JavaScript is disabled in your browser. Please enable JavaScript to view this website.
AB152108

Anti-Yes1 antibody

Be the first to review this product! Submit a review

|

(1 Publication)

Rabbit Polyclonal Yes1 antibody. Suitable for WB, ICC/IF and reacts with Mouse, Human samples. Cited in 1 publication. Immunogen corresponding to Recombinant Fragment Protein within Human YES1 aa 200 to C-terminus.

View Alternative Names

YES, YES1, Tyrosine-protein kinase Yes, Proto-oncogene c-Yes, p61-Yes

3 Images
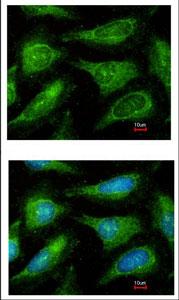
Immunocytochemistry/ Immunofluorescence - Anti-Yes1 antibody (AB152108)
  • ICC/IF

Unknown

Immunocytochemistry/ Immunofluorescence - Anti-Yes1 antibody (AB152108)

Immunofluorescence analysis of methanol-fixed HeLa cells labeling Yes1 using ab152108 at a 1/200 dilution. lower image is costained with hoechst 33342.

Western blot - Anti-Yes1 antibody (AB152108)
  • WB

Unknown

Western blot - Anti-Yes1 antibody (AB152108)

7.5% SDS PAGE

All lanes:

Western blot - Anti-Yes1 antibody (ab152108) at 1/1000 dilution

All lanes:

A431 whole cell lysate at 30 µg

Predicted band size: 60 kDa

false

Western blot - Anti-Yes1 antibody (AB152108)
  • WB

Supplier Data

Western blot - Anti-Yes1 antibody (AB152108)

Samples were separated by 7.5% SDS PAGE.

All lanes:

Western blot - Anti-Yes1 antibody (ab152108) at 1/500 dilution

Lane 1:

Neuro2a whole cell extracts at 30 µg

Lane 2:

C8D30 whole cell extracts at 30 µg

Lane 3:

NIH-3T3 whole cell extracts at 30 µg

Lane 4:

Raw264.7 whole cell extracts at 30 µg

Predicted band size: 61 kDa

false

Key facts

Host species

Rabbit

Clonality

Polyclonal

Isotype

IgG

Carrier free

No

Reacts with

Mouse, Human

Applications

WB, ICC/IF

applications

Immunogen

Recombinant Fragment Protein within Human YES1 aa 200 to C-terminus. The exact immunogen used to generate this antibody is proprietary information.

P07947

Reactivity data

{ "title": "Reactivity Data", "filters": { "stats": ["", "Species", "Dilution Info", "Notes"], "tabs": { "all-applications": {"fullname" : "All Applications", "shortname": "All Applications"}, "WB" : {"fullname" : "Western blot", "shortname":"WB"}, "ICCIF" : {"fullname" : "Immunocytochemistry/ Immunofluorescence", "shortname":"ICC/IF"} }, "product-promise": { "all": "all", "testedAndGuaranteed": "tested", "guaranteed": "expected", "predicted": "predicted", "notRecommended": "not-recommended" } }, "values": { "Human": { "WB-species-checked": "testedAndGuaranteed", "WB-species-dilution-info": "1/500 - 1/3000", "WB-species-notes": "<p></p>", "ICCIF-species-checked": "testedAndGuaranteed", "ICCIF-species-dilution-info": "1/100 - 1/1000", "ICCIF-species-notes": "<p></p>" }, "Mouse": { "WB-species-checked": "testedAndGuaranteed", "WB-species-dilution-info": "1/500 - 1/3000", "WB-species-notes": "<p></p>", "ICCIF-species-checked": "guaranteed", "ICCIF-species-dilution-info": "", "ICCIF-species-notes": "" }, "Chicken": { "WB-species-checked": "predicted", "WB-species-dilution-info": "", "WB-species-notes": "", "ICCIF-species-checked": "predicted", "ICCIF-species-dilution-info": "", "ICCIF-species-notes": "" }, "Cow": { "WB-species-checked": "predicted", "WB-species-dilution-info": "", "WB-species-notes": "", "ICCIF-species-checked": "predicted", "ICCIF-species-dilution-info": "", "ICCIF-species-notes": "" }, "Dog": { "WB-species-checked": "predicted", "WB-species-dilution-info": "", "WB-species-notes": "", "ICCIF-species-checked": "predicted", "ICCIF-species-dilution-info": "", "ICCIF-species-notes": "" }, "Xenopus laevis": { "WB-species-checked": "predicted", "WB-species-dilution-info": "", "WB-species-notes": "", "ICCIF-species-checked": "predicted", "ICCIF-species-dilution-info": "", "ICCIF-species-notes": "" }, "Xenopus tropicalis": { "WB-species-checked": "predicted", "WB-species-dilution-info": "", "WB-species-notes": "", "ICCIF-species-checked": "predicted", "ICCIF-species-dilution-info": "", "ICCIF-species-notes": "" }, "Zebrafish": { "WB-species-checked": "predicted", "WB-species-dilution-info": "", "WB-species-notes": "", "ICCIF-species-checked": "predicted", "ICCIF-species-dilution-info": "", "ICCIF-species-notes": "" } } }

Properties and storage information

Form
Liquid
Purification technique
Affinity purification Immunogen
Storage buffer
pH: 7 Preservative: 0.01% Thimerosal (merthiolate) Constituents: PBS, 20% Glycerol (glycerin, glycerine)
Shipped at conditions
Blue Ice
Appropriate short-term storage conditions
+4°C
Appropriate long-term storage conditions
-20°C
Aliquoting information
Upon delivery aliquot
Storage information
Avoid freeze / thaw cycle

Supplementary information

This supplementary information is collated from multiple sources and compiled automatically.

The Yes1 protein also known as p61-Yes is a member of the Src family kinases (SFKs) and has a molecular mass of approximately 61 kDa. This non-receptor tyrosine kinase engages in phosphorylation of tyrosine residues playing a significant role in cell signaling. It is widely expressed in many tissues including the brain heart and lungs suggesting its involvement in varied physiological processes.
Biological function summary

The Yes1 protein participates in cellular processes such as cell growth survival and differentiation. It contributes to signaling cascades that regulate these functions often working as part of protein complexes. Its ability to interact with various signaling molecules positions it as an important player in the control of cell behavior particularly in response to extracellular stimuli.

Pathways

The Yes1 protein integrates into key signaling routes like the epidermal growth factor receptor (EGFR) signaling pathway and the integrin signaling pathway. Within these pathways Yes1 interacts with proteins like c-Src and Fyn which are other members of the Src family. These pathways are vital in mediating cellular communication for growth and attachment highlighting Yes1's role in transmitting signals that prompt cellular responses.

Research connects Yes1 protein to several types of cancer such as colon cancer and breast cancer. The dysregulation of Yes1 along with associated proteins like c-Myc may lead to uncontrolled cell proliferation typical of tumorigenesis. Understanding these interactions offers insights into potential therapeutic targets as altering Yes1 activity might influence cancer progression or treatment outcomes.

Product protocols

For this product, it's our understanding that no specific protocols are required. You can visit:

Target data

Non-receptor protein tyrosine kinase that is involved in the regulation of cell growth and survival, apoptosis, cell-cell adhesion, cytoskeleton remodeling, and differentiation. Stimulation by receptor tyrosine kinases (RTKs) including EGFR, PDGFR, CSF1R and FGFR leads to recruitment of YES1 to the phosphorylated receptor, and activation and phosphorylation of downstream substrates. Upon EGFR activation, promotes the phosphorylation of PARD3 to favor epithelial tight junction assembly. Participates in the phosphorylation of specific junctional components such as CTNND1 by stimulating the FYN and FER tyrosine kinases at cell-cell contacts. Upon T-cell stimulation by CXCL12, phosphorylates collapsin response mediator protein 2/DPYSL2 and induces T-cell migration. Participates in CD95L/FASLG signaling pathway and mediates AKT-mediated cell migration. Plays a role in cell cycle progression by phosphorylating the cyclin-dependent kinase 4/CDK4 thus regulating the G1 phase. Also involved in G2/M progression and cytokinesis. Catalyzes phosphorylation of organic cation transporter OCT2 which induces its transport activity (PubMed : 26979622).
See full target information YES1

Publications (1)

Recent publications for all applications. Explore the full list and refine your search

Cancer cell international 18:166 PubMed30386175

2018

Prognostic value of Kindlin-2 expression in patients with solid tumors: a meta-analysis.

Applications

Unspecified application

Species

Unspecified reactive species

Sheng Liu,Sheng Chen,Kaige Ma,Zengwu Shao
View all publications

Product promise

We are committed to supporting your work with high-quality reagents, and we're here for you every step of the way. In the unlikely event that one of our products does not perform as expected, you're protected by our Product Promise.
For full details, please see our Terms & Conditions

Please note: All products are 'FOR RESEARCH USE ONLY. NOT FOR USE IN DIAGNOSTIC OR THERAPEUTIC PROCEDURES'.

For licensing inquiries, please contact partnerships@abcam.com