JavaScript is disabled in your browser. Please enable JavaScript to view this website.
AB325878

Anti-XPR1 antibody [HL2632] - BSA and Azide free

Be the first to review this product! Submit a review

|

(0 Publication)

Rabbit Recombinant Monoclonal X-receptor antibody. Carrier free. Suitable for WB, IHC-P, ICC/IF and reacts with Mouse, Human, Rat, Transfected cell lysate - Human samples. Immunogen corresponding to Recombinant Fragment Protein within Human XPR1.

View Alternative Names

SLC53A1, SYG1, X3, XPR1, Solute carrier family 53 member 1, Phosphate exporter SLC53A1, Protein SYG1 homolog, Xenotropic and polytropic murine leukemia virus receptor X3, Xenotropic and polytropic retrovirus receptor 1, X-receptor

8 Images
Immunocytochemistry/ Immunofluorescence - Anti-XPR1 antibody [HL2632] - BSA and Azide free (AB325878)
  • ICC/IF

Supplier Data

Immunocytochemistry/ Immunofluorescence - Anti-XPR1 antibody [HL2632] - BSA and Azide free (AB325878)

ab325878 detects XPR1 protein at cell membrane by immunofluorescent analysis. Sample : HCT116 cells were fixed in 4% paraformaldehyde at RT for 15 min. Green : XPR1 stained by ab325878 diluted at 1 : 500. Blue : Fluoroshield with DAPI.

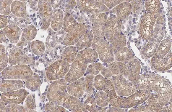
Immunohistochemistry (Formalin/PFA-fixed paraffin-embedded sections) - Anti-XPR1 antibody [HL2632] - BSA and Azide free (AB325878)
  • IHC-P

Supplier Data

Immunohistochemistry (Formalin/PFA-fixed paraffin-embedded sections) - Anti-XPR1 antibody [HL2632] - BSA and Azide free (AB325878)

ab325878 detects XPR1 protein at cell membrane by immunohistochemical analysis. Sample : Paraffin-embedded mouse kidney. XPR1 stained by ab325878 diluted at 1 : 100. Antigen Retrieval : Citrate buffer, pH 6.0, 15 min.

Western blot - Anti-XPR1 antibody [HL2632] - BSA and Azide free (AB325878)
  • WB

Supplier Data

Western blot - Anti-XPR1 antibody [HL2632] - BSA and Azide free (AB325878)

Boiled and unboiled HCT116 whole cell extracts (30 ug) were separated by 7.5% SDS-PAGE, and the membrane was blotted with ab325878 diluted at 1 : 1000. The HRP-conjugated anti-rabbit IgG antibody was used to detect the primary antibody.

All lanes:

Western blot - Anti-XPR1 antibody [HL2632] - BSA and Azide free (ab325878) at 1/1000 dilution

Lane 1:

Boiled HCT116 whole cell extracts at 30 µg

Lane 2:

Unboiled HCT116 whole cell extracts at 30 µg

Secondary

All lanes:

HRP-conjugated anti-rabbit IgG antibody

false

Western blot - Anti-XPR1 antibody [HL2632] - BSA and Azide free (AB325878)
  • WB

Supplier Data

Western blot - Anti-XPR1 antibody [HL2632] - BSA and Azide free (AB325878)

Unboiled rat tissue extract (50 ug) was separated by 7.5% SDS-PAGE, and the membrane was blotted with ab325878 diluted at 1 : 1000. The HRP-conjugated anti-rabbit IgG antibody was used to detect the primary antibody, and the signal was developed with Trident ECL plus-Enhanced.

All lanes:

Western blot - Anti-XPR1 antibody [HL2632] - BSA and Azide free (ab325878) at 1/1000 dilution

All lanes:

Unboiled rat brain tissue extract at 50 µg

Secondary

All lanes:

HRP-conjugated anti-rabbit IgG antibody

true

Western blot - Anti-XPR1 antibody [HL2632] - BSA and Azide free (AB325878)
  • WB

Supplier Data

Western blot - Anti-XPR1 antibody [HL2632] - BSA and Azide free (AB325878)

Boiled and unboiled mouse tissue extract (50 ug) were separated by 7.5% SDS-PAGE, and the membranes were blotted with ab325878 diluted at 1 : 1000 and the competitor's diluted at 1 : 1000. The HRP-conjugated anti-rabbit IgG antibody was used to detect the primary antibody.

All lanes:

Western blot - Anti-XPR1 antibody [HL2632] - BSA and Azide free (ab325878) at 1/1000 dilution

Lane 1:

Boiled mouse brain tissue extract at 50 µg

Lane 2:

Unboiled mouse brain tissue extract at 50 µg

Secondary

All lanes:

HRP-conjugated anti-rabbit IgG antibody

false

Western blot - Anti-XPR1 antibody [HL2632] - BSA and Azide free (AB325878)
  • WB

Supplier Data

Western blot - Anti-XPR1 antibody [HL2632] - BSA and Azide free (AB325878)

Boiled and unboiled mouse tissue extract (50 ug) were separated by 7.5% SDS-PAGE, and the membrane was blotted with ab325878 diluted at 1 : 1000. The HRP-conjugated anti-rabbit IgG antibody was used to detect the primary antibody, and the signal was developed with Trident ECL plus-Enhanced.

All lanes:

Western blot - Anti-XPR1 antibody [HL2632] - BSA and Azide free (ab325878) at 1/1000 dilution

Lane 1:

Boiled mouse brain tissue extract at 50 µg

Lane 2:

Unboiled mouse brain tissue extract at 50 µg

Secondary

All lanes:

HRP-conjugated anti-rabbit IgG antibody

true

Western blot - Anti-XPR1 antibody [HL2632] - BSA and Azide free (AB325878)
  • WB

Supplier Data

Western blot - Anti-XPR1 antibody [HL2632] - BSA and Azide free (AB325878)

Non-transfected (–) and transfected (+) 293T whole cell extracts (30 ug) were separated by 7.5% SDS-PAGE, and the membranes were blotted with ab325878 diluted at 1 : 1000 and competitor's antibody diluted at 1 : 1000. The HRP-conjugated anti-rabbit IgG antibody was used to detect the primary antibody.

All lanes:

Western blot - Anti-XPR1 antibody [HL2632] - BSA and Azide free (ab325878) at 1/1000 dilution

Lane 1:

Non-transfected (–) 293T whole cell extracts at 30 µg

Lane 2:

DDDDK-tagged XPR1 transfected (+) 293T whole cell extracts at 30 µg

Secondary

All lanes:

HRP-conjugated anti-rabbit IgG antibody

false

Western blot - Anti-XPR1 antibody [HL2632] - BSA and Azide free (AB325878)
  • WB

Supplier Data

Western blot - Anti-XPR1 antibody [HL2632] - BSA and Azide free (AB325878)

Non-transfected (–) and transfected (+) unboiled 293T whole cell extracts (30 ug) were separated by 7.5% SDS-PAGE, and the membrane was blotted with ab325878 diluted at 1 : 1000. The HRP-conjugated anti-rabbit IgG antibody was used to detect the primary antibody.

All lanes:

Western blot - Anti-XPR1 antibody [HL2632] - BSA and Azide free (ab325878) at 1/1000 dilution

Lane 1:

Non-transfected (–) unboiled 293T whole cell extracts at 30 µg

Lane 2:

DDDDK-tagged XPR1 transfected (+) unboiled 293T whole cell extracts at 30 µg

Secondary

All lanes:

HRP-conjugated anti-rabbit IgG antibody

false

Key facts

Host species

Rabbit

Clonality

Monoclonal

Clone number

HL2632

Isotype

IgG

Carrier free

Yes

Reacts with

Mouse, Human, Rat

Applications

ICC/IF, WB, IHC-P

applications

Immunogen

Recombinant Fragment Protein within Human XPR1.

Q9UBH6

Reactivity data

{ "title": "Reactivity Data", "filters": { "stats": ["", "Species", "Dilution Info", "Notes"], "tabs": { "all-applications": {"fullname" : "All Applications", "shortname": "All Applications"}, "WB" : {"fullname" : "Western blot", "shortname":"WB"}, "IHCP" : {"fullname" : "Immunohistochemistry (Formalin/PFA-fixed paraffin-embedded sections)", "shortname":"IHC-P"}, "ICCIF" : {"fullname" : "Immunocytochemistry/ Immunofluorescence", "shortname":"ICC/IF"} }, "product-promise": { "all": "all", "testedAndGuaranteed": "tested", "guaranteed": "expected", "predicted": "predicted", "notRecommended": "not-recommended" } }, "values": { "Human": { "WB-species-checked": "testedAndGuaranteed", "WB-species-dilution-info": "1/1000", "WB-species-notes": "<p></p>", "IHCP-species-checked": "guaranteed", "IHCP-species-dilution-info": "", "IHCP-species-notes": "", "ICCIF-species-checked": "testedAndGuaranteed", "ICCIF-species-dilution-info": "1/500", "ICCIF-species-notes": "<p></p>" }, "Mouse": { "WB-species-checked": "testedAndGuaranteed", "WB-species-dilution-info": "1/1000", "WB-species-notes": "<p></p>", "IHCP-species-checked": "testedAndGuaranteed", "IHCP-species-dilution-info": "1/100", "IHCP-species-notes": "<p></p> Perform heat-mediated antigen retrieval with citrate buffer pH 6 before commencing with IHC staining protocol.", "ICCIF-species-checked": "guaranteed", "ICCIF-species-dilution-info": "", "ICCIF-species-notes": "" }, "Rat": { "WB-species-checked": "testedAndGuaranteed", "WB-species-dilution-info": "1/1000", "WB-species-notes": "<p></p>", "IHCP-species-checked": "guaranteed", "IHCP-species-dilution-info": "", "IHCP-species-notes": "", "ICCIF-species-checked": "guaranteed", "ICCIF-species-dilution-info": "", "ICCIF-species-notes": "" }, "Transfected cell lysate - Human": { "WB-species-checked": "testedAndGuaranteed", "WB-species-dilution-info": "1/1000", "WB-species-notes": "<p></p>", "IHCP-species-checked": "notRecommended", "IHCP-species-dilution-info": "", "IHCP-species-notes": "", "ICCIF-species-checked": "notRecommended", "ICCIF-species-dilution-info": "", "ICCIF-species-notes": "" } } }

Properties and storage information

Form
Liquid
Purification technique
Affinity purification Protein A
Storage buffer
pH: 7.4 Constituents: PBS
Shipped at conditions
Blue Ice
Appropriate short-term storage duration
1-2 weeks
Appropriate short-term storage conditions
+4°C
Appropriate long-term storage conditions
-20°C
Aliquoting information
Upon delivery aliquot
Storage information
Avoid freeze / thaw cycle

Product protocols

For this product, it's our understanding that no specific protocols are required. You can visit:

Target data

Inorganic ion transporter that mediates phosphate ion export across the plasma membrane (PubMed : 23791524, PubMed : 25938945, PubMed : 27080106, PubMed : 31043717, PubMed : 39169184, PubMed : 39325866, PubMed : 39747008, PubMed : 39814721). Plays a major role in phosphate homeostasis, preventing intracellular phosphate accumulation and possible calcium phosphate precipitation, ultimately preserving calcium signaling (PubMed : 27080106). Binds inositol hexakisphosphate (Ins6P) and similar inositol polyphosphates, such as 5-diphospho-inositol pentakisphosphate (5-InsP7), which are important intracellular signaling molecules involved in regulation of phosphate flux (PubMed : 27080106, PubMed : 39169184, PubMed : 39325866).
See full target information XPR1

Product promise

We are committed to supporting your work with high-quality reagents, and we're here for you every step of the way. In the unlikely event that one of our products does not perform as expected, you're protected by our Product Promise.
For full details, please see our Terms & Conditions

Please note: All products are 'FOR RESEARCH USE ONLY. NOT FOR USE IN DIAGNOSTIC OR THERAPEUTIC PROCEDURES'.

For licensing inquiries, please contact partnerships@abcam.com