JavaScript is disabled in your browser. Please enable JavaScript to view this website.
AB254895

Anti-YEATS2 antibody

Be the first to review this product! Submit a review

|

(2 Publications)

Rabbit Polyclonal YEATS2 antibody. Suitable for IHC-P, ICC/IF and reacts with Human samples. Cited in 2 publications. Immunogen corresponding to Recombinant Fragment Protein within Human YEATS2 aa 50-200.

View Alternative Names

KIAA1197, YEATS2, YEATS domain-containing protein 2

2 Images
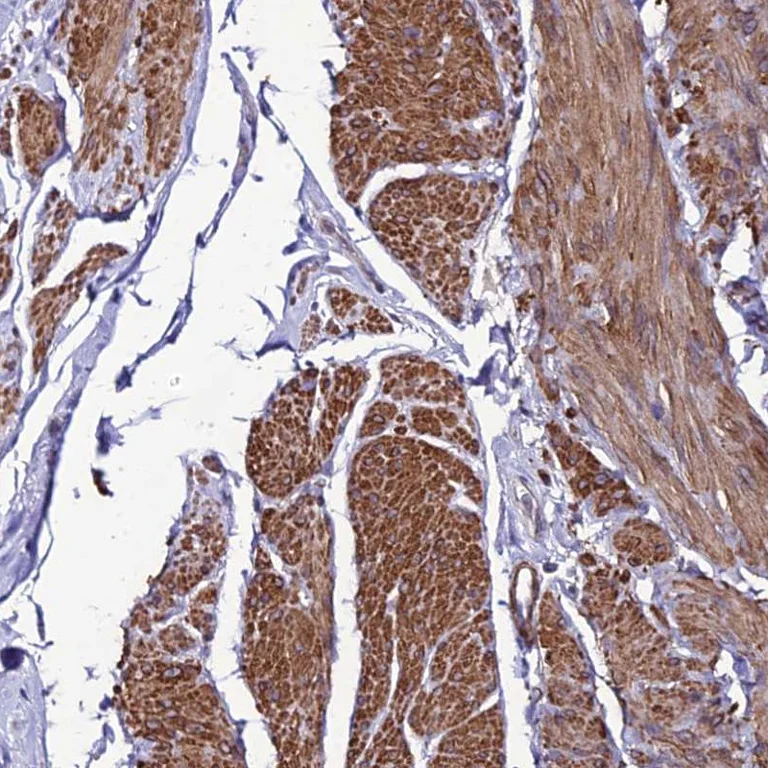
Immunohistochemistry (Formalin/PFA-fixed paraffin-embedded sections) - Anti-YEATS2 antibody (AB254895)
  • IHC-P

Unknown

Immunohistochemistry (Formalin/PFA-fixed paraffin-embedded sections) - Anti-YEATS2 antibody (AB254895)

Paraffin-embedded human smooth muscle tissue stained for YEATS2 using ab254895 at 1/500 dilution in immunohistochemical analysis.

Immunocytochemistry/ Immunofluorescence - Anti-YEATS2 antibody (AB254895)
  • ICC/IF

Unknown

Immunocytochemistry/ Immunofluorescence - Anti-YEATS2 antibody (AB254895)

PFA fixed, Triton X-100 permeabilized U-251 MG (Human brain glioma cell line) cells labeling YEATS2 using ab254895 at 4µg/ml (green) in ICC/IF.

Key facts

Host species

Rabbit

Clonality

Polyclonal

Isotype

IgG

Carrier free

No

Reacts with

Human

Applications

IHC-P, ICC/IF

applications

Immunogen

Recombinant Fragment Protein within Human YEATS2 aa 50-200. The exact immunogen used to generate this antibody is proprietary information.

Q9ULM3

Reactivity data

{ "title": "Reactivity Data", "filters": { "stats": ["", "Species", "Dilution Info", "Notes"], "tabs": { "all-applications": {"fullname" : "All Applications", "shortname": "All Applications"}, "IHCP" : {"fullname" : "Immunohistochemistry (Formalin/PFA-fixed paraffin-embedded sections)", "shortname":"IHC-P"}, "ICCIF" : {"fullname" : "Immunocytochemistry/ Immunofluorescence", "shortname":"ICC/IF"} }, "product-promise": { "all": "all", "testedAndGuaranteed": "tested", "guaranteed": "expected", "predicted": "predicted", "notRecommended": "not-recommended" } }, "values": { "Human": { "IHCP-species-checked": "testedAndGuaranteed", "IHCP-species-dilution-info": "1/500 - 1/1000", "IHCP-species-notes": "<p></p>", "ICCIF-species-checked": "testedAndGuaranteed", "ICCIF-species-dilution-info": "0.25-2 µg/mL", "ICCIF-species-notes": "<p>Fixation/Permeabilization: PFA/Triton X-100.</p>" } } }

Properties and storage information

Form
Liquid
Purification technique
Affinity purification Immunogen
Storage buffer
pH: 7.2 Preservative: 0.02% Sodium azide Constituents: PBS, 40% Glycerol (glycerin, glycerine)
Shipped at conditions
Blue Ice
Appropriate short-term storage duration
1-2 weeks
Appropriate short-term storage conditions
+4°C
Appropriate long-term storage conditions
-20°C
Aliquoting information
Upon delivery aliquot
Storage information
Avoid freeze / thaw cycle

Supplementary information

This supplementary information is collated from multiple sources and compiled automatically.

YEATS2 also called Gas41 is a protein with a molecular weight of approximately 53 kDa. YEATS2 is part of the YEATS domain-containing protein family known for binding acetylated lysine residues on histone tails. It exhibits widespread expression in various human tissues suggesting its involvement in basic cellular processes. Structurally YEATS2 acts as a reader of histone modifications which is important in the regulation of gene expression.
Biological function summary

YEATS2 has roles in chromatin remodeling and transcription regulation by being part of the Ada2/Gcn5/Ada3 (ATAC) complex. This multi-protein complex is involved in acetylation of histones a modification that influences chromatin structure and gene activity. By interacting with chromatin YEATS2 assists in the loosening of DNA so that transcription machinery can access the genetic code. Through these interactions YEATS2 is critical in activating certain genes during developmental and differentiation processes.

Pathways

YEATS2 is involved in the regulation of gene expression and the transcriptional coactivation pathways. It interacts closely within the ATAC complex with other proteins like GCN5 a well-known histone acetyltransferase influencing the transcription regulation pathway. Additionally YEATS2 overlaps with mechanisms that control cell cycle progression impacting how cells grow and replicate. It does not work in isolation but participates in a web of interactions that define gene expression outcomes.

Studies show YEATS2 involvement in specific cancer types like lung cancer due to its links with dysregulated gene expression. Disruptions in its function or expression levels may contribute to tumorigenesis through pathways involving proteins like BRD4 another key player in chromatin organization and transcription regulation. Changes in YEATS2 activity could impact cellular processes leading to altered cell growth and division which are hallmarks of cancerous growth.

Product protocols

For this product, it's our understanding that no specific protocols are required. You can visit:

Target data

Chromatin reader component of the ATAC complex, a complex with histone acetyltransferase activity on histones H3 and H4 (PubMed : 18838386, PubMed : 19103755, PubMed : 27103431). YEATS2 specifically recognizes and binds histone H3 crotonylated at 'Lys-27' (H3K27cr) (PubMed : 27103431). Crotonylation marks active promoters and enhancers and confers resistance to transcriptional repressors (PubMed : 27103431).
See full target information YEATS2

Publications (2)

Recent publications for all applications. Explore the full list and refine your search

Scientific reports 15:27613 PubMed40731114

2025

The value of acetylation reader YEATS2 in hepatocellular carcinoma management.

Applications

Unspecified application

Species

Unspecified reactive species

Yongjie Shi,Qiwen Xiao,Weichun Xiao,Jiale Kang,Qiang Zhou,Hongyun Jia,Yimei Chen,Sicong Huang

Cell reports 42:113099 PubMed37682711

2023

ATAC and SAGA co-activator complexes utilize co-translational assembly, but their cellular localization properties and functions are distinct.

Applications

Unspecified application

Species

Unspecified reactive species

Gizem Yayli,Andrea Bernardini,Paulina Karen Mendoza Sanchez,Elisabeth Scheer,Mylène Damilot,Karim Essabri,Bastien Morlet,Luc Negroni,Stéphane D Vincent,H T Marc Timmers,László Tora
View all publications

Product promise

We are committed to supporting your work with high-quality reagents, and we're here for you every step of the way. In the unlikely event that one of our products does not perform as expected, you're protected by our Product Promise.
For full details, please see our Terms & Conditions

Please note: All products are 'FOR RESEARCH USE ONLY. NOT FOR USE IN DIAGNOSTIC OR THERAPEUTIC PROCEDURES'.

For licensing inquiries, please contact partnerships@abcam.com