JavaScript is disabled in your browser. Please enable JavaScript to view this website.
AB172374

Anti-YAP1 (phospho S127) antibody [EP1675Y] - BSA and Azide free

Be the first to review this product! Submit a review

|

(6 Publications)

Rabbit Recombinant Monoclonal YAP1 phospho S127 antibody. Carrier free. Suitable for IHC-P, Dot, WB and reacts with Rat, Synthetic peptide, Mouse, Human samples. Cited in 6 publications.

View Alternative Names

YAP65, YAP1, Transcriptional coactivator YAP1, Yes-associated protein 1, Protein yorkie homolog, Yes-associated protein YAP65 homolog

4 Images
Immunohistochemistry (Formalin/PFA-fixed paraffin-embedded sections) - Anti-YAP1 (phospho S127) antibody [EP1675Y] - BSA and Azide free (AB172374)
  • IHC-P

Unknown

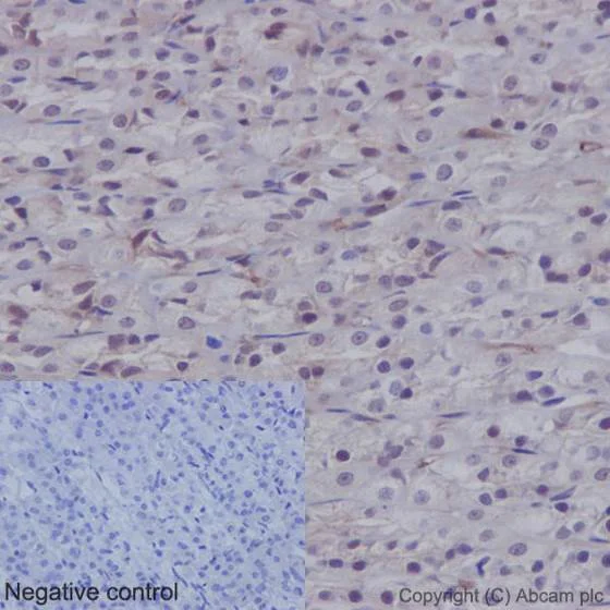
Immunohistochemistry (Formalin/PFA-fixed paraffin-embedded sections) - Anti-YAP1 (phospho S127) antibody [EP1675Y] - BSA and Azide free (AB172374)

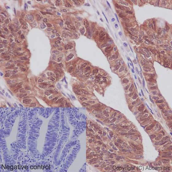
Immunohistochemistry (Formalin/PFA-fixed paraffin-embedded sections) analysis of human adenocarcinoma of endometrium tissue labelling YAP1 (phospho S127) with purified ab76252 at 1/250. Heat mediated antigen retrieval was performed using Tris/EDTA buffer pH 9. A prediluted HRP-polymer conjugated anti-rabbit IgG was used as the secondary antibody. Negative control using PBS instead of primary antibody. Counterstained with hematoxylin.

This data was developed using the same antibody clone in a different buffer formulation containing PBS, BSA, glycerol, and sodium azide (ab76252).

Immunohistochemistry (Formalin/PFA-fixed paraffin-embedded sections) - Anti-YAP1 (phospho S127) antibody [EP1675Y] - BSA and Azide free (AB172374)
  • IHC-P

Unknown

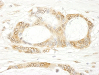
Immunohistochemistry (Formalin/PFA-fixed paraffin-embedded sections) - Anti-YAP1 (phospho S127) antibody [EP1675Y] - BSA and Azide free (AB172374)

Immunohistochemistry (Formalin/PFA-fixed paraffin-embedded sections) analysis of rat stomach tissue labelling YAP1 (phospho S127) with purified ab76252 at 1/250. Heat mediated antigen retrieval was performed using Tris/EDTA buffer pH 9. A prediluted HRP-polymer conjugated anti-rabbit IgG was used as the secondary antibody. Negative control using PBS instead of primary antibody. Counterstained with hematoxylin.

This data was developed using the same antibody clone in a different buffer formulation containing PBS, BSA, glycerol, and sodium azide (ab76252).

Immunohistochemistry (Formalin/PFA-fixed paraffin-embedded sections) - Anti-YAP1 (phospho S127) antibody [EP1675Y] - BSA and Azide free (AB172374)
  • IHC-P

Unknown

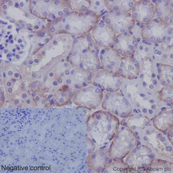
Immunohistochemistry (Formalin/PFA-fixed paraffin-embedded sections) - Anti-YAP1 (phospho S127) antibody [EP1675Y] - BSA and Azide free (AB172374)

Immunohistochemistry (Formalin/PFA-fixed paraffin-embedded sections) analysis of mouse kidney tissue labelling YAP1 (phospho S127) with purified ab76252 at 1/250. Heat mediated antigen retrieval was performed using Tris/EDTA buffer pH 9. A prediluted HRP-polymer conjugated anti-rabbit IgG was used as the secondary antibody. Negative control using PBS instead of primary antibody. Counterstained with hematoxylin.

This data was developed using the same antibody clone in a different buffer formulation containing PBS, BSA, glycerol, and sodium azide (ab76252).

Dot Blot - Anti-YAP1 (phospho S127) antibody [EP1675Y] - BSA and Azide free (AB172374)
  • Dot

Unknown

Dot Blot - Anti-YAP1 (phospho S127) antibody [EP1675Y] - BSA and Azide free (AB172374)

Dot blot analysis of YAP1 (pS127) peptide (Lane 1) and YAP1 non-phospho peptide (Lane 2) labelling YAP1 (pS127) with ab76252 at a dilution of 1/1000. ab97051 (Peroxidase conjugated goat anti-rabbit IgG (H+L)) was used as the secondary antibody at a dilution of 1/100000.

Blocking and dilution buffer : 5% NFDM/TBST.

Exposure time : 3 minutes.

This data was developed using the same antibody clone in a different buffer formulation containing PBS, BSA, glycerol, and sodium azide (ab76252).

Key facts

Host species

Rabbit

Clonality

Monoclonal

Clone number

EP1675Y

Isotype

IgG

Carrier free

Yes

Reacts with

Mouse, Rat, Human

Applications

Dot, IHC-P, WB

applications

Immunogen

The exact immunogen used to generate this antibody is proprietary information.

Specificity

Stimulation may be required to allow detection of the phosphorylated protein. Please see images below for recommended treatment conditions and positive controls.

Reactivity data

{ "title": "Reactivity Data", "filters": { "stats": ["", "Species", "Dilution Info", "Notes"], "tabs": { "all-applications": {"fullname" : "All Applications", "shortname": "All Applications"}, "IHCP" : {"fullname" : "Immunohistochemistry (Formalin/PFA-fixed paraffin-embedded sections)", "shortname":"IHC-P"}, "Dot" : {"fullname" : "Dot Blot", "shortname":"Dot"}, "WB" : {"fullname" : "Western blot", "shortname":"WB"} }, "product-promise": { "all": "all", "testedAndGuaranteed": "tested", "guaranteed": "expected", "predicted": "predicted", "notRecommended": "not-recommended" } }, "values": { "Human": { "IHCP-species-checked": "predicted", "IHCP-species-dilution-info": "", "IHCP-species-notes": "", "Dot-species-checked": "predicted", "Dot-species-dilution-info": "", "Dot-species-notes": "", "WB-species-checked": "guaranteed", "WB-species-dilution-info": "", "WB-species-notes": "<p></p>" }, "Mouse": { "IHCP-species-checked": "predicted", "IHCP-species-dilution-info": "", "IHCP-species-notes": "", "Dot-species-checked": "predicted", "Dot-species-dilution-info": "", "Dot-species-notes": "", "WB-species-checked": "guaranteed", "WB-species-dilution-info": "", "WB-species-notes": "<p></p>" }, "Rat": { "IHCP-species-checked": "testedAndGuaranteed", "IHCP-species-dilution-info": "", "IHCP-species-notes": "<p></p>", "Dot-species-checked": "guaranteed", "Dot-species-dilution-info": "", "Dot-species-notes": "", "WB-species-checked": "guaranteed", "WB-species-dilution-info": "", "WB-species-notes": "<p></p>" }, "Synthetic peptide": { "IHCP-species-checked": "notRecommended", "IHCP-species-dilution-info": "", "IHCP-species-notes": "", "Dot-species-checked": "testedAndGuaranteed", "Dot-species-dilution-info": "", "Dot-species-notes": "<p></p>", "WB-species-checked": "notRecommended", "WB-species-dilution-info": "", "WB-species-notes": "" } } }

Product details

ab172374 is the carrier-free version of ab76252.

Patented technology
Our RabMAb® technology is a patented hybridoma-based technology for making rabbit monoclonal antibodies. For details on our patents, please refer to RabMAb® patents.

What are the advantages of a recombinant monoclonal antibody?
This product is a recombinant monoclonal antibody, which offers several advantages including:

  • - High batch-to-batch consistency and reproducibility
  • - Improved sensitivity and specificity
  • - Long-term security of supply
  • - Animal-free batch production

For more information, read more on recombinant antibodies.

Conjugation ready
Our carrier-free antibodies are typically supplied in a PBS-only formulation, purified and free of BSA, sodium azide and glycerol. This conjugation-ready format is designed for use with fluorochromes, metal isotopes, oligonucleotides, and enzymes, which makes them ideal for antibody labelling, functional and cell-based assays, flow-based assays (e.g. mass cytometry) and Multiplex Imaging applications.

Use our conjugation kits for antibody conjugates that are ready-to-use in as little as 20 minutes with 1 minute hands-on-time and 100% antibody recovery: available for fluorescent dyes, HRP, biotin and gold.

Compatibility
This product is compatible with the Maxpar® Antibody Labeling Kit from Fluidigm, without the need for antibody preparation. Maxpar® is a trademark of Fluidigm Canada Inc.

Properties and storage information

Form
Liquid
Purification technique
Affinity purification Protein A
Storage buffer
Constituents: PBS
Shipped at conditions
Blue Ice
Appropriate short-term storage conditions
+4°C
Appropriate long-term storage conditions
+4°C
Storage information
Do Not Freeze

Supplementary information

This supplementary information is collated from multiple sources and compiled automatically.

YAP1 also known as Yes-associated protein 1 is a transcriptional coactivator involved in regulating gene expression. This protein has a mass of approximately 65 kDa and is expressed in various tissues including the liver and heart. YAP1 plays a significant role in the Hippo signaling pathway where it acts by binding to transcriptional enhancer factors such as TEADs to activate gene transcription.
Biological function summary

YAP1 influences cell proliferation and apoptosis by interacting with other proteins to form transcriptional complexes. It participates in promoting organ size and tissue regeneration. YAP1's activity is regulated through phosphorylation primarily at serine 127 which determines its subcellular localization and transcriptional activity. The phosphorylated form often referred to as phospho-YAP remains in the cytoplasm while dephosphorylated YAP1 translocates to the nucleus where it contributes to transcriptional activation.

Pathways

YAP1 is importantly involved in the Hippo signaling pathway and Wnt/β-catenin signaling pathway. In the Hippo pathway kinases LATS1/2 phosphorylate YAP1 preventing its nuclear localization and promoting cell apoptosis when required. In contrast in the Wnt/β-catenin pathway YAP1 interacts with β-catenin to regulate gene expression related to proliferation. Proteins such as TAZ which shares structural and functional similarities with YAP1 often collaborate in these pathways influencing cellular growth and differentiation.

YAP1's dysregulation links to cancer development notably in liver and breast cancer. Overexpression or nuclear accumulation of YAP1 leads to uncontrollable cell growth and tumorigenesis. Its interaction with the TEAD transcription factors highlights its significance in oncogenesis. Furthermore YAP1 also connects with pathways involving other proteins like TGF-β contributing to fibrosis-related disorders such as pulmonary fibrosis where unexpected remodeling and excessive tissue growth occur.

Product protocols

For this product, it's our understanding that no specific protocols are required. You can visit:

Target data

The protein expressed by the YAP1 gene functions as a transcriptional regulator, acting both as a coactivator and corepressor. It is a critical downstream regulatory target in the Hippo signaling pathway, which is crucial for organ size control and tumor suppression, as it restricts proliferation and promotes apoptosis. The pathway involves a kinase cascade where STK3/MST2 and STK4/MST1 activate LATS1/2, which then inactivates the YAP1 oncoprotein. YAP1 plays a key role in tissue tension and 3D tissue shape by regulating cortical actomyosin network formation through ARHGAP18. It controls cell proliferation in response to cell contact, with its phosphorylation by LATS1/2 preventing nuclear translocation necessary for regulating cellular genes linked to proliferation, death, and migration. TEAD transcription factors are needed for YAP1 to stimulate gene expression, cell growth, anchorage-independent growth, and EMT induction. Additionally, YAP1 suppresses ciliogenesis by repressing TEAD4 target genes AURKA and PLK1. Isoforms 2 and 3 of YAP1 activate the C-terminal fragment of ERBB4 (isoform 3). This supplementary information is collated from multiple sources and compiled automatically.
See full target information YAP1 phospho S127

Publications (6)

Recent publications for all applications. Explore the full list and refine your search

STAR protocols 5:103336 PubMed39356640

2024

Protocol for simultaneous detection of mRNAs and (phospho-)proteins with ARTseq-FISH in mouse embryonic stem cells.

Applications

Unspecified application

Species

Unspecified reactive species

Xinyu Hu,Bob van Sluijs,Óscar García-Blay,Wilhelm T S Huck,Maike M K Hansen

Nature communications 15:3918 PubMed38724524

2024

ARTseq-FISH reveals position-dependent differences in gene expression of micropatterned mESCs.

Applications

Unspecified application

Species

Unspecified reactive species

Xinyu Hu,Bob van Sluijs,Óscar García-Blay,Yury Stepanov,Koen Rietrae,Wilhelm T S Huck,Maike M K Hansen

Molecular medicine reports 22:1449-1457 PubMed32626943

2020

lncRNA MALAT1 modulates cancer stem cell properties of liver cancer cells by regulating YAP1 expression via miR‑375 sponging.

Applications

Unspecified application

Species

Unspecified reactive species

Liying Zhao,Guohua Lou,Aichun Li,Yanning Liu

Journal of cellular and molecular medicine 24:304-316 PubMed31657132

2019

Long non-coding RNA TNRC6C-AS1 promotes methylation of STK4 to inhibit thyroid carcinoma cell apoptosis and autophagy via Hippo signalling pathway.

Applications

Unspecified application

Species

Unspecified reactive species

Xinzhi Peng,Chengcheng Ji,Langping Tan,Shaojian Lin,Yue Zhu,Miaoyun Long,Dingyuan Luo,Honghao Li

Cell proliferation 51:e12492 PubMed30039887

2018

AMOT130 linking F-actin to YAP is involved in intervertebral disc degeneration.

Applications

Unspecified application

Species

Unspecified reactive species

Cong Zhang,Feng Wang,Zhiyang Xie,Lu Chen,Arjun Sinkemani,Haomin Yu,Xiaotao Wu

Oncotarget 9:2175-2192 PubMed29416763

2018

Dysregulation of YAP by the Hippo pathway is involved in intervertebral disc degeneration, cell contact inhibition, and cell senescence.

Applications

Unspecified application

Species

Unspecified reactive species

Cong Zhang,Feng Wang,Zhiyang Xie,Lu Chen,Arjun Sinkemani,Haomin Yu,Kun Wang,Lu Mao,Xiaotao Wu
View all publications

Product promise

We are committed to supporting your work with high-quality reagents, and we're here for you every step of the way. In the unlikely event that one of our products does not perform as expected, you're protected by our Product Promise.
For full details, please see our Terms & Conditions

Please note: All products are 'FOR RESEARCH USE ONLY. NOT FOR USE IN DIAGNOSTIC OR THERAPEUTIC PROCEDURES'.

For licensing inquiries, please contact partnerships@abcam.com