JavaScript is disabled in your browser. Please enable JavaScript to view this website.
AB235324

Anti-XPNPEP1 antibody

Be the first to review this product! Submit a review

|

(2 Publications)

Rabbit Polyclonal XPNPEP1 antibody. Suitable for WB, IHC-P and reacts with Mouse, Human samples. Cited in 2 publications. Immunogen corresponding to Recombinant Full Length Protein corresponding to Human XPNPEP1.

View Alternative Names

XPNPEPL, XPNPEPL1, XPNPEP1, Xaa-Pro aminopeptidase 1, Aminoacylproline aminopeptidase, Cytosolic aminopeptidase P, Soluble aminopeptidase P, X-Pro aminopeptidase 1, sAmp

2 Images
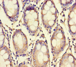
Immunohistochemistry (Formalin/PFA-fixed paraffin-embedded sections) - Anti-XPNPEP1 antibody (AB235324)
  • IHC-P

Supplier Data

Immunohistochemistry (Formalin/PFA-fixed paraffin-embedded sections) - Anti-XPNPEP1 antibody (AB235324)

Paraffin-embedded human colon cancer tissue stained for XPNPEP1 using ab235324 at 1/100 dilution in immunohistochemical analysis.

Western blot - Anti-XPNPEP1 antibody (AB235324)
  • WB

Supplier Data

Western blot - Anti-XPNPEP1 antibody (AB235324)

All lanes:

Western blot - Anti-XPNPEP1 antibody (ab235324) at 1/1000 dilution

Lane 1:

Mouse small intestine lysate

Lane 2:

Mouse stomach lysate

Lane 3:

Mouse kidney lysate

Secondary

All lanes:

Goat polyclonal to Rabbit IgG at 1/10000 dilution

Predicted band size: 69 kDa

false

Key facts

Host species

Rabbit

Clonality

Polyclonal

Isotype

IgG

Carrier free

No

Reacts with

Mouse, Human

Applications

WB, IHC-P

applications

Immunogen

Recombinant Full Length Protein corresponding to Human XPNPEP1.

Q9NQW7

Reactivity data

{ "title": "Reactivity Data", "filters": { "stats": ["", "Species", "Dilution Info", "Notes"], "tabs": { "all-applications": {"fullname" : "All Applications", "shortname": "All Applications"}, "WB" : {"fullname" : "Western blot", "shortname":"WB"}, "IHCP" : {"fullname" : "Immunohistochemistry (Formalin/PFA-fixed paraffin-embedded sections)", "shortname":"IHC-P"} }, "product-promise": { "all": "all", "testedAndGuaranteed": "tested", "guaranteed": "expected", "predicted": "predicted", "notRecommended": "not-recommended" } }, "values": { "Human": { "WB-species-checked": "guaranteed", "WB-species-dilution-info": "", "WB-species-notes": "", "IHCP-species-checked": "testedAndGuaranteed", "IHCP-species-dilution-info": "1/20 - 1/200", "IHCP-species-notes": "<p></p>" }, "Mouse": { "WB-species-checked": "testedAndGuaranteed", "WB-species-dilution-info": "1/1000 - 1/5000", "WB-species-notes": "<p></p>", "IHCP-species-checked": "guaranteed", "IHCP-species-dilution-info": "", "IHCP-species-notes": "" } } }

Properties and storage information

Form
Liquid
Purification technique
Affinity purification Protein G
Purification notes
Purity >95%.
Storage buffer
pH: 7.4 Preservative: 0.03% Proclin 300 Constituents: PBS, 50% Glycerol (glycerin, glycerine)
Shipped at conditions
Blue Ice
Appropriate short-term storage duration
1-2 weeks
Appropriate short-term storage conditions
+4°C
Appropriate long-term storage conditions
-20°C
Aliquoting information
Upon delivery aliquot
Storage information
Avoid freeze / thaw cycle

Supplementary information

This supplementary information is collated from multiple sources and compiled automatically.

The XPNPEP1 protein also known as X-prolyl aminopeptidase 1 or aminopeptidase P functions as a cytosolic enzyme and possesses a zinc-binding motif. It cleaves N-terminal amino acids from peptides containing proline. This enzyme has a mass of approximately 65 kDa. XPNPEP1 is expressed in various tissues with high expression levels observed in the kidney and liver. It operates as a monomeric enzyme and requires metal ions for its catalytic activity.
Biological function summary

XPNPEP1 plays a role in protein and peptide metabolism by processing proline-containing substrates. It does not associate with any catalytic complexes but functions autonomously to modulate peptide availability and activity. Its enzymatic activity aids in regulating peptides involved in cellular signaling and function. XPNPEP1 helps maintain homeostasis by ensuring the correct processing and degradation of proline-containing peptides which can influence numerous physiological processes.

Pathways

XPNPEP1 participates in the renin-angiotensin system (RAS) and the bradykinin degradation pathway. In the RAS XPNPEP1 modulates angiotensin molecules therefore impacting blood pressure regulation. It interacts with angiotensin-converting enzyme (ACE) within this system. In the bradykinin degradation pathway XPNPEP1 helps break down bradykinin peptides therefore preventing prolonged inflammatory responses and vascular permeability changes. Its activity is important in maintaining balance within these systems.

XPNPEP1 has links to hypertension and renal diseases due to its involvement in blood pressure and fluid balance regulation. Its association with ACE makes it relevant to conditions like hypertension where ACE inhibitors are often treatment choices. Additionally changes in XPNPEP1 expression or activity can contribute to renal dysfunction given its significant expression in kidney tissues. Research on XPNPEP1 could lead to better understanding and treatment of these cardiovascular and renal conditions.

Product protocols

For this product, it's our understanding that no specific protocols are required. You can visit:

Target data

Metalloaminopeptidase that catalyzes the removal of a penultimate prolyl residue from the N-termini of peptides, such as Arg-Pro-Pro (PubMed : 11106490, PubMed : 18515364, PubMed : 35165443). Contributes to the degradation of bradykinin (PubMed : 11106490).
See full target information XPNPEP1

Publications (2)

Recent publications for all applications. Explore the full list and refine your search

iScience 26:107446 PubMed37599822

2023

Mutational burden of XPNPEP3 leads to defects in mitochondrial complex I and cilia in NPHPL1.

Applications

Unspecified application

Species

Unspecified reactive species

Lingxiao Tong,Jia Rao,Chenxi Yang,Jie Xu,Yijun Lu,Yuchen Zhang,Xiaohui Cang,Shanshan Xie,Jianhua Mao,Pingping Jiang

Oncology letters 21:185 PubMed33574924

2021

A comprehensive analysis of the expression, epigenetic and genetic changes of HNF1B and ECI2 in 122 cases of high-grade serous ovarian carcinoma.

Applications

Unspecified application

Species

Unspecified reactive species

Kristýna Němejcová,Michaela Bártů,Jan Hojný,Nikola Hájková,Romana Michálková,Eva Krkavcová,Ivana Stružinská,Hiep Quang Bui,Pavel Dundr,David Cibula,Kateřina Jirsová
View all publications

Product promise

We are committed to supporting your work with high-quality reagents, and we're here for you every step of the way. In the unlikely event that one of our products does not perform as expected, you're protected by our Product Promise.
For full details, please see our Terms & Conditions

Please note: All products are 'FOR RESEARCH USE ONLY. NOT FOR USE IN DIAGNOSTIC OR THERAPEUTIC PROCEDURES'.

For licensing inquiries, please contact partnerships@abcam.com