JavaScript is disabled in your browser. Please enable JavaScript to view this website.
AB309130

Anti-XPC antibody [EPR25076-9] - BSA and Azide free

Be the first to review this product! Submit a review

|

(0 Publication)

Rabbit Recombinant Monoclonal XPC antibody. Carrier free. Suitable for WB, IHC-P and reacts with Human samples.

View Alternative Names

XPCC, XPC, DNA repair protein complementing XP-C cells, Xeroderma pigmentosum group C-complementing protein, p125

5 Images
Immunohistochemistry (Formalin/PFA-fixed paraffin-embedded sections) - Anti-XPC antibody [EPR25076-9] - BSA and Azide free (AB309130)
  • IHC-P

Supplier Data

Immunohistochemistry (Formalin/PFA-fixed paraffin-embedded sections) - Anti-XPC antibody [EPR25076-9] - BSA and Azide free (AB309130)

This data was developed using ab309129, the same antibody clone in a different buffer formulation. Immunohistochemical analysis of paraffin-embedded Human testis tissue labeling XPC with ab309129 at 1/100 (5.02 ug/ml) followed by a ready to use LeicaDS9800 (Bond™ Polymer Refine Detection). Positive staining on human testis. The section was incubated with ab309129 for 30 mins at room temperature. The immunostaining was performed on a Leica Biosystems BOND® RX instrument. Counterstained with Hematoxylin. Secondary antibody only control : Secondary antibody is a ready to use LeicaDS9800 (Bond™ Polymer Refine Detection). Heat mediated antigen retrieval with Tris-EDTA buffer (pH 9.0, epitope retrieval solution2) for 20 mins

Immunohistochemistry (Formalin/PFA-fixed paraffin-embedded sections) - Anti-XPC antibody [EPR25076-9] - BSA and Azide free (AB309130)
  • IHC-P

Supplier Data

Immunohistochemistry (Formalin/PFA-fixed paraffin-embedded sections) - Anti-XPC antibody [EPR25076-9] - BSA and Azide free (AB309130)

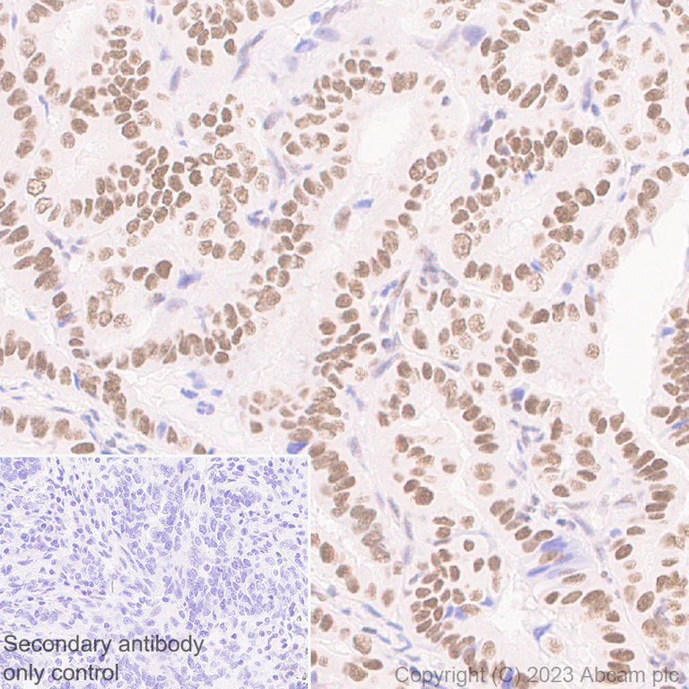
This data was developed using ab309129, the same antibody clone in a different buffer formulation. Immunohistochemical analysis of paraffin-embedded Human cervical carci tissue labeling XPC with ab309129 at 1/100 (5.02 ug/ml) followed by a ready to use LeicaDS9800 (Bond™ Polymer Refine Detection). Positive staining on human cervical carcinoma. The section was incubated with ab309129 for 30 mins at room temperature. The immunostaining was performed on a Leica Biosystems BOND® RX instrument. Counterstained with Hematoxylin. Secondary antibody only control : Secondary antibody is a ready to use LeicaDS9800 (Bond™ Polymer Refine Detection). Heat mediated antigen retrieval with Tris-EDTA buffer (pH 9.0, epitope retrieval solution2) for 20 mins

Immunohistochemistry (Formalin/PFA-fixed paraffin-embedded sections) - Anti-XPC antibody [EPR25076-9] - BSA and Azide free (AB309130)
  • IHC-P

Supplier Data

Immunohistochemistry (Formalin/PFA-fixed paraffin-embedded sections) - Anti-XPC antibody [EPR25076-9] - BSA and Azide free (AB309130)

This data was developed using ab309129, the same antibody clone in a different buffer formulation. Immunohistochemical analysis of paraffin-embedded Human skin tissue labeling XPC with ab309129 at 1/100 (5.02 ug/ml) followed by a ready to use LeicaDS9800 (Bond™ Polymer Refine Detection). Positive staining on human skin (PMID : 20616346). The section was incubated with ab309129 for 30 mins at room temperature. The immunostaining was performed on a Leica Biosystems BOND® RX instrument. Counterstained with Hematoxylin. Secondary antibody only control : Secondary antibody is a ready to use LeicaDS9800 (Bond™ Polymer Refine Detection). Heat mediated antigen retrieval with Tris-EDTA buffer (pH 9.0, epitope retrieval solution2) for 20 mins

Western blot - Anti-XPC antibody [EPR25076-9] - BSA and Azide free (AB309130)
  • WB

Supplier Data

Western blot - Anti-XPC antibody [EPR25076-9] - BSA and Azide free (AB309130)

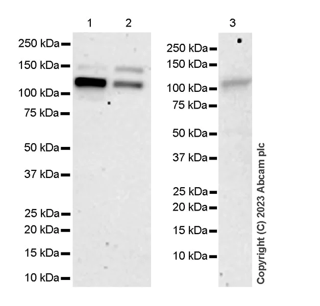
This data was developed using ab309129, the same antibody clone in a different buffer formulation. Blocking and diluting buffer and concentration : 5% NFDM/TBST The identity of the higher Mw band in lanes 2 & 3 is unknown. The blot of lanes 2 & 3 was developed using a higher sensitivity ECL substrate. Lysates were freshly made and used for Western blotting immediately to minimize protein degradation. In Western blot, anti-GAPDH antibody (ab181602) loading control staining at 1/200000 dilution. Exposure time : Lane1 : 180 seconds, Lane2-3 : 114 seconds

All lanes:

Western blot - Anti-XPC antibody [EPR25076-9] (<a href='/en-us/products/primary-antibodies/xpc-antibody-epr25076-9-ab309129'>ab309129</a>) at 1/1000 dilution

Lane 1:

MCF7(human breast adenocarcinoma epithelial cell) whole cell lysate at 20 µg

Lane 2:

HeLa (human cervical adenocarcinoma epithelial cell) transfected with scrambled siRNA control whole cell lysate at 20 µg

Lane 3:

HeLa transfected with siRNA specifically targeti XPC whole cell lysate 20 at 20 µg

Secondary

All lanes:

Western blot - Goat Anti-Rabbit IgG H&L (HRP) (<a href='/en-us/products/secondary-antibodies/goat-rabbit-igg-h-l-hrp-ab97051'>ab97051</a>) at 1/100000 dilution

Observed band size: 125 kDa

false

Western blot - Anti-XPC antibody [EPR25076-9] - BSA and Azide free (AB309130)
  • WB

Supplier Data

Western blot - Anti-XPC antibody [EPR25076-9] - BSA and Azide free (AB309130)

This data was developed using ab309129, the same antibody clone in a different buffer formulation. Blocking and diluting buffer and concentration : 5% NFDM/TBST The identity of the higher Mw band in lanes 1 & 2 is unknown. Lanes1-2 were freshly made and used for Western blotting immediately to minimize protein degradation. This blot was developed using a high sensitivity ECL substrate. Exposure time : 180 seconds

All lanes:

Western blot - Anti-XPC antibody [EPR25076-9] (<a href='/en-us/products/primary-antibodies/xpc-antibody-epr25076-9-ab309129'>ab309129</a>) at 1/1000 dilution

Lane 1:

HeLa (human cervical adenocarcinoma epithelial cell) whole cell lysate at 20 µg

Lane 2:

293T (human embryonic kidney epithelial cell) whole cell lysate at 20 µg

Lane 3:

Raji (human burkitts lymphoma b lymphocyte) whole cell lysate at 20 µg

Secondary

All lanes:

Western blot - Goat Anti-Rabbit IgG H&L (HRP) (<a href='/en-us/products/secondary-antibodies/goat-rabbit-igg-h-l-hrp-ab97051'>ab97051</a>) at 1/100000 dilution

Observed band size: 125 kDa

false

Exposure time: 180s

Key facts

Host species

Rabbit

Clonality

Monoclonal

Clone number

EPR25076-9

Isotype

IgG

Carrier free

Yes

Reacts with

Human

Applications

WB, IHC-P

applications

Immunogen

The exact immunogen used to generate this antibody is proprietary information.

Reactivity data

{ "title": "Reactivity Data", "filters": { "stats": ["", "Species", "Dilution Info", "Notes"], "tabs": { "all-applications": {"fullname" : "All Applications", "shortname": "All Applications"}, "WB" : {"fullname" : "Western blot", "shortname":"WB"}, "IHCP" : {"fullname" : "Immunohistochemistry (Formalin/PFA-fixed paraffin-embedded sections)", "shortname":"IHC-P"}, "ICCIF" : {"fullname" : "Immunocytochemistry/ Immunofluorescence", "shortname":"ICC/IF"}, "FlowCytIntra" : {"fullname" : "Flow Cytometry (Intracellular)", "shortname":"Flow Cyt (Intra)"}, "IP" : {"fullname" : "Immunoprecipitation", "shortname":"IP"} }, "product-promise": { "all": "all", "testedAndGuaranteed": "tested", "guaranteed": "expected", "predicted": "predicted", "notRecommended": "not-recommended" } }, "values": { "Human": { "WB-species-checked": "testedAndGuaranteed", "WB-species-dilution-info": "", "WB-species-notes": "<p></p>", "IHCP-species-checked": "testedAndGuaranteed", "IHCP-species-dilution-info": "", "IHCP-species-notes": "<p></p>", "ICCIF-species-checked": "notRecommended", "ICCIF-species-dilution-info": "", "ICCIF-species-notes": "<p></p>", "FlowCytIntra-species-checked": "notRecommended", "FlowCytIntra-species-dilution-info": "", "FlowCytIntra-species-notes": "<p></p>", "IP-species-checked": "notRecommended", "IP-species-dilution-info": "", "IP-species-notes": "<p></p>" }, "Mouse": { "WB-species-checked": "notRecommended", "WB-species-dilution-info": "", "WB-species-notes": "<p></p>", "IHCP-species-checked": "notRecommended", "IHCP-species-dilution-info": "", "IHCP-species-notes": "<p></p>", "ICCIF-species-checked": "notRecommended", "ICCIF-species-dilution-info": "", "ICCIF-species-notes": "<p></p>", "FlowCytIntra-species-checked": "notRecommended", "FlowCytIntra-species-dilution-info": "", "FlowCytIntra-species-notes": "<p></p>", "IP-species-checked": "notRecommended", "IP-species-dilution-info": "", "IP-species-notes": "" }, "Rat": { "WB-species-checked": "notRecommended", "WB-species-dilution-info": "", "WB-species-notes": "<p></p>", "IHCP-species-checked": "notRecommended", "IHCP-species-dilution-info": "", "IHCP-species-notes": "<p></p>", "ICCIF-species-checked": "notRecommended", "ICCIF-species-dilution-info": "", "ICCIF-species-notes": "", "FlowCytIntra-species-checked": "notRecommended", "FlowCytIntra-species-dilution-info": "", "FlowCytIntra-species-notes": "", "IP-species-checked": "notRecommended", "IP-species-dilution-info": "", "IP-species-notes": "" } } }

Product details

Patented technology
Our RabMAb® technology is a patented hybridoma-based technology for making rabbit monoclonal antibodies. For details on our patents, please refer to RabMAb® patents.

What are the advantages of a recombinant monoclonal antibody?
This product is a recombinant monoclonal antibody, which offers several advantages including:

  • - High batch-to-batch consistency and reproducibility
  • - Improved sensitivity and specificity
  • - Long-term security of supply
  • - Animal-free batch production

For more information, read more on recombinant antibodies.

Conjugation ready
Our carrier-free antibodies are typically supplied in a PBS-only formulation, purified and free of BSA, sodium azide and glycerol. This conjugation-ready format is designed for use with fluorochromes, metal isotopes, oligonucleotides, and enzymes, which makes them ideal for antibody labelling, functional and cell-based assays, flow-based assays (e.g. mass cytometry) and Multiplex Imaging applications.

Use our conjugation kits for antibody conjugates that are ready-to-use in as little as 20 minutes with 1 minute hands-on-time and 100% antibody recovery: available for fluorescent dyes, HRP, biotin and gold.

Compatibility
This product is compatible with the Maxpar® Antibody Labeling Kit from Fluidigm, without the need for antibody preparation. Maxpar® is a trademark of Fluidigm Canada Inc.

Properties and storage information

Form
Liquid
Purification technique
Affinity purification Protein A
Storage buffer
pH: 7.2 - 7.4 Constituents: PBS
Shipped at conditions
Blue Ice
Appropriate short-term storage conditions
+4°C
Appropriate long-term storage conditions
+4°C

Supplementary information

This supplementary information is collated from multiple sources and compiled automatically.

The Xeroderma Pigmentosum Complementation Group C (XPC) protein is essential for the nucleotide excision repair (NER) mechanism repairing DNA damage. XPC with a molecular weight of approximately 125 kDa recognises and binds to damaged DNA that has bulky adducts. It is expressed in various human tissues with higher expression levels in proliferating cells and skin. XPC plays a critical role in DNA testing and maintenance making it vital for maintaining genome stability.
Biological function summary

The XPC protein acts as a damage sensor within the NER pathway and functions as part of the XPC-HR23B complex. This complex identifies DNA helix distortions and signals for repair by recruiting other proteins to the damage site. XPC functions by unwinding the DNA and allowing necessary repair enzymes such as DNA helicases and nucleases to perform their functions. This repair process ensures that the DNA is intact and capable of proper transcription and cell replication.

Pathways

XPC operates within the nucleotide excision repair pathway which is essential for removing a wide range of DNA lesions caused by ultraviolet (UV) irradiation and chemical agents. It operates in conjunction with proteins such as XPA RPA and the TFIIH complex to execute DNA repair. XPC is also linked to the global genomic repair sub-pathway of NER where it plays a leading role in identifying DNA damage across the entire genome.

Ineffective XPC function is associated with Xeroderma Pigmentosum (XP) a genetic disorder causing extreme sensitivity to UV light and increased skin cancer risk. Mutations in the XPC gene impede DNA repair efficiency leading to the accumulation of damage. XPC is also connected to skin cancer development as its malfunction can cause failure to repair UV-induced lesions. Other proteins like XPA and XPE also show connections to these disorders highlighting their critical roles in maintaining DNA integrity and preventing disease.

Product protocols

For this product, it's our understanding that no specific protocols are required. You can visit:

Target data

Involved in global genome nucleotide excision repair (GG-NER) by acting as damage sensing and DNA-binding factor component of the XPC complex (PubMed : 10734143, PubMed : 10873465, PubMed : 12509299, PubMed : 12547395, PubMed : 19609301, PubMed : 19941824, PubMed : 20028083, PubMed : 20649465, PubMed : 20798892, PubMed : 9734359). Has only a low DNA repair activity by itself which is stimulated by RAD23B and RAD23A. Has a preference to bind DNA containing a short single-stranded segment but not to damaged oligonucleotides (PubMed : 10734143, PubMed : 19609301, PubMed : 20649465). This feature is proposed to be related to a dynamic sensor function : XPC can rapidly screen duplex DNA for non-hydrogen-bonded bases by forming a transient nucleoprotein intermediate complex which matures into a stable recognition complex through an intrinsic single-stranded DNA-binding activity (PubMed : 10734143, PubMed : 19609301, PubMed : 20649465). The XPC complex is proposed to represent the first factor bound at the sites of DNA damage and together with other core recognition factors, XPA, RPA and the TFIIH complex, is part of the pre-incision (or initial recognition) complex (PubMed : 10873465, PubMed : 12509299, PubMed : 12547395, PubMed : 19941824, PubMed : 20028083, PubMed : 20798892, PubMed : 9734359). The XPC complex recognizes a wide spectrum of damaged DNA characterized by distortions of the DNA helix such as single-stranded loops, mismatched bubbles or single-stranded overhangs (PubMed : 10873465, PubMed : 12509299, PubMed : 12547395, PubMed : 19941824, PubMed : 20028083, PubMed : 20798892, PubMed : 9734359). The orientation of XPC complex binding appears to be crucial for inducing a productive NER (PubMed : 10873465, PubMed : 12509299, PubMed : 12547395, PubMed : 19941824, PubMed : 20028083, PubMed : 20798892, PubMed : 9734359). XPC complex is proposed to recognize and to interact with unpaired bases on the undamaged DNA strand which is followed by recruitment of the TFIIH complex and subsequent scanning for lesions in the opposite strand in a 5'-to-3' direction by the NER machinery (PubMed : 10873465, PubMed : 12509299, PubMed : 12547395, PubMed : 19941824, PubMed : 20028083, PubMed : 20798892, PubMed : 9734359). Cyclobutane pyrimidine dimers (CPDs) which are formed upon UV-induced DNA damage esacpe detection by the XPC complex due to a low degree of structural perurbation. Instead they are detected by the UV-DDB complex which in turn recruits and cooperates with the XPC complex in the respective DNA repair (PubMed : 10873465, PubMed : 12509299, PubMed : 12547395, PubMed : 19941824, PubMed : 20028083, PubMed : 20798892, PubMed : 9734359). In vitro, the XPC : RAD23B dimer is sufficient to initiate NER; it preferentially binds to cisplatin and UV-damaged double-stranded DNA and also binds to a variety of chemically and structurally diverse DNA adducts (PubMed : 20028083). XPC : RAD23B contacts DNA both 5' and 3' of a cisplatin lesion with a preference for the 5' side. XPC : RAD23B induces a bend in DNA upon binding. XPC : RAD23B stimulates the activity of DNA glycosylases TDG and SMUG1 (PubMed : 20028083).. In absence of DNA repair, the XPC complex also acts as a transcription coactivator : XPC interacts with the DNA-binding transcription factor E2F1 at a subset of promoters to recruit KAT2A and histone acetyltransferase complexes (HAT) (PubMed : 29973595, PubMed : 31527837). KAT2A recruitment specifically promotes acetylation of histone variant H2A.Z.1/H2A.Z, but not H2A.Z.2/H2A.V, thereby promoting expression of target genes (PubMed : 31527837).
See full target information XPC

Product promise

We are committed to supporting your work with high-quality reagents, and we're here for you every step of the way. In the unlikely event that one of our products does not perform as expected, you're protected by our Product Promise.
For full details, please see our Terms & Conditions

Please note: All products are 'FOR RESEARCH USE ONLY. NOT FOR USE IN DIAGNOSTIC OR THERAPEUTIC PROCEDURES'.

For licensing inquiries, please contact partnerships@abcam.com