JavaScript is disabled in your browser. Please enable JavaScript to view this website.
AB305036

Anti-YKL-40/CHI3L1 antibody [EPR27396-56] - BSA and Azide free

Be the first to review this product! Submit a review

|

(0 Publication)

Rabbit Recombinant Monoclonal YKL-40/CHI3L1 antibody. Carrier free. Suitable for WB, IHC-P, ICC/IF, Flow Cyt (Intra) and reacts with Human samples.

View Alternative Names

Chitinase-3-like protein 1, 39 kDa synovial protein, Cartilage glycoprotein 39, YKL-40, CGP-39, GP-39, hCGP-39, CHI3L1

7 Images
Immunohistochemistry - Anti-YKL-40/CHI3L1 antibody [EPR27396-56] - BSA and Azide free (AB305036)
  • IHC

Supplier Data

Immunohistochemistry - Anti-YKL-40/CHI3L1 antibody [EPR27396-56] - BSA and Azide free (AB305036)

This data was developed using ab305035, the same antibody clone in a different buffer formulation. Immunohistochemical analysis of paraffin-embedded Human glioma tissue labeling YKL-40/CHI3L1 with ab305035 at 1/500 (1.092 ug/ml) followed by a ready to use LeicaDS9800 (Bond™ Polymer Refine Detection). Positive staining on human glioma. The section was incubated with ab305035 for 30 mins at room temperature.The immunostaining was performed on a Leica Biosystems BOND® RX instrument Counterstained with Hematoxylin. Secondary antibody only control : Secondary antibody is a ready to use LeicaDS9800 (Bond™ Polymer Refine Detection) was used. Heat mediated antigen retrieval was performed with Tris-EDTA buffer (pH 9.0, Epitope Retrieval Solution2) for 20 mins

Immunocytochemistry - Anti-YKL-40/CHI3L1 antibody [EPR27396-56] - BSA and Azide free (AB305036)
  • ICC

Supplier Data

Immunocytochemistry - Anti-YKL-40/CHI3L1 antibody [EPR27396-56] - BSA and Azide free (AB305036)

This data was developed using ab305035, the same antibody clone in a different buffer formulation. Immunofluorescent analysis of 4% Paraformaldehyde-fixed, 0.1% TritonX-100 permeabilized THP-1 (human monocytic leukemia monocyte) cells labelling YKL-40/CHI3L1 with ab305035 at 1/50 (10.92 ug/ml) dilution, followed by ab150081 Goat Anti-Rabbit IgG H&L (Alexa Fluor® 488) preadsorbed antibody at 1/1000 2 ug/ml dilution (Green). Confocal image showing cytoplasmic staining in THP-1 cell line.Negative control : A-204.The image was taken with a confocal microscope (Leica-Microsystems, TCS SP8). is observed. ab195889 Anti-alpha Tubulin mouse monoclonal antibody - Microtubule Marker (Alexa Fluor® 594) was used to counterstain tubulin at 1/200 2.5 ug/ml dilution (Red). The Nuclear counterstain was DAPI (Blue). Secondary antibody only control : Secondary antibody is ab150081 Goat Anti-Rabbit IgG H&L (Alexa Fluor® 488) preadsorbed at 1/1000 2 ug/ml dilution.

Flow Cytometry (Intracellular) - Anti-YKL-40/CHI3L1 antibody [EPR27396-56] - BSA and Azide free (AB305036)
  • Flow Cyt (Intra)

Supplier Data

Flow Cytometry (Intracellular) - Anti-YKL-40/CHI3L1 antibody [EPR27396-56] - BSA and Azide free (AB305036)

This data was developed using ab305035, the same antibody clone in a different buffer formulation. Flow cytometric analysis of 4% paraformaldehyde fixed 90% methanol permeabilized A-204 (human muscle rhabdomyosarcoma, Left) / THP-1 (human monocytic leukemia monocyte, Right) cells labelling YKL-40/CHI3L1 with ab305035 at 1/500 dilution (0.1ug) (Red) (Red) compared with a Rabbit monoclonal IgG (ab172730) (Black) isotype control and an unlabelled control (cells without incubation with primary antibody and secondary antibody) (Blue). A Goat Anti-Rabbit IgG (Alexa Fluor® 488, ab150081) at 1/2000 dilution was used as the secondary antibody. Negative control : A-204.

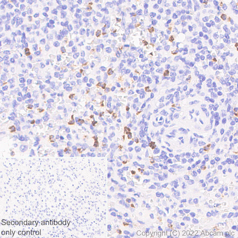
Immunohistochemistry - Anti-YKL-40/CHI3L1 antibody [EPR27396-56] - BSA and Azide free (AB305036)
  • IHC

Supplier Data

Immunohistochemistry - Anti-YKL-40/CHI3L1 antibody [EPR27396-56] - BSA and Azide free (AB305036)

This data was developed using ab305035, the same antibody clone in a different buffer formulation. Immunohistochemical analysis of paraffin-embedded Human spleen tissue labeling YKL-40/CHI3L1 with ab305035 at 1/500 (1.092 ug/ml) followed by a ready to use LeicaDS9800 (Bond™ Polymer Refine Detection). Positive staining on human spleen. The section was incubated with ab305035 for 30 mins at room temperature.The immunostaining was performed on a Leica Biosystems BOND® RX instrument Counterstained with Hematoxylin. Secondary antibody only control : Secondary antibody is a ready to use LeicaDS9800 (Bond™ Polymer Refine Detection) was used. Heat mediated antigen retrieval was performed with Tris-EDTA buffer (pH 9.0, Epitope Retrieval Solution2) for 20 mins

Western blot - Anti-YKL-40/CHI3L1 antibody [EPR27396-56] - BSA and Azide free (AB305036)
  • WB

Supplier Data

Western blot - Anti-YKL-40/CHI3L1 antibody [EPR27396-56] - BSA and Azide free (AB305036)

This data was developed using ab305035, the same antibody clone in a different buffer formulation.

Blocking and diluting buffer and concentration : 5% NFDM/TBST.

This blot was developed using a high sensitivity ECL substrate. The high-sensitivity ECL substrate used allows for the detection of proteins in the mid-femtogram range.

All lanes:

Western blot - Anti-YKL-40/CHI3L1 antibody [EPR27396-56] (<a href='/en-us/products/primary-antibodies/ykl-40-chi3l1-antibody-epr27396-56-ab305035'>ab305035</a>) at 1/1000 dilution

Lane 1:

Human tonsil tissue lysate at 20 µg

Lane 2:

Human spleen tissue lysate at 20 µg

Secondary

All lanes:

Western blot - Goat Anti-Rabbit IgG H&L (HRP) (<a href='/en-us/products/secondary-antibodies/goat-rabbit-igg-h-l-hrp-ab97051'>ab97051</a>) at 1/100000 dilution

Predicted band size: 43 kDa

Observed band size: 42 kDa

true

Exposure time: 180s

Western blot - Anti-YKL-40/CHI3L1 antibody [EPR27396-56] - BSA and Azide free (AB305036)
  • WB

Supplier Data

Western blot - Anti-YKL-40/CHI3L1 antibody [EPR27396-56] - BSA and Azide free (AB305036)

This data was developed using ab305035, the same antibody clone in a different buffer formulation. Blocking and diluting buffer and concentration : 5% NFDM/TBST This antibody does not cross-react with human CHIT1 or CHI3L2. Exposure time : 8 seconds

All lanes:

Western blot - Anti-YKL-40/CHI3L1 antibody [EPR27396-56] (<a href='/en-us/products/primary-antibodies/ykl-40-chi3l1-antibody-epr27396-56-ab305035'>ab305035</a>) at 1/1000 dilution

Lane 1:

Human CHI3L1 recombinant protein (No tag, aa22-383) at 10 ng

Lane 2:

293T transfected with human CHITI (aa 22-466) expression vector containing a His-tag, whole cell lysate at 20 µg

Lane 3:

293T transfected with human CHI3L2 (aa 27-390) expression vector containing a His-tag, whole cell lysate at 20 µg

Secondary

All lanes:

Western blot - Goat Anti-Rabbit IgG H&L (HRP) (<a href='/en-us/products/secondary-antibodies/goat-rabbit-igg-h-l-hrp-ab97051'>ab97051</a>) at 1/100000 dilution

Predicted band size: 43 kDa

Observed band size: 42 kDa

false

Exposure time: 8s

Western blot - Anti-YKL-40/CHI3L1 antibody [EPR27396-56] - BSA and Azide free (AB305036)
  • WB

Supplier Data

Western blot - Anti-YKL-40/CHI3L1 antibody [EPR27396-56] - BSA and Azide free (AB305036)

This data was developed using ab305035, the same antibody clone in a different buffer formulation. Blocking and diluting buffer and concentration : 5% NFDM/TBST Negative controls : A-204, Jurkat (PMID : 16472595) Exposure time : 48 seconds

All lanes:

Western blot - Anti-YKL-40/CHI3L1 antibody [EPR27396-56] (<a href='/en-us/products/primary-antibodies/ykl-40-chi3l1-antibody-epr27396-56-ab305035'>ab305035</a>) at 1/1000 dilution

Lane 1:

THP-1 (human monocytic leukemia monocyte), whole cell lysate at 20 µg

Lane 2:

A-204 (human muscle rhabdomyosarcoma cell), whole cell lysate at 20 µg

Lane 3:

Jurkat (human T cell leukemia T lymphocyte), whole cell lysate at 20 µg

Secondary

All lanes:

Western blot - Goat Anti-Rabbit IgG H&L (HRP) (<a href='/en-us/products/secondary-antibodies/goat-rabbit-igg-h-l-hrp-ab97051'>ab97051</a>) at 1/100000 dilution

Predicted band size: 43 kDa

Observed band size: 42 kDa

false

Exposure time: 48s

Key facts

Host species

Rabbit

Clonality

Monoclonal

Clone number

EPR27396-56

Isotype

IgG

Carrier free

Yes

Reacts with

Human

Applications

IHC-P, WB, ICC/IF, Flow Cyt (Intra)

applications

Immunogen

The exact immunogen used to generate this antibody is proprietary information.

Reactivity data

{ "title": "Reactivity Data", "filters": { "stats": ["", "Species", "Dilution Info", "Notes"], "tabs": { "all-applications": {"fullname" : "All Applications", "shortname": "All Applications"}, "WB" : {"fullname" : "Western blot", "shortname":"WB"}, "IHCP" : {"fullname" : "Immunohistochemistry (Formalin/PFA-fixed paraffin-embedded sections)", "shortname":"IHC-P"}, "IHCFr" : {"fullname" : "Immunohistochemistry (Frozen sections)", "shortname":"IHC-Fr"}, "ICCIF" : {"fullname" : "Immunocytochemistry/ Immunofluorescence", "shortname":"ICC/IF"}, "FlowCytIntra" : {"fullname" : "Flow Cytometry (Intracellular)", "shortname":"Flow Cyt (Intra)"}, "IP" : {"fullname" : "Immunoprecipitation", "shortname":"IP"} }, "product-promise": { "all": "all", "testedAndGuaranteed": "tested", "guaranteed": "expected", "predicted": "predicted", "notRecommended": "not-recommended" } }, "values": { "Human": { "WB-species-checked": "testedAndGuaranteed", "WB-species-dilution-info": "", "WB-species-notes": "<p></p>", "IHCP-species-checked": "testedAndGuaranteed", "IHCP-species-dilution-info": "", "IHCP-species-notes": "<p></p>", "IHCFr-species-checked": "notRecommended", "IHCFr-species-dilution-info": "", "IHCFr-species-notes": "", "ICCIF-species-checked": "testedAndGuaranteed", "ICCIF-species-dilution-info": "", "ICCIF-species-notes": "<p></p>", "FlowCytIntra-species-checked": "testedAndGuaranteed", "FlowCytIntra-species-dilution-info": "", "FlowCytIntra-species-notes": "<p></p>", "IP-species-checked": "notRecommended", "IP-species-dilution-info": "", "IP-species-notes": "<p></p>" }, "Mouse": { "WB-species-checked": "notRecommended", "WB-species-dilution-info": "", "WB-species-notes": "<p></p>", "IHCP-species-checked": "notRecommended", "IHCP-species-dilution-info": "", "IHCP-species-notes": "<p></p>", "IHCFr-species-checked": "notRecommended", "IHCFr-species-dilution-info": "", "IHCFr-species-notes": "<p></p>", "ICCIF-species-checked": "notRecommended", "ICCIF-species-dilution-info": "", "ICCIF-species-notes": "<p></p>", "FlowCytIntra-species-checked": "notRecommended", "FlowCytIntra-species-dilution-info": "", "FlowCytIntra-species-notes": "<p></p>", "IP-species-checked": "notRecommended", "IP-species-dilution-info": "", "IP-species-notes": "" }, "Rat": { "WB-species-checked": "notRecommended", "WB-species-dilution-info": "", "WB-species-notes": "<p></p>", "IHCP-species-checked": "notRecommended", "IHCP-species-dilution-info": "", "IHCP-species-notes": "<p></p>", "IHCFr-species-checked": "notRecommended", "IHCFr-species-dilution-info": "", "IHCFr-species-notes": "", "ICCIF-species-checked": "notRecommended", "ICCIF-species-dilution-info": "", "ICCIF-species-notes": "", "FlowCytIntra-species-checked": "notRecommended", "FlowCytIntra-species-dilution-info": "", "FlowCytIntra-species-notes": "", "IP-species-checked": "notRecommended", "IP-species-dilution-info": "", "IP-species-notes": "" } } }

Product details

Patented technology
Our RabMAb® technology is a patented hybridoma-based technology for making rabbit monoclonal antibodies. For details on our patents, please refer to RabMAb® patents.

What are the advantages of a recombinant monoclonal antibody?
This product is a recombinant monoclonal antibody, which offers several advantages including:

  • - High batch-to-batch consistency and reproducibility
  • - Improved sensitivity and specificity
  • - Long-term security of supply
  • - Animal-free batch production

For more information, read more on recombinant antibodies.

Conjugation ready
Our carrier-free antibodies are typically supplied in a PBS-only formulation, purified and free of BSA, sodium azide and glycerol. This conjugation-ready format is designed for use with fluorochromes, metal isotopes, oligonucleotides, and enzymes, which makes them ideal for antibody labelling, functional and cell-based assays, flow-based assays (e.g. mass cytometry) and Multiplex Imaging applications.

Use our conjugation kits for antibody conjugates that are ready-to-use in as little as 20 minutes with 1 minute hands-on-time and 100% antibody recovery: available for fluorescent dyes, HRP, biotin and gold.

Compatibility
This product is compatible with the Maxpar® Antibody Labeling Kit from Fluidigm, without the need for antibody preparation. Maxpar® is a trademark of Fluidigm Canada Inc.

Properties and storage information

Form
Liquid
Purification technique
Affinity purification Protein A
Storage buffer
pH: 7.2 - 7.4 Constituents: PBS
Shipped at conditions
Blue Ice
Appropriate short-term storage conditions
+4°C
Appropriate long-term storage conditions
+4°C

Supplementary information

This supplementary information is collated from multiple sources and compiled automatically.

YKL-40 also known as chitinase-3-like protein 1 (CHI3L1) is a glycoprotein with a molecular weight of approximately 40 kDa. Scientists often study it for its roles in inflammatory processes. It has expressions in numerous tissues including liver cartilage and the central nervous system. The CHI3L1 protein does not possess chitinase activity unlike other members of the chitinase family yet it interacts with various ligands to influence cellular behavior.
Biological function summary

YKL-40 plays significant roles in tissue remodeling and inflammation. It does not form part of a larger complex by itself but influences several cellular processes. This protein affects cell proliferation migration and survival making it involved in both normal physiological processes and pathological conditions. CHI3L1 also exhibits a connection to the immune response where it modulates macrophage activity and interacts with other immune cells.

Pathways

YKL-40 is integral to the inflammatory and extracellular matrix pathways. It associates with proteins such as interleukin-6 (IL-6) and tumor necrosis factor-alpha (TNF-α) influencing signaling cascades that modulate inflammation. Through these interactions CHI3L1 becomes a mediator of connective tissue metabolism and immune reactions in various pathophysiological states.

YKL-40 shows strong links to conditions like osteoarthritis and certain cancers. In osteoarthritis elevated levels of CHI3L1 reflect increased cartilage degradation while in oncology it correlates with tumor angiogenesis and metastasis potential. Its connection with proteins such as matrix metalloproteinases highlights its role in disease mechanisms highlighting its potential as a biomarker for early detection and disease progression monitoring.

Product protocols

For this product, it's our understanding that no specific protocols are required. You can visit:

Target data

Carbohydrate-binding lectin with a preference for chitin. Has no chitinase activity. May play a role in tissue remodeling and in the capacity of cells to respond to and cope with changes in their environment. Plays a role in T-helper cell type 2 (Th2) inflammatory response and IL-13-induced inflammation, regulating allergen sensitization, inflammatory cell apoptosis, dendritic cell accumulation and M2 macrophage differentiation. Facilitates invasion of pathogenic enteric bacteria into colonic mucosa and lymphoid organs. Mediates activation of AKT1 signaling pathway and subsequent IL8 production in colonic epithelial cells. Regulates antibacterial responses in lung by contributing to macrophage bacterial killing, controlling bacterial dissemination and augmenting host tolerance. Also regulates hyperoxia-induced injury, inflammation and epithelial apoptosis in lung.
See full target information CHI3L1

Product promise

We are committed to supporting your work with high-quality reagents, and we're here for you every step of the way. In the unlikely event that one of our products does not perform as expected, you're protected by our Product Promise.
For full details, please see our Terms & Conditions

Please note: All products are 'FOR RESEARCH USE ONLY. NOT FOR USE IN DIAGNOSTIC OR THERAPEUTIC PROCEDURES'.

For licensing inquiries, please contact partnerships@abcam.com