JavaScript is disabled in your browser. Please enable JavaScript to view this website.
AB154657

Anti-YANK2 antibody

Be the first to review this product! Submit a review

|

(1 Publication)

Rabbit Polyclonal YANK2 antibody. Suitable for IHC-P, WB and reacts with Human, Mouse samples. Cited in 1 publication. Immunogen corresponding to Recombinant Fragment Protein within Human STK32B aa 1-250.

View Alternative Names

YANK2, UNQ3003/PRO9744, STK32B, Serine/threonine-protein kinase 32B, Yet another novel kinase 2

3 Images
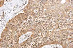
Immunohistochemistry (Formalin/PFA-fixed paraffin-embedded sections) - Anti-YANK2 antibody (AB154657)
  • IHC-P

Unknown

Immunohistochemistry (Formalin/PFA-fixed paraffin-embedded sections) - Anti-YANK2 antibody (AB154657)

Immunohistochemical analysis of paraffin-embedded Human gastric carcinoma tissue labeling YANK2 with ab154657 at 1/100 dilution.

Western blot - Anti-YANK2 antibody (AB154657)
  • WB

Unknown

Western blot - Anti-YANK2 antibody (AB154657)

10% SDS PAGE

All lanes:

Western blot - Anti-YANK2 antibody (ab154657) at 1/5000 dilution

All lanes:

Mouse brain whole cell lysate at 50 µg

Predicted band size: 48 kDa

false

Western blot - Anti-YANK2 antibody (AB154657)
  • WB

Unknown

Western blot - Anti-YANK2 antibody (AB154657)

7.5% SDS PAGE

All lanes:

Western blot - Anti-YANK2 antibody (ab154657) at 1/1000 dilution

Lane 1:

HeLa S3 whole cell lysate at 30 µg

Lane 2:

HepG2 whole cell lysate at 30 µg

Predicted band size: 48 kDa

false

Key facts

Host species

Rabbit

Clonality

Polyclonal

Isotype

IgG

Carrier free

No

Reacts with

Mouse, Human

Applications

WB, IHC-P

applications

Immunogen

Recombinant Fragment Protein within Human STK32B aa 1-250. The exact immunogen used to generate this antibody is proprietary information.

Q9NY57

Reactivity data

{ "title": "Reactivity Data", "filters": { "stats": ["", "Species", "Dilution Info", "Notes"], "tabs": { "all-applications": {"fullname" : "All Applications", "shortname": "All Applications"}, "IHCP" : {"fullname" : "Immunohistochemistry (Formalin/PFA-fixed paraffin-embedded sections)", "shortname":"IHC-P"}, "WB" : {"fullname" : "Western blot", "shortname":"WB"} }, "product-promise": { "all": "all", "testedAndGuaranteed": "tested", "guaranteed": "expected", "predicted": "predicted", "notRecommended": "not-recommended" } }, "values": { "Human": { "IHCP-species-checked": "testedAndGuaranteed", "IHCP-species-dilution-info": "1/100 - 1/1000", "IHCP-species-notes": "<p></p> Perform heat-mediated antigen retrieval with citrate buffer pH 6 before commencing with IHC staining protocol.", "WB-species-checked": "testedAndGuaranteed", "WB-species-dilution-info": "1/1000 - 1/10000", "WB-species-notes": "<p></p>" }, "Mouse": { "IHCP-species-checked": "guaranteed", "IHCP-species-dilution-info": "", "IHCP-species-notes": "", "WB-species-checked": "testedAndGuaranteed", "WB-species-dilution-info": "1/1000 - 1/10000", "WB-species-notes": "<p></p>" }, "Rat": { "IHCP-species-checked": "predicted", "IHCP-species-dilution-info": "", "IHCP-species-notes": "", "WB-species-checked": "predicted", "WB-species-dilution-info": "", "WB-species-notes": "" } } }

Properties and storage information

Form
Liquid
Purification technique
Affinity purification Immunogen
Storage buffer
pH: 7 Preservative: 0.01% Thimerosal (merthiolate) Constituents: 10% Glycerol (glycerin, glycerine), 1.21% Tris, 0.75% Glycine
Shipped at conditions
Blue Ice
Appropriate short-term storage conditions
+4°C
Appropriate long-term storage conditions
-20°C
Aliquoting information
Upon delivery aliquot
Storage information
Avoid freeze / thaw cycle

Supplementary information

This supplementary information is collated from multiple sources and compiled automatically.

YANK2 also known as YANK1B is a regulatory protein with a mass of approximately 35 kDa. It functions within cells by binding to phospholipids which influences various membrane-related processes. YANK2 expresses strongly in the brain and heart with moderate expression in the lungs liver and kidney. It typically localizes to the cytoplasmic side of the plasma membrane playing a significant role in signal transduction and membrane dynamics.
Biological function summary

The YANK2 protein involves itself in cellular processes through its interaction with other signaling proteins. It forms part of the membrane-associated complex important for transducing signals from external stimuli into intracellular responses. YANK2 contributes to cellular communication by modulating phosphoinositide levels which are key secondary messengers in signaling pathways. This involvement affects various cellular functions including growth movement and differentiation.

Pathways

YANK2 integrates itself into significant signal transduction pathways such as the PI3K/AKT and MAPK/ERK pathways. Within these pathways YANK2 interacts with proteins like PIP2 and AKT influencing cell survival and metabolism. YANK2's regulatory role ensures proper signal relay and cellular adaptation to environmental cues supporting cellular homeostasis and response to stress.

YANK2 has strong ties to conditions such as cancer and cardiovascular diseases. Abnormal expression or mutations in YANK2 disrupts normal signaling pathways such as those involving PI3K/AKT which can lead to unchecked cell proliferation or impaired cardiac functions. YANK2’s association with PIP2 and AKT indicates its important role in maintaining cellular integrity and preventing pathological states.

Product protocols

For this product, it's our understanding that no specific protocols are required. You can visit:

Publications (1)

Recent publications for all applications. Explore the full list and refine your search

Cell discovery 8:137 PubMed36550107

2022

Structural insights into the covalent regulation of PAPP-A activity by proMBP and STC2.

Applications

Unspecified application

Species

Unspecified reactive species

Qihang Zhong,Honglei Chu,Guopeng Wang,Cheng Zhang,Rong Li,Fusheng Guo,Xinlu Meng,Xiaoguang Lei,Youli Zhou,Ruobing Ren,Lin Tao,Ningning Li,Ning Gao,Yuan Wei,Jie Qiao,Jing Hang
View all publications

Product promise

We are committed to supporting your work with high-quality reagents, and we're here for you every step of the way. In the unlikely event that one of our products does not perform as expected, you're protected by our Product Promise.
For full details, please see our Terms & Conditions

Please note: All products are 'FOR RESEARCH USE ONLY. NOT FOR USE IN DIAGNOSTIC OR THERAPEUTIC PROCEDURES'.

For licensing inquiries, please contact partnerships@abcam.com