JavaScript is disabled in your browser. Please enable JavaScript to view this website.
AB317698

Anti-XRCC4 antibody [EPR28958-63] - BSA and Azide free

Be the first to review this product! Submit a review

|

(0 Publication)

Rabbit Recombinant Monoclonal XRCC4 antibody. Carrier free. Suitable for IHC-P, IP, WB and reacts with Human samples.

View Alternative Names

DNA repair protein XRCC4, hXRCC4, X-ray repair cross-complementing protein 4, XRCC4

8 Images
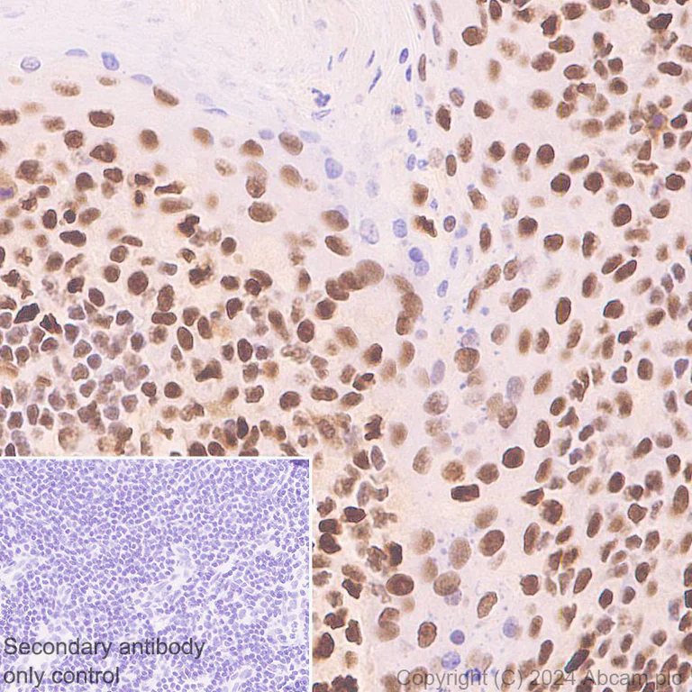
Immunohistochemistry (Formalin/PFA-fixed paraffin-embedded sections) - Anti-XRCC4 antibody [EPR28958-63] - BSA and Azide free (AB317698)
  • IHC-P

Supplier Data

Immunohistochemistry (Formalin/PFA-fixed paraffin-embedded sections) - Anti-XRCC4 antibody [EPR28958-63] - BSA and Azide free (AB317698)

This data was developed using ab317697, the same antibody clone in a different buffer formulation.

Immunohistochemical analysis of paraffin-embedded Human tonsil tissue labeling XRCC4 with ab317697 at 1/500 (1.032 ug/ml) dilution, followed by a ready to use LeicaDS9800 (Bond™ Polymer Refine Detection).

Positive staining in human tonsil.
The section was incubated with ab317697 for 30 mins at room temperature.
The immunostaining was performed on a Leica Biosystems BOND® RX instrument

Counterstained with Hematoxylin.

Secondary antibody only control : Secondary antibody is a ready to use LeicaDS9800 (Bond™ Polymer Refine Detection).

Heat mediated antigen retrieval was performed with Tris-EDTA buffer (pH 9.0, Epitope Retrieval Solution2) for 20 mins

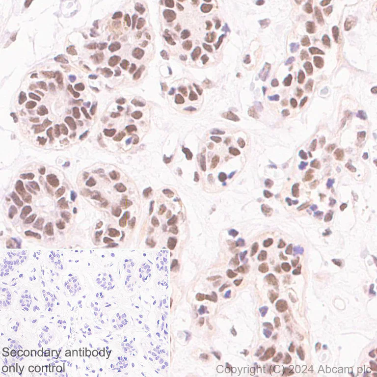
Immunohistochemistry (Formalin/PFA-fixed paraffin-embedded sections) - Anti-XRCC4 antibody [EPR28958-63] - BSA and Azide free (AB317698)
  • IHC-P

Supplier Data

Immunohistochemistry (Formalin/PFA-fixed paraffin-embedded sections) - Anti-XRCC4 antibody [EPR28958-63] - BSA and Azide free (AB317698)

This data was developed using ab317697, the same antibody clone in a different buffer formulation.

Immunohistochemical analysis of paraffin-embedded Human endometrioid carcinoma tissue labeling XRCC4 with ab317697 at 1/500 (1.032 ug/ml) dilution, followed by a ready to use LeicaDS9800 (Bond™ Polymer Refine Detection).

Positive staining in human endometrioid carcinoma.
The section was incubated with ab317697 for 30 mins at room temperature.
The immunostaining was performed on a Leica Biosystems BOND® RX instrument

Counterstained with Hematoxylin.

Secondary antibody only control : Secondary antibody is a ready to use LeicaDS9800 (Bond™ Polymer Refine Detection).

Heat mediated antigen retrieval was performed with Tris-EDTA buffer (pH 9.0, Epitope Retrieval Solution2) for 20 mins

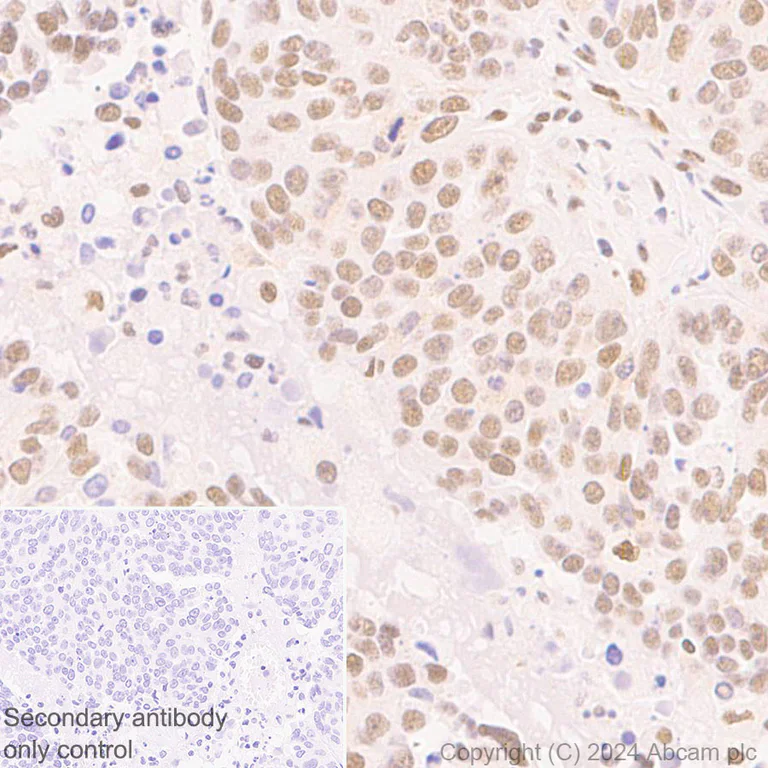
Immunohistochemistry (Formalin/PFA-fixed paraffin-embedded sections) - Anti-XRCC4 antibody [EPR28958-63] - BSA and Azide free (AB317698)
  • IHC-P

Supplier Data

Immunohistochemistry (Formalin/PFA-fixed paraffin-embedded sections) - Anti-XRCC4 antibody [EPR28958-63] - BSA and Azide free (AB317698)

This data was developed using ab317697, the same antibody clone in a different buffer formulation.

Immunohistochemical analysis of paraffin-embedded Human breast tissue labeling XRCC4 with ab317697 at 1/500 (1.032 ug/ml) dilution, followed by a ready to use LeicaDS9800 (Bond™ Polymer Refine Detection).

Positive staining in human breast.
The section was incubated with ab317697 for 30 mins at room temperature.
The immunostaining was performed on a Leica Biosystems BOND® RX instrument

Counterstained with Hematoxylin.

Secondary antibody only control : Secondary antibody is a ready to use LeicaDS9800 (Bond™ Polymer Refine Detection).

Heat mediated antigen retrieval was performed with Tris-EDTA buffer (pH 9.0, Epitope Retrieval Solution2) for 20 mins

Immunoprecipitation - Anti-XRCC4 antibody [EPR28958-63] - BSA and Azide free (AB317698)
  • IP

Supplier Data

Immunoprecipitation - Anti-XRCC4 antibody [EPR28958-63] - BSA and Azide free (AB317698)

This data was developed using ab317697, the same antibody clone in a different buffer formulation.

XRCC4 was immunoprecipitated from 0.35 mg HeLa (human cervical adenocarcinoma epithelial cell) whole cell lysate with ab317697 at 1/30 dilution (2ug in 0.35mg lysates). Western blot was performed on the immunoprecipitate using ab317697 at 1/1000 dilution. VeriBlot for IP secondary antibody(HRP)(ab131366) was used at 1/5000 dilution.

Lane 1 : HeLa (human cervical adenocarcinoma epithelial cell) whole cell lysate
Lane 2 : ab317697 IP in HeLa (human cervical adenocarcinoma epithelial cell) whole cell lysate
Lane 3 : Rabbit monoclonal IgG (ab172730) instead of ab317697 in HeLa whole cell lysate

All lanes:

Immunoprecipitation - Anti-XRCC4 antibody [EPR28958-63] (<a href='/en-us/products/primary-antibodies/xrcc4-antibody-epr28958-63-ab317697'>ab317697</a>) at 1/30 dilution

All lanes:

HeLa (human cervical adenocarcinoma epithelial cell) whole cell lysate

Secondary

All lanes:

Immunoprecipitation - VeriBlot for IP Detection Reagent (HRP) (<a href='/en-us/products/reagents/veriblot-for-ip-detection-reagent-hrp-ab131366'>ab131366</a>) at 1/5000 dilution

false

Exposure time: 50s

Western blot - Anti-XRCC4 antibody [EPR28958-63] - BSA and Azide free (AB317698)
  • WB

Supplier Data

Western blot - Anti-XRCC4 antibody [EPR28958-63] - BSA and Azide free (AB317698)

This data was developed using ab317697, the same antibody clone in a different buffer formulation.

All lanes:

Western blot - Anti-XRCC4 antibody [EPR28958-63] (<a href='/en-us/products/primary-antibodies/xrcc4-antibody-epr28958-63-ab317697'>ab317697</a>) at 1/1000 dilution

All lanes:

Human tonsil tissue lysate at 20 µg

Secondary

All lanes:

Goat Anti-Rabbit IgG (HRP) with minimal cross-reactivity with human IgG at 1/2000 dilution

Observed band size: 35 kDa,55 kDa

false

Exposure time: 70s

Western blot - Anti-XRCC4 antibody [EPR28958-63] - BSA and Azide free (AB317698)
  • WB

Supplier Data

Western blot - Anti-XRCC4 antibody [EPR28958-63] - BSA and Azide free (AB317698)

This data was developed using ab317697, the same antibody clone in a different buffer formulation.

Lysates were freshly made and used for Western blotting immediately to minimize protein degradation.

In Western blot, Anti-Vinculin antibody [EPR8185] (ab129002) staining at 1/10000 dilution.

All lanes:

Western blot - Anti-XRCC4 antibody [EPR28958-63] (<a href='/en-us/products/primary-antibodies/xrcc4-antibody-epr28958-63-ab317697'>ab317697</a>) at 1/1000 dilution

Lane 1:

HeLa (human cervical adenocarcinoma epithelial cell) transfected with scrambled siRNA control whole cell lysate at 20 µg

Lane 2:

HeLa transfected with siRNA specifically targeti XRCC4 whole cell lysate at 20 µg

Secondary

All lanes:

Western blot - Goat Anti-Rabbit IgG H&L (HRP) (<a href='/en-us/products/secondary-antibodies/goat-rabbit-igg-h-l-hrp-ab97051'>ab97051</a>) at 1/100000 dilution

Observed band size: 35 kDa,55 kDa,124 kDa

false

Exposure time: 48s

Western blot - Anti-XRCC4 antibody [EPR28958-63] - BSA and Azide free (AB317698)
  • WB

Supplier Data

Western blot - Anti-XRCC4 antibody [EPR28958-63] - BSA and Azide free (AB317698)

This data was developed using ab317697, the same antibody clone in a different buffer formulation.

The expression of caspase cleaved XRCC4 is upregulated upon induction of apoptosis (PMID : 33725486).

In Western blot, Anti-Vinculin antibody [EPR8185] (ab129002) staining at 1/10000 dilution.

All lanes:

Western blot - Anti-XRCC4 antibody [EPR28958-63] (<a href='/en-us/products/primary-antibodies/xrcc4-antibody-epr28958-63-ab317697'>ab317697</a>) at 1/1000 dilution

Lane 1:

Untreated heLa (human cervical adenocarcinoma epithelial cell) whole cell lysate at 20 µg

Lane 2:

HeLa treated with 2uM staurosporine for 3h whole cell lysate at 20 µg

Secondary

All lanes:

Western blot - Goat Anti-Rabbit IgG H&L (HRP) (<a href='/en-us/products/secondary-antibodies/goat-rabbit-igg-h-l-hrp-ab97051'>ab97051</a>) at 1/100000 dilution

Observed band size: 35 kDa,55 kDa,124 kDa

false

Exposure time: 15s

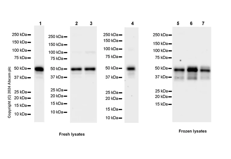
Western blot - Anti-XRCC4 antibody [EPR28958-63] - BSA and Azide free (AB317698)
  • WB

Supplier Data

Western blot - Anti-XRCC4 antibody [EPR28958-63] - BSA and Azide free (AB317698)

This data was developed using ab317697, the same antibody clone in a different buffer formulation.

In Lane 1-Lane 4, lysates were freshly made and used for Western blotting immediately to minimize protein degradation.

All lanes:

Western blot - Anti-XRCC4 antibody [EPR28958-63] (<a href='/en-us/products/primary-antibodies/xrcc4-antibody-epr28958-63-ab317697'>ab317697</a>) at 1/1000 dilution

Lanes 1 and 6:

HCT 116 (human colorectal carcinoma epithelial cell) whole cell lysate at 20 µg

Lanes 2 and 5:

HeLa (human cervical adenocarcinoma epithelial cell) whole cell lysate at 20 µg

Lanes 3 and 7:

293T (human embryonic kidney epithelial cell) whole cell lysate at 20 µg

Lane 4:

T-47D (human ductal breast epithelial tumor epithelial cell) whole cell lysate at 20 µg

Secondary

All lanes:

Goat Anti-Rabbit IgG (HRP) with minimal cross-reactivity with human IgG at 1/2000 dilution

Observed band size: 55 kDa

false

Exposure time: 15s

Key facts

Host species

Rabbit

Clonality

Monoclonal

Clone number

EPR28958-63

Isotype

IgG

Carrier free

Yes

Reacts with

Human

Applications

IHC-P, IP, WB

applications

Immunogen

The exact immunogen used to generate this antibody is proprietary information.

Reactivity data

{ "title": "Reactivity Data", "filters": { "stats": ["", "Species", "Dilution Info", "Notes"], "tabs": { "all-applications": {"fullname" : "All Applications", "shortname": "All Applications"}, "IHCP" : {"fullname" : "Immunohistochemistry (Formalin/PFA-fixed paraffin-embedded sections)", "shortname":"IHC-P"}, "IP" : {"fullname" : "Immunoprecipitation", "shortname":"IP"}, "WB" : {"fullname" : "Western blot", "shortname":"WB"} }, "product-promise": { "all": "all", "testedAndGuaranteed": "tested", "guaranteed": "expected", "predicted": "predicted", "notRecommended": "not-recommended" } }, "values": { "Human": { "IHCP-species-checked": "testedAndGuaranteed", "IHCP-species-dilution-info": "", "IHCP-species-notes": "<p></p>", "IP-species-checked": "testedAndGuaranteed", "IP-species-dilution-info": "", "IP-species-notes": "<p></p>", "WB-species-checked": "testedAndGuaranteed", "WB-species-dilution-info": "", "WB-species-notes": "<p></p>" }, "Mouse": { "IHCP-species-checked": "notRecommended", "IHCP-species-dilution-info": "", "IHCP-species-notes": "", "IP-species-checked": "notRecommended", "IP-species-dilution-info": "", "IP-species-notes": "", "WB-species-checked": "notRecommended", "WB-species-dilution-info": "", "WB-species-notes": "<p></p>" }, "Rat": { "IHCP-species-checked": "notRecommended", "IHCP-species-dilution-info": "", "IHCP-species-notes": "", "IP-species-checked": "notRecommended", "IP-species-dilution-info": "", "IP-species-notes": "", "WB-species-checked": "notRecommended", "WB-species-dilution-info": "", "WB-species-notes": "<p></p>" } } }

Product details

ab317698 is the carrier-free version of ab317697.

Patented technology
Our RabMAb® technology is a patented hybridoma-based technology for making rabbit monoclonal antibodies. For details on our patents, please refer to RabMAb® patents.

What are the advantages of a recombinant monoclonal antibody?
This product is a recombinant monoclonal antibody, which offers several advantages including:

  • - High batch-to-batch consistency and reproducibility
  • - Improved sensitivity and specificity
  • - Long-term security of supply
  • - Animal-free batch production

For more information, read more on recombinant antibodies.

Conjugation ready
Our carrier-free antibodies are typically supplied in a PBS-only formulation, purified and free of BSA, sodium azide and glycerol. This conjugation-ready format is designed for use with fluorochromes, metal isotopes, oligonucleotides, and enzymes, which makes them ideal for antibody labelling, functional and cell-based assays, flow-based assays (e.g. mass cytometry) and Multiplex Imaging applications.

Use our conjugation kits for antibody conjugates that are ready-to-use in as little as 20 minutes with 1 minute hands-on-time and 100% antibody recovery: available for fluorescent dyes, HRP, biotin and gold.

Compatibility
This product is compatible with the Maxpar® Antibody Labeling Kit from Fluidigm, without the need for antibody preparation. Maxpar® is a trademark of Fluidigm Canada Inc.

Properties and storage information

Form
Liquid
Purification technique
Affinity purification Protein A
Storage buffer
pH: 7.2 - 7.4 Constituents: PBS
Shipped at conditions
Blue Ice
Appropriate short-term storage conditions
+4°C
Appropriate long-term storage conditions
+4°C

Supplementary information

This supplementary information is collated from multiple sources and compiled automatically.

XRCC4 also known as X-ray repair cross-complementing protein 4 is an important component in the repair of double-strand breaks in DNA. It stabilizes and facilitates the joining of DNA ends during the non-homologous end joining (NHEJ) repair pathway. XRCC4 has a mass of approximately 38 kDa. This protein is widely expressed in various tissues with significant levels noted in the nucleus reflecting its direct involvement in DNA repair processes.
Biological function summary

XRCC4 plays a pivotal role in maintaining genetic stability. It is a vital component of the DNA repair machinery and functions as part of a complex with DNA ligase IV. This complex ensures the appropriate joining of DNA ends which is critical for cell survival and prevention of chromosomal aberrations. Without XRCC4 cells would face higher mutational rates and increased genomic instability leading to cellular dysfunction and disease progression.

Pathways

XRCC4 is integral to the non-homologous end joining pathway a major DNA double-strand break repair mechanism in human cells. It interacts with DNA-dependent protein kinase (DNA-PK) and DNA ligase IV during the repair process. Within the NHEJ pathway XRCC4 collaborates closely with DNA ligase IV to seal DNA breaks effectively. It also engages with other proteins such as Ku70/Ku80 to ensure proper coordination of DNA repair activities within the cell.

XRCC4 stands as an important factor in genomic integrity with its dysfunction associating with cancer and immunodeficiency disorders. Mutations or deficiencies in XRCC4 can lead to a higher incidence of leukemia due to the accumulation of genomic instability. Connections between XRCC4 and the ATM protein have been highlighted in research with ATM being another critical player in DNA repair pathways. Defective XRCC4 or its interactions can exacerbate disease progression making it a significant target for therapeutic interventions.

Product protocols

For this product, it's our understanding that no specific protocols are required. You can visit:

Target data

DNA repair protein XRCC4. DNA non-homologous end joining (NHEJ) core factor, required for double-strand break repair and V(D)J recombination (PubMed : 10757784, PubMed : 10854421, PubMed : 12517771, PubMed : 16412978, PubMed : 17124166, PubMed : 17290226, PubMed : 22228831, PubMed : 25597996, PubMed : 25742519, PubMed : 25934149, PubMed : 26100018, PubMed : 26774286, PubMed : 8548796). Acts as a scaffold protein that regulates recruitment of other proteins to DNA double-strand breaks (DSBs) (PubMed : 15385968, PubMed : 20852255, PubMed : 26774286, PubMed : 27437582). Associates with NHEJ1/XLF to form alternating helical filaments that bridge DNA and act like a bandage, holding together the broken DNA until it is repaired (PubMed : 21768349, PubMed : 21775435, PubMed : 22287571, PubMed : 26100018, PubMed : 27437582, PubMed : 28500754). The XRCC4-NHEJ1/XLF subcomplex binds to the DNA fragments of a DSB in a highly diffusive manner and robustly bridges two independent DNA molecules, holding the broken DNA fragments in close proximity to one other (PubMed : 27437582). The mobility of the bridges ensures that the ends remain accessible for further processing by other repair factors (PubMed : 27437582). Plays a key role in the NHEJ ligation step of the broken DNA during DSB repair via direct interaction with DNA ligase IV (LIG4) : the LIG4-XRCC4 subcomplex reseals the DNA breaks after the gap filling is completed (PubMed : 10757784, PubMed : 10854421, PubMed : 12517771, PubMed : 17290226, PubMed : 19837014, PubMed : 9242410). XRCC4 stabilizes LIG4, regulates its subcellular localization and enhances LIG4's joining activity (PubMed : 10757784, PubMed : 10854421, PubMed : 12517771, PubMed : 17290226, PubMed : 21982441, PubMed : 22228831, PubMed : 9242410). Binding of the LIG4-XRCC4 subcomplex to DNA ends is dependent on the assembly of the DNA-dependent protein kinase complex DNA-PK to these DNA ends (PubMed : 10757784, PubMed : 10854421). Promotes displacement of PNKP from processed strand break termini (PubMed : 20852255, PubMed : 28453785).. Protein XRCC4, C-terminus. Acts as an activator of the phospholipid scramblase activity of XKR4 (PubMed : 33725486). This form, which is generated upon caspase-3 (CASP3) cleavage, translocates into the cytoplasm and interacts with XKR4, thereby promoting phosphatidylserine scramblase activity of XKR4 and leading to phosphatidylserine exposure on apoptotic cell surface (PubMed : 33725486).
See full target information DNA repair protein XRCC4

Product promise

We are committed to supporting your work with high-quality reagents, and we're here for you every step of the way. In the unlikely event that one of our products does not perform as expected, you're protected by our Product Promise.
For full details, please see our Terms & Conditions

Please note: All products are 'FOR RESEARCH USE ONLY. NOT FOR USE IN DIAGNOSTIC OR THERAPEUTIC PROCEDURES'.

For licensing inquiries, please contact partnerships@abcam.com