JavaScript is disabled in your browser. Please enable JavaScript to view this website.
AB220159

Anti-YTHDC1 antibody [EPR21821]

Be the first to review this product! Submit a review

|

(16 Publications)

Rabbit Recombinant Monoclonal YTHDC1 antibody. Suitable for WB, IHC-P and reacts with Mouse, Rat, Human samples. Cited in 16 publications.

View Alternative Names

KIAA1966, YT521, YTHDC1, YTH domain-containing protein 1, Splicing factor YT521, YT521-B

7 Images
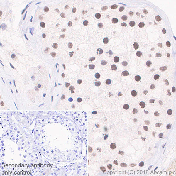
Immunohistochemistry (Formalin/PFA-fixed paraffin-embedded sections) - Anti-YTHDC1 antibody [EPR21821] (AB220159)
  • IHC-P

Unknown

Immunohistochemistry (Formalin/PFA-fixed paraffin-embedded sections) - Anti-YTHDC1 antibody [EPR21821] (AB220159)

Immunohistochemical analysis of paraffin-embedded human testis tissue stained for YTHDC1 with ab220159 at 1/500 dilution, followed by a ready to use Rabbit specific IHC polymer detection kit HRP/DAB (ab209101). Nuclear staining on human testis (PMID : 27602518; PMID : 29103884) is observed. Counterstained with Hematoxylin.

Secondary antibody only control : Used PBS instead of primary antibody, secondary antibody is a ready to use Rabbit specific IHC polymer detection kit HRP/DAB (ab209101).

The section was incubated with ab220159 for 30 mins at 37℃. The immunostaining staining was performed on a Leica Biosystems BOND® RX instrument.

Perform heat mediated antigen retrieval with Tris/EDTA buffer pH 9.0 before commencing with IHC staining protocol.

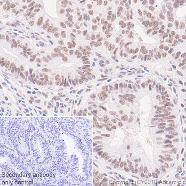
Immunohistochemistry (Formalin/PFA-fixed paraffin-embedded sections) - Anti-YTHDC1 antibody [EPR21821] (AB220159)
  • IHC-P

Unknown

Immunohistochemistry (Formalin/PFA-fixed paraffin-embedded sections) - Anti-YTHDC1 antibody [EPR21821] (AB220159)

Immunohistochemical analysis of paraffin-embedded human endometrial carcinoma tissue stained for YTHDC1 with ab220159 at 1/500 dilution, followed by a ready to use Rabbit specific IHC polymer detection kit HRP/DAB (ab209101). Nuclear staining on human endometrial carcinoma (PMID : 27602518; PMID : 29103884) is observed. Counterstained with Hematoxylin.

Secondary antibody only control : Used PBS instead of primary antibody, secondary antibody is a ready to use Rabbit specific IHC polymer detection kit HRP/DAB (ab209101).

The section was incubated with ab220159 for 30 mins at 37℃. The immunostaining staining was performed on a Leica Biosystems BOND® RX instrument.

Perform heat mediated antigen retrieval with Tris/EDTA buffer pH 9.0 before commencing with IHC staining protocol.

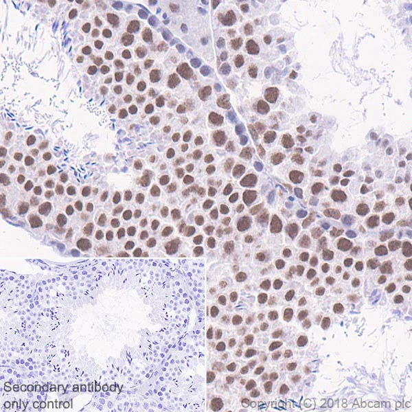
Immunohistochemistry (Formalin/PFA-fixed paraffin-embedded sections) - Anti-YTHDC1 antibody [EPR21821] (AB220159)
  • IHC-P

Unknown

Immunohistochemistry (Formalin/PFA-fixed paraffin-embedded sections) - Anti-YTHDC1 antibody [EPR21821] (AB220159)

Immunohistochemical analysis of paraffin-embedded mouse testis tissue stained for YTHDC1 with ab220159 at 1/500 dilution, followed by a ready to use Rabbit specific IHC polymer detection kit HRP/DAB (ab209101). Nuclear staining on mouse testis (PMID : 27602518; PMID : 29103884) is observed. Counterstained with Hematoxylin.

Secondary antibody only control : Used PBS instead of primary antibody, secondary antibody is a ready to use Rabbit specific IHC polymer detection kit HRP/DAB (ab209101).

The section was incubated with ab220159 for 30 mins at 37℃. The immunostaining staining was performed on a Leica Biosystems BOND® RX instrument.

Perform heat mediated antigen retrieval with Tris/EDTA buffer pH 9.0 before commencing with IHC staining protocol.

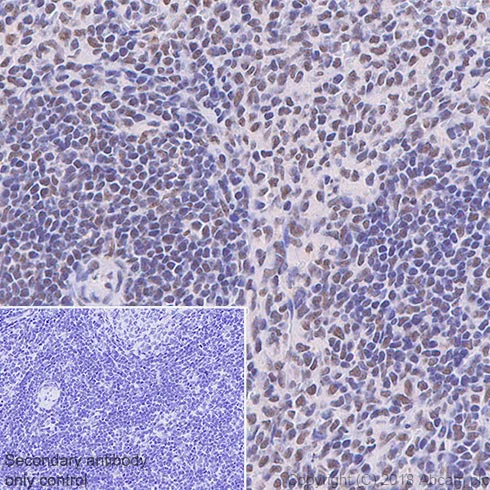
Immunohistochemistry (Formalin/PFA-fixed paraffin-embedded sections) - Anti-YTHDC1 antibody [EPR21821] (AB220159)
  • IHC-P

Unknown

Immunohistochemistry (Formalin/PFA-fixed paraffin-embedded sections) - Anti-YTHDC1 antibody [EPR21821] (AB220159)

Immunohistochemical analysis of paraffin-embedded rat spleen tissue stained for YTHDC1 with ab220159 at 1/500 dilution, followed by a ready to use Rabbit specific IHC polymer detection kit HRP/DAB (ab209101). Nuclear staining on rat spleen (PMID : 27602518; PMID : 29103884) is observed. Counterstained with Hematoxylin.

Secondary antibody only control : Used PBS instead of primary antibody, secondary antibody is a ready to use Rabbit specific IHC polymer detection kit HRP/DAB (ab209101).

The section was incubated with ab220159 for 30 mins at 37℃. The immunostaining staining was performed on a Leica Biosystems BOND® RX instrument.

Perform heat mediated antigen retrieval with Tris/EDTA buffer pH 9.0 before commencing with IHC staining protocol.

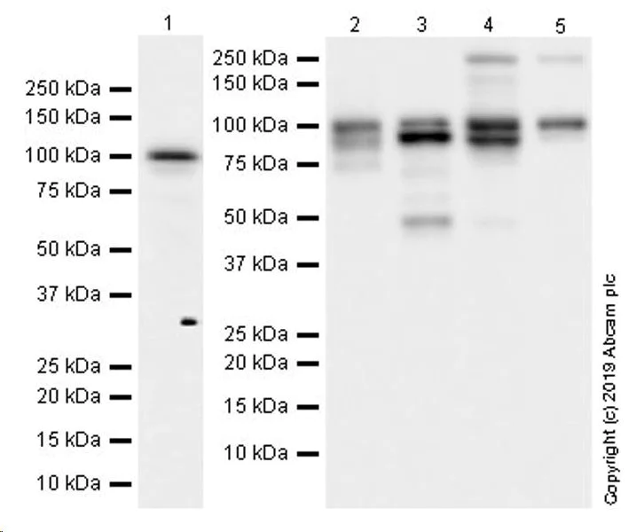
Western blot - Anti-YTHDC1 antibody [EPR21821] (AB220159)
  • WB

Unknown

Western blot - Anti-YTHDC1 antibody [EPR21821] (AB220159)

Blocking/diluting buffer and concentration : 5% NFDM/TBST

The doublet observed is consistent with what has been shown in the literature (PMID : 26876937). The second band may represent the isoform 2 of YTHDC1 (PMID : 23765422).

Exposure times :

Lane 1 : 70 seconds;

Lanes 2-5 : 48 seconds.

Lane 1:

Western blot - Anti-YTHDC1 antibody [EPR21821] (ab220159) at 1/5000 dilution

Lanes 2 - 5:

Western blot - Anti-YTHDC1 antibody [EPR21821] (ab220159) at 1/1000 dilution

Lane 1:

K-562 (human chronic myelogenous leukemia lymphoblast) whole cell lysate at 10 µg

Lane 2:

C6 (rat glial tumor glial cell) whole cell lysate at 10 µg

Lane 3:

RAW 264.7 (mouse abelson murine leukemia virus-induced tumor macrophage) whole cell lysate at 10 µg

Lane 4:

PC-12 (rat adrenal gland pheochromocytoma) whole cell lysate at 10 µg

Lane 5:

NIH/3T3 (mouse embryonic fibroblast) whole cell lysate at 10 µg

Secondary

All lanes:

Western blot - Goat Anti-Rabbit IgG H&L (HRP) (<a href='/en-us/products/secondary-antibodies/goat-rabbit-igg-h-l-hrp-ab97051'>ab97051</a>) at 1/100000 dilution

Predicted band size: 85 kDa

Observed band size: 100 kDa,95 kDa

false

Western blot - Anti-YTHDC1 antibody [EPR21821] (AB220159)
  • WB

Unknown

Western blot - Anti-YTHDC1 antibody [EPR21821] (AB220159)

Blocking/dilution buffer and concentration : 5% NFDM/TBST

The control and YTHDC1 knockdown cell lysates were kindly provided by an anonymous collaborator.

All lanes:

Western blot - Anti-YTHDC1 antibody [EPR21821] (ab220159) at 1/5000 dilution

Lane 1:

HeLa (human cervix adenocarcinoma epithelial cell) transfected with scrambled siRNA control whole cell lysate at 20 µg

Lane 2:

YTHDC1 knockdown HeLa whole cell lysate at 20 µg

Secondary

All lanes:

Western blot - Goat Anti-Rabbit IgG H&L (HRP) (<a href='/en-us/products/secondary-antibodies/goat-rabbit-igg-h-l-hrp-ab97051'>ab97051</a>) at 1/100000 dilution

Predicted band size: 85 kDa

Observed band size: 100 kDa

false

Exposure time: 59s

Western blot - Anti-YTHDC1 antibody [EPR21821] (AB220159)
  • WB

Unknown

Western blot - Anti-YTHDC1 antibody [EPR21821] (AB220159)

Blocking/Diluting buffer and concentration : 5% NFDM/TBST

The doublet observed is consistent with what has been shown in the literature (PMID : 26876937). The second band may represent the isoform 2 of YTHDC1 (PMID : 23765422).

All lanes:

Western blot - Anti-YTHDC1 antibody [EPR21821] (ab220159) at 1/1000 dilution

All lanes:

Human brain tissue lysate at 20 µg

Secondary

All lanes:

Western blot - VeriBlot for IP Detection Reagent (HRP) (<a href='/en-us/products/reagents/veriblot-for-ip-detection-reagent-hrp-ab131366'>ab131366</a>) at 1/1000 dilution

Predicted band size: 85 kDa

Observed band size: 100 kDa,95 kDa

false

Exposure time: 3min

  • Carrier free

    Anti-YTHDC1 antibody [EPR21821] - BSA and Azide free

Key facts

Host species

Rabbit

Clonality

Monoclonal

Clone number

EPR21821

Isotype

IgG

Carrier free

No

Reacts with

Mouse, Rat, Human

Applications

IHC-P, WB

applications

Immunogen

The exact immunogen used to generate this antibody is proprietary information.

Reactivity data

{ "title": "Reactivity Data", "filters": { "stats": ["", "Species", "Dilution Info", "Notes"], "tabs": { "all-applications": {"fullname" : "All Applications", "shortname": "All Applications"}, "IP" : {"fullname" : "Immunoprecipitation", "shortname":"IP"}, "FlowCyt" : {"fullname" : "Flow Cytometry", "shortname":"Flow Cyt"}, "WB" : {"fullname" : "Western blot", "shortname":"WB"}, "ICCIF" : {"fullname" : "Immunocytochemistry/ Immunofluorescence", "shortname":"ICC/IF"}, "IHCP" : {"fullname" : "Immunohistochemistry (Formalin/PFA-fixed paraffin-embedded sections)", "shortname":"IHC-P"} }, "product-promise": { "all": "all", "testedAndGuaranteed": "tested", "guaranteed": "expected", "predicted": "predicted", "notRecommended": "not-recommended" } }, "values": { "Human": { "IP-species-checked": "notRecommended", "IP-species-dilution-info": "", "IP-species-notes": "<p></p>", "FlowCyt-species-checked": "notRecommended", "FlowCyt-species-dilution-info": "", "FlowCyt-species-notes": "<p></p>", "WB-species-checked": "testedAndGuaranteed", "WB-species-dilution-info": "1/1000", "WB-species-notes": "<p></p>", "ICCIF-species-checked": "notRecommended", "ICCIF-species-dilution-info": "", "ICCIF-species-notes": "<p></p>", "IHCP-species-checked": "testedAndGuaranteed", "IHCP-species-dilution-info": "1/500", "IHCP-species-notes": "<p>Heat mediated antigen retrieval with Tris-EDTA buffer (pH 9.0, epitope retrieval solution 2) for 20 mins.</p>" }, "Mouse": { "IP-species-checked": "notRecommended", "IP-species-dilution-info": "", "IP-species-notes": "<p></p>", "FlowCyt-species-checked": "notRecommended", "FlowCyt-species-dilution-info": "", "FlowCyt-species-notes": "<p></p>", "WB-species-checked": "testedAndGuaranteed", "WB-species-dilution-info": "1/1000", "WB-species-notes": "<p></p>", "ICCIF-species-checked": "notRecommended", "ICCIF-species-dilution-info": "", "ICCIF-species-notes": "<p></p>", "IHCP-species-checked": "testedAndGuaranteed", "IHCP-species-dilution-info": "1/500", "IHCP-species-notes": "<p>Heat mediated antigen retrieval with Tris-EDTA buffer (pH 9.0, epitope retrieval solution 2) for 20 mins.</p>" }, "Rat": { "IP-species-checked": "notRecommended", "IP-species-dilution-info": "", "IP-species-notes": "<p></p>", "FlowCyt-species-checked": "notRecommended", "FlowCyt-species-dilution-info": "", "FlowCyt-species-notes": "<p></p>", "WB-species-checked": "testedAndGuaranteed", "WB-species-dilution-info": "1/1000", "WB-species-notes": "<p></p>", "ICCIF-species-checked": "notRecommended", "ICCIF-species-dilution-info": "", "ICCIF-species-notes": "<p></p>", "IHCP-species-checked": "testedAndGuaranteed", "IHCP-species-dilution-info": "1/500", "IHCP-species-notes": "<p>Heat mediated antigen retrieval with Tris-EDTA buffer (pH 9.0, epitope retrieval solution 2) for 20 mins.</p>" }, "Cat": { "IP-species-checked": "notRecommended", "IP-species-dilution-info": "", "IP-species-notes": "", "FlowCyt-species-checked": "notRecommended", "FlowCyt-species-dilution-info": "", "FlowCyt-species-notes": "", "WB-species-checked": "predicted", "WB-species-dilution-info": "", "WB-species-notes": "", "ICCIF-species-checked": "notRecommended", "ICCIF-species-dilution-info": "", "ICCIF-species-notes": "", "IHCP-species-checked": "predicted", "IHCP-species-dilution-info": "", "IHCP-species-notes": "" }, "Cow": { "IP-species-checked": "notRecommended", "IP-species-dilution-info": "", "IP-species-notes": "", "FlowCyt-species-checked": "notRecommended", "FlowCyt-species-dilution-info": "", "FlowCyt-species-notes": "", "WB-species-checked": "predicted", "WB-species-dilution-info": "", "WB-species-notes": "", "ICCIF-species-checked": "notRecommended", "ICCIF-species-dilution-info": "", "ICCIF-species-notes": "", "IHCP-species-checked": "predicted", "IHCP-species-dilution-info": "", "IHCP-species-notes": "" }, "Dog": { "IP-species-checked": "notRecommended", "IP-species-dilution-info": "", "IP-species-notes": "", "FlowCyt-species-checked": "notRecommended", "FlowCyt-species-dilution-info": "", "FlowCyt-species-notes": "", "WB-species-checked": "predicted", "WB-species-dilution-info": "", "WB-species-notes": "", "ICCIF-species-checked": "notRecommended", "ICCIF-species-dilution-info": "", "ICCIF-species-notes": "", "IHCP-species-checked": "predicted", "IHCP-species-dilution-info": "", "IHCP-species-notes": "" }, "Goat": { "IP-species-checked": "notRecommended", "IP-species-dilution-info": "", "IP-species-notes": "", "FlowCyt-species-checked": "notRecommended", "FlowCyt-species-dilution-info": "", "FlowCyt-species-notes": "", "WB-species-checked": "predicted", "WB-species-dilution-info": "", "WB-species-notes": "", "ICCIF-species-checked": "notRecommended", "ICCIF-species-dilution-info": "", "ICCIF-species-notes": "", "IHCP-species-checked": "predicted", "IHCP-species-dilution-info": "", "IHCP-species-notes": "" }, "Guinea pig": { "IP-species-checked": "notRecommended", "IP-species-dilution-info": "", "IP-species-notes": "", "FlowCyt-species-checked": "notRecommended", "FlowCyt-species-dilution-info": "", "FlowCyt-species-notes": "", "WB-species-checked": "predicted", "WB-species-dilution-info": "", "WB-species-notes": "", "ICCIF-species-checked": "notRecommended", "ICCIF-species-dilution-info": "", "ICCIF-species-notes": "", "IHCP-species-checked": "predicted", "IHCP-species-dilution-info": "", "IHCP-species-notes": "" }, "Horse": { "IP-species-checked": "notRecommended", "IP-species-dilution-info": "", "IP-species-notes": "", "FlowCyt-species-checked": "notRecommended", "FlowCyt-species-dilution-info": "", "FlowCyt-species-notes": "", "WB-species-checked": "predicted", "WB-species-dilution-info": "", "WB-species-notes": "", "ICCIF-species-checked": "notRecommended", "ICCIF-species-dilution-info": "", "ICCIF-species-notes": "", "IHCP-species-checked": "predicted", "IHCP-species-dilution-info": "", "IHCP-species-notes": "" }, "Pig": { "IP-species-checked": "notRecommended", "IP-species-dilution-info": "", "IP-species-notes": "", "FlowCyt-species-checked": "notRecommended", "FlowCyt-species-dilution-info": "", "FlowCyt-species-notes": "", "WB-species-checked": "predicted", "WB-species-dilution-info": "", "WB-species-notes": "", "ICCIF-species-checked": "notRecommended", "ICCIF-species-dilution-info": "", "ICCIF-species-notes": "", "IHCP-species-checked": "predicted", "IHCP-species-dilution-info": "", "IHCP-species-notes": "" }, "Sheep": { "IP-species-checked": "notRecommended", "IP-species-dilution-info": "", "IP-species-notes": "", "FlowCyt-species-checked": "notRecommended", "FlowCyt-species-dilution-info": "", "FlowCyt-species-notes": "", "WB-species-checked": "predicted", "WB-species-dilution-info": "", "WB-species-notes": "", "ICCIF-species-checked": "notRecommended", "ICCIF-species-dilution-info": "", "ICCIF-species-notes": "", "IHCP-species-checked": "predicted", "IHCP-species-dilution-info": "", "IHCP-species-notes": "" } } }

Product details

Patented technology
Our RabMAb® technology is a patented hybridoma-based technology for making rabbit monoclonal antibodies. For details on our patents, please refer to RabMAb® patents.

What are the advantages of a recombinant monoclonal antibody?
This product is a recombinant monoclonal antibody, which offers several advantages including:

  • - High batch-to-batch consistency and reproducibility
  • - Improved sensitivity and specificity
  • - Long-term security of supply
  • - Animal-free batch production

For more information, read more on recombinant antibodies.

Properties and storage information

Form
Liquid
Purification technique
Affinity purification Protein A
Storage buffer
pH: 7.2 - 7.4 Preservative: 0.01% Sodium azide Constituents: PBS, 40% Glycerol (glycerin, glycerine), 0.05% BSA
Shipped at conditions
Blue Ice
Appropriate short-term storage duration
1-2 weeks
Appropriate short-term storage conditions
+4°C
Appropriate long-term storage conditions
-20°C
Aliquoting information
Upon delivery aliquot
Storage information
Avoid freeze / thaw cycle

Supplementary information

This supplementary information is collated from multiple sources and compiled automatically.

YTHDC1 also known as YT521-B is a nuclear protein involved in mRNA processing. It belongs to the YTH domain family recognized for binding m6A-modified RNA. The protein has a mass of approximately 82 kDa. Expression of YTHDC1 occurs mainly in the nucleus but may also be found in other cellular compartments. Its widespread presence includes tissues such as the brain and liver suggesting its diverse functional roles.
Biological function summary

YTHDC1 operates in the regulation of mRNA splicing and transportation. It associates with spliceosome components to influence alternative splicing decisions. YTHDC1 part of the m6A reader complex recognizes the m6A methylation mark on RNA aiding in the control of mRNA fate. Additionally its interactions with certain proteins affect RNA stability and translation essential for proper gene expression regulation.

Pathways

YTHDC1 plays a significant role in RNA metabolism and the cellular response to stress. Involvement in the mRNA splicing pathway highlights its contribution to gene expression regulation. YTHDC1 interacts with proteins like SRSF3 and SRFS10 which modulate RNA splicing and stability. Another pathway includes its role in the cellular stress response where YTHDC1 helps maintain RNA integrity linking it to adaptive responses in cells.

YTHDC1 captures interest regarding cancer and neurodegenerative diseases. Abnormal expression levels or mutations in YTHDC1 have associations with various cancer types hinting at its role in tumorigenesis. Alterations in YTHDC1 expression impact splicing patterns and gene expression potentially influencing cancer progression. Additionally YTHDC1's connection to neurodegeneration involves proteins such as FUS and TDP-43 which are associated with disorders like amyotrophic lateral sclerosis (ALS) suggesting that YTHDC1 may play a role in RNA metabolism dysregulation observed in these diseases.

Product protocols

For this product, it's our understanding that no specific protocols are required. You can visit:

Target data

Regulator of alternative splicing that specifically recognizes and binds N6-methyladenosine (m6A)-containing RNAs (PubMed : 25242552, PubMed : 26318451, PubMed : 26876937, PubMed : 28984244). M6A is a modification present at internal sites of mRNAs and some non-coding RNAs and plays a role in the efficiency of mRNA splicing, processing and stability (PubMed : 25242552, PubMed : 26318451). Acts as a key regulator of exon-inclusion or exon-skipping during alternative splicing via interaction with mRNA splicing factors SRSF3 and SRSF10 (PubMed : 26876937). Specifically binds m6A-containing mRNAs and promotes recruitment of SRSF3 to its mRNA-binding elements adjacent to m6A sites, leading to exon-inclusion during alternative splicing (PubMed : 26876937). In contrast, interaction with SRSF3 prevents interaction with SRSF10, a splicing factor that promotes exon skipping : this prevents SRSF10 from binding to its mRNA-binding sites close to m6A-containing regions, leading to inhibit exon skipping during alternative splicing (PubMed : 26876937). May also regulate alternative splice site selection (PubMed : 20167602). Also involved in nuclear export of m6A-containing mRNAs via interaction with SRSF3 : interaction with SRSF3 facilitates m6A-containing mRNA-binding to both SRSF3 and NXF1, promoting mRNA nuclear export (PubMed : 28984244). Involved in S-adenosyl-L-methionine homeostasis by regulating expression of MAT2A transcripts, probably by binding m6A-containing MAT2A mRNAs (By similarity). Also recognizes and binds m6A on other RNA molecules (PubMed : 27602518). Involved in random X inactivation mediated by Xist RNA : recognizes and binds m6A-containing Xist and promotes transcription repression activity of Xist (PubMed : 27602518). Also recognizes and binds m6A-containing single-stranded DNA (PubMed : 32663306). Involved in germline development : required for spermatogonial development in males and oocyte growth and maturation in females, probably via its role in alternative splicing (By similarity).
See full target information YTHDC1

Publications (16)

Recent publications for all applications. Explore the full list and refine your search

Clinical and translational medicine 15:e70388 PubMed40629911

2025

IGF2BP2 binding to CPSF6 facilitates m6A-mediated alternative polyadenylation of PUM2 and promotes malignant progression in ovarian cancer.

Applications

Unspecified application

Species

Unspecified reactive species

Xin Luo,Qinglv Wei,Lingcui Xie,Ningxuan Chen,Bin Gu,Jiani Xu,Xiaoyan Jiang,Xinzhao Zuo,Hongyan Zhao,Xiaoyi Liu,Yu Yang,Tao Liu,Yong Zhu,Ping Yi,Jing Xu

Virus research 358:199590 PubMed40480313

2025

Enterovirus 71 structural viral protein 1 promotes the expression of PMP22 through mA modification in mouse Schwann cells.

Applications

Unspecified application

Species

Unspecified reactive species

Qiuyan Peng,Guangming Liu,Danping Zhu,Suyun Li,Sida Yang,Peiqing Li,Yingxian Yin,Dandan Hu

Cancer control : journal of the Moffitt Cancer Center 32:10732748251342685 PubMed40381190

2025

M6A Methylation Regulators METTL3 and ALKBH5 are Risk Factors for EGFR-Mutant NSCLC.

Applications

Unspecified application

Species

Unspecified reactive species

Yaofeng Zhi,Silin Liu,Xuefei Chang,Wanxian Guan,Ronggang Li,Qiongru Liu,Jiaqing Chen,Jie Ling,Xulin Zhao,Aibin Liu,Jiarong Chen,Xin Zhang,Yanming Huang

Cell proliferation 58:e13782 PubMed39614650

2024

METTL16 and YTHDC1 Regulate Spermatogonial Differentiation via m6A.

Applications

Unspecified application

Species

Unspecified reactive species

Xueying Gu,Xinyuan Dai,Haifeng Sun,Yilong Lian,Xingxu Huang,Bin Shen,Pengfei Zhang

Molecular neurobiology : PubMed38814536

2024

METTL14/YTHDC1-Mediated m6A Modification in Hippocampus Improves Pentylenetetrazol-Induced Acute Seizures.

Applications

WB, IHC-FoFr

Species

Mouse, Mouse

Xiaolin Zhong,Ling Chen,Yajuan Wang,Yue Liang,Yanmei Huang,Zuyao Chen,Wenyu Cao,Jianghua Liu,Xuyu Zu

Cell reports. Medicine 5:101572 PubMed38754420

2024

CD37 is a safe chimeric antigen receptor target to treat acute myeloid leukemia.

Applications

Unspecified application

Species

Unspecified reactive species

Benjamin Caulier,Sandy Joaquina,Pascal Gelebart,Tara Helén Dowling,Fatemeh Kaveh,Moritz Thomas,Luka Tandaric,Patrik Wernhoff,Niveditha Umesh Katyayini,Cara Wogsland,May Eriksen Gjerstad,Yngvar Fløisand,Gunnar Kvalheim,Carsten Marr,Sebastian Kobold,Jorrit M Enserink,Bjørn Tore Gjertsen,Emmet McCormack,Else Marit Inderberg,Sébastien Wälchli

Communications biology 7:399 PubMed38565940

2024

FAM120A deficiency improves resistance to cisplatin in gastric cancer by promoting ferroptosis.

Applications

RIP

Species

Human

Liangbo Niu,Yi Li,Guixiang Huang,Wei Huang,Jing Fu,Lu Feng

International immunopharmacology 131:111820 PubMed38508092

2024

Geniposide reduced oxidative stress-induced apoptosis in HK-2 cell through PI3K/AKT3/FOXO1 by m6A modification.

Applications

WB

Species

Human

Wenli Cheng,Luyi Tan,Susu Yu,Jia Song,Ziyin Li,Xinyue Peng,Qinzhi Wei,Zhini He,Wenjuan Zhang,Xingfen Yang

International journal of biological macromolecules 262:130101 PubMed38346619

2024

METTL3 enhances E. coli F18 resistance by targeting IKBKG/NF-κB signaling via an mA-YTHDF1-dependent manner in IPEC-J2 cells.

Applications

WB

Species

Pig

Jian Jin,Mengyuan Liu,Fuying Yu,Ming-An Sun,Zhengchang Wu

RNA biology 21:1-14 PubMed38326277

2024

Epitranscriptomic regulation in fasting hearts: implications for cardiac health.

Applications

WB

Species

Rat

Daniel Benak,Kristyna Holzerova,Jaroslav Hrdlicka,Frantisek Kolar,Mark Olsen,Mati Karelson,Marketa Hlavackova
View all publications

Product promise

We are committed to supporting your work with high-quality reagents, and we're here for you every step of the way. In the unlikely event that one of our products does not perform as expected, you're protected by our Product Promise.
For full details, please see our Terms & Conditions

Please note: All products are 'FOR RESEARCH USE ONLY. NOT FOR USE IN DIAGNOSTIC OR THERAPEUTIC PROCEDURES'.

For licensing inquiries, please contact partnerships@abcam.com