JavaScript is disabled in your browser. Please enable JavaScript to view this website.
AB102682

Anti-XPD antibody

Be the first to review this product! Submit a review

|

(2 Publications)

Rabbit Polyclonal XPD antibody. Suitable for WB, IHC-P, ICC/IF and reacts with Human, Mouse samples. Cited in 2 publications. Immunogen corresponding to Recombinant Fragment Protein within Human ERCC2 aa 250-550.

View Alternative Names

XPD, XPDC, ERCC2, General transcription and DNA repair factor IIH helicase subunit XPD, TFIIH subunit XPD, Basic transcription factor 2 80 kDa subunit, CXPD, DNA 5'-3' helicase XPD, DNA excision repair protein ERCC-2, DNA repair protein complementing XP-D cells, TFIIH basal transcription factor complex 80 kDa subunit, Xeroderma pigmentosum group D-complementing protein, BTF2 p80, TFIIH 80 kDa subunit, TFIIH p80

5 Images
Immunocytochemistry/ Immunofluorescence - Anti-XPD antibody (AB102682)
  • ICC/IF

Supplier Data

Immunocytochemistry/ Immunofluorescence - Anti-XPD antibody (AB102682)

A431 cells stained for ERCC2 (green) using ab102682 at 1/500 dilution in ICC/IF.

Immunocytochemistry/ Immunofluorescence - Anti-XPD antibody (AB102682)
  • ICC/IF

Supplier Data

Immunocytochemistry/ Immunofluorescence - Anti-XPD antibody (AB102682)

Mock and treated HeLa cells stained for XPD (green) using ab102682 at 1/500 dilution in ICC/IF.

Immunohistochemistry (Formalin/PFA-fixed paraffin-embedded sections) - Anti-XPD antibody (AB102682)
  • IHC-P

Unknown

Immunohistochemistry (Formalin/PFA-fixed paraffin-embedded sections) - Anti-XPD antibody (AB102682)

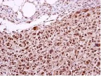
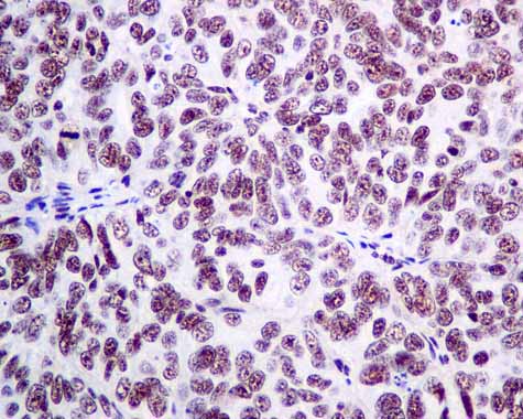
ab102682 at 1/500 dilution, staining XPD in a paraffin-embedded ES2 xenograft.

Immunohistochemistry (Formalin/PFA-fixed paraffin-embedded sections) - Anti-XPD antibody (AB102682)
  • IHC-P

Supplier Data

Immunohistochemistry (Formalin/PFA-fixed paraffin-embedded sections) - Anti-XPD antibody (AB102682)

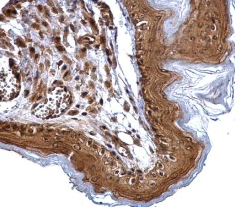
Paraffin embedded mouse esophagus tissue stained for ERCC2 using ab102682 at 1/500 dilution in immunohistochemical analysis.

Western blot - Anti-XPD antibody (AB102682)
  • WB

Unknown

Western blot - Anti-XPD antibody (AB102682)

7.5% SDS-PAGE

All lanes:

Western blot - Anti-XPD antibody (ab102682) at 1/1000 dilution

Lane 1:

IMR32 whole cell lysate at 30 µg

Lane 2:

U-87MG whole cell lysate at 30 µg

Predicted band size: 48 kDa,87 kDa

false

Key facts

Host species

Rabbit

Clonality

Polyclonal

Isotype

IgG

Carrier free

No

Reacts with

Mouse, Human

Applications

IHC-P, ICC/IF, WB

applications

Immunogen

Recombinant Fragment Protein within Human ERCC2 aa 250-550. The exact immunogen used to generate this antibody is proprietary information.

P18074

Reactivity data

{ "title": "Reactivity Data", "filters": { "stats": ["", "Species", "Dilution Info", "Notes"], "tabs": { "all-applications": {"fullname" : "All Applications", "shortname": "All Applications"}, "WB" : {"fullname" : "Western blot", "shortname":"WB"}, "IHCP" : {"fullname" : "Immunohistochemistry (Formalin/PFA-fixed paraffin-embedded sections)", "shortname":"IHC-P"}, "ICCIF" : {"fullname" : "Immunocytochemistry/ Immunofluorescence", "shortname":"ICC/IF"} }, "product-promise": { "all": "all", "testedAndGuaranteed": "tested", "guaranteed": "expected", "predicted": "predicted", "notRecommended": "not-recommended" } }, "values": { "Human": { "WB-species-checked": "testedAndGuaranteed", "WB-species-dilution-info": "1/500 - 1/3000", "WB-species-notes": "<p></p>", "IHCP-species-checked": "testedAndGuaranteed", "IHCP-species-dilution-info": "1/100 - 1/1000", "IHCP-species-notes": "<p>Suggested antigen retrieval using heat mediated 10mM Citrate buffer or Tris-EDTA buffer (pH8.0).</p>", "ICCIF-species-checked": "testedAndGuaranteed", "ICCIF-species-dilution-info": "1/100 - 1/1000", "ICCIF-species-notes": "<p></p>" }, "Mouse": { "WB-species-checked": "guaranteed", "WB-species-dilution-info": "", "WB-species-notes": "", "IHCP-species-checked": "testedAndGuaranteed", "IHCP-species-dilution-info": "1/100 - 1/1000", "IHCP-species-notes": "<p>Suggested antigen retrieval using heat mediated 10mM Citrate buffer or Tris-EDTA buffer (pH8.0).</p>", "ICCIF-species-checked": "guaranteed", "ICCIF-species-dilution-info": "", "ICCIF-species-notes": "" }, "Rat": { "WB-species-checked": "predicted", "WB-species-dilution-info": "", "WB-species-notes": "", "IHCP-species-checked": "predicted", "IHCP-species-dilution-info": "", "IHCP-species-notes": "", "ICCIF-species-checked": "predicted", "ICCIF-species-dilution-info": "", "ICCIF-species-notes": "" }, "Cow": { "WB-species-checked": "predicted", "WB-species-dilution-info": "", "WB-species-notes": "", "IHCP-species-checked": "predicted", "IHCP-species-dilution-info": "", "IHCP-species-notes": "", "ICCIF-species-checked": "predicted", "ICCIF-species-dilution-info": "", "ICCIF-species-notes": "" } } }

Properties and storage information

Form
Liquid
Purification technique
Affinity purification Immunogen
Storage buffer
pH: 7 Preservative: 0.01% Thimerosal (merthiolate) Constituents: PBS, 20% Glycerol (glycerin, glycerine), 1% BSA
Shipped at conditions
Blue Ice
Appropriate short-term storage duration
1-2 weeks
Appropriate short-term storage conditions
+4°C
Appropriate long-term storage conditions
-20°C
Aliquoting information
Upon delivery aliquot
Storage information
Avoid freeze / thaw cycle

Supplementary information

This supplementary information is collated from multiple sources and compiled automatically.

XPD also known as ERCC2 is an essential helicase enzyme belonging to the family of ATP-dependent DNA helicases. It consists of approximately 761 amino acids and has a mass of around 87 kDa. XPD functions mechanically by unwinding double-stranded DNA which is important for various DNA repair processes. This protein is expressed ubiquitously in human tissues highlighting its critical role in maintaining genomic integrity.
Biological function summary

XPD catalyzes the unwinding of DNA within the transcription factor IIH (TFIIH) complex. This complex facilitates DNA repair and transcription initiation. XPD participates in the nucleotide excision repair (NER) pathway where it contributes to repairing damaged DNA by excising damaged nucleotides. Its role in transcription-coupled repair and general transcription initiation underlines its importance in cellular homeostasis.

Pathways

DNA repair and general transcription processes are significantly affected by XPD. It plays an integral role in nucleotide excision repair (NER) and transcription. Within these pathways XPD works closely with other proteins such as XPA which assists in damage verification and incision near DNA lesions. XPD's unwinding function is essential for the correct orientation of DNA during transcription and repair events ensuring accurate gene expression and stability.

XPD mutations link to xeroderma pigmentosum (XP) and trichothiodystrophy (TTD). These conditions often result in increased sensitivity to ultraviolet (UV) radiation and various developmental abnormalities. XPD mutations impair the repair of UV-induced DNA damage causing symptoms in both XP and TTD. XPD also connects with ERCC1 a protein important for repair synthesis and DNA incision highlighting its broad impact on human health when its function is compromised.

Product protocols

For this product, it's our understanding that no specific protocols are required. You can visit:

Target data

ATP-dependent 5'-3' DNA helicase (PubMed : 31253769, PubMed : 8413672, PubMed : 9771713). Component of the general transcription and DNA repair factor IIH (TFIIH) core complex, not absolutely essential for minimal transcription in vitro (PubMed : 10024882, PubMed : 17466626, PubMed : 9771713). Required for transcription-coupled nucleotide excision repair (NER) of damaged DNA; recognizes damaged bases (PubMed : 17466626, PubMed : 23352696, PubMed : 9771713). Sequestered in chromatin on UV-damaged DNA (PubMed : 23352696). When complexed to CDK-activating kinase (CAK), involved in transcription by RNA polymerase II. In NER, TFIIH acts by opening DNA around the lesion to allow the excision of the damaged oligonucleotide and its replacement by a new DNA fragment. The ATP-dependent helicase activity of XPD/ERCC2 is required for DNA opening. Involved in DNA lesion verification (PubMed : 31253769). In transcription, TFIIH has an essential role in transcription initiation. When the pre-initiation complex (PIC) has been established, TFIIH is required for promoter opening and promoter escape. Phosphorylation of the C-terminal tail (CTD) of the largest subunit of RNA polymerase II by the kinase module CAK controls the initiation of transcription. XPD/ERCC2 acts by forming a bridge between CAK and the core-TFIIH complex. The structure of the TFIIH transcription complex differs from the NER-TFIIH complex; large movements by XPD/ERCC2 and XPB/ERCC3 are stabilized by XPA which allow this subunit to contact ssDNA (PubMed : 31253769, PubMed : 33902107). Involved in the regulation of vitamin-D receptor activity. As part of the mitotic spindle-associated MMXD complex it plays a role in chromosome segregation. Might have a role in aging process and could play a causative role in the generation of skin cancers.
See full target information ERCC2

Publications (2)

Recent publications for all applications. Explore the full list and refine your search

Oncology letters 20:1803-1809 PubMed32724423

2020

Cloning of the XPD gene and its function in malignant melanoma cells.

Applications

Unspecified application

Species

Unspecified reactive species

Yue Wang,Youyou Zhou,Yanfu Wang,Cong Peng,Mingyang Gao

PloS one 10:e0125304 PubMed25951169

2015

New mutation in the mouse Xpd/Ercc2 gene leads to recessive cataracts.

Applications

IHC

Species

Unspecified reactive species

Sarah Kunze,Claudia Dalke,Helmut Fuchs,Matthias Klaften,Ute Rössler,Sabine Hornhardt,Maria Gomolka,Oliver Puk,Sibylle Sabrautzki,Ulrike Kulka,Martin Hrabě de Angelis,Jochen Graw
View all publications

Product promise

We are committed to supporting your work with high-quality reagents, and we're here for you every step of the way. In the unlikely event that one of our products does not perform as expected, you're protected by our Product Promise.
For full details, please see our Terms & Conditions

Please note: All products are 'FOR RESEARCH USE ONLY. NOT FOR USE IN DIAGNOSTIC OR THERAPEUTIC PROCEDURES'.

For licensing inquiries, please contact partnerships@abcam.com