JavaScript is disabled in your browser. Please enable JavaScript to view this website.
AB58467

Anti-XRCC3 antibody

Be the first to review this product! Submit a review

|

(1 Publication)

Rabbit Polyclonal XRCC3 antibody. Suitable for WB, IHC-P, ICC/IF and reacts with Human, African green monkey samples. Cited in 1 publication. Immunogen corresponding to Synthetic Peptide within Human DNA repair protein XRCC3.

View Alternative Names

DNA repair protein XRCC3, X-ray repair cross-complementing protein 3, XRCC3

3 Images
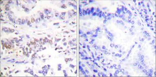
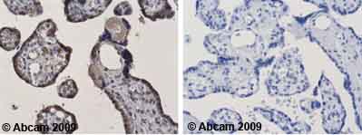
Immunohistochemistry (Formalin/PFA-fixed paraffin-embedded sections) - Anti-XRCC3 antibody (AB58467)
  • IHC-P

Unknown

Immunohistochemistry (Formalin/PFA-fixed paraffin-embedded sections) - Anti-XRCC3 antibody (AB58467)

Immunohistochemical analysis of paraffin-embedded human lung carcinoma tissue using ab58467 at a dilution of 1/50. Right hand image : treated with immunising peptide. Left hand image : untreated.

Western blot - Anti-XRCC3 antibody (AB58467)
  • WB

Unknown

Western blot - Anti-XRCC3 antibody (AB58467)

All lanes:

Western blot - Anti-XRCC3 antibody (ab58467) at 1/500 dilution

Lane 1:

extracts from HepG2 cells treated with Adriamycin (0.5µM, 5 hours) with no immunising peptide

Lane 2:

extracts from HepG2 cells treated with Adriamycin (0.5µM, 5 hours) with immunising peptide

Predicted band size: 37 kDa

Observed band size: 38 kDa

false

Immunocytochemistry/ Immunofluorescence - Anti-XRCC3 antibody (AB58467)
  • ICC/IF

Unknown

Immunocytochemistry/ Immunofluorescence - Anti-XRCC3 antibody (AB58467)

ab58467 at 1/500 dilution staining XRCC3 in COS7 cells by Immunofluorescence, in the absence or presence of the synthesized peptide.

Key facts

Host species

Rabbit

Clonality

Polyclonal

Isotype

IgG

Carrier free

No

Reacts with

Human, African green monkey

Applications

IHC-P, ICC/IF, WB

applications

Immunogen

Synthetic Peptide within Human DNA repair protein XRCC3. The exact immunogen used to generate this antibody is proprietary information.

O43542

Specificity

ab58467 detects endogenous levels of total XRCC1 protein.

Reactivity data

{ "title": "Reactivity Data", "filters": { "stats": ["", "Species", "Dilution Info", "Notes"], "tabs": { "all-applications": {"fullname" : "All Applications", "shortname": "All Applications"}, "WB" : {"fullname" : "Western blot", "shortname":"WB"}, "IHCP" : {"fullname" : "Immunohistochemistry (Formalin/PFA-fixed paraffin-embedded sections)", "shortname":"IHC-P"}, "ICCIF" : {"fullname" : "Immunocytochemistry/ Immunofluorescence", "shortname":"ICC/IF"} }, "product-promise": { "all": "all", "testedAndGuaranteed": "tested", "guaranteed": "expected", "predicted": "predicted", "notRecommended": "not-recommended" } }, "values": { "Human": { "WB-species-checked": "testedAndGuaranteed", "WB-species-dilution-info": "1/500 - 1/1000", "WB-species-notes": "<p></p>", "IHCP-species-checked": "testedAndGuaranteed", "IHCP-species-dilution-info": "", "IHCP-species-notes": "<p></p>", "ICCIF-species-checked": "guaranteed", "ICCIF-species-dilution-info": "", "ICCIF-species-notes": "" }, "Mouse": { "WB-species-checked": "predicted", "WB-species-dilution-info": "", "WB-species-notes": "", "IHCP-species-checked": "predicted", "IHCP-species-dilution-info": "", "IHCP-species-notes": "", "ICCIF-species-checked": "predicted", "ICCIF-species-dilution-info": "", "ICCIF-species-notes": "" }, "African green monkey": { "WB-species-checked": "guaranteed", "WB-species-dilution-info": "", "WB-species-notes": "", "IHCP-species-checked": "guaranteed", "IHCP-species-dilution-info": "", "IHCP-species-notes": "", "ICCIF-species-checked": "testedAndGuaranteed", "ICCIF-species-dilution-info": "1/100 - 1/500", "ICCIF-species-notes": "<p></p>" } } }

Properties and storage information

Form
Liquid
Purification technique
Affinity purification Immunogen
Storage buffer
pH: 7.4 Preservative: 0.02% Sodium azide Constituents: PBS, 50% Glycerol (glycerin, glycerine), 0.87% Sodium chloride
Shipped at conditions
Blue Ice
Appropriate short-term storage conditions
+4°C
Appropriate long-term storage conditions
-20°C
Storage information
Stable for 12 months at -20°C

Supplementary information

This supplementary information is collated from multiple sources and compiled automatically.

XRCC3 also known as X-Ray Repair Cross Complementing 3 plays an important role in DNA repair processes. It is a protein weighing approximately 39 kDa and is expressed in many tissues within the human body. This protein belongs to the RAD51 family of recombinases and is essential during homologous recombination ensuring the stability and integrity of the genome by assisting in the repair of double-strand breaks in DNA.
Biological function summary

XRCC3 promotes DNA repair and genomic stability and functions as part of a complex. It associates with other proteins in the RAD51 family to facilitate the proper repair mechanisms required for maintaining cellular health. XRCC3’s activity in homologous recombination is critical to prevent DNA damage accumulation which could lead to chromosomal abnormalities impacting cell survival and proliferation.

Pathways

XRCC3 is integrally involved in homologous recombination repair and the broader DNA damage response network. It interacts closely with RAD51 and BRCA2 to mediate accurate DNA repair by homologous recombination ensuring precise repair pathway activation and reducing erroneous repair activities. XRCC3 supports the recruitment of RAD51 to DNA breaks and collaborates with the Fanconi anemia pathway to protect against genomic instability.

XRCC3 mutations or dysfunctions have associations with cancer susceptibility particularly breast cancer. The protein’s role in DNA repair links it to other proteins like BRCA1 and BRCA2 which have established connections in hereditary breast and ovarian cancer syndromes. Altered XRCC3 expression or sequence changes can compromise DNA repair pathways heightening the risk of tumorigenesis due to unchecked DNA damage accumulation.

Product protocols

For this product, it's our understanding that no specific protocols are required. You can visit:

Target data

Involved in the homologous recombination repair (HRR) pathway of double-stranded DNA, thought to repair chromosomal fragmentation, translocations and deletions. Part of the RAD51 paralog protein complex CX3 which acts in the BRCA1-BRCA2-dependent HR pathway. Upon DNA damage, CX3 acts downstream of RAD51 recruitment; the complex binds predominantly to the intersection of the four duplex arms of the Holliday junction (HJ) and to junctions of replication forks. Involved in HJ resolution and thus in processing HR intermediates late in the DNA repair process; the function may be linked to the CX3 complex and seems to involve GEN1 during mitotic cell cycle progression. Part of a PALB2-scaffolded HR complex containing BRCA2 and RAD51C and which is thought to play a role in DNA repair by HR. Plays a role in regulating mitochondrial DNA copy number under conditions of oxidative stress in the presence of RAD51 and RAD51C.
See full target information DNA repair protein XRCC3

Publications (1)

Recent publications for all applications. Explore the full list and refine your search

Molecular carcinogenesis 54:1758-71 PubMed25418835

2014

Wilms' tumor gene WT1 promotes homologous recombination-mediated DNA damage repair.

Applications

Unspecified application

Species

Unspecified reactive species

Yusuke Oji,Naoya Tatsumi,Junya Kobayashi,Mari Fukuda,Tazu Ueda,Eri Nakano,Chisae Saito,Syohei Shibata,Mihoko Sumikawa,Hisashi Fukushima,Akari Saito,Nozomi Hojo,Miyu Suzuki,Tomoko Hoshikawa,Tsutomu Shimura,Eiichi Morii,Yoshihiro Oka,Naoki Hosen,Kenshi Komatsu,Haruo Sugiyama
View all publications

Product promise

We are committed to supporting your work with high-quality reagents, and we're here for you every step of the way. In the unlikely event that one of our products does not perform as expected, you're protected by our Product Promise.
For full details, please see our Terms & Conditions

Please note: All products are 'FOR RESEARCH USE ONLY. NOT FOR USE IN DIAGNOSTIC OR THERAPEUTIC PROCEDURES'.

For licensing inquiries, please contact partnerships@abcam.com