JavaScript is disabled in your browser. Please enable JavaScript to view this website.
AB76252

Anti-YAP1 (phospho S127) antibody [EP1675Y]

  • BOND RX™ Validated
  • 20ul selling size
  • RabMAb
  • Recombinant
  • What is this?

4

(3 Reviews)

|

(151 Publications)

Anti-YAP1 (phospho S127) antibody [EP1675Y] (ab76252) is a rabbit monoclonal antibody detecting YAP1 in Western Blot, IHC-P, Dot Blot. Suitable for Human, Mouse, Rat.

- Biophysical QC for unrivalled batch-batch consistency
- Over 100 publications
- Trusted since 2009

View Alternative Names

YAP65, YAP1, Transcriptional coactivator YAP1, Yes-associated protein 1, Protein yorkie homolog, Yes-associated protein YAP65 homolog

11 Images
Immunohistochemistry (Formalin/PFA-fixed paraffin-embedded sections) - Anti-YAP1 (phospho S127) antibody [EP1675Y] (AB76252)
  • IHC-P

Unknown

Immunohistochemistry (Formalin/PFA-fixed paraffin-embedded sections) - Anti-YAP1 (phospho S127) antibody [EP1675Y] (AB76252)

Immunohistochemistry (Formalin/PFA-fixed paraffin-embedded sections) analysis of human adenocarcinoma of endometrium tissue labelling YAP1 (phospho S127) with purified ab76252 at 1/250. Heat mediated antigen retrieval was performed using Tris/EDTA buffer pH 9. A prediluted HRP-polymer conjugated anti-rabbit IgG was used as the secondary antibody. Negative control using PBS instead of primary antibody. Counterstained with hematoxylin.

Immunohistochemistry (Formalin/PFA-fixed paraffin-embedded sections) - Anti-YAP1 (phospho S127) antibody [EP1675Y] (AB76252)
  • IHC-P

Supplier Data

Immunohistochemistry (Formalin/PFA-fixed paraffin-embedded sections) - Anti-YAP1 (phospho S127) antibody [EP1675Y] (AB76252)

Immunohistochemical analysis of paraffin-embedded sections of human endometrium cancer tissue labelling YAP1 (S127) with ab76252 at 1/500 (0.428 μg/ml) dilution, followed by ready to use secondary antibody Rabbit specific IHC polymer detection kit HRP/DAB (ab209101). Counter stained with Hematoxylin.

Heat mediated antigen retrieval using Bond™ Epitope Retrieval Solution 2 (pH 9.0) for 20 minutes.

Positive staining on human endometrium cancer without alkaline phosphatase treatment; No signal was detected when tissues were treated with alkaline phosphatase (image B).

The section was incubated with ab76252 for 10 mins at room temperature.
The immunostaining was performed on a Leica Biosystems BOND® RX instrument.

Immunohistochemistry (Formalin/PFA-fixed paraffin-embedded sections) - Anti-YAP1 (phospho S127) antibody [EP1675Y] (AB76252)
  • IHC-P

Supplier Data

Immunohistochemistry (Formalin/PFA-fixed paraffin-embedded sections) - Anti-YAP1 (phospho S127) antibody [EP1675Y] (AB76252)

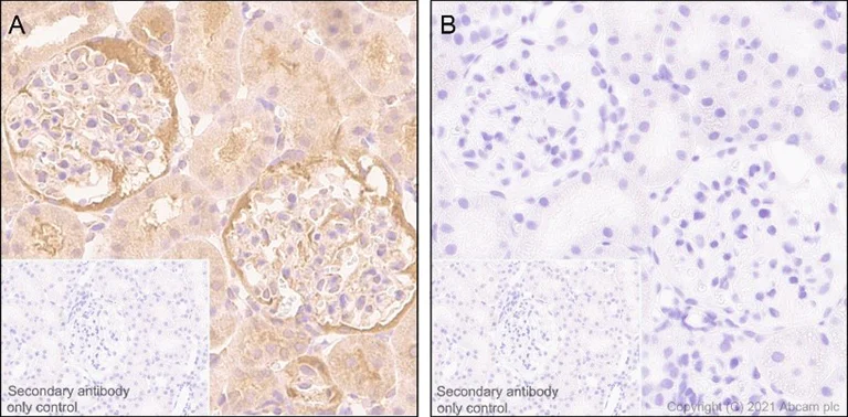
Immunohistochemical analysis of paraffin-embedded sections of rat kidney tissue labelling YAP1 (S127) with ab76252 at 1/500 (0.428 μg/ml) dilution, followed by ready to use secondary antibody Rabbit specific IHC polymer detection kit HRP/DAB (ab209101). Counter stained with Hematoxylin.

Heat mediated antigen retrieval using Bond™ Epitope Retrieval Solution 2 (pH 9.0) for 20 minutes.

Positive staining on rat kidney without alkaline phosphatase treatment; No signal was detected when tissues were treated with alkaline phosphatase (image B).

The section was incubated with ab76252 for 10 mins at room temperature.
The immunostaining was performed on a Leica Biosystems BOND® RX instrument.

Immunohistochemistry (Formalin/PFA-fixed paraffin-embedded sections) - Anti-YAP1 (phospho S127) antibody [EP1675Y] (AB76252)
  • IHC-P

Supplier Data

Immunohistochemistry (Formalin/PFA-fixed paraffin-embedded sections) - Anti-YAP1 (phospho S127) antibody [EP1675Y] (AB76252)

Immunohistochemical analysis of paraffin-embedded sections of mouse stomach tissue labelling YAP1 (S127) with ab76252 at 1/500 (0.428 μg/ml) dilution, followed by ready to use secondary antibody Rabbit specific IHC polymer detection kit HRP/DAB (ab209101). Counter stained with Hematoxylin.

Heat mediated antigen retrieval using Bond™ Epitope Retrieval Solution 2 (pH 9.0) for 20 minutes.

Positive staining on mouse stomach without alkaline phosphatase treatment; No signal was detected when tissues were treated with alkaline phosphatase (image B).

The section was incubated with ab76252 for 10 mins at room temperature.
The immunostaining was performed on a Leica Biosystems BOND® RX instrument.

Immunohistochemistry (Formalin/PFA-fixed paraffin-embedded sections) - Anti-YAP1 (phospho S127) antibody [EP1675Y] (AB76252)
  • IHC-P

Unknown

Immunohistochemistry (Formalin/PFA-fixed paraffin-embedded sections) - Anti-YAP1 (phospho S127) antibody [EP1675Y] (AB76252)

Immunohistochemistry (Formalin/PFA-fixed paraffin-embedded sections) analysis of rat stomach tissue labelling YAP1 (phospho S127) with purified ab76252 at 1/250. Heat mediated antigen retrieval was performed using Tris/EDTA buffer pH 9. A prediluted HRP-polymer conjugated anti-rabbit IgG was used as the secondary antibody. Negative control using PBS instead of primary antibody. Counterstained with hematoxylin.

Immunohistochemistry (Formalin/PFA-fixed paraffin-embedded sections) - Anti-YAP1 (phospho S127) antibody [EP1675Y] (AB76252)
  • IHC-P

Unknown

Immunohistochemistry (Formalin/PFA-fixed paraffin-embedded sections) - Anti-YAP1 (phospho S127) antibody [EP1675Y] (AB76252)

Immunohistochemistry (Formalin/PFA-fixed paraffin-embedded sections) analysis of mouse kidney tissue labelling YAP1 (phospho S127) with purified ab76252 at 1/250. Heat mediated antigen retrieval was performed using Tris/EDTA buffer pH 9. A prediluted HRP-polymer conjugated anti-rabbit IgG was used as the secondary antibody. Negative control using PBS instead of primary antibody. Counterstained with hematoxylin.

Western blot - Anti-YAP1 (phospho S127) antibody [EP1675Y] (AB76252)
  • WB

Supplier Data

Western blot - Anti-YAP1 (phospho S127) antibody [EP1675Y] (AB76252)

Blocking buffer : 5% NFDM/TBST.

All lanes:

Western blot - Anti-YAP1 (phospho S127) antibody [EP1675Y] (ab76252) at 1/1000 dilution

Lane 1:

Untreated HeLa (Human cervix adenocarcinoma epithelial cell) whole cell lysate at 15 µg

Lane 2:

HeLa treated with 100ng/ml Calyculin A for 30 min whole cell lysate at 15 µg

Lane 3:

HeLa treated with 100ng/ml Calyculin A for 30 min whole cell lysate, then the membrane treated with Alkaline Phosphatase for 1 hour

Secondary

All lanes:

Western blot - Goat Anti-Rabbit IgG H&L (HRP) (<a href='/en-us/products/secondary-antibodies/goat-rabbit-igg-h-l-hrp-ab97051'>ab97051</a>) at 1/20000 dilution

Predicted band size: 54 kDa

Observed band size: 75 kDa

true

Exposure time: 180s

Western blot - Anti-YAP1 (phospho S127) antibody [EP1675Y] (AB76252)
  • WB

Lab

Western blot - Anti-YAP1 (phospho S127) antibody [EP1675Y] (AB76252)

Blocking and dilution buffer : 5% NFDM/TBST.

All lanes:

Western blot - Anti-YAP1 (phospho S127) antibody [EP1675Y] (ab76252) at 1/1000 dilution

Lane 1:

293A grown in serum-free media overnight, whole cell lysate at 20 µg

Lane 2:

293A grown in serum-free media overnight, then 10% FBS was added to medium for 1 hour, whole cell lysate at 20 µg

Secondary

All lanes:

Western blot - Goat Anti-Rabbit IgG H&L (HRP) (<a href='/en-us/products/secondary-antibodies/goat-rabbit-igg-h-l-hrp-ab97051'>ab97051</a>) at 1/20000 dilution

Predicted band size: 54 kDa

Observed band size: 75 kDa

false

Exposure time: 3min

Western blot - Anti-YAP1 (phospho S127) antibody [EP1675Y] (AB76252)
  • WB

Supplier Data

Western blot - Anti-YAP1 (phospho S127) antibody [EP1675Y] (AB76252)

Blocking buffer : 5% NFDM/TBST.

All lanes:

Western blot - Anti-YAP1 (phospho S127) antibody [EP1675Y] (ab76252) at 1/1000 dilution

Lane 1:

Untreated NIH/3T3 (Mouse embryonic fibroblast) whole cell lysate at 15 µg

Lane 2:

NIH/3T3 treated with 100ng/ml Calyculin A for 30 min whole cell lysate at 15 µg

Lane 3:

NIH/3T3 treated with 100ng/ml Calyculin A for 30 min whole cell lysate, then the membrane treated with Alkaline Phosphatase for 1 hour

Secondary

All lanes:

Western blot - Goat Anti-Rabbit IgG H&L (HRP) (<a href='/en-us/products/secondary-antibodies/goat-rabbit-igg-h-l-hrp-ab97051'>ab97051</a>) at 1/20000 dilution

Predicted band size: 54 kDa

Observed band size: 75 kDa

true

Exposure time: 40s

Western blot - Anti-YAP1 (phospho S127) antibody [EP1675Y] (AB76252)
  • WB

Supplier Data

Western blot - Anti-YAP1 (phospho S127) antibody [EP1675Y] (AB76252)

Blocking buffer : 5% NFDM/TBST

All lanes:

Western blot - Anti-YAP1 (phospho S127) antibody [EP1675Y] (ab76252) at 1/1000 dilution

Lane 1:

Untreated C6 (Rat glial tumor glial cell) whole cell lysate at 15 µg

Lane 2:

C6 treated with 100ng/ml Calyculin A for 30 min whole cell lysate at 15 µg

Lane 3:

C6 treated with 100ng/ml Calyculin A for 30 min whole cell lysate, then the membrane treated with Alkaline Phosphatase for 1 hour

Secondary

All lanes:

Western blot - Goat Anti-Rabbit IgG H&L (HRP) (<a href='/en-us/products/secondary-antibodies/goat-rabbit-igg-h-l-hrp-ab97051'>ab97051</a>) at 1/20000 dilution

Predicted band size: 54 kDa

Observed band size: 75 kDa

true

Exposure time: 60s

Dot Blot - Anti-YAP1 (phospho S127) antibody [EP1675Y] (AB76252)
  • Dot

Supplier Data

Dot Blot - Anti-YAP1 (phospho S127) antibody [EP1675Y] (AB76252)

Dot blot analysis of YAP1 peptides labelling YAP1 (pS127) with ab76252 at 1/1000 dilution (0.24μg/ml). ab97051 (Goat Anti-Rabbit IgG, (H+L), Peroxidase conjugated) was used as the secondary antibody at 1/100000 dilution.

Lane 1 : YAP1 non-phospho peptide
Lane 2 : YAP1 S127 phospho peptide
Lane 3 : YAP1 S128 phospho peptide
Lane 4 : YAP1 S131 phospho peptide
Lane 5 : YAP1 S127+S128 phospho peptide
Lane 6 : YAP1 S127+S131 phospho peptide
Lane 7 : YAP1 S128+S131 phospho peptide
Lane 8 : YAP1 S127+S128+S131 phospho peptide

Blocking and dilution buffer : 5% NFDM/TBST.

Exposure time : 3 minutes.

  • Carrier free

    Anti-YAP1 (phospho S127) antibody [EP1675Y] - BSA and Azide free

  • 665 Alexa Fluor® 647

    Alexa Fluor® 647 Anti-YAP1 (phospho S127) antibody [EP1675Y]

  • 603 Alexa Fluor® 568

    Alexa Fluor® 568 Anti-YAP1 (phospho S127) antibody [EP1675Y]

  • 565 Alexa Fluor® 555

    Alexa Fluor® 555 Anti-YAP1 (phospho S127) antibody [EP1675Y]

Key facts

Host species

Rabbit

Clonality

Monoclonal

Clone number

EP1675Y

Isotype

IgG

Carrier free

No

Reacts with

Mouse, Rat, Human

Applications

Dot, WB, IHC-P

applications

Immunogen

The exact immunogen used to generate this antibody is proprietary information.

Specificity

Stimulation may be required to allow detection of the phosphorylated protein. Please see images below for recommended treatment conditions and positive controls.

Reactivity data

{ "title": "Reactivity Data", "filters": { "stats": ["", "Species", "Dilution Info", "Notes"], "tabs": { "all-applications": {"fullname" : "All Applications", "shortname": "All Applications"}, "IHCP" : {"fullname" : "Immunohistochemistry (Formalin/PFA-fixed paraffin-embedded sections)", "shortname":"IHC-P"}, "Dot" : {"fullname" : "Dot Blot", "shortname":"Dot"}, "WB" : {"fullname" : "Western blot", "shortname":"WB"}, "ICCIF" : {"fullname" : "Immunocytochemistry/ Immunofluorescence", "shortname":"ICC/IF"} }, "product-promise": { "all": "all", "testedAndGuaranteed": "tested", "guaranteed": "expected", "predicted": "predicted", "notRecommended": "not-recommended" } }, "values": { "Human": { "IHCP-species-checked": "testedAndGuaranteed", "IHCP-species-dilution-info": "1/250", "IHCP-species-notes": "<p></p> Perform heat-mediated antigen retrieval before commencing with IHC staining protocol.", "Dot-species-checked": "guaranteed", "Dot-species-dilution-info": "", "Dot-species-notes": "", "WB-species-checked": "testedAndGuaranteed", "WB-species-dilution-info": "1/10000 - 1/50000", "WB-species-notes": "<p></p>", "ICCIF-species-checked": "notRecommended", "ICCIF-species-dilution-info": "", "ICCIF-species-notes": "<p></p>" }, "Mouse": { "IHCP-species-checked": "testedAndGuaranteed", "IHCP-species-dilution-info": "1/250", "IHCP-species-notes": "<p></p> Perform heat-mediated antigen retrieval before commencing with IHC staining protocol.", "Dot-species-checked": "guaranteed", "Dot-species-dilution-info": "", "Dot-species-notes": "", "WB-species-checked": "guaranteed", "WB-species-dilution-info": "", "WB-species-notes": "", "ICCIF-species-checked": "notRecommended", "ICCIF-species-dilution-info": "", "ICCIF-species-notes": "<p></p>" }, "Rat": { "IHCP-species-checked": "testedAndGuaranteed", "IHCP-species-dilution-info": "1/250", "IHCP-species-notes": "<p></p> Perform heat-mediated antigen retrieval before commencing with IHC staining protocol.", "Dot-species-checked": "guaranteed", "Dot-species-dilution-info": "", "Dot-species-notes": "", "WB-species-checked": "testedAndGuaranteed", "WB-species-dilution-info": "1/10000 - 1/50000", "WB-species-notes": "<p></p>", "ICCIF-species-checked": "notRecommended", "ICCIF-species-dilution-info": "", "ICCIF-species-notes": "<p></p>" }, "Synthetic peptide": { "IHCP-species-checked": "notRecommended", "IHCP-species-dilution-info": "", "IHCP-species-notes": "", "Dot-species-checked": "testedAndGuaranteed", "Dot-species-dilution-info": "", "Dot-species-notes": "<p></p>", "WB-species-checked": "notRecommended", "WB-species-dilution-info": "", "WB-species-notes": "", "ICCIF-species-checked": "notRecommended", "ICCIF-species-dilution-info": "", "ICCIF-species-notes": "" } } }

Product details

What is this antibody validated in?
Anti-YAP1 (phospho S127) antibody [EP1675Y] (ab76252) is a rabbit recombinant monoclonal antibody and is validated for use in Western Blot (WB), Immunohistochemistry (IHC-P), Dot Blot in Human, Mouse, Rat samples.

What is the molecular weight of YAP1?
Anti-YAP1 (phospho S127) [EP1675Y] (ab76252) specifically detects a band for YAP1 (UniProt: P46937) at a molecular weight of 65 - 75kDa.

Trusted by the scientific community
Anti-YAP1 (phospho S127) [EP1675Y] (ab76252) was first used in a scientific publication in 2009 and has been cited over 100 times in peer-reviewed journals.

Trial sizes available!
Test your antibody or perform pre-screening before committing to a larger quantity. Sold in 10µl. Discover our selection of trial-size antibodies.

Other related products
We have a range of other formats of antibody clone [EP1675Y] also available for your convenience: ab76252, Carrier free - ab172374, Alexa Fluor® 488 - ab310956, Alexa Fluor® 647 - ab311073, Alexa Fluor® 568 - ab312934, Alexa Fluor® 555 - ab313146

Patented technology
Our RabMAb® technology is a patented hybridoma-based technology for making rabbit monoclonal antibodies. For details on our patents, please refer to RabMAb® patents.

What are the advantages of a recombinant monoclonal antibody?
This product is a recombinant monoclonal antibody, which offers several advantages including:

  • - High batch-to-batch consistency and reproducibility
  • - Improved sensitivity and specificity
  • - Long-term security of supply
  • - Animal-free batch production

For more information, read more on recombinant antibodies.

Properties and storage information

Form
Liquid
Purification technique
Affinity purification Protein A
Storage buffer
pH: 7.2 - 7.4 Preservative: 0.01% Sodium azide Constituents: PBS, 40% Glycerol (glycerin, glycerine), 0.05% BSA
Shipped at conditions
Blue Ice
Appropriate short-term storage duration
1-2 weeks
Appropriate short-term storage conditions
+4°C
Appropriate long-term storage conditions
-20°C
Aliquoting information
Upon delivery aliquot
Storage information
Stable for 12 months at -20°C

Supplementary information

This supplementary information is collated from multiple sources and compiled automatically.

YAP1 also known as Yes-associated protein 1 is a transcriptional coactivator involved in regulating gene expression. This protein has a mass of approximately 65 kDa and is expressed in various tissues including the liver and heart. YAP1 plays a significant role in the Hippo signaling pathway where it acts by binding to transcriptional enhancer factors such as TEADs to activate gene transcription.
Biological function summary

YAP1 influences cell proliferation and apoptosis by interacting with other proteins to form transcriptional complexes. It participates in promoting organ size and tissue regeneration. YAP1's activity is regulated through phosphorylation primarily at serine 127 which determines its subcellular localization and transcriptional activity. The phosphorylated form often referred to as phospho-YAP remains in the cytoplasm while dephosphorylated YAP1 translocates to the nucleus where it contributes to transcriptional activation.

Pathways

YAP1 is importantly involved in the Hippo signaling pathway and Wnt/Β-catenin signaling pathway. In the Hippo pathway kinases LATS1/2 phosphorylate YAP1 preventing its nuclear localization and promoting cell apoptosis when required. In contrast in the Wnt/Β-catenin pathway YAP1 interacts with Β-catenin to regulate gene expression related to proliferation. Proteins such as TAZ which shares structural and functional similarities with YAP1 often collaborate in these pathways influencing cellular growth and differentiation.

YAP1's dysregulation links to cancer development notably in liver and breast cancer. Overexpression or nuclear accumulation of YAP1 leads to uncontrollable cell growth and tumorigenesis. Its interaction with the TEAD transcription factors highlights its significance in oncogenesis. Furthermore YAP1 also connects with pathways involving other proteins like TGF-Β contributing to fibrosis-related disorders such as pulmonary fibrosis where unexpected remodeling and excessive tissue growth occur.

Product protocols

For this product, it's our understanding that no specific protocols are required. You can visit:

Target data

The protein expressed by the YAP1 gene functions as a transcriptional regulator, acting both as a coactivator and corepressor. It is a critical downstream regulatory target in the Hippo signaling pathway, which is crucial for organ size control and tumor suppression, as it restricts proliferation and promotes apoptosis. The pathway involves a kinase cascade where STK3/MST2 and STK4/MST1 activate LATS1/2, which then inactivates the YAP1 oncoprotein. YAP1 plays a key role in tissue tension and 3D tissue shape by regulating cortical actomyosin network formation through ARHGAP18. It controls cell proliferation in response to cell contact, with its phosphorylation by LATS1/2 preventing nuclear translocation necessary for regulating cellular genes linked to proliferation, death, and migration. TEAD transcription factors are needed for YAP1 to stimulate gene expression, cell growth, anchorage-independent growth, and EMT induction. Additionally, YAP1 suppresses ciliogenesis by repressing TEAD4 target genes AURKA and PLK1. Isoforms 2 and 3 of YAP1 activate the C-terminal fragment of ERBB4 (isoform 3). This supplementary information is collated from multiple sources and compiled automatically.
See full target information YAP1 phospho S127

Publications (151)

Recent publications for all applications. Explore the full list and refine your search

Journal of ovarian research 18:170 PubMed40739575

2025

Hyperandrogenism-mediated YAP activation drives ovarian inflammation and pyroptosis in PCOS: implications for follicular dysfunction.

Applications

Unspecified application

Species

Unspecified reactive species

Tianyue Xu,Yu Xiang,Zichao Huang,Qi Zhu,Honghui Wu,Jieyu Cai,Linglin Weng,Hongshan Ge

Journal of nanobiotechnology 23:506 PubMed40660260

2025

Human adipose-derived mesenchymal stem cell-derived exosomes induce epithelial remodeling and anti-scar healing revealed by single-cell RNA sequencing.

Applications

Unspecified application

Species

Unspecified reactive species

Yu Fu,Jun-Ling Xie,Xing-Liao Zhang,Guang-Ming Xie,Xin-Min Zhang,Yao-Ting Han,Meng-Meng Xu,Jing Zhang,Jun Zhang

Frontiers in oncology 15:1586679 PubMed40626009

2025

PP1γ promotes esophageal squamous cell carcinoma progression through the PP1γ/YAP1/SOX2 axis.

Applications

Unspecified application

Species

Unspecified reactive species

Juan Du,Li Liu,Shutao Zheng,Chenglu Dai,Jingyu Liu,Wei Zhang,Hongwei Pu,Jing Xue

European journal of histochemistry : EJH 69: PubMed40421484

2025

E-cadherin inhibits the proliferation and migration of human colorectal cancer cells through Hippo signaling pathway.

Applications

Unspecified application

Species

Unspecified reactive species

Zhijing Wang,Xiaohua Qin,Shanshan Liu,Yilei Wen,Bikan Lan,Hantao Liao,Haixian Wei

Cell death & disease 16:380 PubMed40368918

2025

Extracellular matrix stiffness in endometrial cancer: driving progression and modulating treatment sensitivity via the ROCK1/YAP1 axis.

Applications

Unspecified application

Species

Unspecified reactive species

Rui Sun,Ying Zhao,Yao Liu,Mengyao Zhang,Ziyi Qiu,Xiaohong Ma,Lina Wei,Wei Lu,Zhiming Liu,Jie Jiang

Science advances 11:eadt4881 PubMed40249803

2025

Sustained mTORC1 activation in activated T cells impairs vaccine responses in older individuals.

Applications

Unspecified application

Species

Unspecified reactive species

Xiaorong Lin,Yanhua Du,Shuo Kan,Junjie Chen,Yunxue Yin,Linlin Li,Jingwen Chen,Wenrong Jiang,Wenqiang Cao,Chulwoo Kim,Liang Chen,Shiwen Wang,Jorg J Goronzy,Jun Jin

Cell death & disease 16:278 PubMed40216763

2025

Inhibition of Rho GEFs attenuates pulmonary fibrosis through suppressing myofibroblast activation and reprogramming profibrotic macrophages.

Applications

Unspecified application

Species

Unspecified reactive species

Chengju Luo,Chenqi Huang,Yuqi Zhu,Yuxin Zhou,Yansheng Qiao,Chenxiao Shi,Yuan Gao,Yongjian Guo,Libin Wei

Cell division 20:7 PubMed40069841

2025

RFX2 downregulates RASSF1 expression and YAP phosphorylation through Hippo signaling to promote immune escape in lung adenocarcinoma.

Applications

Unspecified application

Species

Unspecified reactive species

Zhenzhen Kong,Ping Zhou,Jiahao Xu,Ying Zhang,Yong Wang

Translational oncology 54:102346 PubMed40056528

2025

The pancreatitis-cancer transformation-related factor, human rhomboid family-1, promotes pancreatic cancer progression through the SRC/YAP signaling pathway.

Applications

Unspecified application

Species

Unspecified reactive species

Zhilong Ma,Jie Hua,Miaoyan Wei,Lin Han,Mingwei Dong,Wangcheng Xie,Tingyi Luo,Qingcai Meng,Wei Wang,Zhenshun Song,Si Shi,Xianjun Yu,Jin Xu

Nature communications 16:749 PubMed39820504

2025

A CD26 tendon stem progenitor cell population contributes to tendon repair and heterotopic ossification.

Applications

Unspecified application

Species

Unspecified reactive species

Siwen Chen,Yingxin Lin,Hao Yang,Zihao Li,Sifang Li,Dongying Chen,Wenjun Hao,Shuai Zhang,Hua Chao,Jingyu Zhang,Jianru Wang,Zemin Li,Xiang Li,Zhongping Zhan,Hui Liu
View all publications

Product promise

We are committed to supporting your work with high-quality reagents, and we're here for you every step of the way. In the unlikely event that one of our products does not perform as expected, you're protected by our Product Promise.
For full details, please see our Terms & Conditions

Please note: All products are 'FOR RESEARCH USE ONLY. NOT FOR USE IN DIAGNOSTIC OR THERAPEUTIC PROCEDURES'.

For licensing inquiries, please contact partnerships@abcam.com