JavaScript is disabled in your browser. Please enable JavaScript to view this website.
AB319164

Anti-YKL-40/CHI3L1 antibody [RM1204]

  • BOND RX™ Validated
  • 20ul selling size
  • Recombinant
  • RabMAb
  • KO Validated
  • What is this?

Be the first to review this product! Submit a review

|

(1 Publication)

Rabbit Recombinant Multiclonal YKL-40/CHI3L1 antibody. Suitable for Flow Cyt (Intra), IHC-P, WB and reacts with Human, Mouse, Rat samples. Cited in 1 publication.

View Alternative Names

Chitinase-3-like protein 1, 39 kDa synovial protein, Cartilage glycoprotein 39, YKL-40, CGP-39, GP-39, hCGP-39, CHI3L1

10 Images
Immunohistochemistry (Formalin/PFA-fixed paraffin-embedded sections) - Anti-YKL-40/CHI3L1 antibody [RM1204] (AB319164)
  • IHC-P

Supplier Data

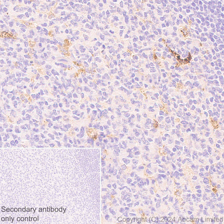
Immunohistochemistry (Formalin/PFA-fixed paraffin-embedded sections) - Anti-YKL-40/CHI3L1 antibody [RM1204] (AB319164)

Immunohistochemical analysis of paraffin-embedded Human spleen tissue labeling YKL-40/CHI3L1 with ab319164 at 1/500 (1.01 ug/ml) dilution, followed by a ready to use LeicaDS9800 (Bond™ Polymer Refine Detection).

Positive staining on human spleen.The section was incubated with ab319164 for 30 mins at room temperature.
The immunostaining was performed on a Leica Biosystems BOND® RX instrument

Counterstained with Hematoxylin.

MSD279 antibody only control : Secondary antibody is a ready to use LeicaDS9800 (Bond™ Polymer Refine Detection).

Heat mediated antigen retrieval was performed with Tris-EDTA buffer (pH 9.0, Epitope Retrieval Solution2) for 20 mins

Flow Cytometry (Intracellular) - Anti-YKL-40/CHI3L1 antibody [RM1204] (AB319164)
  • Flow Cyt (Intra)

Supplier Data

Flow Cytometry (Intracellular) - Anti-YKL-40/CHI3L1 antibody [RM1204] (AB319164)

Flow cytometric analysis of 4% paraformaldehyde fixed 90% methanol permeabilized THP-1 (human monocytic leukemia monocyte) (Left) / CHI3L1 KO THP-1(FR090372) (Right) cells labelling YKL-40/CHI3L1 with ab319164 at 1/500 dilution (0.1ug) (Red) compared with a Rabbit monoclonal IgG (ab172730) (Black) isotype control and an unlabelled control (cells without incubation with primary antibody and secondary antibody) (Blue).

Goat Anti-Rabbit IgG (Alexa Fluor® 488, ab150081) at 1/5000 dilution was used as the secondary antibody.

Immunohistochemistry (Formalin/PFA-fixed paraffin-embedded sections) - Anti-YKL-40/CHI3L1 antibody [RM1204] (AB319164)
  • IHC-P

Supplier Data

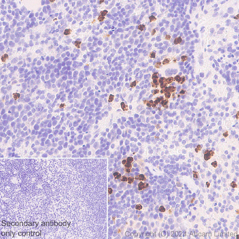
Immunohistochemistry (Formalin/PFA-fixed paraffin-embedded sections) - Anti-YKL-40/CHI3L1 antibody [RM1204] (AB319164)

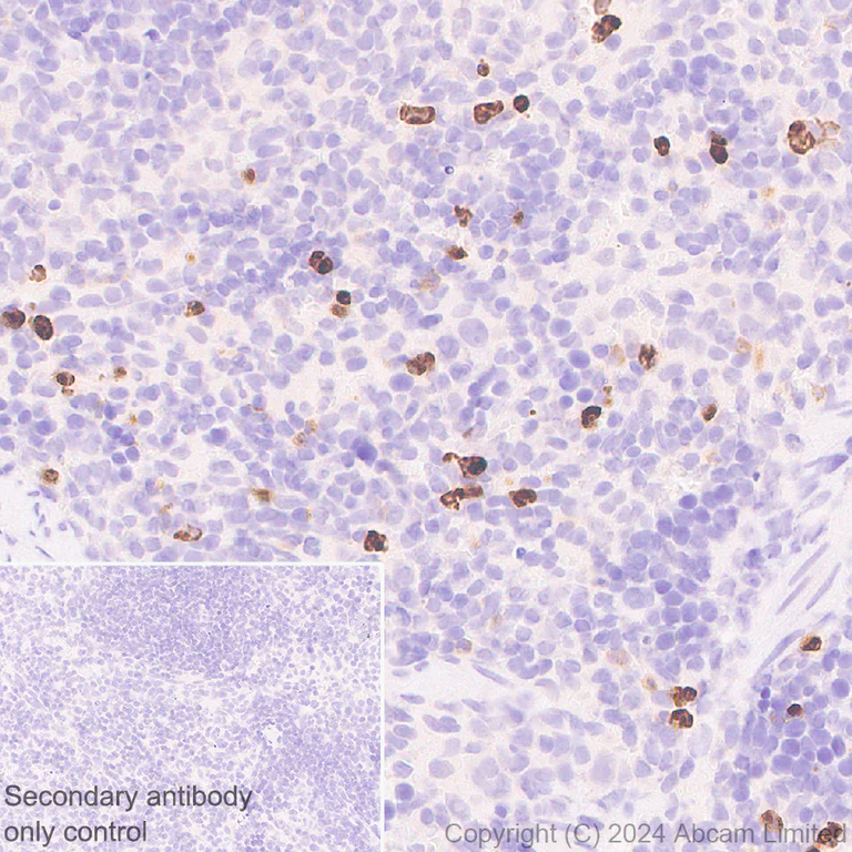
Immunohistochemical analysis of paraffin-embedded Human tonsil tissue labeling YKL-40/CHI3L1 with ab319164 at 1/500 (1.01 ug/ml) dilution, followed by a ready to use LeicaDS9800 (Bond™ Polymer Refine Detection).

Positive staining on human tonsil. The section was incubated with ab319164 for 30 mins at room temperature.
The immunostaining was performed on a Leica Biosystems BOND® RX instrument

Counterstained with Hematoxylin.

MSD279 antibody only control : Secondary antibody is a ready to use LeicaDS9800 (Bond™ Polymer Refine Detection).

Heat mediated antigen retrieval was performed with Tris-EDTA buffer (pH 9.0, Epitope Retrieval Solution2) for 20 mins

Immunohistochemistry (Formalin/PFA-fixed paraffin-embedded sections) - Anti-YKL-40/CHI3L1 antibody [RM1204] (AB319164)
  • IHC-P

Supplier Data

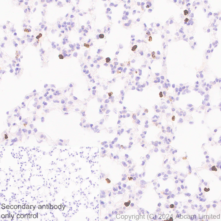
Immunohistochemistry (Formalin/PFA-fixed paraffin-embedded sections) - Anti-YKL-40/CHI3L1 antibody [RM1204] (AB319164)

Immunohistochemical analysis of paraffin-embedded Rat lung tissue labeling YKL-40/CHI3L1 with ab319164 at 1/500 (1.01 ug/ml) dilution, followed by a ready to use LeicaDS9800 (Bond™ Polymer Refine Detection).

Positive staining on immune cells of rat lung. The section was incubated with ab319164 for 30 mins at room temperature.
The immunostaining was performed on a Leica Biosystems BOND® RX instrument

Counterstained with Hematoxylin.

MSD279 antibody only control : Secondary antibody is a ready to use LeicaDS9800 (Bond™ Polymer Refine Detection).

Heat mediated antigen retrieval was performed with Tris-EDTA buffer (pH 9.0, Epitope Retrieval Solution2) for 20 mins

Immunohistochemistry (Formalin/PFA-fixed paraffin-embedded sections) - Anti-YKL-40/CHI3L1 antibody [RM1204] (AB319164)
  • IHC-P

Supplier Data

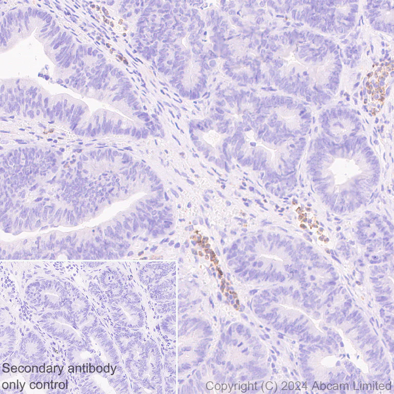
Immunohistochemistry (Formalin/PFA-fixed paraffin-embedded sections) - Anti-YKL-40/CHI3L1 antibody [RM1204] (AB319164)

Immunohistochemical analysis of paraffin-embedded Mouse colon cancer tissue labeling YKL-40/CHI3L1 with ab319164 at 1/500 (1.01 ug/ml) dilution, followed by a ready to use LeicaDS9800 (Bond™ Polymer Refine Detection).

Positive staining on immune cells of mouse colon cancer. The section was incubated with ab319164 for 30 mins at room temperature.
The immunostaining was performed on a Leica Biosystems BOND® RX instrument

Counterstained with Hematoxylin.

MSD279 antibody only control : Secondary antibody is a ready to use LeicaDS9800 (Bond™ Polymer Refine Detection).

Heat mediated antigen retrieval was performed with Tris-EDTA buffer (pH 9.0, Epitope Retrieval Solution2) for 20 mins

Immunohistochemistry (Formalin/PFA-fixed paraffin-embedded sections) - Anti-YKL-40/CHI3L1 antibody [RM1204] (AB319164)
  • IHC-P

Supplier Data

Immunohistochemistry (Formalin/PFA-fixed paraffin-embedded sections) - Anti-YKL-40/CHI3L1 antibody [RM1204] (AB319164)

Immunohistochemical analysis of paraffin-embedded Mouse lung tissue labeling YKL-40/CHI3L1 with ab319164 at 1/500 (1.01 ug/ml) dilution, followed by a ready to use LeicaDS9800 (Bond™ Polymer Refine Detection).

Positive staining on immune cells of mouse lung. The section was incubated with ab319164 for 30 mins at room temperature.
The immunostaining was performed on a Leica Biosystems BOND® RX instrument

Counterstained with Hematoxylin.

MSD279 antibody only control : Secondary antibody is a ready to use LeicaDS9800 (Bond™ Polymer Refine Detection).

Heat mediated antigen retrieval was performed with Tris-EDTA buffer (pH 9.0, Epitope Retrieval Solution2) for 20 mins

Immunohistochemistry (Formalin/PFA-fixed paraffin-embedded sections) - Anti-YKL-40/CHI3L1 antibody [RM1204] (AB319164)
  • IHC-P

Supplier Data

Immunohistochemistry (Formalin/PFA-fixed paraffin-embedded sections) - Anti-YKL-40/CHI3L1 antibody [RM1204] (AB319164)

Immunohistochemical analysis of paraffin-embedded Mouse spleen tissue labeling YKL-40/CHI3L1 with ab319164 at 1/500 (1.01 ug/ml) dilution, followed by a ready to use LeicaDS9800 (Bond™ Polymer Refine Detection).

Positive staining on mouse spleen. The section was incubated with ab319164 for 30 mins at room temperature.
The immunostaining was performed on a Leica Biosystems BOND® RX instrument

Counterstained with Hematoxylin.

MSD279 antibody only control : Secondary antibody is a ready to use LeicaDS9800 (Bond™ Polymer Refine Detection).

Heat mediated antigen retrieval was performed with Tris-EDTA buffer (pH 9.0, Epitope Retrieval Solution2) for 20 mins

Immunohistochemistry (Formalin/PFA-fixed paraffin-embedded sections) - Anti-YKL-40/CHI3L1 antibody [RM1204] (AB319164)
  • IHC-P

Supplier Data

Immunohistochemistry (Formalin/PFA-fixed paraffin-embedded sections) - Anti-YKL-40/CHI3L1 antibody [RM1204] (AB319164)

Immunohistochemical analysis of paraffin-embedded Rat spleen tissue labeling YKL-40/CHI3L1 with ab319164 at 1/500 (1.01 ug/ml) dilution, followed by a ready to use LeicaDS9800 (Bond™ Polymer Refine Detection).

Positive staining on rat spleen. The section was incubated with ab319164 for 30 mins at room temperature.
The immunostaining was performed on a Leica Biosystems BOND® RX instrument

Counterstained with Hematoxylin.

MSD279 antibody only control : Secondary antibody is a ready to use LeicaDS9800 (Bond™ Polymer Refine Detection).

Heat mediated antigen retrieval was performed with Tris-EDTA buffer (pH 9.0, Epitope Retrieval Solution2) for 20 mins

Western blot - Anti-YKL-40/CHI3L1 antibody [RM1204] (AB319164)
  • WB

Supplier Data

Western blot - Anti-YKL-40/CHI3L1 antibody [RM1204] (AB319164)

Negative control : 293T, Jurkat (PMID : 19767768, PMID : 16472595).

The molecular weight observed is consistent with what has been described in the literature (PMID : 19414556).

The identity of the lower MW band at approximately 25 kDa (in lane 3 and 5) is unknown.

In Western blot, ab319164 was shown to bind specifically to CHI3L1. Target of interest was observed at 43 kDa in wild-type THP-1 cell lysates (lane 1) with no signal observed at this size in CHI3L1 knockout cell line (lane 2, knockout cell line ab280038).

In Western blot, Anti-GAPDH antibody [EPR16891] - Loading Control (ab181602) staining at 1/200000 dilution.

Exposure time : lane 1-2 : 25 seconds, lane 3-5 : 125 seconds

Blocking and dilution buffer and concentration : 5% NFDM/TBST

All lanes:

Western blot - Anti-YKL-40/CHI3L1 antibody [RM1204] (ab319164) at 1/1000 dilution

Lane 1:

Wide-type THP-1 (human monocytic leukemia monocyte) whole cell lysate at 20 µg

Lane 2:

CHI3L1 knockout THP-1 whole cell lysate at 20 µg

Lane 3:

U-87 MG (human glioblastoma-astrocytoma epithelial cell) whole cell lysate at 20 µg

Lane 4:

293T (human embryonic kidney epithelial cell) whole cell lysate at 20 µg

Lane 5:

Jurkat (human T cell leukemia T lymphocyte from peripheral blood) whole cell lysate at 20 µg

Secondary

All lanes:

Western blot - Goat Anti-Rabbit IgG H&L (HRP) (<a href='/en-us/products/secondary-antibodies/goat-rabbit-igg-h-l-hrp-ab97051'>ab97051</a>) at 1/20000 dilution

Observed band size: 43 kDa,36 kDa

false

Western blot - Anti-YKL-40/CHI3L1 antibody [RM1204] (AB319164)
  • WB

Supplier Data

Western blot - Anti-YKL-40/CHI3L1 antibody [RM1204] (AB319164)

Low expression tissue : liver (PMID : 31250532).

The molecular weight observed is consistent with what has been described in the literature (PMID : 19414556).

In Western blot, Anti-GAPDH antibody [EPR16891] - Loading Control (ab181602) staining at 1/200000 dilution.

Blocking and dilution buffer and concentration : 5% NFDM/TBST

All lanes:

Western blot - Anti-YKL-40/CHI3L1 antibody [RM1204] (ab319164) at 1/1000 dilution

Lane 1:

Mouse spleen tissue lysate at 20 µg

Lane 2:

Mouse lung tissue lysate at 20 µg

Lane 3:

Mouse liver tissue lysate at 20 µg

Secondary

All lanes:

Western blot - Goat Anti-Rabbit IgG H&L (HRP) (<a href='/en-us/products/secondary-antibodies/goat-rabbit-igg-h-l-hrp-ab97051'>ab97051</a>) at 1/20000 dilution

Observed band size: 43 kDa,36 kDa

false

Exposure time: 37s

  • Carrier free

    Anti-YKL-40/CHI3L1 antibody [RM1204] - BSA and Azide free

Key facts

Host species

Rabbit

Clonality

Multiclonal

Clone number

RM1204

Isotype

IgG

Carrier free

No

Reacts with

Human, Mouse, Rat

Applications

IHC-P, WB, Flow Cyt (Intra)

applications

Immunogen

The exact immunogen used to generate this antibody is proprietary information.

Reactivity data

{ "title": "Reactivity Data", "filters": { "stats": ["", "Species", "Dilution Info", "Notes"], "tabs": { "all-applications": {"fullname" : "All Applications", "shortname": "All Applications"}, "FlowCytIntra" : {"fullname" : "Flow Cytometry (Intracellular)", "shortname":"Flow Cyt (Intra)"}, "IHCP" : {"fullname" : "Immunohistochemistry (Formalin/PFA-fixed paraffin-embedded sections)", "shortname":"IHC-P"}, "WB" : {"fullname" : "Western blot", "shortname":"WB"}, "IHCFr" : {"fullname" : "Immunohistochemistry (Frozen sections)", "shortname":"IHC-Fr"}, "ICCIF" : {"fullname" : "Immunocytochemistry/ Immunofluorescence", "shortname":"ICC/IF"}, "IP" : {"fullname" : "Immunoprecipitation", "shortname":"IP"} }, "product-promise": { "all": "all", "testedAndGuaranteed": "tested", "guaranteed": "expected", "predicted": "predicted", "notRecommended": "not-recommended" } }, "values": { "Human": { "FlowCytIntra-species-checked": "testedAndGuaranteed", "FlowCytIntra-species-dilution-info": "1/500", "FlowCytIntra-species-notes": "<p></p>", "IHCP-species-checked": "testedAndGuaranteed", "IHCP-species-dilution-info": "1/500", "IHCP-species-notes": "<p></p> Perform heat-mediated antigen retrieval with Tris/EDTA buffer pH 9.0 before commencing with IHC staining protocol.", "WB-species-checked": "testedAndGuaranteed", "WB-species-dilution-info": "1/1000", "WB-species-notes": "<p></p>", "IHCFr-species-checked": "notRecommended", "IHCFr-species-dilution-info": "", "IHCFr-species-notes": "", "ICCIF-species-checked": "notRecommended", "ICCIF-species-dilution-info": "", "ICCIF-species-notes": "<p></p>", "IP-species-checked": "notRecommended", "IP-species-dilution-info": "", "IP-species-notes": "<p></p>" }, "Mouse": { "FlowCytIntra-species-checked": "guaranteed", "FlowCytIntra-species-dilution-info": "", "FlowCytIntra-species-notes": "", "IHCP-species-checked": "testedAndGuaranteed", "IHCP-species-dilution-info": "1/500", "IHCP-species-notes": "<p></p> Perform heat-mediated antigen retrieval with Tris/EDTA buffer pH 9.0 before commencing with IHC staining protocol.", "WB-species-checked": "testedAndGuaranteed", "WB-species-dilution-info": "1/1000", "WB-species-notes": "<p></p>", "IHCFr-species-checked": "notRecommended", "IHCFr-species-dilution-info": "", "IHCFr-species-notes": "<p></p>", "ICCIF-species-checked": "notRecommended", "ICCIF-species-dilution-info": "", "ICCIF-species-notes": "<p></p>", "IP-species-checked": "notRecommended", "IP-species-dilution-info": "", "IP-species-notes": "<p></p>" }, "Rat": { "FlowCytIntra-species-checked": "guaranteed", "FlowCytIntra-species-dilution-info": "", "FlowCytIntra-species-notes": "", "IHCP-species-checked": "testedAndGuaranteed", "IHCP-species-dilution-info": "1/500", "IHCP-species-notes": "<p></p> Perform heat-mediated antigen retrieval with Tris/EDTA buffer pH 9.0 before commencing with IHC staining protocol.", "WB-species-checked": "notRecommended", "WB-species-dilution-info": "", "WB-species-notes": "<p></p>", "IHCFr-species-checked": "notRecommended", "IHCFr-species-dilution-info": "", "IHCFr-species-notes": "<p></p>", "ICCIF-species-checked": "notRecommended", "ICCIF-species-dilution-info": "", "ICCIF-species-notes": "", "IP-species-checked": "notRecommended", "IP-species-dilution-info": "", "IP-species-notes": "" } } }

Product details

What are recombinant multiclonals?
Recombinant multiclonals are a mixture of recombinant antibodies co-expressed from a library of heavy and light chains. They offer several advantages including:

  • - The sensitivity of polyclonal antibodies by recognising multiple epitopes
  • - High batch-to-batch consistency and reproducibility
  • - Improved sensitivity and specificity
  • - Long-term security of supply
  • - Animal-free batch production

View our range of recombinant multiclonal antibodies.

Patented technology
Our RabMAb® technology is a patented hybridoma-based technology for making rabbit monoclonal antibodies. For details on our patents, please refer to RabMAb® patents.

Properties and storage information

Form
Liquid
Purification technique
Affinity purification Protein A
Storage buffer
pH: 7.2 - 7.4 Preservative: 0.01% Sodium azide Constituents: PBS, 40% Glycerol (glycerin, glycerine), 0.05% BSA
Shipped at conditions
Blue Ice
Appropriate short-term storage duration
1-2 weeks
Appropriate short-term storage conditions
+4°C
Appropriate long-term storage conditions
-20°C
Aliquoting information
Upon delivery aliquot
Storage information
Avoid freeze / thaw cycle

Supplementary information

This supplementary information is collated from multiple sources and compiled automatically.

YKL-40 also known as chitinase-3-like protein 1 (CHI3L1) is a glycoprotein with a molecular weight of approximately 40 kDa. Scientists often study it for its roles in inflammatory processes. It has expressions in numerous tissues including liver cartilage and the central nervous system. The CHI3L1 protein does not possess chitinase activity unlike other members of the chitinase family yet it interacts with various ligands to influence cellular behavior.
Biological function summary

YKL-40 plays significant roles in tissue remodeling and inflammation. It does not form part of a larger complex by itself but influences several cellular processes. This protein affects cell proliferation migration and survival making it involved in both normal physiological processes and pathological conditions. CHI3L1 also exhibits a connection to the immune response where it modulates macrophage activity and interacts with other immune cells.

Pathways

YKL-40 is integral to the inflammatory and extracellular matrix pathways. It associates with proteins such as interleukin-6 (IL-6) and tumor necrosis factor-alpha (TNF-α) influencing signaling cascades that modulate inflammation. Through these interactions CHI3L1 becomes a mediator of connective tissue metabolism and immune reactions in various pathophysiological states.

YKL-40 shows strong links to conditions like osteoarthritis and certain cancers. In osteoarthritis elevated levels of CHI3L1 reflect increased cartilage degradation while in oncology it correlates with tumor angiogenesis and metastasis potential. Its connection with proteins such as matrix metalloproteinases highlights its role in disease mechanisms highlighting its potential as a biomarker for early detection and disease progression monitoring.

Product protocols

For this product, it's our understanding that no specific protocols are required. You can visit:

Target data

Carbohydrate-binding lectin with a preference for chitin. Has no chitinase activity. May play a role in tissue remodeling and in the capacity of cells to respond to and cope with changes in their environment. Plays a role in T-helper cell type 2 (Th2) inflammatory response and IL-13-induced inflammation, regulating allergen sensitization, inflammatory cell apoptosis, dendritic cell accumulation and M2 macrophage differentiation. Facilitates invasion of pathogenic enteric bacteria into colonic mucosa and lymphoid organs. Mediates activation of AKT1 signaling pathway and subsequent IL8 production in colonic epithelial cells. Regulates antibacterial responses in lung by contributing to macrophage bacterial killing, controlling bacterial dissemination and augmenting host tolerance. Also regulates hyperoxia-induced injury, inflammation and epithelial apoptosis in lung.
See full target information CHI3L1

Additional targets

Chi3l1

Publications (1)

Recent publications for all applications. Explore the full list and refine your search

Journal of neuroinflammation 21:243 PubMed39342313

2024

SIRT6 modulates lesion microenvironment in LPC induced demyelination by targeting astrocytic CHI3L1.

Applications

Unspecified application

Species

Unspecified reactive species

Jingyi Du,Yue Yin,Dong Wu,Can Diao,Tiantian Zhao,Fan Peng,Naigang Li,Dongshuang Wang,Jiaming Shi,Liyan Wang,Liang Kong,Wenjuan Zhou,Aijun Hao
View all publications

Product promise

We are committed to supporting your work with high-quality reagents, and we're here for you every step of the way. In the unlikely event that one of our products does not perform as expected, you're protected by our Product Promise.
For full details, please see our Terms & Conditions

Please note: All products are 'FOR RESEARCH USE ONLY. NOT FOR USE IN DIAGNOSTIC OR THERAPEUTIC PROCEDURES'.

For licensing inquiries, please contact partnerships@abcam.com