JavaScript is disabled in your browser. Please enable JavaScript to view this website.
AB84417

Anti-XRCC1 (phospho S518 + T519 + T523) antibody

Be the first to review this product! Submit a review

|

(1 Publication)

Rabbit Polyclonal XRCC1 phospho S518 + T519 + T523 antibody. Suitable for IHC-P and reacts with Mouse, Human samples. Cited in 1 publication. Immunogen corresponding to Synthetic Peptide within Human XRCC1 phospho T519 + T523.

View Alternative Names

DNA repair protein XRCC1, X-ray repair cross-complementing protein 1, XRCC1

3 Images
Immunohistochemistry (Formalin/PFA-fixed paraffin-embedded sections) - Anti-XRCC1 (phospho S518 + T519 + T523) antibody (AB84417)
  • IHC-P

Unknown

Immunohistochemistry (Formalin/PFA-fixed paraffin-embedded sections) - Anti-XRCC1 (phospho S518 + T519 + T523) antibody (AB84417)

Detection of Human XRCC1 (phospho S518 + T519 + T523) by Immunofluorescence.

Sample : FFPE section of Human breast carcinoma.
Antibody : ab84417 used at a dilution of 1/100.
Detection : Red-fluorescent Alexa Fluor 555 goat anti-rabbit IgG used at a dilution of 1/500.

Immunohistochemistry (Formalin/PFA-fixed paraffin-embedded sections) - Anti-XRCC1 (phospho S518 + T519 + T523) antibody (AB84417)
  • IHC-P

Unknown

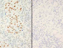
Immunohistochemistry (Formalin/PFA-fixed paraffin-embedded sections) - Anti-XRCC1 (phospho S518 + T519 + T523) antibody (AB84417)

Detection of Human XRCC1 (phospho S518 + T519 + T523) by Immunohistochemistry.

Samples : FFPE serial sections of Human breast adenocarcinoma. Mock phosphatase treated section (left) or calf intestinal phosphatase-treated section (right) immunostained for XRCC1 (phospho S518 + T519 + T523).
Antibody : ab84417 used at a dilution of 1/250.
Detection : DAB staining.

Immunohistochemistry (Formalin/PFA-fixed paraffin-embedded sections) - Anti-XRCC1 (phospho S518 + T519 + T523) antibody (AB84417)
  • IHC-P

Unknown

Immunohistochemistry (Formalin/PFA-fixed paraffin-embedded sections) - Anti-XRCC1 (phospho S518 + T519 + T523) antibody (AB84417)

Detection of Mouse XRCC1 (phospho S518 + T519 + T523) by Immunohistochemistry.

Samples : FFPE serial sections of Mouse squamous cell carcinoma. Mock phosphatase treated section (left) or calf intestinal phosphatase-treated section (right) immunostained for XRCC1 (phospho S518 + T519 + T523).
Antibody : ab84417 used at a dilution of 1/250. Detection : DAB staining.

Key facts

Host species

Rabbit

Clonality

Polyclonal

Isotype

IgG

Carrier free

No

Reacts with

Mouse, Human

Applications

IHC-P

applications

Immunogen

Synthetic Peptide within Human XRCC1 phospho T519 + T523. The exact immunogen used to generate this antibody is proprietary information.

P18887

Reactivity data

{ "title": "Reactivity Data", "filters": { "stats": ["", "Species", "Dilution Info", "Notes"], "tabs": { "all-applications": {"fullname" : "All Applications", "shortname": "All Applications"}, "IHCP" : {"fullname" : "Immunohistochemistry (Formalin/PFA-fixed paraffin-embedded sections)", "shortname":"IHC-P"} }, "product-promise": { "all": "all", "testedAndGuaranteed": "tested", "guaranteed": "expected", "predicted": "predicted", "notRecommended": "not-recommended" } }, "values": { "Human": { "IHCP-species-checked": "testedAndGuaranteed", "IHCP-species-dilution-info": "1/100 - 1/500", "IHCP-species-notes": "<p></p> Perform heat-mediated antigen retrieval with citrate buffer pH 6 before commencing with IHC staining protocol." }, "Mouse": { "IHCP-species-checked": "testedAndGuaranteed", "IHCP-species-dilution-info": "1/100 - 1/500", "IHCP-species-notes": "<p></p> Perform heat-mediated antigen retrieval with citrate buffer pH 6 before commencing with IHC staining protocol." }, "Chimpanzee": { "IHCP-species-checked": "predicted", "IHCP-species-dilution-info": "", "IHCP-species-notes": "" }, "Gorilla": { "IHCP-species-checked": "predicted", "IHCP-species-dilution-info": "", "IHCP-species-notes": "" } } }

Properties and storage information

Form
Liquid
Purification technique
Affinity purification Immunogen
Storage buffer
pH: 6.8 - 7.4 Preservative: 0.09% Sodium azide Constituents: Tris buffered saline, 0.1% BSA
Shipped at conditions
Blue Ice
Appropriate short-term storage conditions
+4°C
Appropriate long-term storage conditions
-20°C
Aliquoting information
Upon delivery aliquot
Storage information
Avoid freeze / thaw cycle

Supplementary information

This supplementary information is collated from multiple sources and compiled automatically.

XRCC1 (X-ray repair cross-complementing protein 1) plays a role in DNA repair by acting as a scaffold protein. It weighs approximately 70 kDa and is expressed in various tissues reflecting its role in maintaining genomic stability. XRCC1 helps in the repair of single-strand breaks by coordinating the activity of several enzymes involved in the base excision repair pathway. Together with other proteins it helps ensure the integrity of DNA by fostering repair mechanisms following damage by ionizing radiation or other environmental factors.
Biological function summary

The activity of XRCC1 integrates into DNA damage response as it partners with enzymes like DNA ligase III DNA polymerase beta and poly (ADP-ribose) polymerase (PARP). This protein functions by forming complexes with these enzymes facilitating quick and accurate repair. The ability of XRCC1 to bring together repair machinery is essential for cell survival after DNA damage and plays a role in the prevention of mutagenesis and carcinogenesis as errors in repair processes could lead to genetic mutations.

Pathways

The XRCC1 protein participates in base excision repair and single-strand break repair pathways. It works closely with PARP1 and DNA ligase III to correct single-strand DNA interruptions. Through these pathways XRCC1 interacts with other repair proteins like TDP1 aiding in the resolution of complex DNA end structures. This collaboration ensures the completion of cellular repair processes maintaining genomic integrity and reducing the likelihood of accumulating harmful mutations.

Mutations in XRCC1 have links to cancer development particularly those involving increased susceptibility to tobacco-related cancers. Studies have connected XRCC1 polymorphisms to a higher risk for conditions such as breast and lung cancer. Relations between XRCC1 and disorders can also be observed with neurodegenerative conditions; for instance alterations in its function or expression patterns might amplify disease progression involving neurological decline. Moreover its interactions with proteins like PARP1 bring forth potential implications in therapeutic strategies aiming to exploit DNA repair pathways for targeted cancer treatments.

Product protocols

For this product, it's our understanding that no specific protocols are required. You can visit:

Target data

Scaffold protein involved in DNA single-strand break repair by mediating the assembly of DNA break repair protein complexes (PubMed : 11163244, PubMed : 28002403). Negatively regulates ADP-ribosyltransferase activity of PARP1 during base-excision repair in order to prevent excessive PARP1 activity (PubMed : 28002403, PubMed : 34102106, PubMed : 34811483). Recognizes and binds poly-ADP-ribose chains : specifically binds auto-poly-ADP-ribosylated PARP1, limiting its activity (PubMed : 14500814, PubMed : 34102106, PubMed : 34811483).
See full target information XRCC1 phospho S518 + T519 + T523

Publications (1)

Recent publications for all applications. Explore the full list and refine your search

Developmental biology 406:1-13 PubMed26234752

2015

Fertilization stimulates 8-hydroxy-2'-deoxyguanosine repair and antioxidant activity to prevent mutagenesis in the embryo.

Applications

Unspecified application

Species

Unspecified reactive species

Tessa Lord,R John Aitken
View all publications

Product promise

We are committed to supporting your work with high-quality reagents, and we're here for you every step of the way. In the unlikely event that one of our products does not perform as expected, you're protected by our Product Promise.
For full details, please see our Terms & Conditions

Please note: All products are 'FOR RESEARCH USE ONLY. NOT FOR USE IN DIAGNOSTIC OR THERAPEUTIC PROCEDURES'.

For licensing inquiries, please contact partnerships@abcam.com