JavaScript is disabled in your browser. Please enable JavaScript to view this website.
AB324461

Anti-YKL-40/CHI3L1 antibody [EPR29069-26] - BSA and Azide free

Be the first to review this product! Submit a review

|

(0 Publication)

Rabbit Recombinant Monoclonal YKL-40/CHI3L1 antibody. Carrier free. Suitable for IHC-Fr, IHC-P and reacts with Mouse samples.

View Alternative Names

Brp39, Chil1, Chi3l1, Chitinase-3-like protein 1, BRP39 protein, Breast regression protein 39, Cartilage glycoprotein 39, CGP-39, GP-39

10 Images
Immunohistochemistry (Formalin/PFA-fixed paraffin-embedded sections) - Anti-YKL-40/CHI3L1 antibody [EPR29069-26] - BSA and Azide free (AB324461)
  • IHC-P

Supplier Data

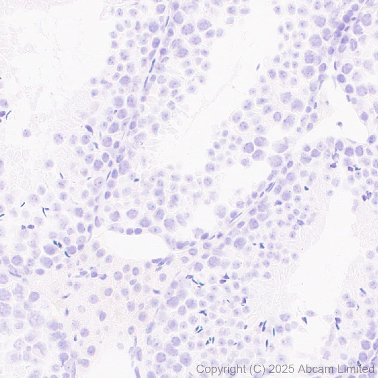
Immunohistochemistry (Formalin/PFA-fixed paraffin-embedded sections) - Anti-YKL-40/CHI3L1 antibody [EPR29069-26] - BSA and Azide free (AB324461)

This data was developed using ab324383, the same antibody clone in a different buffer formulation.

Immunohistochemical analysis of paraffin-embedded Mouse testis tissue labeling YKL-40/CHI3L1 with ab324383 at 1/4000 (0.116 ug/ml) dilution, followed by a ready to use LeicaDS9800 (Bond™ Polymer Refine Detection).

Negative control : no staining on mouse testis. The primary antibody was incubated for 30 mins at room temperature.
The immunostaining was performed on a Leica BiosystemsBOND® RX instrument. Incubate slides with 3% Hydrogen Peroxide for 10 mins at room temperature after secondary antibody incubation to reduce the background.

Counterstained with Hematoxylin.

Secondary antibody only control : Secondary antibody is a ready to use LeicaDS9800 (Bond™ Polymer Refine Detection).

Heat mediated antigen retrieval was performed with Tris-EDTA buffer (pH 9.0, Epitope Retrieval Solution2) for 20 mins

Immunohistochemistry (Frozen sections) - Anti-YKL-40/CHI3L1 antibody [EPR29069-26] - BSA and Azide free (AB324461)
  • IHC-Fr

Supplier Data

Immunohistochemistry (Frozen sections) - Anti-YKL-40/CHI3L1 antibody [EPR29069-26] - BSA and Azide free (AB324461)

This data was developed using ab324383, the same antibody clone in a different buffer formulation.

Immunohistochemical analysis of 4% PFA-fixed, 0.2% Triton X-100 permeabilized frozen Mouse heart (perfused fixed) tissue labeling YKL-40/CHI3L1 with ab324383 at 1/500 (0.926 ug/ml) dilution followed by ab150081 Goat Anti-Rabbit IgG H&L (Alexa Fluor® 488) preadsorbed at 1/1000 2 ug/mL dilution (Green).

Low expression : confocal image showing no staining on mouse heart. The nuclear counterstain was DAPI (Blue). The section was incubated with the primary antibody for 60 mins at room temperature. The section was then mounted using Fluoromount®. The immunostaining was performed on a Leica Biosystems BOND® RX instrument. Image was taken with a confocal microscope (Leica-Microsystems, TCS SP8).

Secondary antibody control : Secondary antibody is ab150081 Goat Anti-Rabbit IgG H&L (Alexa Fluor® 488) preadsorbedat 1/1000 2 ug/mL dilution.

Heat mediated antigen retrieval using sodium citrate buffer (10mM citrate pH 6.0 + 0.05% Tween-20)

Immunohistochemistry (Frozen sections) - Anti-YKL-40/CHI3L1 antibody [EPR29069-26] - BSA and Azide free (AB324461)
  • IHC-Fr

Supplier Data

Immunohistochemistry (Frozen sections) - Anti-YKL-40/CHI3L1 antibody [EPR29069-26] - BSA and Azide free (AB324461)

This data was developed using ab324383, the same antibody clone in a different buffer formulation.

Immunohistochemical analysis of 4% PFA-fixed, 0.2% Triton X-100 permeabilized frozen Mouse spleen (perfused fixed) tissue labeling YKL-40/CHI3L1 with ab324383 at 1/500 (0.926 ug/ml) dilution followed by ab150081 Goat Anti-Rabbit IgG H&L (Alexa Fluor® 488) preadsorbed at 1/1000 2 ug/mL dilution (Green).

Confocal image showing positive staining on mouse spleen. The nuclear counterstain was DAPI (Blue). The section was incubated with the primary antibody for 60 mins at room temperature. The section was then mounted using Fluoromount®. The immunostaining was performed on a Leica Biosystems BOND® RX instrument. Image was taken with a confocal microscope (Leica-Microsystems, TCS SP8).

Secondary antibody control : Secondary antibody is ab150081 Goat Anti-Rabbit IgG H&L (Alexa Fluor® 488) preadsorbedat 1/1000 2 ug/mL dilution.

Heat mediated antigen retrieval using sodium citrate buffer (10mM citrate pH 6.0 + 0.05% Tween-20)

Immunohistochemistry (Formalin/PFA-fixed paraffin-embedded sections) - Anti-YKL-40/CHI3L1 antibody [EPR29069-26] - BSA and Azide free (AB324461)
  • IHC-P

Supplier Data

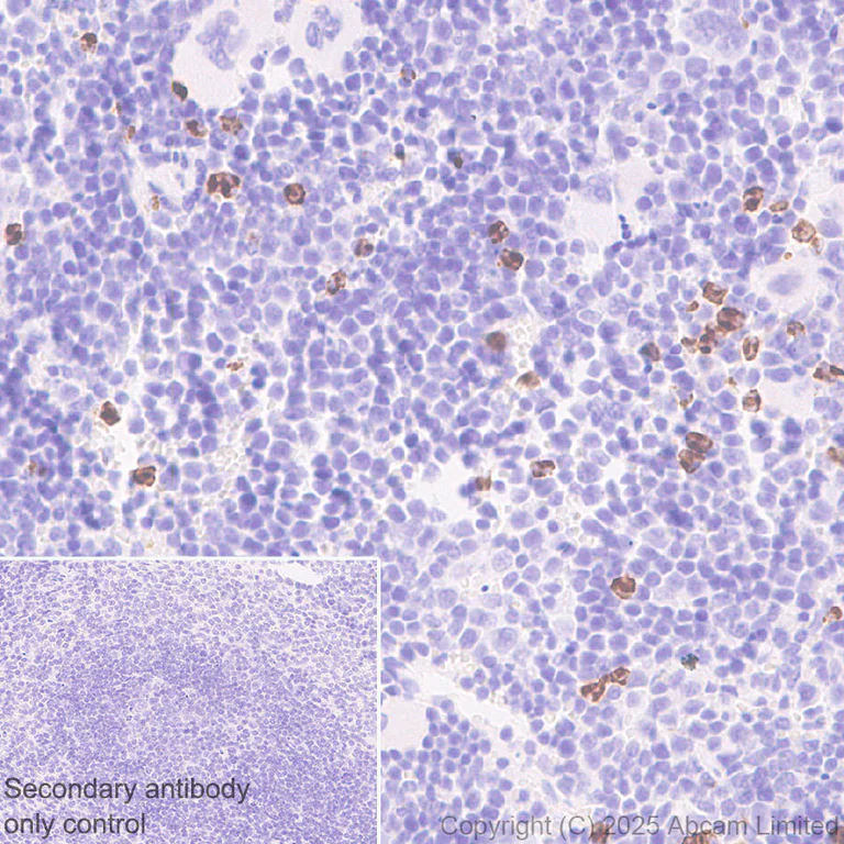
Immunohistochemistry (Formalin/PFA-fixed paraffin-embedded sections) - Anti-YKL-40/CHI3L1 antibody [EPR29069-26] - BSA and Azide free (AB324461)

This data was developed using ab324383, the same antibody clone in a different buffer formulation.

Immunohistochemical analysis of paraffin-embedded Mouse spleen tissue labeling YKL-40/CHI3L1 with ab324383 at 1/4000 (0.116 ug/ml) dilution, followed by a ready to use LeicaDS9800 (Bond™ Polymer Refine Detection).

Positive staining on mouse spleen. The primary antibody was incubated for 30 mins at room temperature.
The immunostaining was performed on a Leica Biosystems BOND® RX instrument. Incubate slides with 3% Hydrogen Peroxide for 10 mins at room temperature after secondary antibody incubation to reduce the background.

Counterstained with Hematoxylin.

Secondary antibody only control : Secondary antibody is a ready to use LeicaDS9800 (Bond™ Polymer Refine Detection).

Heat mediated antigen retrieval was performed with Tris-EDTA buffer (pH 9.0, Epitope Retrieval Solution2) for 20 mins

Immunohistochemistry (Formalin/PFA-fixed paraffin-embedded sections) - Anti-YKL-40/CHI3L1 antibody [EPR29069-26] - BSA and Azide free (AB324461)
  • IHC-P

Supplier Data

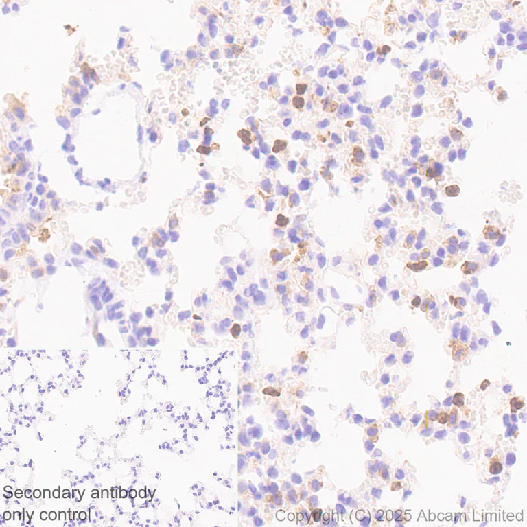
Immunohistochemistry (Formalin/PFA-fixed paraffin-embedded sections) - Anti-YKL-40/CHI3L1 antibody [EPR29069-26] - BSA and Azide free (AB324461)

This data was developed using ab324383, the same antibody clone in a different buffer formulation.

Immunohistochemical analysis of paraffin-embedded Mouse lung tissue labeling YKL-40/CHI3L1 with ab324383 at 1/4000 (0.116 ug/ml) dilution, followed by a ready to use LeicaDS9800 (Bond™ Polymer Refine Detection).

Positive staining on immune cells in the mouse lung. The primary antibody was incubated for 30 mins at room temperature.
The immunostaining was performed on a Leica Biosystems BOND® RX instrument. Incubate slides with 3% Hydrogen Peroxide for 10 mins at room temperature after secondary antibody incubation to reduce the background.

Counterstained with Hematoxylin.

Secondary antibody only control : Secondary antibody is a ready to use LeicaDS9800 (Bond™ Polymer Refine Detection).

Heat mediated antigen retrieval was performed with Tris-EDTA buffer (pH 9.0, Epitope Retrieval Solution2) for 20 mins

Immunohistochemistry (Frozen sections) - Anti-YKL-40/CHI3L1 antibody [EPR29069-26] - BSA and Azide free (AB324461)
  • IHC-Fr

Supplier Data

Immunohistochemistry (Frozen sections) - Anti-YKL-40/CHI3L1 antibody [EPR29069-26] - BSA and Azide free (AB324461)

This data was developed using ab324383, the same antibody clone in a different buffer formulation.

Immunohistochemical analysis of 4% PFA-fixed, 0.2% Triton X-100 permeabilized frozen Mouse lung (perfused fixed) tissue labeling YKL-40/CHI3L1 with ab324383 at 1/500 (0.926 ug/ml) dilution followed by ab150081 Goat Anti-Rabbit IgG H&L (Alexa Fluor® 488) preadsorbed at 1/1000 2 ug/mL dilution (Green).

Confocal image showing positive staining on mouse lung. The nuclear counterstain was DAPI (Blue). The section was incubated with the primary antibody for 60 mins at room temperature. The section was then mounted using Fluoromount®. The immunostaining was performed on a Leica Biosystems BOND® RX instrument. Image was taken with a confocal microscope (Leica-Microsystems, TCS SP8).

Secondary antibody control : Secondary antibody is ab150081 Goat Anti-Rabbit IgG H&L (Alexa Fluor® 488) preadsorbedat 1/1000 2 ug/mL dilution.

Heat mediated antigen retrieval using sodium citrate buffer (10mM citrate pH 6.0 + 0.05% Tween-20)

Immunohistochemistry (Frozen sections) - Anti-YKL-40/CHI3L1 antibody [EPR29069-26] - BSA and Azide free (AB324461)
  • IHC-Fr

Supplier Data

Immunohistochemistry (Frozen sections) - Anti-YKL-40/CHI3L1 antibody [EPR29069-26] - BSA and Azide free (AB324461)

This data was developed using ab324383, the same antibody clone in a different buffer formulation.

Immunohistochemical analysis of 4% PFA-fixed, 0.2% Triton X-100 permeabilized frozen Mouse pancreas (perfused fixed) tissue labeling YKL-40/CHI3L1 with ab324383 at 1/500 (0.926 ug/ml) dilution followed by ab150081 Goat Anti-Rabbit IgG H&L (Alexa Fluor® 488) preadsorbed at 1/1000 2 ug/mL dilution (Green).

Negative control : confocal image showing no staining on mouse pancreas. The nuclear counterstain was DAPI (Blue). The section was incubated with the primary antibody for 60 mins at room temperature. The section was then mounted using Fluoromount®. The immunostaining was performed on a Leica Biosystems BOND® RX instrument. Image was taken with a confocal microscope (Leica-Microsystems, TCS SP8).

Secondary antibody control : Secondary antibody is ab150081 Goat Anti-Rabbit IgG H&L (Alexa Fluor® 488) preadsorbedat 1/1000 2 ug/mL dilution.

Heat mediated antigen retrieval using sodium citrate buffer (10mM citrate pH 6.0 + 0.05% Tween-20)

Immunohistochemistry (Frozen sections) - Anti-YKL-40/CHI3L1 antibody [EPR29069-26] - BSA and Azide free (AB324461)
  • IHC-Fr

Supplier Data

Immunohistochemistry (Frozen sections) - Anti-YKL-40/CHI3L1 antibody [EPR29069-26] - BSA and Azide free (AB324461)

This data was developed using ab324383, the same antibody clone in a different buffer formulation.

Immunohistochemical analysis of 4% PFA-fixed, 0.2% Triton X-100 permeabilized frozen Mouse tesits (perfused fixed) tissue labeling YKL-40/CHI3L1 with ab324383 at 1/500 (0.926 ug/ml) dilution followed by ab150081 Goat Anti-Rabbit IgG H&L (Alexa Fluor® 488) preadsorbed at 1/1000 2 ug/mL dilution (Green).

Negative control : confocal image showing no staining on mouse tesitis. The nuclear counterstain was DAPI (Blue). The section was incubated with the primary antibody for 60 mins at room temperature. The section was then mounted using Fluoromount®. The immunostaining was performed on a Leica Biosystems BOND® RX instrument. Image was taken with a confocal microscope (Leica-Microsystems, TCS SP8).

Secondary antibody control : Secondary antibody is ab150081 Goat Anti-Rabbit IgG H&L (Alexa Fluor® 488) preadsorbedat 1/1000 2 ug/mL dilution.

Heat mediated antigen retrieval using sodium citrate buffer (10mM citrate pH 6.0 + 0.05% Tween-20)

Immunohistochemistry (Frozen sections) - Anti-YKL-40/CHI3L1 antibody [EPR29069-26] - BSA and Azide free (AB324461)
  • IHC-Fr

Supplier Data

Immunohistochemistry (Frozen sections) - Anti-YKL-40/CHI3L1 antibody [EPR29069-26] - BSA and Azide free (AB324461)

This data was developed using ab324383, the same antibody clone in a different buffer formulation.

Immunohistochemical analysis of 4% PFA-fixed, 0.2% Triton X-100 permeabilized frozen Mouse colon (perfused fixed) tissue labeling YKL-40/CHI3L1 with ab324383 at 1/500 (0.926 ug/ml) dilution followed by ab150081 Goat Anti-Rabbit IgG H&L (Alexa Fluor® 488) preadsorbed at 1/1000 2 ug/mL dilution (Green).

Negative control : confocal image showing no staining on mouse colon (PMID : 22056877). The nuclear counterstain was DAPI (Blue). The section was incubated with the primary antibody for 60 mins at room temperature. The section was then mounted using Fluoromount®. The immunostaining was performed on a Leica Biosystems BOND® RX instrument. Image was taken with a confocal microscope (Leica-Microsystems, TCS SP8).

Secondary antibody control : Secondary antibody is ab150081 Goat Anti-Rabbit IgG H&L (Alexa Fluor® 488) preadsorbedat 1/1000 2 ug/mL dilution.

Heat mediated antigen retrieval using sodium citrate buffer (10mM citrate pH 6.0 + 0.05% Tween-20)

Immunohistochemistry (Formalin/PFA-fixed paraffin-embedded sections) - Anti-YKL-40/CHI3L1 antibody [EPR29069-26] - BSA and Azide free (AB324461)
  • IHC-P

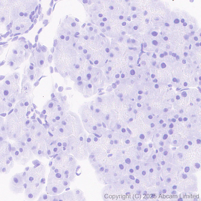
Supplier Data

Immunohistochemistry (Formalin/PFA-fixed paraffin-embedded sections) - Anti-YKL-40/CHI3L1 antibody [EPR29069-26] - BSA and Azide free (AB324461)

This data was developed using ab324383, the same antibody clone in a different buffer formulation.

Immunohistochemical analysis of paraffin-embedded Mouse pancreas tissue labeling YKL-40/CHI3L1 with ab324383 at 1/4000 (0.116 ug/ml) dilution, followed by a ready to use LeicaDS9800 (Bond™ Polymer Refine Detection).

Negative control : no staining on mouse pancreas. The primary antibody was incubated for 30 mins at room temperature.
The immunostaining was performed on a Leica Biosystems BOND® RX instrument. Incubate slides with 3% Hydrogen Peroxide for 10 mins at room temperature after secondary antibody incubation to reduce the background.

Counterstained with Hematoxylin.

Secondary antibody only control : Secondary antibody is a ready to use LeicaDS9800 (Bond™ Polymer Refine Detection).

Heat mediated antigen retrieval was performed with Tris-EDTA buffer (pH 9.0, Epitope Retrieval Solution2) for 20 mins

Key facts

Host species

Rabbit

Clonality

Monoclonal

Clone number

EPR29069-26

Isotype

IgG

Carrier free

Yes

Reacts with

Mouse

Applications

IHC-Fr, IHC-P

applications

Immunogen

The exact immunogen used to generate this antibody is proprietary information.

Reactivity data

{ "title": "Reactivity Data", "filters": { "stats": ["", "Species", "Dilution Info", "Notes"], "tabs": { "all-applications": {"fullname" : "All Applications", "shortname": "All Applications"}, "IHCFr" : {"fullname" : "Immunohistochemistry (Frozen sections)", "shortname":"IHC-Fr"}, "IHCP" : {"fullname" : "Immunohistochemistry (Formalin/PFA-fixed paraffin-embedded sections)", "shortname":"IHC-P"} }, "product-promise": { "all": "all", "testedAndGuaranteed": "tested", "guaranteed": "expected", "predicted": "predicted", "notRecommended": "not-recommended" } }, "values": { "Human": { "IHCFr-species-checked": "notRecommended", "IHCFr-species-dilution-info": "", "IHCFr-species-notes": "", "IHCP-species-checked": "notRecommended", "IHCP-species-dilution-info": "", "IHCP-species-notes": "<p></p>" }, "Mouse": { "IHCFr-species-checked": "testedAndGuaranteed", "IHCFr-species-dilution-info": "", "IHCFr-species-notes": "<p></p>", "IHCP-species-checked": "testedAndGuaranteed", "IHCP-species-dilution-info": "", "IHCP-species-notes": "<p></p> Perform heat-mediated antigen retrieval with Tris/EDTA buffer pH 9.0 before commencing with IHC staining protocol." } } }

Product details

ab324461 is the carrier-free version of ab324383

Patented technology
Our RabMAb® technology is a patented hybridoma-based technology for making rabbit monoclonal antibodies. For details on our patents, please refer to RabMAb® patents.

What are the advantages of a recombinant monoclonal antibody?
This product is a recombinant monoclonal antibody, which offers several advantages including:

  • - High batch-to-batch consistency and reproducibility
  • - Improved sensitivity and specificity
  • - Long-term security of supply
  • - Animal-free batch production

For more information, read more on recombinant antibodies.

Conjugation ready
Our carrier-free antibodies are typically supplied in a PBS-only formulation, purified and free of BSA, sodium azide and glycerol. This conjugation-ready format is designed for use with fluorochromes, metal isotopes, oligonucleotides, and enzymes, which makes them ideal for antibody labelling, functional and cell-based assays, flow-based assays (e.g. mass cytometry) and Multiplex Imaging applications.

Use our conjugation kits for antibody conjugates that are ready-to-use in as little as 20 minutes with 1 minute hands-on-time and 100% antibody recovery: available for fluorescent dyes, HRP, biotin and gold.

Compatibility
This product is compatible with the Maxpar® Antibody Labeling Kit from Fluidigm, without the need for antibody preparation. Maxpar® is a trademark of Fluidigm Canada Inc.

Properties and storage information

Form
Liquid
Purification technique
Affinity purification Protein A
Storage buffer
pH: 7.2 - 7.4 Constituents: 100% PBS
Shipped at conditions
Blue Ice
Appropriate short-term storage conditions
+4°C
Appropriate long-term storage conditions
+4°C

Product protocols

For this product, it's our understanding that no specific protocols are required. You can visit:

Target data

Carbohydrate-binding lectin with a preference for chitin. Has no chitinase activity. May play a role in tissue remodeling and in the capacity of cells to respond to and cope with changes in their environment. Plays a role in T-helper cell type 2 (Th2) inflammatory response and IL-13-induced inflammation, regulating allergen sensitization, inflammatory cell apoptosis, dendritic cell accumulation and M2 macrophage differentiation. Facilitates invasion of pathogenic enteric bacteria into colonic mucosa and lymphoid organs. Mediates activation of AKT1 signaling pathway and subsequent IL8 production in colonic epithelial cells. Regulates antibacterial responses in lung by contributing to macrophage bacterial killing, controlling bacterial dissemination and augmenting host tolerance. Also regulates hyperoxia-induced injury, inflammation and epithelial apoptosis in lung.
See full target information Chi3l1

Product promise

We are committed to supporting your work with high-quality reagents, and we're here for you every step of the way. In the unlikely event that one of our products does not perform as expected, you're protected by our Product Promise.
For full details, please see our Terms & Conditions

Please note: All products are 'FOR RESEARCH USE ONLY. NOT FOR USE IN DIAGNOSTIC OR THERAPEUTIC PROCEDURES'.

For licensing inquiries, please contact partnerships@abcam.com