JavaScript is disabled in your browser. Please enable JavaScript to view this website.
AB255297

Anti-YKL-40/CHI3L1 antibody [EPR19078-157]

  • BOND RX™ Validated
  • RabMAb
  • Recombinant
  • KO Validated
  • What is this?

1

(1 Review)

|

(11 Publications)

Rabbit Recombinant Monoclonal YKL-40/CHI3L1 antibody. Suitable for WB, Flow Cyt (Intra), IHC-P and reacts with Human samples. Cited in 11 publications.

View Alternative Names

Chitinase-3-like protein 1, 39 kDa synovial protein, Cartilage glycoprotein 39, YKL-40, CGP-39, GP-39, hCGP-39, CHI3L1

6 Images
Flow Cytometry (Intracellular) - Anti-YKL-40/CHI3L1 antibody [EPR19078-157] (AB255297)
  • Flow Cyt (Intra)

Unknown

Flow Cytometry (Intracellular) - Anti-YKL-40/CHI3L1 antibody [EPR19078-157] (AB255297)

Intracellular flow cytometric analysis of 4% paraformaldehyde-fixed, 90% methanolpermeabilized THP-1 (human monocytic leukemia cell line) cells labelling YKL-40/CHI3L1 with ab255297 at 1/500 dilution (Red) compared with a Rabbit monoclonal IgG (ab172730, Black) isotype control and an unlabelled control (cells without incubation with primary antibody and secondary antibody) (Blue).

Goat anti rabbit IgG (Alexa Fluor® 488, ab150077) at 1/2000 dilution was used as the secondary antibody.

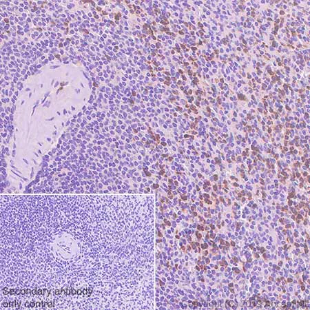
Immunohistochemistry (Formalin/PFA-fixed paraffin-embedded sections) - Anti-YKL-40/CHI3L1 antibody [EPR19078-157] (AB255297)
  • IHC-P

Unknown

Immunohistochemistry (Formalin/PFA-fixed paraffin-embedded sections) - Anti-YKL-40/CHI3L1 antibody [EPR19078-157] (AB255297)

Immunohistochemical analysis of paraffin-embedded human tonsil tissue labeling YKL-40/CHI3L1 with ab255297 at 1/250 dilution followed by a ready to use Rabbit specific IHC polymer detection kit HRP/DAB (ab209101). Positive staining on macrophages in human tonsil germinal center is observed. The section was incubated with ab255297 for 30 mins at room temperature. The immunostaining was performed on a Leica Biosystems BOND® RX instrument. Counterstained with Hematoxylin.

Heat mediated antigen retrieval with Tris-EDTA buffer (pH 9.0, epitope retrieval solution 2) for 20mins.

Secondary antibody only control : Used PBS instead of primary antibody, secondary antibody is ready to use Rabbit specific IHC polymer detection kit HRP/DAB (ab209101).

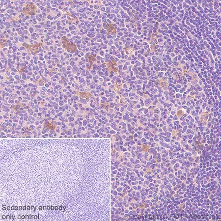
Immunohistochemistry (Formalin/PFA-fixed paraffin-embedded sections) - Anti-YKL-40/CHI3L1 antibody [EPR19078-157] (AB255297)
  • IHC-P

Unknown

Immunohistochemistry (Formalin/PFA-fixed paraffin-embedded sections) - Anti-YKL-40/CHI3L1 antibody [EPR19078-157] (AB255297)

Immunohistochemical analysis of paraffin-embedded human spleen tissue labeling YKL-40/CHI3L1 with ab255297 at 1/250 dilution followed by ready to use Rabbit specific IHC polymer detection kit HRP/DAB (ab209101). Positive staining on neutrophils of human spleen is observed.

The section was incubated with ab255297 for 30 mins at room temperature.

The immunostaining was performed on a Leica Biosystems BOND® RX instrument. Counterstained with Hematoxylin.

Heat mediated antigen retrieval with Tris-EDTA buffer (pH 9.0, epitope retrieval solution) for 20mins.

Secondary antibody only control : Used PBS instead of primary antibody, secondary antibody is ready to use Rabbit specific IHC polymer detection kit HRP/DAB (ab209101).

Western blot - Anti-YKL-40/CHI3L1 antibody [EPR19078-157] (AB255297)
  • WB

Lab

Western blot - Anti-YKL-40/CHI3L1 antibody [EPR19078-157] (AB255297)

False colour image of Western blot : Anti-YKL-40/CHI3L1 antibody [EPR19078-157] staining at 1/1000 dilution, shown in green; Mouse anti-Alpha Tubulin [DM1A] (ab7291) loading control staining at 1/20000 dilution, shown in red. In Western blot, ab255297 was shown to bind specifically to YKL-40/CHI3L1. A band was observed at 37/40 kDa in wild-type THP-1 cell lysates with no signal observed at this size in CHI3L1 knockout cell line ab280038 (knockout cell lysate ab280097). To generate this image, wild-type and CHI3L1 knockout THP-1 cell lysates were analysed. First, samples were run on an SDS-PAGE gel then transferred onto a nitrocellulose membrane. Membranes were blocked in 3 % milk in TBS-0.1 % Tween® 20 (TBS-T) before incubation with primary antibodies overnight at 4 °C. Blots were washed four times in TBS-T, incubated with secondary antibodies for 1 h at room temperature, washed again four times then imaged. Secondary antibodies used were Goat anti-Rabbit IgG H&L (IRDye® 800CW) preabsorbed (ab216773) and Goat anti-Mouse IgG H&L (IRDye® 680RD) preabsorbed (ab216776) at 1/20000 dilution.

All lanes:

Western blot - Anti-YKL-40/CHI3L1 antibody [EPR19078-157] (ab255297) at 1/1000 dilution

Lane 1:

Wild-type THP-1 cell lysate at 20 µg

Lane 2:

Western blot - Human CHI3L1 knockout THP-1 cell lysate (<a href='/en-us/products/cell-lysates/human-chi3l1-knockout-thp-1-cell-lysate-ab280097'>ab280097</a>) at 20 µg

Lane 3:

U-87 MG cell lysate at 20 µg

Lane 4:

Jurkat cell lysate at 20 µg

Secondary

Lanes 1 - 4:

Western blot - Goat anti-Rabbit IgG H&L (IRDye® 800CW) preadsorbed (<a href='/en-us/products/secondary-antibodies/goat-rabbit-igg-h-l-irdye-800cw-preadsorbed-ab216773'>ab216773</a>) at 1/20000 dilution

Lanes 1 - 4:

Western blot - Goat anti-Mouse IgG H&L (IRDye® 680RD) preadsorbed (<a href='/en-us/products/secondary-antibodies/goat-mouse-igg-h-l-irdye-680rd-preadsorbed-ab216776'>ab216776</a>) at 1/20000 dilution

Predicted band size: 43 kDa

Observed band size: 37 kDa,40 kDa,55 kDa

false

Western blot - Anti-YKL-40/CHI3L1 antibody [EPR19078-157] (AB255297)
  • WB

Lab

Western blot - Anti-YKL-40/CHI3L1 antibody [EPR19078-157] (AB255297)

Blocking/Diluting buffer and concentration : 5% NFDM/TBST.

The expression profile observed in 293T and Jurkat are consistent with the literature (PMID : 19767768,PMID : 16472595).

All lanes:

Western blot - Anti-YKL-40/CHI3L1 antibody [EPR19078-157] (ab255297) at 1/1000 dilution

Lane 1:

Human spleen tissue lysate at 20 µg

Lane 2:

THP-1 (Human monocytic leukemia monocyte) whole cell lysate at 20 µg

Lane 3:

U-87 MG ( Human glioblastoma-astrocytoma epithelial cell) whole cell lysate at 20 µg

Lane 4:

MG-63 (Human osteosarcoma fibroblast) whole cell lysate at 20 µg

Lane 5:

Caco-2 (Human colorectal adenocarcinoma epithelial cell) whole cell lysate at 20 µg

Lane 6:

293T (Human embryonic kidney epithelial cell) whole cell lysate at 20 µg

Lane 7:

Jurkat (Human T cell leukemia T lymphocyte) whole cell lysate at 20 µg

Secondary

All lanes:

Western blot - Goat Anti-Rabbit IgG H&L (HRP) (<a href='/en-us/products/secondary-antibodies/goat-rabbit-igg-h-l-hrp-ab97051'>ab97051</a>) at 1/20000 dilution

Predicted band size: 43 kDa

Observed band size: 27 kDa,42 kDa

false

Exposure time: 60s

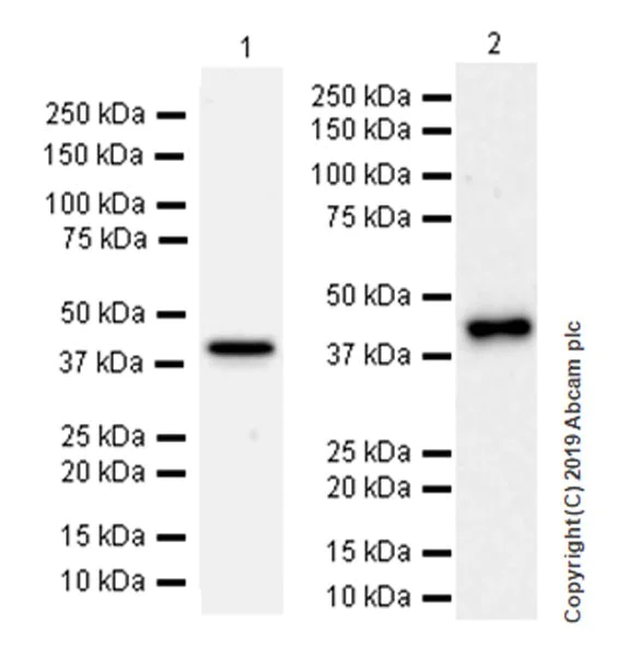
Western blot - Anti-YKL-40/CHI3L1 antibody [EPR19078-157] (AB255297)
  • WB

Unknown

Western blot - Anti-YKL-40/CHI3L1 antibody [EPR19078-157] (AB255297)

Blocking/Diluting buffer and concentration : 5% NFDM/TBST

Exposure time : 3 minutes

The molecular weight observed is consistent with what has been described in the literature (PMID 19414556).

All lanes:

Western blot - Anti-YKL-40/CHI3L1 antibody [EPR19078-157] (ab255297) at 1/1000 dilution

Lane 1:

Human spleen lysate at 20 µg

Lane 2:

THP-1 (human monocytic leukemia cell line) whole cell lysate at 20 µg

Secondary

Lane 1:

Western blot - VeriBlot for IP Detection Reagent (HRP) (<a href='/en-us/products/reagents/veriblot-for-ip-detection-reagent-hrp-ab131366'>ab131366</a>) at 1/1000 dilution

Lane 2:

Western blot - Goat Anti-Rabbit IgG H&L (HRP) (<a href='/en-us/products/secondary-antibodies/goat-rabbit-igg-h-l-hrp-ab97051'>ab97051</a>) at 1/20000 dilution

Predicted band size: 43 kDa

Observed band size: 42 kDa

false

  • Carrier free

    Anti-YKL-40/CHI3L1 antibody [EPR19078-157] - BSA and Azide free

Key facts

Host species

Rabbit

Clonality

Monoclonal

Clone number

EPR19078-157

Isotype

IgG

Carrier free

No

Reacts with

Human

Applications

IHC-P, Flow Cyt (Intra), WB

applications

Immunogen

The exact immunogen used to generate this antibody is proprietary information.

Reactivity data

{ "title": "Reactivity Data", "filters": { "stats": ["", "Species", "Dilution Info", "Notes"], "tabs": { "all-applications": {"fullname" : "All Applications", "shortname": "All Applications"}, "WB" : {"fullname" : "Western blot", "shortname":"WB"}, "ICCIF" : {"fullname" : "Immunocytochemistry/ Immunofluorescence", "shortname":"ICC/IF"}, "FlowCytIntra" : {"fullname" : "Flow Cytometry (Intracellular)", "shortname":"Flow Cyt (Intra)"}, "IHCP" : {"fullname" : "Immunohistochemistry (Formalin/PFA-fixed paraffin-embedded sections)", "shortname":"IHC-P"} }, "product-promise": { "all": "all", "testedAndGuaranteed": "tested", "guaranteed": "expected", "predicted": "predicted", "notRecommended": "not-recommended" } }, "values": { "Human": { "WB-species-checked": "testedAndGuaranteed", "WB-species-dilution-info": "1/1000", "WB-species-notes": "<p></p>", "ICCIF-species-checked": "notRecommended", "ICCIF-species-dilution-info": "", "ICCIF-species-notes": "<p></p>", "FlowCytIntra-species-checked": "testedAndGuaranteed", "FlowCytIntra-species-dilution-info": "1/500", "FlowCytIntra-species-notes": "<p></p>", "IHCP-species-checked": "testedAndGuaranteed", "IHCP-species-dilution-info": "1/250", "IHCP-species-notes": "<p></p>" } } }

Product details

Patented technology
Our RabMAb® technology is a patented hybridoma-based technology for making rabbit monoclonal antibodies. For details on our patents, please refer to RabMAb® patents.

What are the advantages of a recombinant monoclonal antibody?
This product is a recombinant monoclonal antibody, which offers several advantages including:

  • - High batch-to-batch consistency and reproducibility
  • - Improved sensitivity and specificity
  • - Long-term security of supply
  • - Animal-free batch production

For more information, read more on recombinant antibodies.

Properties and storage information

Form
Liquid
Purification technique
Affinity purification Protein A
Storage buffer
pH: 7.2 - 7.4 Preservative: 0.01% Sodium azide Constituents: PBS, 40% Glycerol (glycerin, glycerine), 0.05% BSA
Shipped at conditions
Blue Ice
Appropriate short-term storage duration
1-2 weeks
Appropriate short-term storage conditions
+4°C
Appropriate long-term storage conditions
-20°C
Aliquoting information
Upon delivery aliquot
Storage information
Avoid freeze / thaw cycle

Supplementary information

This supplementary information is collated from multiple sources and compiled automatically.

YKL-40 also known as chitinase-3-like protein 1 (CHI3L1) is a glycoprotein with a molecular weight of approximately 40 kDa. Scientists often study it for its roles in inflammatory processes. It has expressions in numerous tissues including liver cartilage and the central nervous system. The CHI3L1 protein does not possess chitinase activity unlike other members of the chitinase family yet it interacts with various ligands to influence cellular behavior.
Biological function summary

YKL-40 plays significant roles in tissue remodeling and inflammation. It does not form part of a larger complex by itself but influences several cellular processes. This protein affects cell proliferation migration and survival making it involved in both normal physiological processes and pathological conditions. CHI3L1 also exhibits a connection to the immune response where it modulates macrophage activity and interacts with other immune cells.

Pathways

YKL-40 is integral to the inflammatory and extracellular matrix pathways. It associates with proteins such as interleukin-6 (IL-6) and tumor necrosis factor-alpha (TNF-α) influencing signaling cascades that modulate inflammation. Through these interactions CHI3L1 becomes a mediator of connective tissue metabolism and immune reactions in various pathophysiological states.

YKL-40 shows strong links to conditions like osteoarthritis and certain cancers. In osteoarthritis elevated levels of CHI3L1 reflect increased cartilage degradation while in oncology it correlates with tumor angiogenesis and metastasis potential. Its connection with proteins such as matrix metalloproteinases highlights its role in disease mechanisms highlighting its potential as a biomarker for early detection and disease progression monitoring.

Product protocols

For this product, it's our understanding that no specific protocols are required. You can visit:

Target data

Carbohydrate-binding lectin with a preference for chitin. Has no chitinase activity. May play a role in tissue remodeling and in the capacity of cells to respond to and cope with changes in their environment. Plays a role in T-helper cell type 2 (Th2) inflammatory response and IL-13-induced inflammation, regulating allergen sensitization, inflammatory cell apoptosis, dendritic cell accumulation and M2 macrophage differentiation. Facilitates invasion of pathogenic enteric bacteria into colonic mucosa and lymphoid organs. Mediates activation of AKT1 signaling pathway and subsequent IL8 production in colonic epithelial cells. Regulates antibacterial responses in lung by contributing to macrophage bacterial killing, controlling bacterial dissemination and augmenting host tolerance. Also regulates hyperoxia-induced injury, inflammation and epithelial apoptosis in lung.
See full target information CHI3L1

Publications (11)

Recent publications for all applications. Explore the full list and refine your search

Hepatology research : the official journal of the Japan Society of Hepatology 55:1296-1306 PubMed40515742

2025

CXCL6 Is a Novel Biliary Marker and a Downstream Target of MMP7 in Biliary Atresia.

Applications

Unspecified application

Species

Unspecified reactive species

Fanyang Kong,Jingying Jiang,Min Du,Rui Dong,Gong Chen,Shan Zheng,Junfeng Wang

Annals of the rheumatic diseases 83:926-944 PubMed38325908

2024

Unveiling inflammatory and prehypertrophic cell populations as key contributors to knee cartilage degeneration in osteoarthritis using multi-omics data integration.

Applications

Unspecified application

Species

Unspecified reactive species

Yue Fan,Xuzhao Bian,Xiaogao Meng,Lei Li,Laiyi Fu,Yanan Zhang,Long Wang,Yan Zhang,Dalong Gao,Xiong Guo,Mikko Juhani Lammi,Guangdun Peng,Shiquan Sun

Frontiers in neuroscience 17:1198219 PubMed37483351

2023

The link between SARS-CoV-2 related microglial reactivity and astrocyte pathology in the inferior olivary nucleus.

Applications

Unspecified application

Species

Unspecified reactive species

Nacoya Madden,Ying Zi Jessy Mei,Kelly Jakubiak,Juncheng Li,Gunnar Hargus,James E Goldman,Osama Al-Dalahmah

Scientific reports 13:2831 PubMed36805000

2023

Inflammatory biomarkers, angiogenesis and lymphangiogenesis in epicardial adipose tissue correlate with coronary artery disease.

Applications

Unspecified application

Species

Unspecified reactive species

Yueqiao Si,Zengbin Feng,Yixiang Liu,Wenjun Fan,Weichao Shan,Ying Zhang,Fei Shi,Enhong Xing,Lixian Sun

The Journal of clinical investigation 132: PubMed36136587

2022

SIRT1 inactivation switches reactive astrocytes to an antiinflammatory phenotype in CNS autoimmunity.

Applications

Unspecified application

Species

Unspecified reactive species

Weifeng Zhang,Dan Xiao,Xing Li,Yuan Zhang,Javad Rasouli,Giacomo Casella,Alexandra Boehm,Daniel Hwang,Larissa Lw Ishikawa,Rodolfo Thome,Bogoljub Ciric,Mark T Curtis,Abdolmohamad Rostami,Guang-Xian Zhang

Aging 14:2720-2735 PubMed35332109

2022

Tumor-associated macrophages related signature in glioma.

Applications

Unspecified application

Species

Unspecified reactive species

Lin-Jian Wang,Yimeng Xue,Yongli Lou

Frontiers in medicine 9:854570 PubMed35280860

2022

Increased Levels of CHI3L1 and HA Are Associated With Higher Occurrence of Liver Damage in Patients With Obstructive Sleep Apnea.

Applications

Unspecified application

Species

Unspecified reactive species

Jingyao Cai,Xing Lyu,Peiying Huang,Shisheng Li,Ruohong Chen,Zhiyang Chen,Mei Sun,Ling Zeng,Fengxi Wu,Min Hu

Advanced science (Weinheim, Baden-Wurttemberg, Germany) 9:e2103631 PubMed34825784

2021

Single-Cell Transcriptome Profiling Reveals Multicellular Ecosystem of Nucleus Pulposus during Degeneration Progression.

Applications

Unspecified application

Species

Unspecified reactive species

Ji Tu,Wentian Li,Sidong Yang,Pengyi Yang,Qi Yan,Shenyu Wang,Kaitao Lai,Xupeng Bai,Cenhao Wu,Wenyuan Ding,Justin Cooper-White,Ashish Diwan,Cao Yang,Huilin Yang,Jun Zou

Proteomics. Clinical applications 16:e2100010 PubMed34791804

2021

Plasma proteome profiling using tandem mass tag labeling technology reveals potential biomarkers for Parkinson's disease: a preliminary study.

Applications

Unspecified application

Species

Unspecified reactive species

Yuan Zhao,Yidan Zhang,Jian Zhang,Guofeng Yang

Biomedicines 9: PubMed34572280

2021

Increased YKL-40 but Not C-Reactive Protein Levels in Patients with Alzheimer's Disease.

Applications

Unspecified application

Species

Unspecified reactive species

Víctor Antonio Blanco-Palmero,Marcos Rubio-Fernández,Desireé Antequera,Alberto Villarejo-Galende,José Antonio Molina,Isidro Ferrer,Fernando Bartolome,Eva Carro
View all publications

Product promise

We are committed to supporting your work with high-quality reagents, and we're here for you every step of the way. In the unlikely event that one of our products does not perform as expected, you're protected by our Product Promise.
For full details, please see our Terms & Conditions

Please note: All products are 'FOR RESEARCH USE ONLY. NOT FOR USE IN DIAGNOSTIC OR THERAPEUTIC PROCEDURES'.

For licensing inquiries, please contact partnerships@abcam.com