JavaScript is disabled in your browser. Please enable JavaScript to view this website.
AB225706

Anti-YB1 antibody

Be the first to review this product! Submit a review

|

(2 Publications)

Rabbit Polyclonal YB1 antibody. Suitable for IHC-P, IP, WB and reacts with Mouse, Human samples. Cited in 2 publications. Immunogen corresponding to Synthetic Peptide within Human YBX1 aa 250 to C-terminus.

View Alternative Names

NSEP1, YB1, YBX1, Y-box-binding protein 1, YB-1, CCAAT-binding transcription factor I subunit A, DNA-binding protein B, Enhancer factor I subunit A, Nuclease-sensitive element-binding protein 1, Y-box transcription factor, CBF-A, DBPB, EFI-A

4 Images
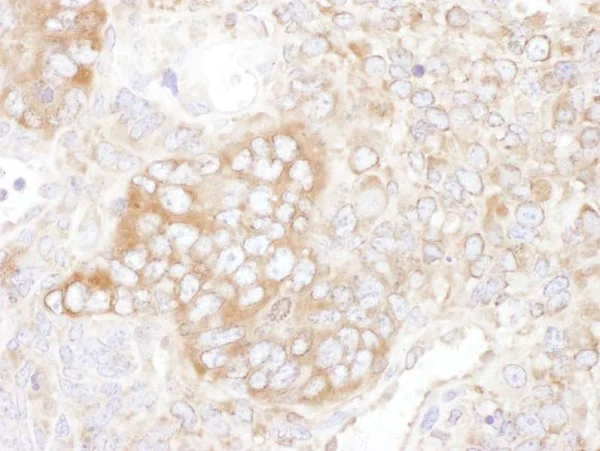
Immunohistochemistry (Formalin/PFA-fixed paraffin-embedded sections) - Anti-YB1 antibody (AB225706)
  • IHC-P

Supplier Data

Immunohistochemistry (Formalin/PFA-fixed paraffin-embedded sections) - Anti-YB1 antibody (AB225706)

Formalin-fixed, paraffin-embedded human stomach linitis plastica tissue stained for YB1 using ab225706 at 1/1000 dilution in immunohistochemical analysis. Detection : DAB staining.

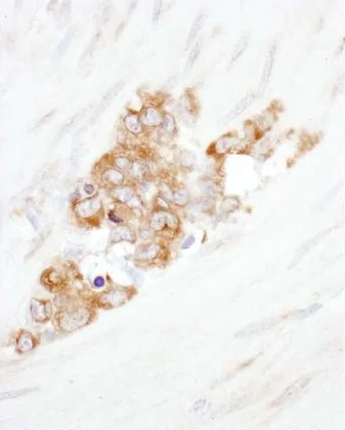
Immunohistochemistry (Formalin/PFA-fixed paraffin-embedded sections) - Anti-YB1 antibody (AB225706)
  • IHC-P

Supplier Data

Immunohistochemistry (Formalin/PFA-fixed paraffin-embedded sections) - Anti-YB1 antibody (AB225706)

Formalin-fixed, paraffin-embedded mouse teratoma tissue stained for YB1 using ab225706 at 1/1000 dilution in immunohistochemical analysis. Detection : DAB staining.

Immunoprecipitation - Anti-YB1 antibody (AB225706)
  • IP

Unknown

Immunoprecipitation - Anti-YB1 antibody (AB225706)

YB1 was immunoprecipitated from HeLa (human epithelial cell line from cervix adenocarcinoma) whole cell lysate (1 mg for IP, 20% of IP loaded) with ab225706 at 6 μg/mg lysate. Western blot was performed from the immunoprecipitate using ab225706 at 0.4 μg/ml.

Lane 1 : ab225706 IP in HeLa whole cell lysate.

Lane 2 : Control IgG IP in HeLa whole cell lysate.

Detection : Chemiluminescence with exposure time of 3 seconds.

All lanes:

Immunoprecipitation - Anti-YB1 antibody (ab225706)

Predicted band size: 36 kDa

false

Western blot - Anti-YB1 antibody (AB225706)
  • WB

Supplier Data

Western blot - Anti-YB1 antibody (AB225706)

All lanes:

Western blot - Anti-YB1 antibody (ab225706) at 0.04 µg/mL

Lane 1:

HeLa (human epithelial cell line from cervix adenocarcinoma) whole cell lysate at 50 µg

Lane 2:

HeLa (human epithelial cell line from cervix adenocarcinoma) whole cell lysate at 15 µg

Lane 3:

HEK-293T (human epithelial cell line from embryonic kidney transformed with large T antigen) whole cell lysate at 50 µg

Lane 4:

Jurkat (human T cell leukemia cell line from peripheral blood) whole cell lysate at 50 µg

Predicted band size: 36 kDa

true

Exposure time: 3s

Key facts

Host species

Rabbit

Clonality

Polyclonal

Isotype

IgG

Carrier free

No

Reacts with

Mouse, Human

Applications

IHC-P, IP, WB

applications

Immunogen

Synthetic Peptide within Human YBX1 aa 250 to C-terminus. The exact immunogen used to generate this antibody is proprietary information.

P67809

Reactivity data

{ "title": "Reactivity Data", "filters": { "stats": ["", "Species", "Dilution Info", "Notes"], "tabs": { "all-applications": {"fullname" : "All Applications", "shortname": "All Applications"}, "IHCP" : {"fullname" : "Immunohistochemistry (Formalin/PFA-fixed paraffin-embedded sections)", "shortname":"IHC-P"}, "IP" : {"fullname" : "Immunoprecipitation", "shortname":"IP"}, "WB" : {"fullname" : "Western blot", "shortname":"WB"} }, "product-promise": { "all": "all", "testedAndGuaranteed": "tested", "guaranteed": "expected", "predicted": "predicted", "notRecommended": "not-recommended" } }, "values": { "Human": { "IHCP-species-checked": "testedAndGuaranteed", "IHCP-species-dilution-info": "1/200 - 1/1000", "IHCP-species-notes": "<p></p> Perform heat-mediated antigen retrieval with citrate buffer pH 6 before commencing with IHC staining protocol.", "IP-species-checked": "testedAndGuaranteed", "IP-species-dilution-info": "2-10 µg/mg of lysate", "IP-species-notes": "<p></p>", "WB-species-checked": "testedAndGuaranteed", "WB-species-dilution-info": "1/2000 - 1/10000", "WB-species-notes": "<p></p>" }, "Mouse": { "IHCP-species-checked": "testedAndGuaranteed", "IHCP-species-dilution-info": "1/200 - 1/1000", "IHCP-species-notes": "<p></p> Perform heat-mediated antigen retrieval with citrate buffer pH 6 before commencing with IHC staining protocol.", "IP-species-checked": "guaranteed", "IP-species-dilution-info": "", "IP-species-notes": "", "WB-species-checked": "guaranteed", "WB-species-dilution-info": "", "WB-species-notes": "" }, "Rat": { "IHCP-species-checked": "predicted", "IHCP-species-dilution-info": "", "IHCP-species-notes": "", "IP-species-checked": "predicted", "IP-species-dilution-info": "", "IP-species-notes": "", "WB-species-checked": "predicted", "WB-species-dilution-info": "", "WB-species-notes": "" }, "Cow": { "IHCP-species-checked": "predicted", "IHCP-species-dilution-info": "", "IHCP-species-notes": "", "IP-species-checked": "predicted", "IP-species-dilution-info": "", "IP-species-notes": "", "WB-species-checked": "predicted", "WB-species-dilution-info": "", "WB-species-notes": "" }, "Rabbit": { "IHCP-species-checked": "predicted", "IHCP-species-dilution-info": "", "IHCP-species-notes": "", "IP-species-checked": "predicted", "IP-species-dilution-info": "", "IP-species-notes": "", "WB-species-checked": "predicted", "WB-species-dilution-info": "", "WB-species-notes": "" } } }

Properties and storage information

Form
Liquid
Purification technique
Affinity purification Immunogen
Purification notes
ab225706 was affinity purified using an epitope specific to YB1 immobilized on solid support.
Storage buffer
pH: 6.8 - 7.4 Preservative: 0.09% Sodium azide Constituents: Tris buffered saline, 0.1% BSA
Shipped at conditions
Blue Ice
Appropriate short-term storage duration
1-2 weeks
Appropriate short-term storage conditions
+4°C
Appropriate long-term storage conditions
-20°C
Aliquoting information
Upon delivery aliquot
Storage information
Avoid freeze / thaw cycle

Supplementary information

This supplementary information is collated from multiple sources and compiled automatically.

Y-box Binding Protein 1 (YB1) also known as YBX1 is a multifunctional protein with a mass of approximately 36 kDa. It belongs to the cold shock protein family that contains a highly conserved cold shock domain. YB1 is broadly expressed across many tissues predominantly found in the cytoplasm and nucleus where it functions as a transcription factor and RNA-binding protein. Through its transcriptional regulatory activity YB1 can bind to Y-box sequences in the promoter regions of genes and modulate their expression.
Biological function summary

YB1 plays vital roles in regulating cell proliferation stress response and differentiation. It does not operate alone; it interacts with various complexes notably ribonucleoprotein complexes. YB1 regulates gene expression at both transcriptional and translational levels impacting cell cycle progression and apoptosis pathways. Its ability to bind RNA and DNA makes it integral in controlling the expression of genes related to stress responses and developmental processes.

Pathways

YB1 is essential in many signaling pathways that govern cell growth and survival including the PI3K/AKT pathway and MAPK pathway. In these pathways it interacts with proteins like AKT1 and MAPK3 influencing cellular responses to external and internal stimuli. These interactions reveal the adaptability of YB1 in various cellular contexts allowing it to mediate pathway-specific responses to environmental cues thereby promoting the maintenance of cellular homeostasis and adaptation.

The dysregulation of YB1 has been linked to cancer and neurodegenerative diseases. Overexpression or altered localization of YB1 often in connection with other proteins such as p53 contributes to tumorigenesis by enhancing cell proliferation and inhibiting programmed cell death. In neurodegenerative diseases impaired YB1 function can negatively affect neuronal survival potentially mediated through its interactions with proteins like tau which are implicated in conditions such as Alzheimer's disease. Understanding of these associations highlights the potential of YB1 as a therapeutic target in disease management.

Product protocols

For this product, it's our understanding that no specific protocols are required. You can visit:

Target data

DNA- and RNA-binding protein involved in various processes, such as translational repression, RNA stabilization, mRNA splicing, DNA repair and transcription regulation (PubMed : 10817758, PubMed : 11698476, PubMed : 14718551, PubMed : 18809583, PubMed : 31358969, PubMed : 8188694). Predominantly acts as a RNA-binding protein : binds preferentially to the 5'-[CU]CUGCG-3' RNA motif and specifically recognizes mRNA transcripts modified by C5-methylcytosine (m5C) (PubMed : 19561594, PubMed : 31358969). Promotes mRNA stabilization : acts by binding to m5C-containing mRNAs and recruiting the mRNA stability maintainer ELAVL1, thereby preventing mRNA decay (PubMed : 10817758, PubMed : 11698476, PubMed : 31358969). Component of the CRD-mediated complex that promotes MYC mRNA stability (PubMed : 19029303). Contributes to the regulation of translation by modulating the interaction between the mRNA and eukaryotic initiation factors (By similarity). Plays a key role in RNA composition of extracellular exosomes by defining the sorting of small non-coding RNAs, such as tRNAs, Y RNAs, Vault RNAs and miRNAs (PubMed : 27559612, PubMed : 29073095). Probably sorts RNAs in exosomes by recognizing and binding C5-methylcytosine (m5C)-containing RNAs (PubMed : 28341602, PubMed : 29073095). Acts as a key effector of epidermal progenitors by preventing epidermal progenitor senescence : acts by regulating the translation of a senescence-associated subset of cytokine mRNAs, possibly by binding to m5C-containing mRNAs (PubMed : 29712925). Also involved in pre-mRNA alternative splicing regulation : binds to splice sites in pre-mRNA and regulates splice site selection (PubMed : 12604611). Binds to TSC22D1 transcripts, thereby inhibiting their translation and negatively regulating TGF-beta-mediated transcription of COL1A2 (By similarity). Also able to bind DNA : regulates transcription of the multidrug resistance gene MDR1 is enhanced in presence of the APEX1 acetylated form at 'Lys-6' and 'Lys-7' (PubMed : 18809583). Binds to promoters that contain a Y-box (5'-CTGATTGGCCAA-3'), such as MDR1 and HLA class II genes (PubMed : 18809583, PubMed : 8188694). Promotes separation of DNA strands that contain mismatches or are modified by cisplatin (PubMed : 14718551). Has endonucleolytic activity and can introduce nicks or breaks into double-stranded DNA, suggesting a role in DNA repair (PubMed : 14718551). The secreted form acts as an extracellular mitogen and stimulates cell migration and proliferation (PubMed : 19483673).
See full target information YBX1

Publications (2)

Recent publications for all applications. Explore the full list and refine your search

Chemical biology & drug design 105:e70113 PubMed40317895

2025

Osthole Induces Hepatic Stellate Cell Ferroptosis to Alleviate Liver Fibrosis by Inhibiting the Y-Box Binding Protein 1-Wnt/β-Catenin Axis Through Downregulating Myocyte Enhancer Factor 2A.

Applications

Unspecified application

Species

Unspecified reactive species

Ming Tong,Meng Liu,Liang Chen,Yi-He Lin,Qing Zheng

Cellular oncology (Dordrecht) 47:157-174 PubMed37632669

2023

Targeting PUF60 prevents tumor progression by retarding mRNA decay of oxidative phosphorylation in ovarian cancer.

Applications

Unspecified application

Species

Unspecified reactive species

Cancan Zhang,Xiaoge Ni,Chunlin Tao,Ziyang Zhou,Fengmian Wang,Fei Gu,Xiaoxiao Cui,Shuheng Jiang,Qing Li,Huan Lu,Dongxue Li,Zhiyong Wu,Rong Zhang
View all publications

Product promise

We are committed to supporting your work with high-quality reagents, and we're here for you every step of the way. In the unlikely event that one of our products does not perform as expected, you're protected by our Product Promise.
For full details, please see our Terms & Conditions

Please note: All products are 'FOR RESEARCH USE ONLY. NOT FOR USE IN DIAGNOSTIC OR THERAPEUTIC PROCEDURES'.

For licensing inquiries, please contact partnerships@abcam.com