes, oligonucleotides, and enzymes, which makes them ideal for antibody labelling, functional and cell-based assays, flow-based assays (e.g. mass cytometry) and Multiplex Imaging applications.

Use our conjugation kits for antibody conjugates that are ready-to-use in as little as 20 minutes with 1 minute hands-on-time and 100% antibody recovery: available for fluorescent dyes, HRP, biotin and gold.

Compatibility
This product is compatible with the Maxpar® Antibody Labeling Kit from Fluidigm, without the need for antibody preparation. Maxpar® is a trademark of Fluidigm Canada Inc.

Properties and storage information

Form
Liquid
Purification technique
Affinity purification Protein A
Storage buffer
pH: 7.2 - 7.4 Constituents: PBS
Shipped at conditions
Blue Ice
Appropriate short-term storage conditions
+4°C
Appropriate long-term storage conditions
+4°C
Storage information
Do Not Freeze

Supplementary information

This supplementary information is collated from multiple sources and compiled automatically.

XIAP also known as X-linked inhibitor of apoptosis protein is a member of the inhibitor of apoptosis protein (IAP) family. XIAP has a molecular mass of approximately 57 kDa. This protein inhibits apoptosis by binding to and inhibiting caspases particularly caspase-3 caspase-7 and caspase-9. XIAP expresses in a variety of tissues including the heart kidney and liver but also shows expression in cancer cells. Its role in inhibiting cell death makes it a significant focus for cancer research.
Biological function summary

The function of XIAP involves regulation of apoptosis an important process in maintaining cellular homeostasis. It forms part of the apoptosome complex by interacting with caspases to prevent premature cell death. XIAP serves to protect cells from stress-induced apoptotic signals helping in survival under adverse conditions. This ability makes it a subject of interest in studying cancer survival mechanisms since overactive XIAP can allow cancer cells to avoid programmed cell death.

Pathways

Apoptosis regulation and cell survival pathways prominently feature XIAP. Particularly XIAP plays a role in the intrinsic apoptotic pathway which is activated in response to internal stress signals. XIAP regulates this pathway via its interaction with caspase-9 and interactions with other proteins such as Smac/DIABLO which can antagonize XIAP's function. This interaction is key in balancing cell death and survival therefore highlighting its role in apoptosis control.

XIAP's dysregulation links to cancer and neurodegenerative disorders. Overexpression of XIAP can contribute to cancer by enabling cells to evade apoptosis leading to uncontrolled cell proliferation. Moreover studies have suggested a role in neurodegenerative diseases where alterations in XIAP may affect neuronal cell survival. In these contexts XIAP's interactions with proteins such as caspases and Smac/DIABLO surface as important in understanding how apoptosis evasion or enhancement contributes to disease pathology.

Product protocols

For this product, it's our understanding that no specific protocols are required. You can visit:

Target data

Multi-functional protein which regulates not only caspases and apoptosis, but also modulates inflammatory signaling and immunity, copper homeostasis, mitogenic kinase signaling, cell proliferation, as well as cell invasion and metastasis (PubMed : 11257230, PubMed : 11257231, PubMed : 11447297, PubMed : 12121969, PubMed : 12620238, PubMed : 17560374, PubMed : 17967870, PubMed : 19473982, PubMed : 20154138, PubMed : 22103349, PubMed : 9230442). Acts as a direct caspase inhibitor (PubMed : 11257230, PubMed : 11257231, PubMed : 12620238). Directly bind to the active site pocket of CASP3 and CASP7 and obstructs substrate entry (PubMed : 11257230, PubMed : 11257231, PubMed : 16352606, PubMed : 16916640). Inactivates CASP9 by keeping it in a monomeric, inactive state (PubMed : 12620238). Acts as an E3 ubiquitin-protein ligase regulating NF-kappa-B signaling and the target proteins for its E3 ubiquitin-protein ligase activity include : RIPK1, RIPK2, MAP3K2/MEKK2, DIABLO/SMAC, AIFM1, CCS, PTEN and BIRC5/survivin (PubMed : 17560374, PubMed : 17967870, PubMed : 19473982, PubMed : 20154138, PubMed : 22103349, PubMed : 22607974, PubMed : 29452636, PubMed : 30026309). Acts as an important regulator of innate immunity by mediating 'Lys-63'-linked polyubiquitination of RIPK2 downstream of NOD1 and NOD2, thereby transforming RIPK2 into a scaffolding protein for downstream effectors, ultimately leading to activation of the NF-kappa-B and MAP kinases signaling (PubMed : 19667203, PubMed : 22607974, PubMed : 29452636, PubMed : 30026309). 'Lys-63'-linked polyubiquitination of RIPK2 also promotes recruitment of the LUBAC complex to RIPK2 (PubMed : 22607974, PubMed : 29452636). Regulates the BMP signaling pathway and the SMAD and MAP3K7/TAK1 dependent pathways leading to NF-kappa-B and JNK activation (PubMed : 17560374). Ubiquitination of CCS leads to enhancement of its chaperone activity toward its physiologic target, SOD1, rather than proteasomal degradation (PubMed : 20154138). Ubiquitination of MAP3K2/MEKK2 and AIFM1 does not lead to proteasomal degradation (PubMed : 17967870, PubMed : 22103349). Plays a role in copper homeostasis by ubiquitinating COMMD1 and promoting its proteasomal degradation (PubMed : 14685266). Can also function as E3 ubiquitin-protein ligase of the NEDD8 conjugation pathway, targeting effector caspases for neddylation and inactivation (PubMed : 21145488). Ubiquitinates and therefore mediates the proteasomal degradation of BCL2 in response to apoptosis (PubMed : 29020630). Protects cells from spontaneous formation of the ripoptosome, a large multi-protein complex that has the capability to kill cancer cells in a caspase-dependent and caspase-independent manner (PubMed : 22095281). Suppresses ripoptosome formation by ubiquitinating RIPK1 and CASP8 (PubMed : 22095281). Acts as a positive regulator of Wnt signaling and ubiquitinates TLE1, TLE2, TLE3, TLE4 and AES (PubMed : 22304967). Ubiquitination of TLE3 results in inhibition of its interaction with TCF7L2/TCF4 thereby allowing efficient recruitment and binding of the transcriptional coactivator beta-catenin to TCF7L2/TCF4 that is required to initiate a Wnt-specific transcriptional program (PubMed : 22304967).
See full target information XIAP

Publications (1)

Recent publications for all applications. Explore the full list and refine your search

Journal of translational medicine 21:882 PubMed38057853

2023

GATA6-AS1 suppresses epithelial-mesenchymal transition of pancreatic cancer under hypoxia through regulating SNAI1 mRNA stability.

Applications

Unspecified application

Species

Unspecified reactive species

Yunhui Zhou,Xinyi Zhou,Qiwen Ben,Ningning Liu,Jiahui Wang,Yongpeng Zhai,Yichen Bao,Lin Zhou
View all publications

Product promise

We are committed to supporting your work with high-quality reagents, and we're here for you every step of the way. In the unlikely event that one of our products does not perform as expected, you're protected by our Product Promise.
For full details, please see our Terms & Conditions

Please note: All products are 'FOR RESEARCH USE ONLY. NOT FOR USE IN DIAGNOSTIC OR THERAPEUTIC PROCEDURES'.

For licensing inquiries, please contact partnerships@abcam.com