JavaScript is disabled in your browser. Please enable JavaScript to view this website.
AB172373

Anti-YAP1 antibody [EP1674Y] - BSA and Azide free

Be the first to review this product! Submit a review

|

(1 Publication)

Rabbit Recombinant Monoclonal YAP1 antibody. Carrier free. Suitable for IP, WB, ICC/IF, Flow Cyt (Intra), IHC-P and reacts with Human samples. Cited in 1 publication.

View Alternative Names

YAP65, YAP1, Transcriptional coactivator YAP1, Yes-associated protein 1, Protein yorkie homolog, Yes-associated protein YAP65 homolog

6 Images
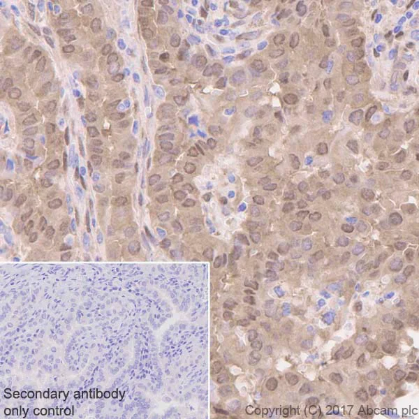
Immunohistochemistry (Formalin/PFA-fixed paraffin-embedded sections) - Anti-YAP1 antibody [EP1674Y] - BSA and Azide free (AB172373)
  • IHC-P

Unknown

Immunohistochemistry (Formalin/PFA-fixed paraffin-embedded sections) - Anti-YAP1 antibody [EP1674Y] - BSA and Azide free (AB172373)

Immunohistochemistry (Formalin/PFA-fixed paraffin-embedded sections) analysis of Human thyroid carcinoma tissue sections labeling YAP1 with Purified ab52771 at 1 : 50 dilution (1.78 μg/ml). Heat mediated antigen retrieval was performed using ab93684 (Tris/EDTA buffer, pH 9.0). Tissue was counterstained with Hematoxylin. ImmunoHistoProbe one step HRP Polymer (ready to use) secondary antibody was used at 1 : 0 dilution. PBS instead of the primary antibody was used as the negative control.

This data was developed using the same antibody clone in a different buffer formulation containing PBS, BSA, glycerol, and sodium azide (ab52771).

Flow Cytometry (Intracellular) - Anti-YAP1 antibody [EP1674Y] - BSA and Azide free (AB172373)
  • Flow Cyt (Intra)

Unknown

Flow Cytometry (Intracellular) - Anti-YAP1 antibody [EP1674Y] - BSA and Azide free (AB172373)

Intracellular Flow Cytometry analysis of HeLa (Human cervix adenocarcinoma epithelial cell) cells labeling YAP1 with purified ab52771 at 1/20 dilution (10 μg/ml) (red). Cells were fixed with 4% Paraformaldehyde. A Goat anti rabbit IgG (Alexa Fluor® 488) secondary antibody was used at 1/2000 dilution. Isotype control - Rabbit monoclonal IgG (Black). Unlabeled control - Cell without incubation with primary antibody and secondary antibody (Blue). This data was developed using the same antibody clone in a different buffer formulation containing PBS, BSA, glycerol, and sodium azide (ab52771).

Immunocytochemistry/ Immunofluorescence - Anti-YAP1 antibody [EP1674Y] - BSA and Azide free (AB172373)
  • ICC/IF

Unknown

Immunocytochemistry/ Immunofluorescence - Anti-YAP1 antibody [EP1674Y] - BSA and Azide free (AB172373)

This ICC/IF data was generated using the same anti-YAP1 antibody clone, EP1674Y, in a different buffer formulation (cat# ab52771).

Immunocytochemistry/Immunofluorescence analysis of MCF-7 (human breast carcinoma) labelling YAP1 with purified ab52771 at 1/500. Cells were fixed with 4% Paraformaldehyde and permeabilised by 0.1% tritonX-100. An Alexa Fluor® 488-conjugated goat anti-rabbit IgG (1/1000) was used as the secondary antibody (ab150077). Nuclei counterstained with DAPI (blue).

Flow Cytometry (Intracellular) - Anti-YAP1 antibody [EP1674Y] - BSA and Azide free (AB172373)
  • Flow Cyt (Intra)

Unknown

Flow Cytometry (Intracellular) - Anti-YAP1 antibody [EP1674Y] - BSA and Azide free (AB172373)

Overlay histogram showing HeLa cells stained with unpurified ab52771 (red line). The cells were fixed with 80% methanol (5 min) and then permeabilized with 0.1% PBS-Tween for 20 min. The cells were then incubated in 1x PBS / 10% normal goat serum / 0.3M glycine to block non-specific protein-protein interactions followed by the antibody (ab52771, 1/50 dilution) for 30 min at 22°C. The secondary antibody used was DyLight® 488 goat anti-rabbit IgG (H+L) (ab96899) at 1/500 dilution for 30 min at 22°C. Isotype control antibody (black line) was rabbit IgG (monoclonal) (1μg/1x106 cells) used under the same conditions. Acquisition of >5,000 events was performed.

This data was developed using the same antibody clone in a different buffer formulation containing PBS, BSA, glycerol, and sodium azide (ab52771).

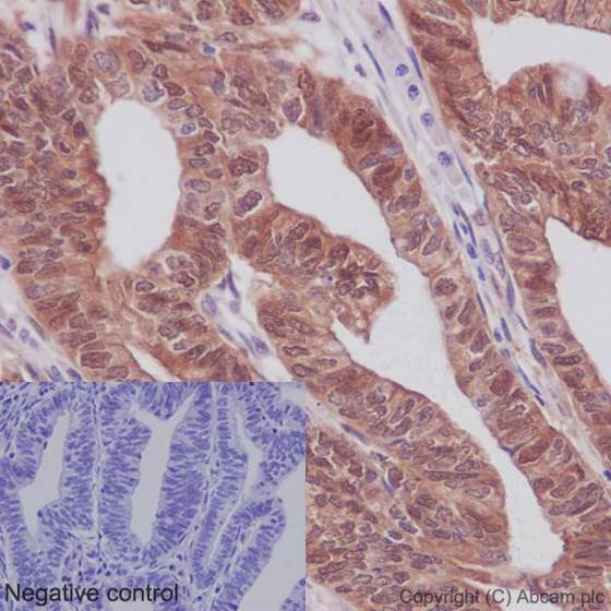
Immunohistochemistry (Formalin/PFA-fixed paraffin-embedded sections) - Anti-YAP1 antibody [EP1674Y] - BSA and Azide free (AB172373)
  • IHC-P

Unknown

Immunohistochemistry (Formalin/PFA-fixed paraffin-embedded sections) - Anti-YAP1 antibody [EP1674Y] - BSA and Azide free (AB172373)

This IHC data was generated using the same anti-YAP1 antibody clone, EP1674Y, in a different buffer formulation (cat# ab52771).

Immunohistochemical staining of YAP1 in paraffin embedded human breast carcinoma tissue using ab52771 at a 1/100 dilution.

Immunoprecipitation - Anti-YAP1 antibody [EP1674Y] - BSA and Azide free (AB172373)
  • IP

Unknown

Immunoprecipitation - Anti-YAP1 antibody [EP1674Y] - BSA and Azide free (AB172373)

ab52771 (purified) at 1 : 20 dilution (0.5μg) immunoprecipitating YAP1 in HeLa whole cell lysate.
Lane 1 (input) : HeLa (Human cervix adenocarcinoma epithelial cell) whole cell lysate 10μg
Lane 2 (+) : ab52771 & HeLa whole cell lysate
Lane 3 (-) : Rabbit monoclonal IgG (ab172730) instead of ab52771 in HeLa whole cell lysate
For western blotting, VeriBlot for IP Detection Reagent (HRP) (ab131366) was used for detection at 1 : 1000 dilution.
Blocking and diluting buffer : 5% NFDM/TBST.

This data was developed using the same antibody clone in a different buffer formulation containing PBS, BSA, glycerol, and sodium azide (ab52771).

All lanes:

Immunoprecipitation - Anti-YAP1 antibody [EP1674Y] (<a href='/en-us/products/primary-antibodies/yap1-antibody-ep1674y-ab52771'>ab52771</a>)

Predicted band size: 54 kDa

false

Key facts

Host species

Rabbit

Clonality

Monoclonal

Clone number

EP1674Y

Isotype

IgG

Carrier free

Yes

Reacts with

Human

Applications

IP, Flow Cyt (Intra), WB, ICC/IF, IHC-P

applications

Immunogen

The exact immunogen used to generate this antibody is proprietary information.

Reactivity data

{ "title": "Reactivity Data", "filters": { "stats": ["", "Species", "Dilution Info", "Notes"], "tabs": { "all-applications": {"fullname" : "All Applications", "shortname": "All Applications"}, "IP" : {"fullname" : "Immunoprecipitation", "shortname":"IP"}, "WB" : {"fullname" : "Western blot", "shortname":"WB"}, "ICCIF" : {"fullname" : "Immunocytochemistry/ Immunofluorescence", "shortname":"ICC/IF"}, "FlowCytIntra" : {"fullname" : "Flow Cytometry (Intracellular)", "shortname":"Flow Cyt (Intra)"}, "IHCP" : {"fullname" : "Immunohistochemistry (Formalin/PFA-fixed paraffin-embedded sections)", "shortname":"IHC-P"} }, "product-promise": { "all": "all", "testedAndGuaranteed": "tested", "guaranteed": "expected", "predicted": "predicted", "notRecommended": "not-recommended" } }, "values": { "Human": { "IP-species-checked": "testedAndGuaranteed", "IP-species-dilution-info": "", "IP-species-notes": "<p></p>", "WB-species-checked": "testedAndGuaranteed", "WB-species-dilution-info": "", "WB-species-notes": "<p></p>", "ICCIF-species-checked": "testedAndGuaranteed", "ICCIF-species-dilution-info": "", "ICCIF-species-notes": "<p></p>", "FlowCytIntra-species-checked": "testedAndGuaranteed", "FlowCytIntra-species-dilution-info": "", "FlowCytIntra-species-notes": "<p><a href='/en-us/products/primary-antibodies/rabbit-igg-monoclonal-epr25a-isotype-control-low-endotoxin-azide-free-ab199376'>ab199376</a> - Rabbit monoclonal IgG, is suitable for use as an isotype control with this antibody.</p>", "IHCP-species-checked": "testedAndGuaranteed", "IHCP-species-dilution-info": "", "IHCP-species-notes": "<p></p>" } } }

Product details

ab172373 is the carrier-free version of ab52771.

Patented technology
Our RabMAb® technology is a patented hybridoma-based technology for making rabbit monoclonal antibodies. For details on our patents, please refer to RabMAb® patents.

What are the advantages of a recombinant monoclonal antibody?
This product is a recombinant monoclonal antibody, which offers several advantages including:

  • - High batch-to-batch consistency and reproducibility
  • - Improved sensitivity and specificity
  • - Long-term security of supply
  • - Animal-free batch production

For more information, read more on recombinant antibodies.

Conjugation ready
Our carrier-free antibodies are typically supplied in a PBS-only formulation, purified and free of BSA, sodium azide and glycerol. This conjugation-ready format is designed for use with fluorochromes, metal isotopes, oligonucleotides, and enzymes, which makes them ideal for antibody labelling, functional and cell-based assays, flow-based assays (e.g. mass cytometry) and Multiplex Imaging applications.

Use our conjugation kits for antibody conjugates that are ready-to-use in as little as 20 minutes with 1 minute hands-on-time and 100% antibody recovery: available for fluorescent dyes, HRP, biotin and gold.

Compatibility
This product is compatible with the Maxpar® Antibody Labeling Kit from Fluidigm, without the need for antibody preparation. Maxpar® is a trademark of Fluidigm Canada Inc.

Properties and storage information

Form
Liquid
Purification technique
Affinity purification Protein A
Storage buffer
Constituents: PBS
Shipped at conditions
Blue Ice
Appropriate short-term storage conditions
+4°C
Appropriate long-term storage conditions
+4°C
Storage information
Do Not Freeze

Supplementary information

This supplementary information is collated from multiple sources and compiled automatically.

YAP1 also known as Yes-associated protein 1 is a transcriptional coactivator involved in regulating gene expression. This protein has a mass of approximately 65 kDa and is expressed in various tissues including the liver and heart. YAP1 plays a significant role in the Hippo signaling pathway where it acts by binding to transcriptional enhancer factors such as TEADs to activate gene transcription.
Biological function summary

YAP1 influences cell proliferation and apoptosis by interacting with other proteins to form transcriptional complexes. It participates in promoting organ size and tissue regeneration. YAP1's activity is regulated through phosphorylation primarily at serine 127 which determines its subcellular localization and transcriptional activity. The phosphorylated form often referred to as phospho-YAP remains in the cytoplasm while dephosphorylated YAP1 translocates to the nucleus where it contributes to transcriptional activation.

Pathways

YAP1 is importantly involved in the Hippo signaling pathway and Wnt/β-catenin signaling pathway. In the Hippo pathway kinases LATS1/2 phosphorylate YAP1 preventing its nuclear localization and promoting cell apoptosis when required. In contrast in the Wnt/β-catenin pathway YAP1 interacts with β-catenin to regulate gene expression related to proliferation. Proteins such as TAZ which shares structural and functional similarities with YAP1 often collaborate in these pathways influencing cellular growth and differentiation.

YAP1's dysregulation links to cancer development notably in liver and breast cancer. Overexpression or nuclear accumulation of YAP1 leads to uncontrollable cell growth and tumorigenesis. Its interaction with the TEAD transcription factors highlights its significance in oncogenesis. Furthermore YAP1 also connects with pathways involving other proteins like TGF-β contributing to fibrosis-related disorders such as pulmonary fibrosis where unexpected remodeling and excessive tissue growth occur.

Product protocols

For this product, it's our understanding that no specific protocols are required. You can visit:

Target data

The protein expressed by the YAP1 gene functions as a transcriptional regulator, acting both as a coactivator and corepressor. It is a critical downstream regulatory target in the Hippo signaling pathway, which is crucial for organ size control and tumor suppression, as it restricts proliferation and promotes apoptosis. The pathway involves a kinase cascade where STK3/MST2 and STK4/MST1 activate LATS1/2, which then inactivates the YAP1 oncoprotein. YAP1 plays a key role in tissue tension and 3D tissue shape by regulating cortical actomyosin network formation through ARHGAP18. It controls cell proliferation in response to cell contact, with its phosphorylation by LATS1/2 preventing nuclear translocation necessary for regulating cellular genes linked to proliferation, death, and migration. TEAD transcription factors are needed for YAP1 to stimulate gene expression, cell growth, anchorage-independent growth, and EMT induction. Additionally, YAP1 suppresses ciliogenesis by repressing TEAD4 target genes AURKA and PLK1. Isoforms 2 and 3 of YAP1 activate the C-terminal fragment of ERBB4 (isoform 3). This supplementary information is collated from multiple sources and compiled automatically.
See full target information YAP1

Publications (1)

Recent publications for all applications. Explore the full list and refine your search

International journal of molecular sciences 21: PubMed32046103

2020

The Effect of 3'-Hydroxy-3,4,5,4'-Tetramethoxy -stilbene, the Metabolite of the Resveratrol Analogue DMU-212, on the Motility and Proliferation of Ovarian Cancer Cells.

Applications

Unspecified application

Species

Unspecified reactive species

Andrzej Nowicki,Paulina Skupin-Mrugalska,Malgorzata Jozkowiak,Marcin Wierzchowski,Marcin Rucinski,Piotr Ramlau,Violetta Krajka-Kuzniak,Jadwiga Jodynis-Liebert,Hanna Piotrowska-Kempisty
View all publications

Product promise

We are committed to supporting your work with high-quality reagents, and we're here for you every step of the way. In the unlikely event that one of our products does not perform as expected, you're protected by our Product Promise.
For full details, please see our Terms & Conditions

Please note: All products are 'FOR RESEARCH USE ONLY. NOT FOR USE IN DIAGNOSTIC OR THERAPEUTIC PROCEDURES'.

For licensing inquiries, please contact partnerships@abcam.com