JavaScript is disabled in your browser. Please enable JavaScript to view this website.
AB224051

Anti-XTP3TPA antibody

Be the first to review this product! Submit a review

|

(3 Publications)

Rabbit Polyclonal XTP3TPA antibody. Suitable for IHC-P, WB, ICC/IF and reacts with Human samples. Cited in 3 publications. Immunogen corresponding to Recombinant Fragment Protein within Human DCTPP1 aa 1 to C-terminus.

View Alternative Names

XTP3TPA, CDA03, DCTPP1, dCTP pyrophosphatase 1, Deoxycytidine-triphosphatase 1, RS21C6, XTP3-transactivated gene A protein, dCTPase 1

3 Images
Immunocytochemistry/ Immunofluorescence - Anti-XTP3TPA antibody (AB224051)
  • ICC/IF

Supplier Data

Immunocytochemistry/ Immunofluorescence - Anti-XTP3TPA antibody (AB224051)

Immunofluorescent analysis A431 (human epidermoid carcinoma cell line) cells labeling XTP3TPA (green) in the nucleoplasm and cytosol with ab224051 at 2 μg/ml.

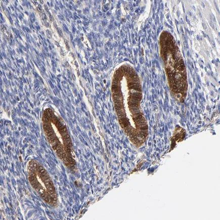
Immunohistochemistry (Formalin/PFA-fixed paraffin-embedded sections) - Anti-XTP3TPA antibody (AB224051)
  • IHC-P

Supplier Data

Immunohistochemistry (Formalin/PFA-fixed paraffin-embedded sections) - Anti-XTP3TPA antibody (AB224051)

Immunohistochemical analysis of human uterine corpus tissue stained for XTP3TPA in the cytoplasm and nucleus of glandular cells using ab224051 at 1/200 dilution.

Performed heat mediated antigen retrieval with citrate buffer pH 6 before commencing with IHC staining protocol

Western blot - Anti-XTP3TPA antibody (AB224051)
  • WB

Supplier Data

Western blot - Anti-XTP3TPA antibody (AB224051)

All lanes:

Western blot - Anti-XTP3TPA antibody (ab224051) at 0.4 µg/mL

Lane 1:

Control (vector only transfected) - HEK-293T (human epithelial cell line from embryonic kidney transformed with large T antigen) whole cell lysate

Lane 2:

DCTPP1 over-expression - HEK-293T whole cell lysate, Co-expressed with a C-terminal myc-DDK tag (~3.1 kDa)

Predicted band size: 19 kDa

false

Key facts

Host species

Rabbit

Clonality

Polyclonal

Isotype

IgG

Carrier free

No

Reacts with

Human

Applications

WB, IHC-P, ICC/IF

applications

Immunogen

Recombinant Fragment Protein within Human DCTPP1 aa 1 to C-terminus. The exact immunogen used to generate this antibody is proprietary information.

Q9H773

Reactivity data

{ "title": "Reactivity Data", "filters": { "stats": ["", "Species", "Dilution Info", "Notes"], "tabs": { "all-applications": {"fullname" : "All Applications", "shortname": "All Applications"}, "IHCP" : {"fullname" : "Immunohistochemistry (Formalin/PFA-fixed paraffin-embedded sections)", "shortname":"IHC-P"}, "WB" : {"fullname" : "Western blot", "shortname":"WB"}, "ICCIF" : {"fullname" : "Immunocytochemistry/ Immunofluorescence", "shortname":"ICC/IF"} }, "product-promise": { "all": "all", "testedAndGuaranteed": "tested", "guaranteed": "expected", "predicted": "predicted", "notRecommended": "not-recommended" } }, "values": { "Human": { "IHCP-species-checked": "testedAndGuaranteed", "IHCP-species-dilution-info": "1/200 - 1/500", "IHCP-species-notes": "<p></p> Perform heat-mediated antigen retrieval with citrate buffer pH 6 before commencing with IHC staining protocol.", "WB-species-checked": "testedAndGuaranteed", "WB-species-dilution-info": "0.04-0.4 µg/mL", "WB-species-notes": "<p></p>", "ICCIF-species-checked": "testedAndGuaranteed", "ICCIF-species-dilution-info": "0.25-2 µg/mL", "ICCIF-species-notes": "<p>Fixation/Permeabilization: PFA/Triton X-100.</p>" } } }

Properties and storage information

Form
Liquid
Purification technique
Affinity purification Immunogen
Storage buffer
pH: 7.2 Preservative: 0.02% Sodium azide Constituents: PBS, 40% Glycerol (glycerin, glycerine)
Shipped at conditions
Blue Ice
Appropriate short-term storage duration
1-2 weeks
Appropriate short-term storage conditions
+4°C
Appropriate long-term storage conditions
-20°C
Aliquoting information
Upon delivery aliquot
Storage information
Avoid freeze / thaw cycle

Supplementary information

This supplementary information is collated from multiple sources and compiled automatically.

XTP3TPA also known as Diecloropyrophosphatase is part of a larger family of proteins involved in pyrophosphate hydrolysis. This protein has a mass of approximately 65 kDa. XTP3TPA expression occurs in several tissues with higher levels in liver and kidney. These tissues play a major role in metabolic processes which would likely relate to this protein's functions.
Biological function summary

XTP3TPA functions to regulate cellular energy. These proteins also influence metabolic efficiency by hydrolyzing pyrophosphate to inorganic phosphate. XTP3TPA often operates within larger protein complexes to enhance its enzymatic role. This activity represents a common aspect of cellular metabolism impacting processes like ATP production.

Pathways

XTP3TPA integrates into the ATP synthesis and nucleotide metabolism pathways. Within these pathways XTP3TPA sometimes collaborates with proteins such as ATP synthase coordinating energy production and utilization. Its presence in these pathways ensures proper energy allocation which is important for cellular survival and function.

XTP3TPA abnormalities link to metabolic disorders such as type 2 diabetes and metabolic syndrome. Disrupted function or expression of XTP3TPA might impact proteins like AMP-activated protein kinase (AMPK). This disruption can lead to metabolic imbalances necessitating more research into XTP3TPA for potential therapeutic targets.

Product protocols

For this product, it's our understanding that no specific protocols are required. You can visit:

Target data

Hydrolyzes deoxynucleoside triphosphates (dNTPs) to the corresponding nucleoside monophosphates. Has a strong preference for dCTP and its analogs including 5-iodo-dCTP and 5-methyl-dCTP for which it may even have a higher efficiency. May protect DNA or RNA against the incorporation of these genotoxic nucleotide analogs through their catabolism.
See full target information DCTPP1

Publications (3)

Recent publications for all applications. Explore the full list and refine your search

Cell death discovery 11:400 PubMed40849295

2025

DCTPP1 regulates oxidative stress homeostasis via AUF1 in human villous trophoblasts.

Applications

Unspecified application

Species

Unspecified reactive species

Yajuan Lu,Xue Wu,Lei He,Peng Pan,Anqi Zhao,Tangli Kan,Yuting Chu,Jinglin Dong,Shuangkai Xu,Xiaofang Tan,Xiaoqing Yang

Frontiers in immunology 16:1577781 PubMed40534859

2025

Integrated machine learning and single-cell analysis reveal the prognostic and therapeutic potential of SUMOylation-related genes in ovarian cancer.

Applications

Unspecified application

Species

Unspecified reactive species

Zhengrong Deng,Yicong Xu,Peidong Zhang,Yixiang Peng,Jiaxing Tan,Zihang Chen,Yimei Ma

Aging 12:14754-14774 PubMed32716908

2020

Silencing DSCAM-AS1 suppresses the growth and invasion of ER-positive breast cancer cells by downregulating both DCTPP1 and QPRT.

Applications

Unspecified application

Species

Unspecified reactive species

Zhang Yue,Jia Shusheng,Song Hongtao,Zhao Shu,Huang Lan,Zhang Qingyuan,Cheng Shaoqiang,Huang Yuanxi
View all publications

Product promise

We are committed to supporting your work with high-quality reagents, and we're here for you every step of the way. In the unlikely event that one of our products does not perform as expected, you're protected by our Product Promise.
For full details, please see our Terms & Conditions

Please note: All products are 'FOR RESEARCH USE ONLY. NOT FOR USE IN DIAGNOSTIC OR THERAPEUTIC PROCEDURES'.

For licensing inquiries, please contact partnerships@abcam.com