JavaScript is disabled in your browser. Please enable JavaScript to view this website.
AB232587

Anti-XLF antibody [EPR15882-36] - BSA and Azide free

Be the first to review this product! Submit a review

|

(1 Publication)

Rabbit Recombinant Monoclonal XLF antibody. Carrier free. Suitable for WB, ICC/IF, Flow Cyt (Intra), IHC-P and reacts with Human samples. Cited in 1 publication.

View Alternative Names

XLF, NHEJ1, Non-homologous end-joining factor 1, Protein cernunnos, XRCC4-like factor

5 Images
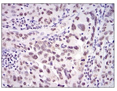
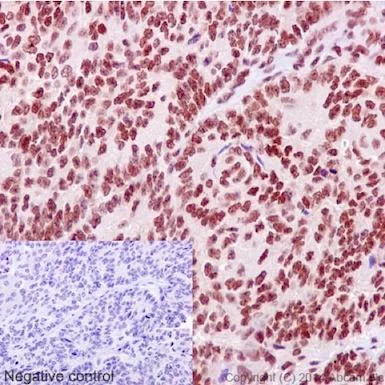
Immunohistochemistry (Formalin/PFA-fixed paraffin-embedded sections) - Anti-XLF antibody [EPR15882-36] - BSA and Azide free (AB232587)
  • IHC-P

Supplier Data

Immunohistochemistry (Formalin/PFA-fixed paraffin-embedded sections) - Anti-XLF antibody [EPR15882-36] - BSA and Azide free (AB232587)

Immunohistochemical analysis of paraffin-embedded Human endometrial adenocarcinoma tissue labeling XLF with ab189917 at 1/250 with prediluted ImmunoHistoprobe(Ready to use) HRP Polymer for Rabbit IgG as secondary antibody.

This data was developed using the same antibody clone in a different buffer formulation containing PBS, BSA, glycerol, and sodium azide (ab189917).

Perform heat mediated antigen retrieval with Tris/EDTA buffer pH 9.0 before commencing with IHC staining protocol.

Flow Cytometry (Intracellular) - Anti-XLF antibody [EPR15882-36] - BSA and Azide free (AB232587)
  • Flow Cyt (Intra)

Supplier Data

Flow Cytometry (Intracellular) - Anti-XLF antibody [EPR15882-36] - BSA and Azide free (AB232587)

Intracellular flow cytometrical analysis of Ramos cells labeling XLF with ab189917 at 1/60 compared to a negative control cell. FITC-conjugated goat-anti-rabbit secondary antibodies were used for the analysis.

This data was developed using the same antibody clone in a different buffer formulation containing PBS, BSA, glycerol, and sodium azide (ab189917).

Immunocytochemistry/ Immunofluorescence - Anti-XLF antibody [EPR15882-36] - BSA and Azide free (AB232587)
  • ICC/IF

Supplier Data

Immunocytochemistry/ Immunofluorescence - Anti-XLF antibody [EPR15882-36] - BSA and Azide free (AB232587)

Immunofluorescent analysis of paraformaldehyde-fixed NCCIT cells labeling XLF with ab189917 at 1/250, Goat anti rabbit IgG (Alexa Fluor® 555) at 1/200 and DAPI staining (blue).

This data was developed using the same antibody clone in a different buffer formulation containing PBS, BSA, glycerol, and sodium azide (ab189917).

Immunocytochemistry/ Immunofluorescence - Anti-XLF antibody [EPR15882-36] - BSA and Azide free (AB232587)
  • ICC/IF

Supplier Data

Immunocytochemistry/ Immunofluorescence - Anti-XLF antibody [EPR15882-36] - BSA and Azide free (AB232587)

Immunofluorescent analysis of paraformaldehyde-fixed HepG2 cells labeling XLF with ab189917 at 1/250,  Goat anti rabbit IgG (Alexa Fluor® 555) at 1/200 and DAPI staining (blue).

This data was developed using the same antibody clone in a different buffer formulation containing PBS, BSA, glycerol, and sodium azide (ab189917).

Western blot - Anti-XLF antibody [EPR15882-36] - BSA and Azide free (AB232587)
  • WB

Lab

Western blot - Anti-XLF antibody [EPR15882-36] - BSA and Azide free (AB232587)

Lane 1 : Wild type HAP1 whole cell lysate (20 μg)
Lane 2 : XLF knockout HAP1 whole cell lysate (20 μg)
Lane 3 : HeLa whole cell lysate (20 μg)

Lanes 1 - 3 : Merged signal (red and green). Green - ab189917 observed at 38 kDa. Red - loading control, ab18058, observed at 130 kDa.

ab189917 was shown to specifically react with XLF in wild type cells as signal was lost in XLF knockout cells. Wild-type and XLF knockout samples were subjected to SDS-PAGE. ab189917 and ab18058 (Mouse anti-Vinculin loading control) were incubated overnight at 4°C at 1/10000 dilution and 1/20000 dilution respectively. Blots were developed with Goat anti-Rabbit IgG H&L (IRDye® 800CW) preabsorbed ab216773 and Goat anti-Mouse IgG H&L (IRDye® 680RD) preabsorbed ab216776 secondary antibodies at 1/20000 dilution for 1 hour at room temperature before imaging.

This data was developed using the same antibody clone in a different buffer formulation containing PBS, BSA, glycerol, and sodium azide (ab189917).

All lanes:

Western blot - Anti-XLF antibody [EPR15882-36] - C-terminal (<a href='/en-us/products/primary-antibodies/xlf-antibody-epr15882-36-c-terminal-ab189917'>ab189917</a>)

Predicted band size: 33 kDa

false

Key facts

Host species

Rabbit

Clonality

Monoclonal

Clone number

EPR15882-36

Isotype

IgG

Carrier free

Yes

Reacts with

Human

Applications

ICC/IF, Flow Cyt (Intra), WB, IHC-P

applications

Immunogen

The exact immunogen used to generate this antibody is proprietary information.

Reactivity data

{ "title": "Reactivity Data", "filters": { "stats": ["", "Species", "Dilution Info", "Notes"], "tabs": { "all-applications": {"fullname" : "All Applications", "shortname": "All Applications"}, "WB" : {"fullname" : "Western blot", "shortname":"WB"}, "ICCIF" : {"fullname" : "Immunocytochemistry/ Immunofluorescence", "shortname":"ICC/IF"}, "FlowCytIntra" : {"fullname" : "Flow Cytometry (Intracellular)", "shortname":"Flow Cyt (Intra)"}, "IHCP" : {"fullname" : "Immunohistochemistry (Formalin/PFA-fixed paraffin-embedded sections)", "shortname":"IHC-P"} }, "product-promise": { "all": "all", "testedAndGuaranteed": "tested", "guaranteed": "expected", "predicted": "predicted", "notRecommended": "not-recommended" } }, "values": { "Human": { "WB-species-checked": "testedAndGuaranteed", "WB-species-dilution-info": "", "WB-species-notes": "<p></p>", "ICCIF-species-checked": "testedAndGuaranteed", "ICCIF-species-dilution-info": "", "ICCIF-species-notes": "<p></p>", "FlowCytIntra-species-checked": "testedAndGuaranteed", "FlowCytIntra-species-dilution-info": "", "FlowCytIntra-species-notes": "<p></p>", "IHCP-species-checked": "testedAndGuaranteed", "IHCP-species-dilution-info": "", "IHCP-species-notes": "<p></p>" }, "Mouse": { "WB-species-checked": "predicted", "WB-species-dilution-info": "", "WB-species-notes": "", "ICCIF-species-checked": "predicted", "ICCIF-species-dilution-info": "", "ICCIF-species-notes": "", "FlowCytIntra-species-checked": "predicted", "FlowCytIntra-species-dilution-info": "", "FlowCytIntra-species-notes": "", "IHCP-species-checked": "predicted", "IHCP-species-dilution-info": "", "IHCP-species-notes": "" }, "Rat": { "WB-species-checked": "predicted", "WB-species-dilution-info": "", "WB-species-notes": "", "ICCIF-species-checked": "predicted", "ICCIF-species-dilution-info": "", "ICCIF-species-notes": "", "FlowCytIntra-species-checked": "predicted", "FlowCytIntra-species-dilution-info": "", "FlowCytIntra-species-notes": "", "IHCP-species-checked": "predicted", "IHCP-species-dilution-info": "", "IHCP-species-notes": "" } } }

Product details

ab232587 is the carrier-free version of ab189917.

Patented technology
Our RabMAb® technology is a patented hybridoma-based technology for making rabbit monoclonal antibodies. For details on our patents, please refer to RabMAb® patents.

What are the advantages of a recombinant monoclonal antibody?
This product is a recombinant monoclonal antibody, which offers several advantages including:

  • - High batch-to-batch consistency and reproducibility
  • - Improved sensitivity and specificity
  • - Long-term security of supply
  • - Animal-free batch production

For more information, read more on recombinant antibodies.

Conjugation ready
Our carrier-free antibodies are typically supplied in a PBS-only formulation, purified and free of BSA, sodium azide and glycerol. This conjugation-ready format is designed for use with fluorochromes, metal isotopes, oligonucleotides, and enzymes, which makes them ideal for antibody labelling, functional and cell-based assays, flow-based assays (e.g. mass cytometry) and Multiplex Imaging applications.

Use our conjugation kits for antibody conjugates that are ready-to-use in as little as 20 minutes with 1 minute hands-on-time and 100% antibody recovery: available for fluorescent dyes, HRP, biotin and gold.

Compatibility
This product is compatible with the Maxpar® Antibody Labeling Kit from Fluidigm, without the need for antibody preparation. Maxpar® is a trademark of Fluidigm Canada Inc.

Properties and storage information

Form
Liquid
Purification technique
Affinity purification Protein A
Storage buffer
pH: 7.2 - 7.4 Constituents: PBS
Shipped at conditions
Blue Ice
Appropriate short-term storage conditions
+4°C
Appropriate long-term storage conditions
+4°C
Storage information
Do Not Freeze

Supplementary information

This supplementary information is collated from multiple sources and compiled automatically.

The XLF protein also known as XRCC4-like factor plays an important role in DNA repair mechanisms. It weighs approximately 33 kDa and is expressed in various tissues with high levels noted in the thymus and testis. XLF functions as a part of the non-homologous end joining (NHEJ) pathway where it aids in the repair of DNA double-strand breaks. It acts by promoting the ligation of broken DNA ends often working closely with other proteins such as XRCC4 and DNA ligase IV.
Biological function summary

XLF participates in the critical process of maintaining genomic stability. It is part of the NHEJ complex alongside XRCC4 and DNA ligase IV ensuring efficient repair of DNA breaks. This repair process is essential for preventing genomic instability and protecting cells from deleterious mutations. XLF helps tether DNA ends together providing structural support necessary for effective repair and its function is vital for cell survival especially in rapidly dividing cells.

Pathways

This protein integrates into the NHEJ pathway a primary mechanism for repairing DNA double-strand breaks. XLF collaborates directly with other proteins like Ku70/80 and DNA-PKcs facilitating their functions in the DNA damage response. Additionally it plays a role in the V(D)J recombination process which is vital for the development of immune system diversity by allowing the rearrangement of variable (V) diversity (D) and joining (J) gene segments.

XLF relates to severe combined immunodeficiency (SCID) and neurodegenerative disorders. XLF deficiencies can manifest as immunodeficiency due to impaired V(D)J recombination adversely affecting the immune response. It is also linked to neurodegeneration because proper DNA repair is important for neuronal survival. Other proteins in these contexts include DNA ligase IV which shows connection in supporting similar cellular functions and diseases.

Product protocols

For this product, it's our understanding that no specific protocols are required. You can visit:

Target data

DNA repair protein involved in DNA non-homologous end joining (NHEJ); required for double-strand break (DSB) repair and V(D)J recombination (PubMed : 16439204, PubMed : 16439205, PubMed : 17317666, PubMed : 17470781, PubMed : 17717001, PubMed : 18158905, PubMed : 18644470, PubMed : 20558749, PubMed : 26100018). Plays a key role in NHEJ by promoting the ligation of various mismatched and non-cohesive ends (PubMed : 17470781, PubMed : 17717001, PubMed : 19056826). Together with PAXX, collaborates with DNA polymerase lambda (POLL) to promote joining of non-cohesive DNA ends (PubMed : 25670504, PubMed : 30250067). May act in concert with XRCC5-XRCC6 (Ku) to stimulate XRCC4-mediated joining of blunt ends and several types of mismatched ends that are non-complementary or partially complementary (PubMed : 16439204, PubMed : 16439205, PubMed : 17317666, PubMed : 17470781). In some studies, has been shown to associate with XRCC4 to form alternating helical filaments that bridge DNA and act like a bandage, holding together the broken DNA until it is repaired (PubMed : 21768349, PubMed : 21775435, PubMed : 22228831, PubMed : 22287571, PubMed : 26100018, PubMed : 27437582, PubMed : 28500754). Alternatively, it has also been shown that rather than forming filaments, a single NHEJ1 dimer interacts through both head domains with XRCC4 to promote the close alignment of DNA ends (By similarity). The XRCC4-NHEJ1/XLF subcomplex binds to the DNA fragments of a DSB in a highly diffusive manner and robustly bridges two independent DNA molecules, holding the broken DNA fragments in close proximity to one other (PubMed : 27437582, PubMed : 28500754). The mobility of the bridges ensures that the ends remain accessible for further processing by other repair factors (PubMed : 27437582). Binds DNA in a length-dependent manner (PubMed : 17317666, PubMed : 18158905).
See full target information NHEJ1

Publications (1)

Recent publications for all applications. Explore the full list and refine your search

Nature 602:487-495 PubMed34942634

2021

Evolution of enhanced innate immune evasion by SARS-CoV-2.

Applications

Unspecified application

Species

Unspecified reactive species

Lucy G Thorne,Mehdi Bouhaddou,Ann-Kathrin Reuschl,Lorena Zuliani-Alvarez,Ben Polacco,Adrian Pelin,Jyoti Batra,Matthew V X Whelan,Myra Hosmillo,Andrea Fossati,Roberta Ragazzini,Irwin Jungreis,Manisha Ummadi,Ajda Rojc,Jane Turner,Marie L Bischof,Kirsten Obernier,Hannes Braberg,Margaret Soucheray,Alicia Richards,Kuei-Ho Chen,Bhavya Harjai,Danish Memon,Joseph Hiatt,Romel Rosales,Briana L McGovern,Aminu Jahun,Jacqueline M Fabius,Kris White,Ian G Goodfellow,Yasu Takeuchi,Paola Bonfanti,Kevan Shokat,Natalia Jura,Klim Verba,Mahdad Noursadeghi,Pedro Beltrao,Manolis Kellis,Danielle L Swaney,Adolfo García-Sastre,Clare Jolly,Greg J Towers,Nevan J Krogan
View all publications

Product promise

We are committed to supporting your work with high-quality reagents, and we're here for you every step of the way. In the unlikely event that one of our products does not perform as expected, you're protected by our Product Promise.
For full details, please see our Terms & Conditions

Please note: All products are 'FOR RESEARCH USE ONLY. NOT FOR USE IN DIAGNOSTIC OR THERAPEUTIC PROCEDURES'.

For licensing inquiries, please contact partnerships@abcam.com