JavaScript is disabled in your browser. Please enable JavaScript to view this website.
AB256516

Anti-YB1 antibody [EPR22682-21] - BSA and Azide free

Be the first to review this product! Submit a review

|

(1 Publication)

Rabbit Recombinant Monoclonal YB1 antibody. Carrier free. Suitable for IP, WB, ICC/IF, Flow Cyt (Intra), IHC-P and reacts with Human, Mouse samples. Cited in 1 publication.

View Alternative Names

NSEP1, YB1, YBX1, Y-box-binding protein 1, YB-1, CCAAT-binding transcription factor I subunit A, DNA-binding protein B, Enhancer factor I subunit A, Nuclease-sensitive element-binding protein 1, Y-box transcription factor, CBF-A, DBPB, EFI-A

7 Images
Flow Cytometry (Intracellular) - Anti-YB1 antibody [EPR22682-21] - BSA and Azide free (AB256516)
  • Flow Cyt (Intra)

Unknown

Flow Cytometry (Intracellular) - Anti-YB1 antibody [EPR22682-21] - BSA and Azide free (AB256516)

Intracellular flow cytometric analysis of 4% paraformaldehyde fixed 90% methanol permeabilized A549 (Human lung carcinoma epithelial cell) cells labelling YB1 with ab255606 at 1/500 dilution (Red) compared with a Rabbit monoclonal IgG (ab172730, Black) isotype control and an unlabelled control (cells without incubation with primary antibody and secondary antibody) (Blue). A Goat anti rabbit IgG (Alexa Fluor® 488, ab150077) at 1/2000 dilution was used as the secondary antibody.

This data was developed using the same antibody clone in a different buffer formulation containing PBS, BSA, glycerol, and sodium azide (ab255606).

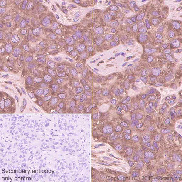
Immunohistochemistry (Formalin/PFA-fixed paraffin-embedded sections) - Anti-YB1 antibody [EPR22682-21] - BSA and Azide free (AB256516)
  • IHC-P

Unknown

Immunohistochemistry (Formalin/PFA-fixed paraffin-embedded sections) - Anti-YB1 antibody [EPR22682-21] - BSA and Azide free (AB256516)

Immunohistochemical analysis of paraffin-embedded Human breast cancer tissue labeling YB1 with ab255606 at 1/4000 dilution followed by a ready to use Goat Anti-Rabbit IgG H&L (HRP). Cytoplasmic staining in tumor cells of human breast cancer (PMID : 21695211) is observed. Counterstained with Hematoxylin. Heat mediated antigen retrieval using ab93684 (Tris/EDTA buffer, pH 9.0).

Secondary antibody only control : Used PBS instead of primary antibody, secondary antibody is a ready to use Goat Anti-Rabbit IgG H&L (HRP).

This data was developed using the same antibody clone in a different buffer formulation containing PBS, BSA, glycerol, and sodium azide (ab255606).

Flow Cytometry (Intracellular) - Anti-YB1 antibody [EPR22682-21] - BSA and Azide free (AB256516)
  • Flow Cyt (Intra)

Unknown

Flow Cytometry (Intracellular) - Anti-YB1 antibody [EPR22682-21] - BSA and Azide free (AB256516)

Intracellular flow cytometric analysis of 4% paraformaldehyde fixed 90% methanol permeabilized MCF7 (Human breast adenocarcinoma epithelial cell) cells labelling YB1 with ab255606 at 1/500 dilution (Red) compared with a Rabbit monoclonal IgG (ab172730, Black) isotype control and an unlabelled control (cells without incubation with primary antibody and secondary antibody) (Blue). A Goat anti rabbit IgG (Alexa Fluor® 488, ab150077) at 1/2000 dilution was used as the secondary antibody.

This data was developed using the same antibody clone in a different buffer formulation containing PBS, BSA, glycerol, and sodium azide (ab255606).

Immunocytochemistry/ Immunofluorescence - Anti-YB1 antibody [EPR22682-21] - BSA and Azide free (AB256516)
  • ICC/IF

Unknown

Immunocytochemistry/ Immunofluorescence - Anti-YB1 antibody [EPR22682-21] - BSA and Azide free (AB256516)

Immunofluorescent analysis of 4% paraformaldehyde-fixed, 0.1% TritonX-100 permeabilized NIH/3T3 (mouse embryonic fibroblast) cells labelling YB1 with ab255606 at 1/100 dilution, followed by ab150077 AlexaFluor®488 Goat anti-Rabbit secondary antibody at 1/1000 dilution (Green). Confocal image showing cytoplasmic staining in NIH/3T3 cell line is observed. ab195889 Anti-alpha Tubulin antibody [DM1A] - Microtubule Marker (Alexa Fluor® 594) was used to counterstain tubulin at 1/200 dilution (Red). The Nuclear counterstain was DAPI (Blue).

Secondary antibody only control : Used PBS instead of primary antibody, secondary antibody is ab150077 AlexaFluor®488 Goat anti-Rabbit secondary at 1/1000 dilution.

This data was developed using the same antibody clone in a different buffer formulation containing PBS, BSA, glycerol, and sodium azide (ab255606).

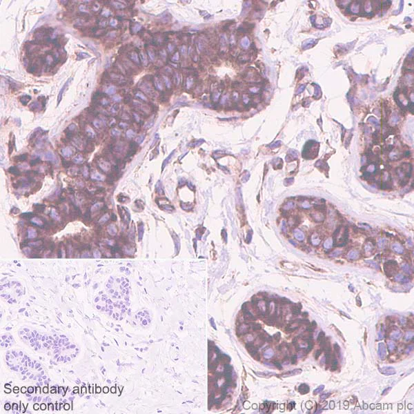
Immunohistochemistry (Formalin/PFA-fixed paraffin-embedded sections) - Anti-YB1 antibody [EPR22682-21] - BSA and Azide free (AB256516)
  • IHC-P

Unknown

Immunohistochemistry (Formalin/PFA-fixed paraffin-embedded sections) - Anti-YB1 antibody [EPR22682-21] - BSA and Azide free (AB256516)

Immunohistochemical analysis of paraffin-embedded Human mammary gland tissue labeling YB1 with ab255606 at 1/4000 dilution followed by a ready to use Goat Anti-Rabbit IgG H&L (HRP). Cytoplasmic staining in human normal mammary gland (PMID : 21695211) is observed. Counterstained with Hematoxylin. Heat mediated antigen retrieval using ab93684 (Tris/EDTA buffer, pH 9.0).

Secondary antibody only control : Used PBS instead of primary antibody, secondary antibody is a ready to use Goat Anti-Rabbit IgG H&L (HRP).

This data was developed using the same antibody clone in a different buffer formulation containing PBS, BSA, glycerol, and sodium azide (ab255606).

Immunocytochemistry/ Immunofluorescence - Anti-YB1 antibody [EPR22682-21] - BSA and Azide free (AB256516)
  • ICC/IF

Unknown

Immunocytochemistry/ Immunofluorescence - Anti-YB1 antibody [EPR22682-21] - BSA and Azide free (AB256516)

Immunofluorescent analysis of 4% paraformaldehyde-fixed, 0.1% TritonX-100 permeabilized MCF7 (human breast adenocarcinoma epithelial cell) cells labelling YB1 with ab255606 at 1/100 dilution, followed by ab150077 AlexaFluor®488 Goat anti-Rabbit secondary antibody at 1/1000 dilution (Green). Confocal image showing cytoplasmic staining in MCF7 cell line is observed. ab195889 Anti-alpha Tubulin antibody [DM1A] - Microtubule Marker (Alexa Fluor® 594) was used to counterstain tubulin at 1/200 dilution (Red). The Nuclear counterstain was DAPI (Blue).

Secondary antibody only control : Used PBS instead of primary antibody, secondary antibody is ab150077 AlexaFluor®488 Goat anti-Rabbit secondary at 1/1000 dilution.

This data was developed using the same antibody clone in a different buffer formulation containing PBS, BSA, glycerol, and sodium azide (ab255606).

Immunoprecipitation - Anti-YB1 antibody [EPR22682-21] - BSA and Azide free (AB256516)
  • IP

Unknown

Immunoprecipitation - Anti-YB1 antibody [EPR22682-21] - BSA and Azide free (AB256516)

YB1 was immunoprecipitated from 0.35 mg MCF7 (Human breast adenocarcinoma epithelial cell) whole cell lysate 10μg with ab255606 at 1/30 dilution. Western blot was performed on the immunoprecipitate using ab255606 1/1000 dilution. VeriBlot for IP Detection Reagent (HRP) (ab131366) was used as the secondary antibody at 1/5000 dilution.

Lane 1 : MCF7 (Human breast adenocarcinoma epithelial cell) whole cell lysate 10μg
Lane 2 : ab255606 IP in MCF7 whole cell lysate
Lane 3 : Rabbit monoclonal IgG (ab172730) instead of ab255606 in MCF7 whole cell lysate.

Blocking and dilution buffer and concentration : 5% NFDM/TBST.

Exposure time : 30 seconds

This data was developed using the same antibody clone in a different buffer formulation containing PBS, BSA, glycerol, and sodium azide (ab255606).

All lanes:

Immunoprecipitation - Anti-YB1 antibody [EPR22682-21] (<a href='/en-us/products/primary-antibodies/yb1-antibody-epr22682-21-ab255606'>ab255606</a>)

Predicted band size: 36 kDa

Observed band size: 50 kDa

false

Key facts

Host species

Rabbit

Clonality

Monoclonal

Clone number

EPR22682-21

Isotype

IgG

Carrier free

Yes

Reacts with

Mouse, Human

Applications

Flow Cyt (Intra), IP, ICC/IF, WB, IHC-P

applications

Immunogen

The exact immunogen used to generate this antibody is proprietary information.

Specificity

Not recommended for Mouse IHC.

Reactivity data

{ "title": "Reactivity Data", "filters": { "stats": ["", "Species", "Dilution Info", "Notes"], "tabs": { "all-applications": {"fullname" : "All Applications", "shortname": "All Applications"}, "IP" : {"fullname" : "Immunoprecipitation", "shortname":"IP"}, "WB" : {"fullname" : "Western blot", "shortname":"WB"}, "ICCIF" : {"fullname" : "Immunocytochemistry/ Immunofluorescence", "shortname":"ICC/IF"}, "FlowCytIntra" : {"fullname" : "Flow Cytometry (Intracellular)", "shortname":"Flow Cyt (Intra)"}, "IHCP" : {"fullname" : "Immunohistochemistry (Formalin/PFA-fixed paraffin-embedded sections)", "shortname":"IHC-P"} }, "product-promise": { "all": "all", "testedAndGuaranteed": "tested", "guaranteed": "expected", "predicted": "predicted", "notRecommended": "not-recommended" } }, "values": { "Human": { "IP-species-checked": "testedAndGuaranteed", "IP-species-dilution-info": "", "IP-species-notes": "<p></p>", "WB-species-checked": "guaranteed", "WB-species-dilution-info": "", "WB-species-notes": "<p></p>", "ICCIF-species-checked": "testedAndGuaranteed", "ICCIF-species-dilution-info": "", "ICCIF-species-notes": "<p></p>", "FlowCytIntra-species-checked": "testedAndGuaranteed", "FlowCytIntra-species-dilution-info": "", "FlowCytIntra-species-notes": "<p></p>", "IHCP-species-checked": "testedAndGuaranteed", "IHCP-species-dilution-info": "", "IHCP-species-notes": "<p>Heat mediated antigen retrieval using <a href='/en-us/products/buffers/antigen-retrieval-buffer-100x-tris-edta-buffer-ph-90-ab93684'>ab93684</a> (Tris/EDTA buffer, pH 9.0).Not recommended for Mouse IHC.</p>" }, "Mouse": { "IP-species-checked": "guaranteed", "IP-species-dilution-info": "", "IP-species-notes": "", "WB-species-checked": "guaranteed", "WB-species-dilution-info": "", "WB-species-notes": "<p></p>", "ICCIF-species-checked": "testedAndGuaranteed", "ICCIF-species-dilution-info": "", "ICCIF-species-notes": "<p></p>", "FlowCytIntra-species-checked": "guaranteed", "FlowCytIntra-species-dilution-info": "", "FlowCytIntra-species-notes": "", "IHCP-species-checked": "guaranteed", "IHCP-species-dilution-info": "", "IHCP-species-notes": "" } } }

Product details

ab256516 is the carrier-free version of ab255606.

Patented technology
Our RabMAb® technology is a patented hybridoma-based technology for making rabbit monoclonal antibodies. For details on our patents, please refer to RabMAb® patents.

What are the advantages of a recombinant monoclonal antibody?
This product is a recombinant monoclonal antibody, which offers several advantages including:

  • - High batch-to-batch consistency and reproducibility
  • - Improved sensitivity and specificity
  • - Long-term security of supply
  • - Animal-free batch production

For more information, read more on recombinant antibodies.

Conjugation ready
Our carrier-free antibodies are typically supplied in a PBS-only formulation, purified and free of BSA, sodium azide and glycerol. This conjugation-ready format is designed for use with fluorochromes, metal isotopes, oligonucleotides, and enzymes, which makes them ideal for antibody labelling, functional and cell-based assays, flow-based assays (e.g. mass cytometry) and Multiplex Imaging applications.

Use our conjugation kits for antibody conjugates that are ready-to-use in as little as 20 minutes with 1 minute hands-on-time and 100% antibody recovery: available for fluorescent dyes, HRP, biotin and gold.

Compatibility
This product is compatible with the Maxpar® Antibody Labeling Kit from Fluidigm, without the need for antibody preparation. Maxpar® is a trademark of Fluidigm Canada Inc.

Properties and storage information

Form
Liquid
Purification technique
Affinity purification Protein A
Storage buffer
pH: 7.2 - 7.4 Constituents: PBS
Shipped at conditions
Blue Ice
Appropriate short-term storage conditions
+4°C
Appropriate long-term storage conditions
+4°C
Storage information
Do Not Freeze

Supplementary information

This supplementary information is collated from multiple sources and compiled automatically.

Y-box Binding Protein 1 (YB1) also known as YBX1 is a multifunctional protein with a mass of approximately 36 kDa. It belongs to the cold shock protein family that contains a highly conserved cold shock domain. YB1 is broadly expressed across many tissues predominantly found in the cytoplasm and nucleus where it functions as a transcription factor and RNA-binding protein. Through its transcriptional regulatory activity YB1 can bind to Y-box sequences in the promoter regions of genes and modulate their expression.
Biological function summary

YB1 plays vital roles in regulating cell proliferation stress response and differentiation. It does not operate alone; it interacts with various complexes notably ribonucleoprotein complexes. YB1 regulates gene expression at both transcriptional and translational levels impacting cell cycle progression and apoptosis pathways. Its ability to bind RNA and DNA makes it integral in controlling the expression of genes related to stress responses and developmental processes.

Pathways

YB1 is essential in many signaling pathways that govern cell growth and survival including the PI3K/AKT pathway and MAPK pathway. In these pathways it interacts with proteins like AKT1 and MAPK3 influencing cellular responses to external and internal stimuli. These interactions reveal the adaptability of YB1 in various cellular contexts allowing it to mediate pathway-specific responses to environmental cues thereby promoting the maintenance of cellular homeostasis and adaptation.

The dysregulation of YB1 has been linked to cancer and neurodegenerative diseases. Overexpression or altered localization of YB1 often in connection with other proteins such as p53 contributes to tumorigenesis by enhancing cell proliferation and inhibiting programmed cell death. In neurodegenerative diseases impaired YB1 function can negatively affect neuronal survival potentially mediated through its interactions with proteins like tau which are implicated in conditions such as Alzheimer's disease. Understanding of these associations highlights the potential of YB1 as a therapeutic target in disease management.

Product protocols

For this product, it's our understanding that no specific protocols are required. You can visit:

Target data

DNA- and RNA-binding protein involved in various processes, such as translational repression, RNA stabilization, mRNA splicing, DNA repair and transcription regulation (PubMed : 10817758, PubMed : 11698476, PubMed : 14718551, PubMed : 18809583, PubMed : 31358969, PubMed : 8188694). Predominantly acts as a RNA-binding protein : binds preferentially to the 5'-[CU]CUGCG-3' RNA motif and specifically recognizes mRNA transcripts modified by C5-methylcytosine (m5C) (PubMed : 19561594, PubMed : 31358969). Promotes mRNA stabilization : acts by binding to m5C-containing mRNAs and recruiting the mRNA stability maintainer ELAVL1, thereby preventing mRNA decay (PubMed : 10817758, PubMed : 11698476, PubMed : 31358969). Component of the CRD-mediated complex that promotes MYC mRNA stability (PubMed : 19029303). Contributes to the regulation of translation by modulating the interaction between the mRNA and eukaryotic initiation factors (By similarity). Plays a key role in RNA composition of extracellular exosomes by defining the sorting of small non-coding RNAs, such as tRNAs, Y RNAs, Vault RNAs and miRNAs (PubMed : 27559612, PubMed : 29073095). Probably sorts RNAs in exosomes by recognizing and binding C5-methylcytosine (m5C)-containing RNAs (PubMed : 28341602, PubMed : 29073095). Acts as a key effector of epidermal progenitors by preventing epidermal progenitor senescence : acts by regulating the translation of a senescence-associated subset of cytokine mRNAs, possibly by binding to m5C-containing mRNAs (PubMed : 29712925). Also involved in pre-mRNA alternative splicing regulation : binds to splice sites in pre-mRNA and regulates splice site selection (PubMed : 12604611). Binds to TSC22D1 transcripts, thereby inhibiting their translation and negatively regulating TGF-beta-mediated transcription of COL1A2 (By similarity). Also able to bind DNA : regulates transcription of the multidrug resistance gene MDR1 is enhanced in presence of the APEX1 acetylated form at 'Lys-6' and 'Lys-7' (PubMed : 18809583). Binds to promoters that contain a Y-box (5'-CTGATTGGCCAA-3'), such as MDR1 and HLA class II genes (PubMed : 18809583, PubMed : 8188694). Promotes separation of DNA strands that contain mismatches or are modified by cisplatin (PubMed : 14718551). Has endonucleolytic activity and can introduce nicks or breaks into double-stranded DNA, suggesting a role in DNA repair (PubMed : 14718551). The secreted form acts as an extracellular mitogen and stimulates cell migration and proliferation (PubMed : 19483673).
See full target information YBX1

Publications (1)

Recent publications for all applications. Explore the full list and refine your search

Oncology letters 26:297 PubMed37274476

2023

Soluble NKG2D ligands impair CD8 T cell antitumor function dependent of NKG2D downregulation in neuroblastoma.

Applications

Unspecified application

Species

Unspecified reactive species

Yi Zhang,Feifei Luo,Kuiran Dong
View all publications

Product promise

We are committed to supporting your work with high-quality reagents, and we're here for you every step of the way. In the unlikely event that one of our products does not perform as expected, you're protected by our Product Promise.
For full details, please see our Terms & Conditions

Please note: All products are 'FOR RESEARCH USE ONLY. NOT FOR USE IN DIAGNOSTIC OR THERAPEUTIC PROCEDURES'.

For licensing inquiries, please contact partnerships@abcam.com