JavaScript is disabled in your browser. Please enable JavaScript to view this website.
AB318133

Anti-XRN2 antibody [EPR28598-13] - BSA and Azide free

Be the first to review this product! Submit a review

|

(0 Publication)

Rabbit Recombinant Monoclonal XRN2 antibody. Carrier free. Suitable for IHC-P, WB, Flow Cyt (Intra), ICC/IF and reacts with Human, Mouse, Rat samples.

View Alternative Names

5'-3' exoribonuclease 2, DHM1-like protein, DHP protein, XRN2

12 Images
Immunohistochemistry (Formalin/PFA-fixed paraffin-embedded sections) - Anti-XRN2 antibody [EPR28598-13] - BSA and Azide free (AB318133)
  • IHC-P

Supplier Data

Immunohistochemistry (Formalin/PFA-fixed paraffin-embedded sections) - Anti-XRN2 antibody [EPR28598-13] - BSA and Azide free (AB318133)

This data was developed using ab318132, the same antibody clone in a different buffer formulation.

Immunohistochemical analysis of paraffin-embedded Human cerebrum tissue labeling XRN2 with ab318132 at 1/1000 (0.501 ug/ml) dilution, followed by a ready to use LeicaDS9800 (Bond™ Polymer Refine Detection).

Positive staining in human cerebrum.
The section was incubated with ab318132 for 30 mins at room temperature.
The immunostaining was performed on a Leica Biosystems BOND® RX instrument

Counterstained with Hematoxylin.

Secondary antibody only control : Secondary antibody is a ready to use LeicaDS9800 (Bond™ Polymer Refine Detection).

Heat mediated antigen retrieval was performed with Tris-EDTA buffer (pH 9.0, Epitope Retrieval Solution2) for 20 mins

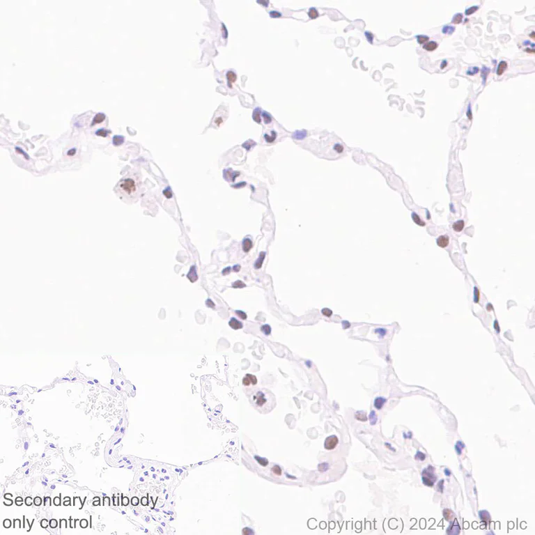
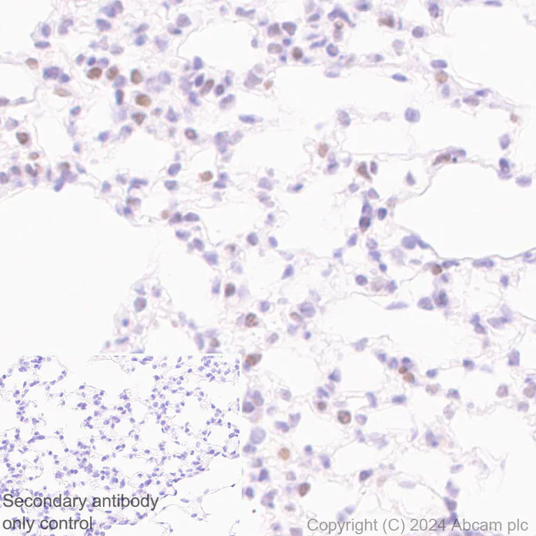
Immunohistochemistry (Formalin/PFA-fixed paraffin-embedded sections) - Anti-XRN2 antibody [EPR28598-13] - BSA and Azide free (AB318133)
  • IHC-P

Supplier Data

Immunohistochemistry (Formalin/PFA-fixed paraffin-embedded sections) - Anti-XRN2 antibody [EPR28598-13] - BSA and Azide free (AB318133)

This data was developed using ab318132, the same antibody clone in a different buffer formulation.

Immunohistochemical analysis of paraffin-embedded Human lung tissue labeling XRN2 with ab318132 at 1/1000 (0.501 ug/ml) dilution, followed by a ready to use LeicaDS9800 (Bond™ Polymer Refine Detection).

Positive staining in human lung.
The section was incubated with ab318132 for 30 mins at room temperature.
The immunostaining was performed on a Leica Biosystems BOND® RX instrument

Counterstained with Hematoxylin.

Secondary antibody only control : Secondary antibody is a ready to use LeicaDS9800 (Bond™ Polymer Refine Detection).

Heat mediated antigen retrieval was performed with Tris-EDTA buffer (pH 9.0, Epitope Retrieval Solution2) for 20 mins

Immunocytochemistry/ Immunofluorescence - Anti-XRN2 antibody [EPR28598-13] - BSA and Azide free (AB318133)
  • ICC/IF

Supplier Data

Immunocytochemistry/ Immunofluorescence - Anti-XRN2 antibody [EPR28598-13] - BSA and Azide free (AB318133)

This data was developed using ab318132, the same antibody clone in a different buffer formulation.

Immunofluorescent analysis of 4% Paraformaldehyde-fixed, 0.1% TritonX-100 permeabilized HeLa (human cervical adenocarcinoma epithelial cell) cells labelling XRN2 with ab318132 at 1/100 (5.01 ug/ml) dilution, followed by ab150081 Goat Anti-Rabbit IgG H&L (Alexa Fluor® 488) preadsorbed antibody at 1/1000 2 ug/ml dilution (Green).

Confocal image showing nuclear staining in HeLa cell line (shown in green). The counterstain was observed in magenta. Nuclear DNA was labelled with DAPI (shown in blue). Image was taken with a confocal microscope (Leica-Microsystems, TCS SP8).

ab195889 Anti-alpha Tubulin mouse monoclonal antibody - Microtubule Marker (Alexa Fluor® 594) was used to counterstain tubulin at 1/200 2.5ug/ml dilution (Magenta). The Nuclear counterstain was DAPI (Blue).

Secondary antibody only control : Secondary antibody is ab150081 Goat Anti-Rabbit IgG H&L (Alexa Fluor® 488) preadsorbed at 1/1000 2 ug/ml dilution.

Flow Cytometry (Intracellular) - Anti-XRN2 antibody [EPR28598-13] - BSA and Azide free (AB318133)
  • Flow Cyt (Intra)

Supplier Data

Flow Cytometry (Intracellular) - Anti-XRN2 antibody [EPR28598-13] - BSA and Azide free (AB318133)

This data was developed using ab318132, the same antibody clone in a different buffer formulation.

Flow cytometric analysis of 4% paraformaldehyde fixed 90% methanol permeabilized HeLa (human cervical adenocarcinoma epithelial cell) cells labelling XRN2 with ab318132 at 1/500 dilution (0.1 ug)/Magenta (Red) compared with a Rabbit monoclonal IgG (ab172730) (Black) isotype control and an unlabelled control (cells without incubation with primary antibody and secondary antibody) (Blue).

Goat Anti-Rabbit IgG (Alexa Fluor® 488, ab150081) at 1/5000 dilution was used as the secondary antibody.

Immunohistochemistry (Formalin/PFA-fixed paraffin-embedded sections) - Anti-XRN2 antibody [EPR28598-13] - BSA and Azide free (AB318133)
  • IHC-P

Supplier Data

Immunohistochemistry (Formalin/PFA-fixed paraffin-embedded sections) - Anti-XRN2 antibody [EPR28598-13] - BSA and Azide free (AB318133)

This data was developed using ab318132, the same antibody clone in a different buffer formulation.

Immunohistochemical analysis of paraffin-embedded Mouse lung tissue labeling XRN2 with ab318132 at 1/2000 (0.251 ug/ml) dilution, followed by a ready to use LeicaDS9800 (Bond™ Polymer Refine Detection).

Positive staining in mouse lung.
The section was incubated with ab318132 for 30 mins at room temperature.
The immunostaining was performed on a Leica Biosystems BOND® RX instrument

Counterstained with Hematoxylin.

Secondary antibody only control : Secondary antibody is a ready to use LeicaDS9800 (Bond™ Polymer Refine Detection).

Heat mediated antigen retrieval was performed with Tris-EDTA buffer (pH 9.0, Epitope Retrieval Solution2) for 20 mins

Immunocytochemistry/ Immunofluorescence - Anti-XRN2 antibody [EPR28598-13] - BSA and Azide free (AB318133)
  • ICC/IF

Lab

Immunocytochemistry/ Immunofluorescence - Anti-XRN2 antibody [EPR28598-13] - BSA and Azide free (AB318133)

This data was developed using ab318132, the same antibody clone in a different buffer formulation.

Immunofluorescent analysis of 4% Paraformaldehyde-fixed, 0.1% TritonX-100 permeabilized NIH/3T3 (mouse embryonic fibroblast) cells labelling XRN2 with ab318132 at 1/100 (5.01 ug/ml) dilution, followed by ab150081 Goat Anti-Rabbit IgG H&L (Alexa Fluor® 488) preadsorbed antibody at 1/1000 (2 ug/ml) dilution (Green).

Confocal image showing nuclear staining in NIH/3T3 cell line (shown in green). The counterstain was observed in magenta. Nuclear DNA was labeled with DAPI (shown in blue). Image was taken with a confocal microscope (Leica-Microsystems, TCS SP8).

ab195889 Anti-alpha Tubulin mouse monoclonal antibody - Microtubule Marker (Alexa Fluor® 594) was used to counterstain tubulin at 1/200 (2.5 ug/ml) dilution (Magenta).

Secondary antibody only control : Secondary antibody is ab150081 Goat Anti-Rabbit IgG H&L (Alexa Fluor® 488) preadsorbed at 1/1000 (2 ug/ml) dilution.

Immunohistochemistry (Formalin/PFA-fixed paraffin-embedded sections) - Anti-XRN2 antibody [EPR28598-13] - BSA and Azide free (AB318133)
  • IHC-P

Supplier Data

Immunohistochemistry (Formalin/PFA-fixed paraffin-embedded sections) - Anti-XRN2 antibody [EPR28598-13] - BSA and Azide free (AB318133)

This data was developed using ab318132, the same antibody clone in a different buffer formulation.

Immunohistochemical analysis of paraffin-embedded Rat cerebrum tissue labeling XRN2 with ab318132 at 1/2000 (0.251 ug/ml) dilution, followed by a ready to use LeicaDS9800 (Bond™ Polymer Refine Detection).

Positive staining in rat cerebrum.
The section was incubated with ab318132 for 30 mins at room temperature.
The immunostaining was performed on a Leica Biosystems BOND® RX instrument

Counterstained with Hematoxylin.

Secondary antibody only control : Secondary antibody is a ready to use LeicaDS9800 (Bond™ Polymer Refine Detection).

Heat mediated antigen retrieval was performed with Tris-EDTA buffer (pH 9.0, Epitope Retrieval Solution2) for 20 mins

Immunohistochemistry (Formalin/PFA-fixed paraffin-embedded sections) - Anti-XRN2 antibody [EPR28598-13] - BSA and Azide free (AB318133)
  • IHC-P

Supplier Data

Immunohistochemistry (Formalin/PFA-fixed paraffin-embedded sections) - Anti-XRN2 antibody [EPR28598-13] - BSA and Azide free (AB318133)

This data was developed using ab318132, the same antibody clone in a different buffer formulation.

Immunohistochemical analysis of paraffin-embedded Mouse cerebrum tissue labeling XRN2 with ab318132 at 1/2000 (0.251 ug/ml) dilution, followed by a ready to use LeicaDS9800 (Bond™ Polymer Refine Detection).

Positive staining in mouse cerebrum.
The section was incubated with ab318132 for 30 mins at room temperature.
The immunostaining was performed on a Leica Biosystems BOND® RX instrument

Counterstained with Hematoxylin.

Secondary antibody only control : Secondary antibody is a ready to use LeicaDS9800 (Bond™ Polymer Refine Detection).

Heat mediated antigen retrieval was performed with Tris-EDTA buffer (pH 9.0, Epitope Retrieval Solution2) for 20 mins

Western blot - Anti-XRN2 antibody [EPR28598-13] - BSA and Azide free (AB318133)
  • WB

Supplier Data

Western blot - Anti-XRN2 antibody [EPR28598-13] - BSA and Azide free (AB318133)

This data was developed using ab318132, the same antibody clone in a different buffer formulation.

In Western blot, Anti-GAPDH antibody [EPR16891] - Loading Control (ab181602) staining at 1/200000 dilution.

All lanes:

Western blot - Anti-XRN2 antibody [EPR28598-13] (<a href='/en-us/products/primary-antibodies/xrn2-antibody-epr28598-13-ab318132'>ab318132</a>) at 1/1000 dilution

Lane 1:

HeLa (human cervical adenocarcinoma epithelial cell) transfected with scrambled siRNA control whole cell lysate at 20 µg

Lane 2:

HeLa transfected with siRNA specifically targeting XRN2 whole cell lysate at 20 µg

Lane 3:

LN-229 (human brain glioblastoma epithelial cell) whole cell lysate at 20 µg

Secondary

All lanes:

Western blot - Goat Anti-Rabbit IgG H&L (HRP) (<a href='/en-us/products/secondary-antibodies/goat-rabbit-igg-h-l-hrp-ab97051'>ab97051</a>) at 1/20000 dilution

Observed band size: 108 kDa,36 kDa

false

Exposure time: 8s

Western blot - Anti-XRN2 antibody [EPR28598-13] - BSA and Azide free (AB318133)
  • WB

Supplier Data

Western blot - Anti-XRN2 antibody [EPR28598-13] - BSA and Azide free (AB318133)

This data was developed using ab318132, the same antibody clone in a different buffer formulation.

In Western blot, Anti-GAPDH antibody [EPR16891] - Loading Control (ab181602) staining at 1/200000 dilution.

All lanes:

Western blot - Anti-XRN2 antibody [EPR28598-13] (<a href='/en-us/products/primary-antibodies/xrn2-antibody-epr28598-13-ab318132'>ab318132</a>) at 1/1000 dilution

Lane 1:

Human cerebellum tissue lysate at 20 µg

Lane 2:

Human liver tissue lysate at 20 µg

Secondary

All lanes:

Goat Anti-Rabbit IgG (HRP) with minimal cross-reactivity with human IgG at 1/5000 dilution

Observed band size: 108 kDa,36 kDa

false

Exposure time: 180s

Western blot - Anti-XRN2 antibody [EPR28598-13] - BSA and Azide free (AB318133)
  • WB

Supplier Data

Western blot - Anti-XRN2 antibody [EPR28598-13] - BSA and Azide free (AB318133)

This data was developed using ab318132, the same antibody clone in a different buffer formulation.

In Western blot, Anti-GAPDH antibody [EPR16891] - Loading Control (ab181602) staining at 1/200000 dilution.

All lanes:

Western blot - Anti-XRN2 antibody [EPR28598-13] (<a href='/en-us/products/primary-antibodies/xrn2-antibody-epr28598-13-ab318132'>ab318132</a>) at 1/1000 dilution

Lane 1:

Mouse lung tissue lysate at 20 µg

Lane 2:

Mouse skeletal muscle tissue lysate at 20 µg

Lane 3:

Mouse brain tissue lysate at 20 µg

Lane 4:

Rat skeletal muscle tissue lysate at 20 µg

Lane 5:

Rat brain tissue lysate at 20 µg

Secondary

All lanes:

Western blot - Goat Anti-Rabbit IgG H&L (HRP) (<a href='/en-us/products/secondary-antibodies/goat-rabbit-igg-h-l-hrp-ab97051'>ab97051</a>) at 1/20000 dilution

Observed band size: 108 kDa,36 kDa

false

Exposure time: 180s

Western blot - Anti-XRN2 antibody [EPR28598-13] - BSA and Azide free (AB318133)
  • WB

Lab

Western blot - Anti-XRN2 antibody [EPR28598-13] - BSA and Azide free (AB318133)

This data was developed using ab318132, the same antibody clone in a different buffer formulation.

Blocking and diluting buffer and concentration : 5% NFDM/TBST

The identity of the band lower than 108 kDa are unknown.

All lanes:

Western blot - Anti-XRN2 antibody [EPR28598-13] (<a href='/en-us/products/primary-antibodies/xrn2-antibody-epr28598-13-ab318132'>ab318132</a>) at 1/1000 dilution

Lane 1:

NIH/3T3 (mouse embryonic fibroblast) transfected with scrambled siRNA control whole cell lysate at 20 µg

Lane 2:

NIH/3T3 transfected with siRNA specifically targeting XRN2 whole cell lysate at 20 µg

Secondary

All lanes:

Western blot - Goat Anti-Rabbit IgG H&L (HRP) (<a href='/en-us/products/secondary-antibodies/goat-rabbit-igg-h-l-hrp-ab97051'>ab97051</a>) at 1/100000 dilution

Observed band size: 108 kDa,36 kDa

false

Exposure time: 15s

Key facts

Host species

Rabbit

Clonality

Monoclonal

Clone number

EPR28598-13

Isotype

IgG

Carrier free

Yes

Reacts with

Human, Mouse, Rat

Applications

WB, ICC/IF, Flow Cyt (Intra), IHC-P

applications

Immunogen

The exact immunogen used to generate this antibody is proprietary information.

Reactivity data

{ "title": "Reactivity Data", "filters": { "stats": ["", "Species", "Dilution Info", "Notes"], "tabs": { "all-applications": {"fullname" : "All Applications", "shortname": "All Applications"}, "IHCP" : {"fullname" : "Immunohistochemistry (Formalin/PFA-fixed paraffin-embedded sections)", "shortname":"IHC-P"}, "WB" : {"fullname" : "Western blot", "shortname":"WB"}, "FlowCytIntra" : {"fullname" : "Flow Cytometry (Intracellular)", "shortname":"Flow Cyt (Intra)"}, "ICCIF" : {"fullname" : "Immunocytochemistry/ Immunofluorescence", "shortname":"ICC/IF"}, "IP" : {"fullname" : "Immunoprecipitation", "shortname":"IP"} }, "product-promise": { "all": "all", "testedAndGuaranteed": "tested", "guaranteed": "expected", "predicted": "predicted", "notRecommended": "not-recommended" } }, "values": { "Human": { "IHCP-species-checked": "testedAndGuaranteed", "IHCP-species-dilution-info": "", "IHCP-species-notes": "<p></p>", "WB-species-checked": "testedAndGuaranteed", "WB-species-dilution-info": "", "WB-species-notes": "<p></p>", "FlowCytIntra-species-checked": "testedAndGuaranteed", "FlowCytIntra-species-dilution-info": "", "FlowCytIntra-species-notes": "<p></p>", "ICCIF-species-checked": "testedAndGuaranteed", "ICCIF-species-dilution-info": "", "ICCIF-species-notes": "<p></p>", "IP-species-checked": "notRecommended", "IP-species-dilution-info": "", "IP-species-notes": "<p></p>" }, "Mouse": { "IHCP-species-checked": "testedAndGuaranteed", "IHCP-species-dilution-info": "", "IHCP-species-notes": "<p></p>", "WB-species-checked": "testedAndGuaranteed", "WB-species-dilution-info": "", "WB-species-notes": "<p></p>", "FlowCytIntra-species-checked": "guaranteed", "FlowCytIntra-species-dilution-info": "", "FlowCytIntra-species-notes": "", "ICCIF-species-checked": "testedAndGuaranteed", "ICCIF-species-dilution-info": "", "ICCIF-species-notes": "<p></p>", "IP-species-checked": "notRecommended", "IP-species-dilution-info": "", "IP-species-notes": "<p></p>" }, "Rat": { "IHCP-species-checked": "testedAndGuaranteed", "IHCP-species-dilution-info": "", "IHCP-species-notes": "<p></p>", "WB-species-checked": "testedAndGuaranteed", "WB-species-dilution-info": "", "WB-species-notes": "<p></p>", "FlowCytIntra-species-checked": "guaranteed", "FlowCytIntra-species-dilution-info": "", "FlowCytIntra-species-notes": "", "ICCIF-species-checked": "guaranteed", "ICCIF-species-dilution-info": "", "ICCIF-species-notes": "", "IP-species-checked": "notRecommended", "IP-species-dilution-info": "", "IP-species-notes": "" } } }

Product details

ab318133 is the carrier-free version of ab318132.

Patented technology
Our RabMAb® technology is a patented hybridoma-based technology for making rabbit monoclonal antibodies. For details on our patents, please refer to RabMAb® patents.

What are the advantages of a recombinant monoclonal antibody?
This product is a recombinant monoclonal antibody, which offers several advantages including:

  • - High batch-to-batch consistency and reproducibility
  • - Improved sensitivity and specificity
  • - Long-term security of supply
  • - Animal-free batch production

For more information, read more on recombinant antibodies.

Conjugation ready
Our carrier-free antibodies are typically supplied in a PBS-only formulation, purified and free of BSA, sodium azide and glycerol. This conjugation-ready format is designed for use with fluorochromes, metal isotopes, oligonucleotides, and enzymes, which makes them ideal for antibody labelling, functional and cell-based assays, flow-based assays (e.g. mass cytometry) and Multiplex Imaging applications.

Use our conjugation kits for antibody conjugates that are ready-to-use in as little as 20 minutes with 1 minute hands-on-time and 100% antibody recovery: available for fluorescent dyes, HRP, biotin and gold.

Compatibility
This product is compatible with the Maxpar® Antibody Labeling Kit from Fluidigm, without the need for antibody preparation. Maxpar® is a trademark of Fluidigm Canada Inc.

Properties and storage information

Form
Liquid
Purification technique
Affinity purification Protein A
Storage buffer
pH: 7.2 - 7.4 Constituents: PBS
Shipped at conditions
Blue Ice
Appropriate short-term storage conditions
+4°C
Appropriate long-term storage conditions
+4°C

Supplementary information

This supplementary information is collated from multiple sources and compiled automatically.

XRN2 also known as 5'-3' exoribonuclease 2 is an enzyme involved in RNA metabolism. It has a molecular mass of approximately 105 kDa. XRN2 scavenges for the degradation of uncapped nascent RNA by cleaving RNA in the 5' to 3' direction after exonucleolytic cleavage. Predominantly expressed in the nucleus XRN2 plays an important role in RNA turnover and processing contributing to the precise control of gene expression within eukaryotic cells.
Biological function summary

5'-3' exoribonuclease 2 regulates the termination of transcription facilitating the completion of the RNA synthesis process. XRN2 functions in coordination with other components within transcription termination complexes such as the exosome. These complexes ensure the removal of excess or faulty RNA which is critical for maintaining cellular homeostasis. XRN2's activity aids in silencing transcriptional noise and preventing the accumulation of defective RNA species.

Pathways

5'-3' RNA decay and termination are where XRN2 finds its primary function. It is a part of the exosome-mediated RNA decay pathway and contributes to effective gene expression pathways. In these pathways XRN2 functions alongside proteins such as Rrp6 and other cofactors ensuring the fidelity of RNA processing is maintained. It interacts with proteins involved in RNA polymerase II-mediated transcriptional processes highlighting its integral role in gene expression regulation.

Improper function or expression of XRN2 is linked to cancer and neurodegenerative diseases. In cancer alterations in RNA processing pathways involving XRN2 can lead to unchecked cellular proliferation. Additionally proteins like SEPT7 are sometimes altered in these pathways contributing to oncogenic potentials. In neurodegenerative disorders such as amyotrophic lateral sclerosis (ALS) disrupted XRN2 function can result in abnormal RNA processing and neuronal damage. Here interactions with proteins like TDP-43 can exacerbate disease pathology linking XRN2 to complex disease mechanisms.

Product protocols

For this product, it's our understanding that no specific protocols are required. You can visit:

Target data

Possesses 5'->3' exoribonuclease activity (By similarity). May promote the termination of transcription by RNA polymerase II. During transcription termination, cleavage at the polyadenylation site liberates a 5' fragment which is subsequently processed to form the mature mRNA and a 3' fragment which remains attached to the elongating polymerase. The processive degradation of this 3' fragment by this protein may promote termination of transcription. Binds to RNA polymerase II (RNAp II) transcription termination R-loops formed by G-rich pause sites (PubMed : 21700224).
See full target information 5'-3' exoribonuclease 2

Product promise

We are committed to supporting your work with high-quality reagents, and we're here for you every step of the way. In the unlikely event that one of our products does not perform as expected, you're protected by our Product Promise.
For full details, please see our Terms & Conditions

Please note: All products are 'FOR RESEARCH USE ONLY. NOT FOR USE IN DIAGNOSTIC OR THERAPEUTIC PROCEDURES'.

For licensing inquiries, please contact partnerships@abcam.com