JavaScript is disabled in your browser. Please enable JavaScript to view this website.
AB290740

Anti-XPF antibody [EPR25350-148] - BSA and Azide free

Be the first to review this product! Submit a review

|

(0 Publication)

Rabbit Recombinant Monoclonal XPF antibody. Carrier free. Suitable for IP, WB and reacts with Human samples.

View Alternative Names

ERCC11, XPF, ERCC4, DNA repair endonuclease XPF, DNA excision repair protein ERCC-4, DNA repair protein complementing XP-F cells, Xeroderma pigmentosum group F-complementing protein

3 Images
Immunoprecipitation - Anti-XPF antibody [EPR25350-148] - BSA and Azide free (AB290740)
  • IP

Supplier Data

Immunoprecipitation - Anti-XPF antibody [EPR25350-148] - BSA and Azide free (AB290740)

This data was developed using ab290725, the same antibody clone in a different buffer formulation.

XPF was immunoprecipitated from 0.35 mg 293T (human embryonic kidney epithelial cell) whole cell lysate 10 ug with ab290725 at 1/30 dilution (2ug in 0.35mg lysates). Western blot was performed on the immunoprecipitate using ab290725 at 1/1000 dilution. VeriBlot for IP secondary antibody(HRP)(ab131366) was used at 1/5000 dilution.

Lane 1 : 293T (human embryonic kidney epithelial cell) whole cell lysate 10 ug

Lane 2 : ab290725 IP in 293T whole cell lysate

Lane 3 : Rabbit monoclonal IgG (ab172730) instead of ab290725 in 293T whole cell lysate

Blocking and dilution buffer and concentration : 5% NFDM/TBST.

Exposure time : 15 seconds

All lanes:

Immunoprecipitation - Anti-XPF antibody [EPR25350-148] (<a href='/en-us/products/primary-antibodies/xpf-antibody-epr25350-148-ab290725'>ab290725</a>)

Predicted band size: 104 kDa

false

Western blot - Anti-XPF antibody [EPR25350-148] - BSA and Azide free (AB290740)
  • WB

Lab

Western blot - Anti-XPF antibody [EPR25350-148] - BSA and Azide free (AB290740)

This data was developed using ab290725, the same antibody clone in a different buffer formulation.

Blocking / Diluent buffer and concentration : Intercept® (TBS) Blocking Buffer diluted with an equal volume of 0.1% TBS.

Lanes 1-3 : Merged signal (red and green). Green - ab290725 observed at 104 kDa. Red - loading control ab8245 observed at 36 kDa.

ab290725 Anti-ERCC4 antibody [EPR25350-148] was shown to specifically react with ERCC4 in wild-type HeLa cells. Loss of signal was observed when knockout cell line was used. Wild-type and ERCC4 knockout samples were subjected to SDS-PAGE. ab290725 and Anti-GAPDH antibody [6C5] - Loading Control (ab8245) were incubated at 4℃ overnight at 1 in 1000 dilution and 1 in 20000 dilution respectively. Blots were developed with Goat anti-Rabbit IgG H&L (IRDye® 800CW) preadsorbed (ab216773) and Goat anti-Mouse IgG H&L (IRDye® 680RD) preadsorbed (ab216776) secondary antibodies at 1 in 10000 dilution for 1 hour at room temperature before imaging.

All lanes:

Western blot - Anti-XPF antibody [EPR25350-148] (<a href='/en-us/products/primary-antibodies/xpf-antibody-epr25350-148-ab290725'>ab290725</a>) at 1/1000 dilution

Lane 1:

Wild-type HeLa (human cervix adenocarcinoma epithelial cell) whole cell lysate. at 20 µg

Lane 2:

ERCC4 knockout HeLa whole cell lysate. at 20 µg

Lane 3:

293T (human embryonic kidney epithelial cell) whole cell lysate. at 20 µg

Secondary

All lanes:

Goat Anti-Rabbit IgG H&L (IRDye® 800CW) (<a href='/en-us/products/secondary-antibodies/goat-rabbit-igg-h-l-irdye-800cw-preadsorbed-ab216773'>ab216773</a>) and Goat Anti-Mouse IgG H&L (IRDye® 680RD) (<a href='/en-us/products/secondary-antibodies/goat-mouse-igg-h-l-irdye-680rd-preadsorbed-ab216776'>ab216776</a>) at 1/10000 dilution

Predicted band size: 104 kDa

Observed band size: 104 kDa

false

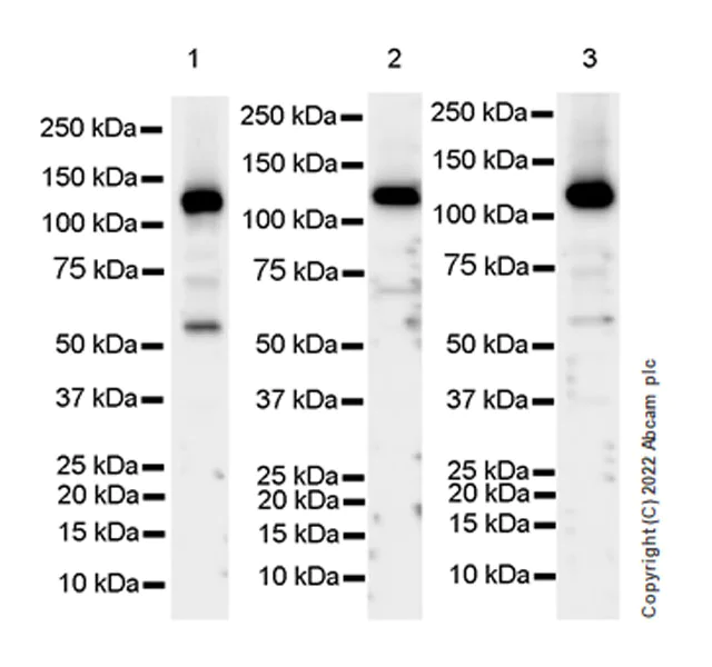
Western blot - Anti-XPF antibody [EPR25350-148] - BSA and Azide free (AB290740)
  • WB

Lab

Western blot - Anti-XPF antibody [EPR25350-148] - BSA and Azide free (AB290740)

This data was developed using ab290725, the same antibody clone in a different buffer formulation.

Blocking / Dilution buffer and concentration : 5% NFDM/TBST

Lysates should be made freshly and used in WB immediately to minimize protein degradation.

All lanes:

Western blot - Anti-XPF antibody [EPR25350-148] (<a href='/en-us/products/primary-antibodies/xpf-antibody-epr25350-148-ab290725'>ab290725</a>) at 1/1000 dilution

Lane 1:

MCF7 (human breast adenocarcinoma epithelial cell) whole cell lysate. at 20 µg

Lane 2:

K-562 (human chronic myelogenous leukemia lymphoblast) whole cell lysate. at 20 µg

Lane 3:

293T (human embryonic kidney epithelial cell) whole cell lysate. at 20 µg

Secondary

All lanes:

Western blot - Goat Anti-Rabbit IgG H&L (HRP) (<a href='/en-us/products/secondary-antibodies/goat-rabbit-igg-h-l-hrp-ab97051'>ab97051</a>) at 1/20000 dilution

Predicted band size: 104 kDa

Observed band size: 104 kDa

false

Exposure time: 15s

Key facts

Host species

Rabbit

Clonality

Monoclonal

Clone number

EPR25350-148

Isotype

IgG

Carrier free

Yes

Reacts with

Human

Applications

WB, IP

applications

Immunogen

The exact immunogen used to generate this antibody is proprietary information.

Reactivity data

{ "title": "Reactivity Data", "filters": { "stats": ["", "Species", "Dilution Info", "Notes"], "tabs": { "all-applications": {"fullname" : "All Applications", "shortname": "All Applications"}, "IP" : {"fullname" : "Immunoprecipitation", "shortname":"IP"}, "ICCIF" : {"fullname" : "Immunocytochemistry/ Immunofluorescence", "shortname":"ICC/IF"}, "WB" : {"fullname" : "Western blot", "shortname":"WB"}, "IHCP" : {"fullname" : "Immunohistochemistry (Formalin/PFA-fixed paraffin-embedded sections)", "shortname":"IHC-P"}, "FlowCytIntra" : {"fullname" : "Flow Cytometry (Intracellular)", "shortname":"Flow Cyt (Intra)"} }, "product-promise": { "all": "all", "testedAndGuaranteed": "tested", "guaranteed": "expected", "predicted": "predicted", "notRecommended": "not-recommended" } }, "values": { "Human": { "IP-species-checked": "testedAndGuaranteed", "IP-species-dilution-info": "", "IP-species-notes": "<p></p>", "ICCIF-species-checked": "notRecommended", "ICCIF-species-dilution-info": "", "ICCIF-species-notes": "<p></p>", "WB-species-checked": "testedAndGuaranteed", "WB-species-dilution-info": "", "WB-species-notes": "<p></p>", "IHCP-species-checked": "notRecommended", "IHCP-species-dilution-info": "", "IHCP-species-notes": "<p></p>", "FlowCytIntra-species-checked": "notRecommended", "FlowCytIntra-species-dilution-info": "", "FlowCytIntra-species-notes": "<p></p>" }, "Mouse": { "IP-species-checked": "notRecommended", "IP-species-dilution-info": "", "IP-species-notes": "<p></p>", "ICCIF-species-checked": "notRecommended", "ICCIF-species-dilution-info": "", "ICCIF-species-notes": "<p></p>", "WB-species-checked": "notRecommended", "WB-species-dilution-info": "", "WB-species-notes": "<p></p>", "IHCP-species-checked": "notRecommended", "IHCP-species-dilution-info": "", "IHCP-species-notes": "<p></p>", "FlowCytIntra-species-checked": "notRecommended", "FlowCytIntra-species-dilution-info": "", "FlowCytIntra-species-notes": "<p></p>" }, "Rat": { "IP-species-checked": "notRecommended", "IP-species-dilution-info": "", "IP-species-notes": "", "ICCIF-species-checked": "notRecommended", "ICCIF-species-dilution-info": "", "ICCIF-species-notes": "", "WB-species-checked": "notRecommended", "WB-species-dilution-info": "", "WB-species-notes": "<p></p>", "IHCP-species-checked": "notRecommended", "IHCP-species-dilution-info": "", "IHCP-species-notes": "<p></p>", "FlowCytIntra-species-checked": "notRecommended", "FlowCytIntra-species-dilution-info": "", "FlowCytIntra-species-notes": "" } } }

Product details

Patented technology
Our RabMAb® technology is a patented hybridoma-based technology for making rabbit monoclonal antibodies. For details on our patents, please refer to RabMAb® patents.

What are the advantages of a recombinant monoclonal antibody?
This product is a recombinant monoclonal antibody, which offers several advantages including:

  • - High batch-to-batch consistency and reproducibility
  • - Improved sensitivity and specificity
  • - Long-term security of supply
  • - Animal-free batch production

For more information, read more on recombinant antibodies.

Conjugation ready
Our carrier-free antibodies are typically supplied in a PBS-only formulation, purified and free of BSA, sodium azide and glycerol. This conjugation-ready format is designed for use with fluorochromes, metal isotopes, oligonucleotides, and enzymes, which makes them ideal for antibody labelling, functional and cell-based assays, flow-based assays (e.g. mass cytometry) and Multiplex Imaging applications.

Use our conjugation kits for antibody conjugates that are ready-to-use in as little as 20 minutes with 1 minute hands-on-time and 100% antibody recovery: available for fluorescent dyes, HRP, biotin and gold.

Compatibility
This product is compatible with the Maxpar® Antibody Labeling Kit from Fluidigm, without the need for antibody preparation. Maxpar® is a trademark of Fluidigm Canada Inc.

Properties and storage information

Form
Liquid
Purification technique
Affinity purification Protein A
Storage buffer
pH: 7.2 - 7.4 Constituents: PBS
Shipped at conditions
Blue Ice
Appropriate short-term storage conditions
+4°C
Appropriate long-term storage conditions
+4°C

Supplementary information

This supplementary information is collated from multiple sources and compiled automatically.

XPF also known as ERCC4 is a protein that plays a mechanical role in DNA repair by cleaving DNA at junctions between single-stranded and double-stranded DNA. It exhibits a molecular mass of approximately 103 kDa. This protein is expressed in various tissues with high levels found in the liver and kidney. XPF functions as a DNA endonuclease significantly influencing genomic stability through its activity in DNA repair processes.
Biological function summary

The XPF protein collaborates with ERCC1 to form a heterodimeric complex important for nucleotide excision repair (NER). This complex is essential in recognizing and repairing bulky DNA adducts therefore maintaining DNA integrity. The complex performs specific incisions near DNA damage sites removing lesions that frequently occur due to environmental factors like UV radiation and chemical pollutants.

Pathways

XPF functions within the NER and interstrand crosslink repair pathways. In these pathways the XPF-ERCC1 complex coordinates with other proteins like XPA and RPA to accurately excise damaged DNA segments and facilitate repair synthesis. These interactions are important for restoring normal DNA configuration and function after damage thereby preventing mutations and genomic instability.

Mutations in XPF are linked to xeroderma pigmentosum group F (XP-F) and the Cockayne syndrome. XP-F is a disorder characterized by extreme sensitivity to sunlight and an increased risk of skin cancer due to impaired DNA repair capability. In Cockayne syndrome patients experience growth defects and neurological degeneration. Both of these disorders involve dysfunctional DNA repair mechanisms where proteins like ERCC1 and others in the repair pathways fail to adequately compensate for the defective XPF function.

Product protocols

For this product, it's our understanding that no specific protocols are required. You can visit:

Target data

Catalytic component of a structure-specific DNA repair endonuclease responsible for the 5-prime incision during DNA repair, and which is essential for nucleotide excision repair (NER) and interstrand cross-link (ICL) repair.
See full target information ERCC4

Product promise

We are committed to supporting your work with high-quality reagents, and we're here for you every step of the way. In the unlikely event that one of our products does not perform as expected, you're protected by our Product Promise.
For full details, please see our Terms & Conditions

Please note: All products are 'FOR RESEARCH USE ONLY. NOT FOR USE IN DIAGNOSTIC OR THERAPEUTIC PROCEDURES'.

For licensing inquiries, please contact partnerships@abcam.com