JavaScript is disabled in your browser. Please enable JavaScript to view this website.
AB72181

Anti-XRN2 antibody

3

(3 Reviews)

|

(18 Publications)

Rabbit Polyclonal XRN2 antibody. Suitable for IP, WB, IHC-P and reacts with Human, Mouse samples. Cited in 18 publications. Immunogen corresponding to Synthetic Peptide within Human 5'-3' exoribonuclease 2.

View Alternative Names

5'-3' exoribonuclease 2, DHM1-like protein, DHP protein, XRN2

4 Images
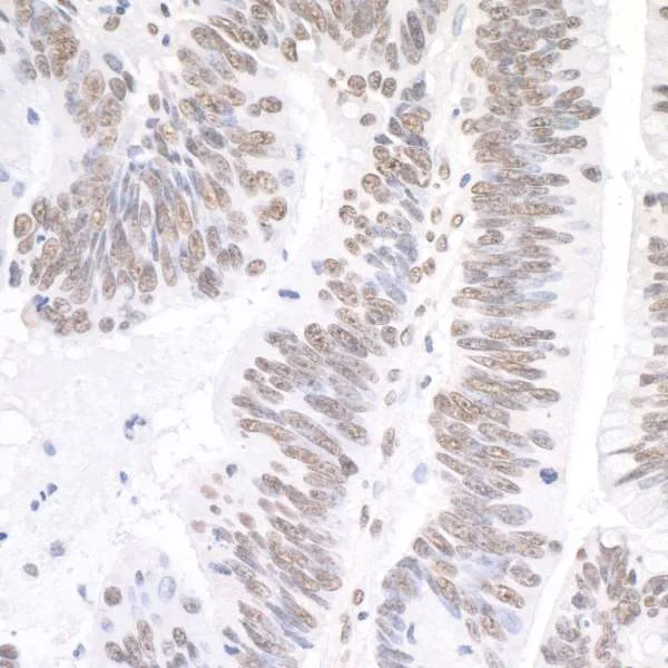
Immunohistochemistry (Formalin/PFA-fixed paraffin-embedded sections) - Anti-XRN2 antibody (AB72181)
  • IHC-P

Unknown

Immunohistochemistry (Formalin/PFA-fixed paraffin-embedded sections) - Anti-XRN2 antibody (AB72181)

IHC image of XRN2 staining in human colon carcinoma formalin fixed paraffin embedded tissue section, performed on a Leica Bond system using the standard protocol F. The section was pre-treated using heat mediated antigen retrieval with sodium citrate buffer (pH6, epitope retrieval solution 1) for 20 mins. The section was then incubated with ab72181, 0.2μg/ml, for 15 mins at room temperature and detected using an HRP conjugated compact polymer system. DAB was used as the chromogen. The section was then counterstained with haematoxylin and mounted with DPX.

For other IHC staining systems (automated and non-automated) customers should optimize variable parameters such as antigen retrieval conditions, primary antibody concentration and antibody incubation times.

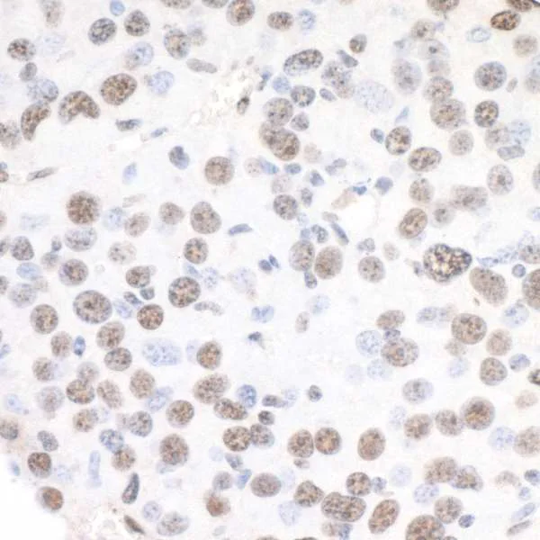
Immunohistochemistry (Formalin/PFA-fixed paraffin-embedded sections) - Anti-XRN2 antibody (AB72181)
  • IHC-P

Unknown

Immunohistochemistry (Formalin/PFA-fixed paraffin-embedded sections) - Anti-XRN2 antibody (AB72181)

IHC image of XRN2 staining in mouse renal cell carcinoma formalin fixed paraffin embedded tissue section, performed on a Leica Bond system using the standard protocol F. The section was pre-treated using heat mediated antigen retrieval with sodium citrate buffer (pH6, epitope retrieval solution 1) for 20 mins. The section was then incubated with ab72181, 0.2μg/ml, for 15 mins at room temperature and detected using an HRP conjugated compact polymer system. DAB was used as the chromogen. The section was then counterstained with haematoxylin and mounted with DPX.

For other IHC staining systems (automated and non-automated) customers should optimize variable parameters such as antigen retrieval conditions, primary antibody concentration and antibody incubation times.

Immunoprecipitation - Anti-XRN2 antibody (AB72181)
  • IP

Unknown

Immunoprecipitation - Anti-XRN2 antibody (AB72181)

Detection of Human XRN2 by Immunoprecipitation in Whole cell lysate from HeLa cells (3 ug per IP reaction), using ab72181 at 3 μg/mg lysate for IP and at 1 μg/ml for subsequent Western blot detection.

All lanes:

Immunoprecipitation - Anti-XRN2 antibody (ab72181)

Predicted band size: 109 kDa

false

Western blot - Anti-XRN2 antibody (AB72181)
  • WB

Unknown

Western blot - Anti-XRN2 antibody (AB72181)

All lanes:

Western blot - Anti-XRN2 antibody (ab72181) at 0.4 µg/mL

Lane 1:

TCMK-1 whole cell lysate at 50 µg

Lane 2:

4T1 whole cell lysate at 50 µg

Lane 3:

CT26 whole cell lysate at 50 µg

Predicted band size: 109 kDa

true

Exposure time: 3min

Key facts

Host species

Rabbit

Clonality

Polyclonal

Isotype

IgG

Carrier free

No

Reacts with

Mouse, Human

Applications

WB, IHC-P, IP

applications

Immunogen

Synthetic Peptide within Human 5'-3' exoribonuclease 2. The exact immunogen used to generate this antibody is proprietary information.

Q9H0D6

Reactivity data

{ "title": "Reactivity Data", "filters": { "stats": ["", "Species", "Dilution Info", "Notes"], "tabs": { "all-applications": {"fullname" : "All Applications", "shortname": "All Applications"}, "IP" : {"fullname" : "Immunoprecipitation", "shortname":"IP"}, "WB" : {"fullname" : "Western blot", "shortname":"WB"}, "IHCP" : {"fullname" : "Immunohistochemistry (Formalin/PFA-fixed paraffin-embedded sections)", "shortname":"IHC-P"} }, "product-promise": { "all": "all", "testedAndGuaranteed": "tested", "guaranteed": "expected", "predicted": "predicted", "notRecommended": "not-recommended" } }, "values": { "Human": { "IP-species-checked": "testedAndGuaranteed", "IP-species-dilution-info": "3 µg/mg of lysate", "IP-species-notes": "<p></p>", "WB-species-checked": "testedAndGuaranteed", "WB-species-dilution-info": "0.4 µg/mL", "WB-species-notes": "<p></p>", "IHCP-species-checked": "testedAndGuaranteed", "IHCP-species-dilution-info": "0.2 mg/mL", "IHCP-species-notes": "<p></p>" }, "Mouse": { "IP-species-checked": "guaranteed", "IP-species-dilution-info": "", "IP-species-notes": "", "WB-species-checked": "testedAndGuaranteed", "WB-species-dilution-info": "0.4 µg/mL", "WB-species-notes": "<p></p>", "IHCP-species-checked": "guaranteed", "IHCP-species-dilution-info": "", "IHCP-species-notes": "" }, "Bat": { "IP-species-checked": "predicted", "IP-species-dilution-info": "", "IP-species-notes": "", "WB-species-checked": "predicted", "WB-species-dilution-info": "", "WB-species-notes": "", "IHCP-species-checked": "predicted", "IHCP-species-dilution-info": "", "IHCP-species-notes": "" }, "Chimpanzee": { "IP-species-checked": "predicted", "IP-species-dilution-info": "", "IP-species-notes": "", "WB-species-checked": "predicted", "WB-species-dilution-info": "", "WB-species-notes": "", "IHCP-species-checked": "predicted", "IHCP-species-dilution-info": "", "IHCP-species-notes": "" }, "Elephant": { "IP-species-checked": "predicted", "IP-species-dilution-info": "", "IP-species-notes": "", "WB-species-checked": "predicted", "WB-species-dilution-info": "", "WB-species-notes": "", "IHCP-species-checked": "predicted", "IHCP-species-dilution-info": "", "IHCP-species-notes": "" }, "Orangutan": { "IP-species-checked": "predicted", "IP-species-dilution-info": "", "IP-species-notes": "", "WB-species-checked": "predicted", "WB-species-dilution-info": "", "WB-species-notes": "", "IHCP-species-checked": "predicted", "IHCP-species-dilution-info": "", "IHCP-species-notes": "" }, "Rhesus monkey": { "IP-species-checked": "predicted", "IP-species-dilution-info": "", "IP-species-notes": "", "WB-species-checked": "predicted", "WB-species-dilution-info": "", "WB-species-notes": "", "IHCP-species-checked": "predicted", "IHCP-species-dilution-info": "", "IHCP-species-notes": "" } } }

Properties and storage information

Form
Liquid
Purification technique
Affinity purification Immunogen
Storage buffer
pH: 6.8 - 7.4 Preservative: 0.09% Sodium azide Constituents: Tris buffered saline, 0.1% BSA
Shipped at conditions
Blue Ice
Appropriate short-term storage conditions
+4°C
Appropriate long-term storage conditions
-20°C
Aliquoting information
Upon delivery aliquot
Storage information
Avoid freeze / thaw cycle

Supplementary information

This supplementary information is collated from multiple sources and compiled automatically.

XRN2 also known as 5'-3' exoribonuclease 2 is an enzyme involved in RNA metabolism. It has a molecular mass of approximately 105 kDa. XRN2 scavenges for the degradation of uncapped nascent RNA by cleaving RNA in the 5' to 3' direction after exonucleolytic cleavage. Predominantly expressed in the nucleus XRN2 plays an important role in RNA turnover and processing contributing to the precise control of gene expression within eukaryotic cells.
Biological function summary

5'-3' exoribonuclease 2 regulates the termination of transcription facilitating the completion of the RNA synthesis process. XRN2 functions in coordination with other components within transcription termination complexes such as the exosome. These complexes ensure the removal of excess or faulty RNA which is critical for maintaining cellular homeostasis. XRN2's activity aids in silencing transcriptional noise and preventing the accumulation of defective RNA species.

Pathways

5'-3' RNA decay and termination are where XRN2 finds its primary function. It is a part of the exosome-mediated RNA decay pathway and contributes to effective gene expression pathways. In these pathways XRN2 functions alongside proteins such as Rrp6 and other cofactors ensuring the fidelity of RNA processing is maintained. It interacts with proteins involved in RNA polymerase II-mediated transcriptional processes highlighting its integral role in gene expression regulation.

Improper function or expression of XRN2 is linked to cancer and neurodegenerative diseases. In cancer alterations in RNA processing pathways involving XRN2 can lead to unchecked cellular proliferation. Additionally proteins like SEPT7 are sometimes altered in these pathways contributing to oncogenic potentials. In neurodegenerative disorders such as amyotrophic lateral sclerosis (ALS) disrupted XRN2 function can result in abnormal RNA processing and neuronal damage. Here interactions with proteins like TDP-43 can exacerbate disease pathology linking XRN2 to complex disease mechanisms.

Product protocols

For this product, it's our understanding that no specific protocols are required. You can visit:

Target data

Possesses 5'->3' exoribonuclease activity (By similarity). May promote the termination of transcription by RNA polymerase II. During transcription termination, cleavage at the polyadenylation site liberates a 5' fragment which is subsequently processed to form the mature mRNA and a 3' fragment which remains attached to the elongating polymerase. The processive degradation of this 3' fragment by this protein may promote termination of transcription. Binds to RNA polymerase II (RNAp II) transcription termination R-loops formed by G-rich pause sites (PubMed : 21700224).
See full target information 5'-3' exoribonuclease 2

Publications (18)

Recent publications for all applications. Explore the full list and refine your search

CytoJournal 21:46 PubMed39737134

2024

Oncogene 5'-3' exoribonuclease 2 enhances epidermal growth factor receptor signaling pathway to promote epithelial-mesenchymal transition and metastasis in non-small-cell lung cancer.

Applications

Unspecified application

Species

Unspecified reactive species

Yonghui Cheng,Mengge Wen,Xiaochun Wang,Hao Zhu

Developmental cell 57:2731-2744.e5 PubMed36495875

2022

RNA degradation eliminates developmental transcripts during murine embryonic stem cell differentiation via CAPRIN1-XRN2.

Applications

Unspecified application

Species

Unspecified reactive species

Juliane O Viegas,Gajendra Kumar Azad,Yuan Lv,Lior Fishman,Tal Paltiel,Sundararaghavan Pattabiraman,Jung Eun Park,Daniel Kaganovich,Siu Kwan Sze,Michal Rabani,Miguel A Esteban,Eran Meshorer

Annals of neurology 93:155-163 PubMed36251395

2022

CYFIP2 p.Arg87Cys Causes Neurological Defects and Degradation of CYFIP2.

Applications

Unspecified application

Species

Unspecified reactive species

Muwon Kang,Yinhua Zhang,Hyae Rim Kang,Seoyeong Kim,Ruiying Ma,Yunho Yi,Seungjoon Lee,Yoonhee Kim,Huiling Li,Chunmei Jin,Dongmin Lee,Eunjoon Kim,Kihoon Han

Free radical biology & medicine 168:25-43 PubMed33785413

2021

Targeting SLC3A2 subunit of system X is essential for mA reader YTHDC2 to be an endogenous ferroptosis inducer in lung adenocarcinoma.

Applications

Unspecified application

Species

Unspecified reactive species

Lifang Ma,Xiao Zhang,Keke Yu,Xin Xu,Tianxiang Chen,Yi Shi,Yikun Wang,Shiyu Qiu,Susu Guo,Jiangtao Cui,Yayou Miao,Xiaoting Tian,Lutao Du,Yongchun Yu,Jinjing Xia,Jiayi Wang

Redox biology 38:101801 PubMed33232910

2020

The mA reader YTHDC2 inhibits lung adenocarcinoma tumorigenesis by suppressing SLC7A11-dependent antioxidant function.

Applications

Unspecified application

Species

Unspecified reactive species

Lifang Ma,Tianxiang Chen,Xiao Zhang,Yayou Miao,Xiaoting Tian,Keke Yu,Xin Xu,Yongjie Niu,Susu Guo,Congcong Zhang,Shiyu Qiu,Yongxia Qiao,Wentao Fang,Lutao Du,Yongchun Yu,Jiayi Wang

Scientific reports 10:14253 PubMed32859985

2020

XRN2 interactome reveals its synthetic lethal relationship with PARP1 inhibition.

Applications

Unspecified application

Species

Unspecified reactive species

Praveen L Patidar,Talysa Viera,Julio C Morales,Naveen Singh,Edward A Motea,Megha Khandelwal,Farjana J Fattah

Scientific reports 9:14063 PubMed31575916

2019

VDAC1 is essential for neurite maintenance and the inhibition of its oligomerization protects spinal cord from demyelination and facilitates locomotor function recovery after spinal cord injury.

Applications

Unspecified application

Species

Unspecified reactive species

Vera Paschon,Beatriz Cintra Morena,Felipe Fernandes Correia,Giovanna Rossi Beltrame,Gustavo Bispo Dos Santos,Alexandre Fogaça Cristante,Alexandre Hiroaki Kihara

Molecular cell 76:767-783.e11 PubMed31540874

2019

Nascent Pre-rRNA Sorting via Phase Separation Drives the Assembly of Dense Fibrillar Components in the Human Nucleolus.

Applications

Unspecified application

Species

Unspecified reactive species

Run-Wen Yao,Guang Xu,Ying Wang,Lin Shan,Peng-Fei Luan,Yang Wang,Man Wu,Liang-Zhong Yang,Yu-Hang Xing,Li Yang,Ling-Ling Chen

The EMBO journal 38:e100986 PubMed31267554

2019

Arginine methylation of the DDX5 helicase RGG/RG motif by PRMT5 regulates resolution of RNA:DNA hybrids.

Applications

Unspecified application

Species

Unspecified reactive species

Sofiane Y Mersaoui,Zhenbao Yu,Yan Coulombe,Martin Karam,Franciele F Busatto,Jean-Yves Masson,Stéphane Richard

eLife 6: PubMed28639940

2017

Genetic specification of left-right asymmetry in the diaphragm muscles and their motor innervation.

Applications

WB

Species

Mouse

Camille Charoy,Sarah Dinvaut,Yohan Chaix,Laurette Morlé,Isabelle Sanyas,Muriel Bozon,Karine Kindbeiter,Bénédicte Durand,Jennifer M Skidmore,Lies De Groef,Motoaki Seki,Lieve Moons,Christiana Ruhrberg,James F Martin,Donna M Martin,Julien Falk,Valerie Castellani
View all publications

Product promise

We are committed to supporting your work with high-quality reagents, and we're here for you every step of the way. In the unlikely event that one of our products does not perform as expected, you're protected by our Product Promise.
For full details, please see our Terms & Conditions

Please note: All products are 'FOR RESEARCH USE ONLY. NOT FOR USE IN DIAGNOSTIC OR THERAPEUTIC PROCEDURES'.

For licensing inquiries, please contact partnerships@abcam.com