JavaScript is disabled in your browser. Please enable JavaScript to view this website.
AB224034

Anti-XPNPEP2/mAPP antibody

Be the first to review this product! Submit a review

|

(1 Publication)

Rabbit Polyclonal XPNPEP2/mAPP antibody. Suitable for IHC-P, ICC/IF and reacts with Human samples. Cited in 1 publication. Immunogen corresponding to Recombinant Fragment Protein within Human XPNPEP2 aa 200-350.

View Alternative Names

Xaa-Pro aminopeptidase 2, Aminoacylproline aminopeptidase, Membrane-bound aminopeptidase P, X-Pro aminopeptidase 2, Membrane-bound APP, Membrane-bound AmP, mAmP, XPNPEP2

2 Images
Immunocytochemistry/ Immunofluorescence - Anti-XPNPEP2/mAPP antibody (AB224034)
  • ICC/IF

Supplier Data

Immunocytochemistry/ Immunofluorescence - Anti-XPNPEP2/mAPP antibody (AB224034)

PFA-fixed, Triton X-100 permeabilized SH-SY5Y (human neuroblastoma cell line from bone marrow) cells stained for XPNPEP2/mAPP (green) using ab224034 at 4 μg/ml in ICC/IF.

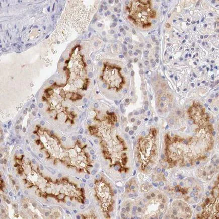
Immunohistochemistry (Formalin/PFA-fixed paraffin-embedded sections) - Anti-XPNPEP2/mAPP antibody (AB224034)
  • IHC-P

Supplier Data

Immunohistochemistry (Formalin/PFA-fixed paraffin-embedded sections) - Anti-XPNPEP2/mAPP antibody (AB224034)

Paraffin-embedded human kidney tissue stained for XPNPEP2/mAPP using ab224034 at 1/50 dilution in immunohistochemical analysis.

Key facts

Host species

Rabbit

Clonality

Polyclonal

Isotype

IgG

Carrier free

No

Reacts with

Human

Applications

ICC/IF, IHC-P

applications

Immunogen

Recombinant Fragment Protein within Human XPNPEP2 aa 200-350. The exact immunogen used to generate this antibody is proprietary information.

O43895

Reactivity data

{ "title": "Reactivity Data", "filters": { "stats": ["", "Species", "Dilution Info", "Notes"], "tabs": { "all-applications": {"fullname" : "All Applications", "shortname": "All Applications"}, "IHCP" : {"fullname" : "Immunohistochemistry (Formalin/PFA-fixed paraffin-embedded sections)", "shortname":"IHC-P"}, "ICCIF" : {"fullname" : "Immunocytochemistry/ Immunofluorescence", "shortname":"ICC/IF"} }, "product-promise": { "all": "all", "testedAndGuaranteed": "tested", "guaranteed": "expected", "predicted": "predicted", "notRecommended": "not-recommended" } }, "values": { "Human": { "IHCP-species-checked": "testedAndGuaranteed", "IHCP-species-dilution-info": "1/50 - 1/200", "IHCP-species-notes": "<p></p>", "ICCIF-species-checked": "testedAndGuaranteed", "ICCIF-species-dilution-info": "1-4 µg/mL", "ICCIF-species-notes": "<p>Fixation/Permeabilization: PFA/Triton X-100</p>" } } }

Properties and storage information

Form
Liquid
Purification technique
Affinity purification Immunogen
Storage buffer
pH: 7.2 Preservative: 0.02% Sodium azide Constituents: PBS, 40% Glycerol (glycerin, glycerine)
Shipped at conditions
Blue Ice
Appropriate short-term storage duration
1-2 weeks
Appropriate short-term storage conditions
+4°C
Appropriate long-term storage conditions
-20°C
Aliquoting information
Upon delivery aliquot
Storage information
Avoid freeze / thaw cycle

Supplementary information

This supplementary information is collated from multiple sources and compiled automatically.

XPNPEP2 also known as membrane-bound aminopeptidase P or mAPP is an enzyme with a mass of approximately 74 kDa. This protein acts by cleaving the N-terminal amino acid from peptides where proline is the penultimate residue. It is an integral membrane protein mainly expressed in endothelial cells and is also detectable in the kidneys heart and liver. The primary function of XPNPEP2 involves peptide processing reflecting a specific enzymatic mechanism.
Biological function summary

This enzyme plays an important role in the degradation of bioactive peptides such as bradykinin. XPNPEP2 does not function as part of a larger protein complex but exhibits specific affinity toward substrates with proline residues. The enzymatic activity ensures the regulation of peptide hormones and other vasoactive compounds within the vascular system. Proper functioning of this target ensures balanced peptide levels affecting physiological processes primarily related to blood pressure regulation.

Pathways

The involvement of XPNPEP2 in the kallikrein-kinin system gives it a role in cardiovascular physiology. It interacts with proteins like kininogen and kallikrein which are critical components of this pathway. XPNPEP2 aids in modulating the activity of bradykinin a peptide known for its vasodilatory properties. Additionally the enzyme links to nitrogen metabolism sharing pathways with aminopeptidase families which are involved in metabolizing nitrogen-rich compounds.

Deficiencies or dysfunctions related to XPNPEP2 can contribute to conditions such as hereditary angioedema and hypertension. The relationship of XPNPEP2 with proteins like C1 inhibitor has implications in the former disease where improper regulation of vasoactive peptides leads to uncontrolled vascular permeability and swelling. In hypertension alterations in bradykinin metabolism caused by dysregulated XPNPEP2 activity may exacerbate or contribute to elevated blood pressure states. Understanding these interactions helps in identifying therapeutic targets for treatment and management.

Product protocols

For this product, it's our understanding that no specific protocols are required. You can visit:

Target data

Membrane-bound metalloprotease which catalyzes the removal of a penultimate prolyl residue from the N-termini of peptides, such as Arg-Pro-Pro. May play a role in the metabolism of the vasodilator bradykinin.
See full target information XPNPEP2

Publications (1)

Recent publications for all applications. Explore the full list and refine your search

Journal of neuroinflammation 19:43 PubMed35135580

2022

PD-L1 signaling in reactive astrocytes counteracts neuroinflammation and ameliorates neuronal damage after traumatic brain injury.

Applications

Unspecified application

Species

Unspecified reactive species

Xiang Gao,Wei Li,Fahim Syed,Fang Yuan,Ping Li,Qigui Yu
View all publications

Product promise

We are committed to supporting your work with high-quality reagents, and we're here for you every step of the way. In the unlikely event that one of our products does not perform as expected, you're protected by our Product Promise.
For full details, please see our Terms & Conditions

Please note: All products are 'FOR RESEARCH USE ONLY. NOT FOR USE IN DIAGNOSTIC OR THERAPEUTIC PROCEDURES'.

For licensing inquiries, please contact partnerships@abcam.com