JavaScript is disabled in your browser. Please enable JavaScript to view this website.
AB175935

Anti-XIAP (phospho S87) antibody [EPR572(N)]

Be the first to review this product! Submit a review

|

(2 Publications)

Rabbit Recombinant Monoclonal XIAP phospho S87 antibody. Suitable for WB and reacts with Human samples. Cited in 2 publications.

View Alternative Names

API3, BIRC4, IAP3, XIAP, E3 ubiquitin-protein ligase XIAP, Baculoviral IAP repeat-containing protein 4, IAP-like protein, Inhibitor of apoptosis protein 3, RING-type E3 ubiquitin transferase XIAP, X-linked inhibitor of apoptosis protein, ILP, hILP, IAP-3, hIAP-3, hIAP3, X-linked IAP

1 Images
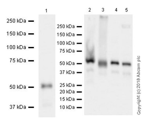
Western blot - Anti-XIAP (phospho S87) antibody [EPR572(N)] (AB175935)
  • WB

Supplier Data

Western blot - Anti-XIAP (phospho S87) antibody [EPR572(N)] (AB175935)

All lanes:

Western blot - Anti-XIAP (phospho S87) antibody [EPR572(N)] (ab175935) at 1/1000 dilution

Lane 1:

HeLa cell lysate at 10 µg

Lane 2:

HeLa cell lysate treated with Okadaic acid and Calyculin A at 10 µg

Predicted band size: 57 kDa

false

  • Carrier free

    Anti-XIAP (phospho S87) antibody [EPR572(N)] - BSA and Azide free

Key facts

Host species

Rabbit

Clonality

Monoclonal

Clone number

EPR572(N)

Isotype

IgG

Carrier free

No

Reacts with

Human

Applications

WB

applications

Immunogen

The exact immunogen used to generate this antibody is proprietary information.

Reactivity data

{ "title": "Reactivity Data", "filters": { "stats": ["", "Species", "Dilution Info", "Notes"], "tabs": { "all-applications": {"fullname" : "All Applications", "shortname": "All Applications"}, "IP" : {"fullname" : "Immunoprecipitation", "shortname":"IP"}, "FlowCyt" : {"fullname" : "Flow Cytometry", "shortname":"Flow Cyt"}, "WB" : {"fullname" : "Western blot", "shortname":"WB"}, "IHCP" : {"fullname" : "Immunohistochemistry (Formalin/PFA-fixed paraffin-embedded sections)", "shortname":"IHC-P"}, "ICCIF" : {"fullname" : "Immunocytochemistry/ Immunofluorescence", "shortname":"ICC/IF"} }, "product-promise": { "all": "all", "testedAndGuaranteed": "tested", "guaranteed": "expected", "predicted": "predicted", "notRecommended": "not-recommended" } }, "values": { "Human": { "IP-species-checked": "notRecommended", "IP-species-dilution-info": "", "IP-species-notes": "<p></p>", "FlowCyt-species-checked": "notRecommended", "FlowCyt-species-dilution-info": "", "FlowCyt-species-notes": "<p></p>", "WB-species-checked": "testedAndGuaranteed", "WB-species-dilution-info": "1/1000 - 1/5000", "WB-species-notes": "<p></p>", "IHCP-species-checked": "notRecommended", "IHCP-species-dilution-info": "", "IHCP-species-notes": "<p></p>", "ICCIF-species-checked": "notRecommended", "ICCIF-species-dilution-info": "", "ICCIF-species-notes": "<p></p>" }, "Mouse": { "IP-species-checked": "notRecommended", "IP-species-dilution-info": "", "IP-species-notes": "<p></p>", "FlowCyt-species-checked": "notRecommended", "FlowCyt-species-dilution-info": "", "FlowCyt-species-notes": "<p></p>", "WB-species-checked": "notRecommended", "WB-species-dilution-info": "1/1000 - 1/5000", "WB-species-notes": "<p></p>", "IHCP-species-checked": "notRecommended", "IHCP-species-dilution-info": "", "IHCP-species-notes": "<p></p>", "ICCIF-species-checked": "notRecommended", "ICCIF-species-dilution-info": "", "ICCIF-species-notes": "<p></p>" }, "Rat": { "IP-species-checked": "notRecommended", "IP-species-dilution-info": "", "IP-species-notes": "<p></p>", "FlowCyt-species-checked": "notRecommended", "FlowCyt-species-dilution-info": "", "FlowCyt-species-notes": "<p></p>", "WB-species-checked": "notRecommended", "WB-species-dilution-info": "1/1000 - 1/5000", "WB-species-notes": "<p></p>", "IHCP-species-checked": "notRecommended", "IHCP-species-dilution-info": "", "IHCP-species-notes": "<p></p>", "ICCIF-species-checked": "notRecommended", "ICCIF-species-dilution-info": "", "ICCIF-species-notes": "<p></p>" } } }

Product details

Patented technology
Our RabMAb® technology is a patented hybridoma-based technology for making rabbit monoclonal antibodies. For details on our patents, please refer to RabMAb® patents.

What are the advantages of a recombinant monoclonal antibody?
This product is a recombinant monoclonal antibody, which offers several advantages including:

  • - High batch-to-batch consistency and reproducibility
  • - Improved sensitivity and specificity
  • - Long-term security of supply
  • - Animal-free batch production

For more information, read more on recombinant antibodies.

Properties and storage information

Form
Liquid
Purity
Tissue culture supernatant
Storage buffer
pH: 7.2 - 7.4 Preservative: 0.01% Sodium azide Constituents: PBS, 50% Tissue culture supernatant, 40% Glycerol (glycerin, glycerine), 0.05% BSA
Shipped at conditions
Blue Ice
Appropriate short-term storage duration
1-2 weeks
Appropriate short-term storage conditions
+4°C
Appropriate long-term storage conditions
-20°C
Aliquoting information
Upon delivery aliquot
Storage information
Avoid freeze / thaw cycle

Supplementary information

This supplementary information is collated from multiple sources and compiled automatically.

XIAP also known as X-linked inhibitor of apoptosis protein is a member of the inhibitor of apoptosis protein (IAP) family. XIAP has a molecular mass of approximately 57 kDa. This protein inhibits apoptosis by binding to and inhibiting caspases particularly caspase-3 caspase-7 and caspase-9. XIAP expresses in a variety of tissues including the heart kidney and liver but also shows expression in cancer cells. Its role in inhibiting cell death makes it a significant focus for cancer research.
Biological function summary

The function of XIAP involves regulation of apoptosis an important process in maintaining cellular homeostasis. It forms part of the apoptosome complex by interacting with caspases to prevent premature cell death. XIAP serves to protect cells from stress-induced apoptotic signals helping in survival under adverse conditions. This ability makes it a subject of interest in studying cancer survival mechanisms since overactive XIAP can allow cancer cells to avoid programmed cell death.

Pathways

Apoptosis regulation and cell survival pathways prominently feature XIAP. Particularly XIAP plays a role in the intrinsic apoptotic pathway which is activated in response to internal stress signals. XIAP regulates this pathway via its interaction with caspase-9 and interactions with other proteins such as Smac/DIABLO which can antagonize XIAP's function. This interaction is key in balancing cell death and survival therefore highlighting its role in apoptosis control.

XIAP's dysregulation links to cancer and neurodegenerative disorders. Overexpression of XIAP can contribute to cancer by enabling cells to evade apoptosis leading to uncontrolled cell proliferation. Moreover studies have suggested a role in neurodegenerative diseases where alterations in XIAP may affect neuronal cell survival. In these contexts XIAP's interactions with proteins such as caspases and Smac/DIABLO surface as important in understanding how apoptosis evasion or enhancement contributes to disease pathology.

Product protocols

For this product, it's our understanding that no specific protocols are required. You can visit:

Target data

Multi-functional protein which regulates not only caspases and apoptosis, but also modulates inflammatory signaling and immunity, copper homeostasis, mitogenic kinase signaling, cell proliferation, as well as cell invasion and metastasis (PubMed : 11257230, PubMed : 11257231, PubMed : 11447297, PubMed : 12121969, PubMed : 12620238, PubMed : 17560374, PubMed : 17967870, PubMed : 19473982, PubMed : 20154138, PubMed : 22103349, PubMed : 9230442). Acts as a direct caspase inhibitor (PubMed : 11257230, PubMed : 11257231, PubMed : 12620238). Directly bind to the active site pocket of CASP3 and CASP7 and obstructs substrate entry (PubMed : 11257230, PubMed : 11257231, PubMed : 16352606, PubMed : 16916640). Inactivates CASP9 by keeping it in a monomeric, inactive state (PubMed : 12620238). Acts as an E3 ubiquitin-protein ligase regulating NF-kappa-B signaling and the target proteins for its E3 ubiquitin-protein ligase activity include : RIPK1, RIPK2, MAP3K2/MEKK2, DIABLO/SMAC, AIFM1, CCS, PTEN and BIRC5/survivin (PubMed : 17560374, PubMed : 17967870, PubMed : 19473982, PubMed : 20154138, PubMed : 22103349, PubMed : 22607974, PubMed : 29452636, PubMed : 30026309). Acts as an important regulator of innate immunity by mediating 'Lys-63'-linked polyubiquitination of RIPK2 downstream of NOD1 and NOD2, thereby transforming RIPK2 into a scaffolding protein for downstream effectors, ultimately leading to activation of the NF-kappa-B and MAP kinases signaling (PubMed : 19667203, PubMed : 22607974, PubMed : 29452636, PubMed : 30026309). 'Lys-63'-linked polyubiquitination of RIPK2 also promotes recruitment of the LUBAC complex to RIPK2 (PubMed : 22607974, PubMed : 29452636). Regulates the BMP signaling pathway and the SMAD and MAP3K7/TAK1 dependent pathways leading to NF-kappa-B and JNK activation (PubMed : 17560374). Ubiquitination of CCS leads to enhancement of its chaperone activity toward its physiologic target, SOD1, rather than proteasomal degradation (PubMed : 20154138). Ubiquitination of MAP3K2/MEKK2 and AIFM1 does not lead to proteasomal degradation (PubMed : 17967870, PubMed : 22103349). Plays a role in copper homeostasis by ubiquitinating COMMD1 and promoting its proteasomal degradation (PubMed : 14685266). Can also function as E3 ubiquitin-protein ligase of the NEDD8 conjugation pathway, targeting effector caspases for neddylation and inactivation (PubMed : 21145488). Ubiquitinates and therefore mediates the proteasomal degradation of BCL2 in response to apoptosis (PubMed : 29020630). Protects cells from spontaneous formation of the ripoptosome, a large multi-protein complex that has the capability to kill cancer cells in a caspase-dependent and caspase-independent manner (PubMed : 22095281). Suppresses ripoptosome formation by ubiquitinating RIPK1 and CASP8 (PubMed : 22095281). Acts as a positive regulator of Wnt signaling and ubiquitinates TLE1, TLE2, TLE3, TLE4 and AES (PubMed : 22304967). Ubiquitination of TLE3 results in inhibition of its interaction with TCF7L2/TCF4 thereby allowing efficient recruitment and binding of the transcriptional coactivator beta-catenin to TCF7L2/TCF4 that is required to initiate a Wnt-specific transcriptional program (PubMed : 22304967).
See full target information XIAP phospho S87

Publications (2)

Recent publications for all applications. Explore the full list and refine your search

Cells 8: PubMed31635307

2019

ATM Regulated PTEN Degradation Is XIAP E3 Ubiquitin Ligase Mediated in p85α Deficient Cancer Cells and Influence Platinum Sensitivity.

Applications

Unspecified application

Species

Unspecified reactive species

Reem Ali,Muslim Alabdullah,Islam Miligy,Makhliyo Normatova,Roya Babaei-Jadidi,Abdolrahman S Nateri,Emad A Rakha,Srinivasan Madhusudan

Cell and tissue research 367:387-395 PubMed27613305

2016

Decreased activation of placental mTOR family members is associated with the induction of intrauterine growth restriction by secondhand smoke in the mouse.

Applications

Unspecified application

Species

Unspecified reactive species

Camilo Mejia,Josh Lewis,Clinton Jordan,Juan Mejia,Connor Ogden,Troy Monson,Duane Winden,Marc Watson,Paul R Reynolds,Juan A Arroyo
View all publications

Product promise

We are committed to supporting your work with high-quality reagents, and we're here for you every step of the way. In the unlikely event that one of our products does not perform as expected, you're protected by our Product Promise.
For full details, please see our Terms & Conditions

Please note: All products are 'FOR RESEARCH USE ONLY. NOT FOR USE IN DIAGNOSTIC OR THERAPEUTIC PROCEDURES'.

For licensing inquiries, please contact partnerships@abcam.com