JavaScript is disabled in your browser. Please enable JavaScript to view this website.
AB192029

Anti-Ym-1 + Ym-2 antibody [EPR15263]

5

(2 Reviews)

|

(40 Publications)

Rabbit Recombinant Monoclonal CHIL3 antibody. Suitable for WB, ICC/IF, IHC-P and reacts with Mouse, Rat samples. Cited in 40 publications.

View Alternative Names

Chi3l3, Ym1, Chil3, Chitinase-like protein 3, Beta-N-acetylhexosaminidase Ym1, Chitinase-3-like protein 3, ECF-L, Eosinophil chemotactic cytokine, Secreted protein Ym1

4 Images
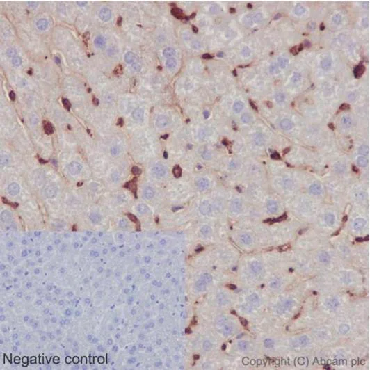
Immunohistochemistry (Formalin/PFA-fixed paraffin-embedded sections) - Anti-Ym-1 + Ym-2 antibody [EPR15263] (AB192029)
  • IHC-P

Supplier Data

Immunohistochemistry (Formalin/PFA-fixed paraffin-embedded sections) - Anti-Ym-1 + Ym-2 antibody [EPR15263] (AB192029)

Immunohistochemical analysis of paraffin-embedded mouse liver tissue labeling Chitinase 3 like protein 3 + Chitinase 3 like protein 4 with ab192029 at 1/500 with prediluted HRP polymer for Rabbit IgG as secondary antibody.

Perform heat mediated antigen retrieval with Tris/EDTA buffer pH 9.0 before commencing with IHC staining protocol.

Immunocytochemistry/ Immunofluorescence - Anti-Ym-1 + Ym-2 antibody [EPR15263] (AB192029)
  • ICC/IF

Supplier Data

Immunocytochemistry/ Immunofluorescence - Anti-Ym-1 + Ym-2 antibody [EPR15263] (AB192029)

Immunofluorescent analysis of paraformaldehyde-fixed Raw264.7 cells labeling Chitinase 3 like protein 3 + Chitinase 3 like protein 4 with ab192029 at 1/200, Goat anti rabbit IgG (Alexa Fluor® 555) at 1/200 (ab150077) and DAPI staining (blue). The two negative controls : 1. Primary ab concentration (anti-Chitinase 3 like protein 3 + Chitinase 3 like protein 4(Mouse) ) is 1/200 dilution, Secondary ab (Goat anti mouse IgG (Alexa Fluor®594)) is 1/500 dilution; 2. Primary ab concentration (anti-Chitinase 3 like protein 3 + Chitinase 3 like protein 4(Mouse) ) is 1/200 dilution, Secondary ab (Goat anti mouse IgG (Alexa Fluor®594)) is 1/500 dilution.

Western blot - Anti-Ym-1 + Ym-2 antibody [EPR15263] (AB192029)
  • WB

Supplier Data

Western blot - Anti-Ym-1 + Ym-2 antibody [EPR15263] (AB192029)

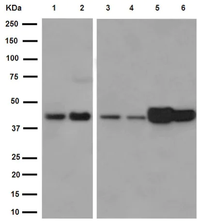
All lanes:

Western blot - Anti-Ym-1 + Ym-2 antibody [EPR15263] (ab192029) at 1/10000 dilution

Lane 1:

Mouse brain lysate at 10 µg

Lane 2:

Mouse heart lysate at 10 µg

Lane 3:

C6 lysate at 10 µg

Lane 4:

Raw264.7 lysate at 10 µg

Lane 5:

PC-12 lysate at 10 µg

Lane 6:

NIH3T3 lysate at 10 µg

Secondary

All lanes:

Goat Anti-Rabbit IgG, (H+L), Peroxidase conjugated at 1/1000 dilution

Predicted band size: 45 kDa

Observed band size: 45 kDa

false

Western blot - Anti-Ym-1 + Ym-2 antibody [EPR15263] (AB192029)
  • WB

Supplier Data

Western blot - Anti-Ym-1 + Ym-2 antibody [EPR15263] (AB192029)

All lanes:

Western blot - Anti-Ym-1 + Ym-2 antibody [EPR15263] (ab192029) at 1/50000 dilution

All lanes:

Mouse lung lysate at 20 µg

Secondary

All lanes:

Goat Anti-Rabbit IgG, (H+L), Peroxidase conjugated at 1/1000 dilution

Predicted band size: 45 kDa

Observed band size: 45 kDa

false

Key facts

Host species

Rabbit

Clonality

Monoclonal

Clone number

EPR15263

Isotype

IgG

Carrier free

No

Reacts with

Mouse, Rat

Applications

IHC-P, WB, ICC/IF

applications

Immunogen

The exact immunogen used to generate this antibody is proprietary information.

Reactivity data

{ "title": "Reactivity Data", "filters": { "stats": ["", "Species", "Dilution Info", "Notes"], "tabs": { "all-applications": {"fullname" : "All Applications", "shortname": "All Applications"}, "WB" : {"fullname" : "Western blot", "shortname":"WB"}, "ICCIF" : {"fullname" : "Immunocytochemistry/ Immunofluorescence", "shortname":"ICC/IF"}, "FlowCytIntra" : {"fullname" : "Flow Cytometry (Intracellular)", "shortname":"Flow Cyt (Intra)"}, "IHCP" : {"fullname" : "Immunohistochemistry (Formalin/PFA-fixed paraffin-embedded sections)", "shortname":"IHC-P"} }, "product-promise": { "all": "all", "testedAndGuaranteed": "tested", "guaranteed": "expected", "predicted": "predicted", "notRecommended": "not-recommended" } }, "values": { "Mouse": { "WB-species-checked": "testedAndGuaranteed", "WB-species-dilution-info": "1/10000 - 1/50000", "WB-species-notes": "<p></p>", "ICCIF-species-checked": "testedAndGuaranteed", "ICCIF-species-dilution-info": "1/200", "ICCIF-species-notes": "<p></p>", "FlowCytIntra-species-checked": "notRecommended", "FlowCytIntra-species-dilution-info": "", "FlowCytIntra-species-notes": "<p></p>", "IHCP-species-checked": "testedAndGuaranteed", "IHCP-species-dilution-info": "1/200 - 1/500", "IHCP-species-notes": "<p></p>" }, "Rat": { "WB-species-checked": "testedAndGuaranteed", "WB-species-dilution-info": "1/10000 - 1/50000", "WB-species-notes": "<p></p>", "ICCIF-species-checked": "guaranteed", "ICCIF-species-dilution-info": "", "ICCIF-species-notes": "", "FlowCytIntra-species-checked": "notRecommended", "FlowCytIntra-species-dilution-info": "", "FlowCytIntra-species-notes": "", "IHCP-species-checked": "guaranteed", "IHCP-species-dilution-info": "", "IHCP-species-notes": "" } } }

Product details

Patented technology
Our RabMAb® technology is a patented hybridoma-based technology for making rabbit monoclonal antibodies. For details on our patents, please refer to RabMAb® patents.

What are the advantages of a recombinant monoclonal antibody?
This product is a recombinant monoclonal antibody, which offers several advantages including:

  • - High batch-to-batch consistency and reproducibility
  • - Improved sensitivity and specificity
  • - Long-term security of supply
  • - Animal-free batch production

For more information, read more on recombinant antibodies.

Properties and storage information

Form
Liquid
Purification technique
Affinity purification Protein A
Storage buffer
pH: 7.2 - 7.4 Preservative: 0.01% Sodium azide Constituents: PBS, 40% Glycerol (glycerin, glycerine), 0.05% BSA
Shipped at conditions
Blue Ice
Appropriate short-term storage duration
1-2 weeks
Appropriate short-term storage conditions
+4°C
Appropriate long-term storage conditions
-20°C
Aliquoting information
Upon delivery aliquot
Storage information
Avoid freeze / thaw cycle

Supplementary information

This supplementary information is collated from multiple sources and compiled automatically.

Ym-1 and Ym-2 also known as chitinase-like proteins exhibit mechanical roles in the immune system without enzymatic chitinase activity. Ym-1 with a mass of approximately 43 kDa and Ym-2 are expressed predominantly in macrophages especially within inflammatory and allergic contexts. Expression is induced by IL-4 and IL-13 cytokines. Both proteins may also show presence in neutrophils and other innate immune cells during particular immune responses marking them important players in immune modulation.
Biological function summary

Ym-1 and Ym-2 regulate tissue repair and remodeling. They play an important role in cell proliferation and matrix formation which is actively involved in tissue homeostasis and wound healing. These proteins are not typically found as part of a larger complex but may interact with multiple signaling molecules in the cell's microenvironment. Their functions in shaping the extracellular matrix and facilitating cell migration make them significant in resolving inflammation.

Pathways

Ym-1 and Ym-2 are involved in the Th2 immune response and arginase pathways. They are associated with the regulation of Th2 cytokine production a pathway interconnected with adaptive immune responses to parasitic infections and allergic reactions. Ym proteins align with arginase pathways important in tissue repair and fibrosis and often correlate with Arginase-1 especially during inflammation and healing processes.

Ym-1 and Ym-2 connect predominately to asthma and fibrosis. Elevated levels observed in these conditions indicate their involvement in disease progression. In asthma Ym proteins modulate airway inflammation and remodeling collaborating with proteins like TGF-β to influence fibrosis and extracellular matrix deposition. The interaction between Ym proteins and such growth factors outlines their participation in pathological conditions offering potential targets for therapeutic interventions.

Product protocols

For this product, it's our understanding that no specific protocols are required. You can visit:

Target data

Lectin that binds saccharides with a free amino group, such as glucosamine or galactosamine. Binding to oligomeric saccharides is much stronger than binding to mono- or disaccharides. Also binds chitin and heparin. Has weak hexosaminidase activity but no chitinase activity. Has chemotactic activity for T-lymphocytes, bone marrow cells and eosinophils. May play a role in inflammation and allergy.
See full target information Chil3

Additional targets

Chil4

Publications (40)

Recent publications for all applications. Explore the full list and refine your search

Journal of inflammation research 18:10651-10668 PubMed40809464

2025

Plasma Exosomal miR-17-5p Regulates Macrophage Polarization by Targeting Bcl11b in Sepsis-Induced Lung Injury.

Applications

Unspecified application

Species

Unspecified reactive species

Ying Xian,Yinfang Sun,Lifu Wang,Lin Lin,Zhongdao Wu,Kouxing Zhang,Rui Chen

Glia 73:1221-1240 PubMed39928319

2025

Myelination Trajectory and Microglial Dynamics Following Repeated Sevoflurane Exposure in Developing Brain.

Applications

Unspecified application

Species

Unspecified reactive species

Ji Che,Yuanyuan Wu,Jing Dong,Xuliang Jiang,Li Yang,Yali Chen,Jun Zhang

Journal of thoracic disease 16:6955-6968 PubMed39552876

2024

CLCA1 and BPIFB1 are potential novel biomarkers for asthma: an iTRAQ analysis.

Applications

Unspecified application

Species

Unspecified reactive species

Tianci Chai,Yinji Liu,Yuwei Zeng,Sung-Yoon Kang,Jie Li

Journal of immunology research 2024:5562293 PubMed39493373

2024

Exercise Attenuates Doxorubicin-Induced Myocardial Injury by Inhibiting TSHR and Regulating Macrophage Polarization Through miR-30d-5p/GALNT7.

Applications

Unspecified application

Species

Unspecified reactive species

Haiyan Wu,Ruoyu Zhou,Hanxin Kong,Jieqiong Yang,Suijuan Liu,Xiaolin Wei,Kunzhi Li,Yunmei Zhang

Frontiers in pharmacology 15:1469602 PubMed39391701

2024

Neuroprotective effects of Blume on promoting M2 microglial polarization by inhibiting JNK/TLR4/T3JAM/NF-κB signaling after transient ischemic stroke in rats.

Applications

Unspecified application

Species

Unspecified reactive species

Shang-Chih Huang,Hui-Chi Huang,Wen-Ling Liao,Shung-Te Kao,Chin-Yi Cheng

Advanced science (Weinheim, Baden-Wurttemberg, Germany) 11:e2405318 PubMed39356034

2024

Targeting Immunoproteasome in Polarized Macrophages Ameliorates Experimental Emphysema Via Activating NRF1/2-P62 Axis and Suppressing IRF4 Transcription.

Applications

Unspecified application

Species

Unspecified reactive species

Bingxin Guo,Xing Shi,Qiong Jiang,Yuanwei Pan,Yuqiong Yang,Yuanyuan Liu,Shuyu Chen,Wenjiao Zhu,Laibin Ren,Ruifang Liang,Xue Chen,Haizhao Xu,Laiyou Wei,Yongjian Lin,Jinyong Wang,Chen Qiu,Haibo Zhou,Lang Rao,Lingwei Wang,Rongchang Chen,Shanze Chen

European journal of histochemistry : EJH 68: PubMed39287134

2024

Propofol alleviates M1 polarization and neuroinflammation of microglia in a subarachnoid hemorrhage model , by targeting the miR-140-5p/TREM-1/NF-κB signaling axis.

Applications

Unspecified application

Species

Unspecified reactive species

Lan Wang,Zhenyu Fan,Haijin Wang,Shougui Xiang

Journal of experimental & clinical cancer research : CR 43:128 PubMed38685050

2024

Blocking the MIF-CD74 axis augments radiotherapy efficacy for brain metastasis in NSCLC via synergistically promoting microglia M1 polarization.

Applications

Unspecified application

Species

Unspecified reactive species

Lichao Liu,Jian Wang,Ying Wang,Lingjuan Chen,Ling Peng,Yawen Bin,Peng Ding,Ruiguang Zhang,Fan Tong,Xiaorong Dong

Inflammation research : official journal of the European Histamine Research Society ... [et al.] 73:725-737 PubMed38538755

2024

Bakuchicin alleviates ovalbumin-induced allergic asthma by regulating M2 macrophage polarization.

Applications

Unspecified application

Species

Unspecified reactive species

Yeon-Yong Kim,Seungwon Jeong,Seung Woong Lee,Seung-Jae Lee,Mun-Chual Rho,Sang-Hyun Kim,Soyoung Lee

FASEB journal : official publication of the Federation of American Societies for Experimental Biology 37:e23259 PubMed37855749

2023

Macrophage RAGE deficiency prevents myocardial fibrosis by repressing autophagy-mediated macrophage alternative activation.

Applications

Unspecified application

Species

Unspecified reactive species

Jiaqi He,Lan Wei,Shengan Tan,Birong Liang,Jing Liu,Lu Lu,Ting Wang,Junyan Wang,Yusheng Huang,Zixin Chen,Huan Li,Lu Zhang,Zheng Zhou,Yanhong Cao,Xiaohan Ye,Zhongqi Yang,Shaoxiang Xian,Lingjun Wang
View all publications

Product promise

We are committed to supporting your work with high-quality reagents, and we're here for you every step of the way. In the unlikely event that one of our products does not perform as expected, you're protected by our Product Promise.
For full details, please see our Terms & Conditions

Please note: All products are 'FOR RESEARCH USE ONLY. NOT FOR USE IN DIAGNOSTIC OR THERAPEUTIC PROCEDURES'.

For licensing inquiries, please contact partnerships@abcam.com