JavaScript is disabled in your browser. Please enable JavaScript to view this website.
AB251648

Anti-YTHDC1 antibody [EPR21821] - BSA and Azide free

Be the first to review this product! Submit a review

|

(0 Publication)

Rabbit Recombinant Monoclonal YTHDC1 antibody. Carrier free. Suitable for WB, IHC-P and reacts with Mouse, Rat, Human samples.

View Alternative Names

KIAA1966, YT521, YTHDC1, YTH domain-containing protein 1, Splicing factor YT521, YT521-B

4 Images
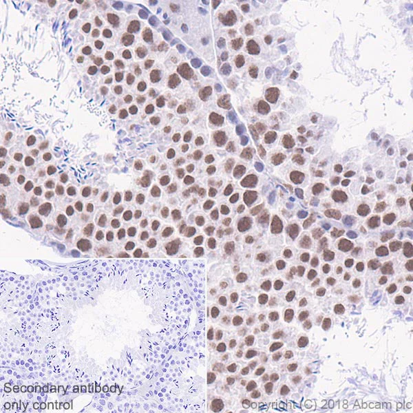
Immunohistochemistry (Formalin/PFA-fixed paraffin-embedded sections) - Anti-YTHDC1 antibody [EPR21821] - BSA and Azide free (AB251648)
  • IHC-P

Unknown

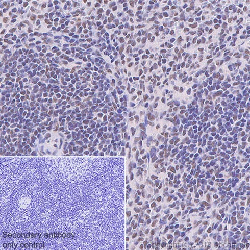
Immunohistochemistry (Formalin/PFA-fixed paraffin-embedded sections) - Anti-YTHDC1 antibody [EPR21821] - BSA and Azide free (AB251648)

Immunohistochemical analysis of paraffin-embedded mouse testis tissue stained for YTHDC1 with ab220159 at 1/500 dilution, followed by a ready to use Rabbit specific IHC polymer detection kit HRP/DAB (ab209101). Nuclear staining on mouse testis (PMID : 27602518; PMID : 29103884) is observed. Counterstained with Hematoxylin.

Secondary antibody only control : Used PBS instead of primary antibody, secondary antibody is a ready to use Rabbit specific IHC polymer detection kit HRP/DAB (ab209101).

The section was incubated with ab220159 for 30 mins at 37°C. The immunostaining staining was performed on a Leica Biosystems BOND® RX instrument.

This data was developed using the same antibody clone in a different buffer formulation containing PBS, BSA, glycerol, and sodium azide (ab220159).

Perform heat mediated antigen retrieval with Tris/EDTA buffer pH 9.0 before commencing with IHC staining protocol.

Immunohistochemistry (Formalin/PFA-fixed paraffin-embedded sections) - Anti-YTHDC1 antibody [EPR21821] - BSA and Azide free (AB251648)
  • IHC-P

Unknown

Immunohistochemistry (Formalin/PFA-fixed paraffin-embedded sections) - Anti-YTHDC1 antibody [EPR21821] - BSA and Azide free (AB251648)

Immunohistochemical analysis of paraffin-embedded rat spleen tissue stained for YTHDC1 with ab220159 at 1/500 dilution, followed by a ready to use Rabbit specific IHC polymer detection kit HRP/DAB (ab209101). Nuclear staining on rat spleen (PMID : 27602518; PMID : 29103884) is observed. Counterstained with Hematoxylin.

Secondary antibody only control : Used PBS instead of primary antibody, secondary antibody is a ready to use Rabbit specific IHC polymer detection kit HRP/DAB (ab209101).

The section was incubated with ab220159 for 30 mins at 37°C. The immunostaining staining was performed on a Leica Biosystems BOND® RX instrument.

This data was developed using the same antibody clone in a different buffer formulation containing PBS, BSA, glycerol, and sodium azide (ab220159).

Perform heat mediated antigen retrieval with Tris/EDTA buffer pH 9.0 before commencing with IHC staining protocol.

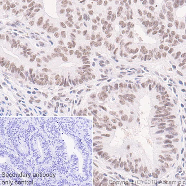
Immunohistochemistry (Formalin/PFA-fixed paraffin-embedded sections) - Anti-YTHDC1 antibody [EPR21821] - BSA and Azide free (AB251648)
  • IHC-P

Unknown

Immunohistochemistry (Formalin/PFA-fixed paraffin-embedded sections) - Anti-YTHDC1 antibody [EPR21821] - BSA and Azide free (AB251648)

Immunohistochemical analysis of paraffin-embedded human endometrial carcinoma tissue stained for YTHDC1 with ab220159 at 1/500 dilution, followed by a ready to use Rabbit specific IHC polymer detection kit HRP/DAB (ab209101). Nuclear staining on human endometrial carcinoma (PMID : 27602518; PMID : 29103884) is observed. Counterstained with Hematoxylin.

Secondary antibody only control : Used PBS instead of primary antibody, secondary antibody is a ready to use Rabbit specific IHC polymer detection kit HRP/DAB (ab209101).

The section was incubated with ab220159 for 30 mins at 37°C. The immunostaining staining was performed on a Leica Biosystems BOND® RX instrument.

This data was developed using the same antibody clone in a different buffer formulation containing PBS, BSA, glycerol, and sodium azide (ab220159).

Perform heat mediated antigen retrieval with Tris/EDTA buffer pH 9.0 before commencing with IHC staining protocol.

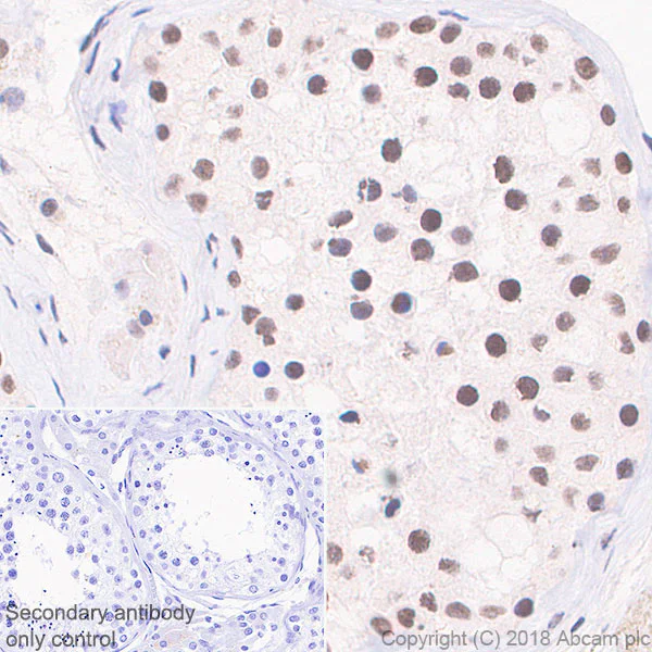
Immunohistochemistry (Formalin/PFA-fixed paraffin-embedded sections) - Anti-YTHDC1 antibody [EPR21821] - BSA and Azide free (AB251648)
  • IHC-P

Unknown

Immunohistochemistry (Formalin/PFA-fixed paraffin-embedded sections) - Anti-YTHDC1 antibody [EPR21821] - BSA and Azide free (AB251648)

Immunohistochemical analysis of paraffin-embedded Human testis tissue stained for YTHDC1 with ab220159 at 1/500 dilution, followed by a ready to use Rabbit specific IHC polymer detection kit HRP/DAB (ab209101). Nuclear staining on human testis (PMID : 27602518; PMID : 29103884) is observed. Counterstained with Hematoxylin.

Secondary antibody only control : Used PBS instead of primary antibody, secondary antibody is a ready to use Rabbit specific IHC polymer detection kit HRP/DAB (ab209101).

The section was incubated with ab220159 for 30 mins at 37°C. The immunostaining staining was performed on a Leica Biosystems BOND® RX instrument.

This data was developed using the same antibody clone in a different buffer formulation containing PBS, BSA, glycerol, and sodium azide (ab220159).

Perform heat mediated antigen retrieval with Tris/EDTA buffer pH 9.0 before commencing with IHC staining protocol.

Key facts

Host species

Rabbit

Clonality

Monoclonal

Clone number

EPR21821

Isotype

IgG

Carrier free

Yes

Reacts with

Mouse, Rat, Human

Applications

IHC-P, WB

applications

Immunogen

The exact immunogen used to generate this antibody is proprietary information.

Reactivity data

{ "title": "Reactivity Data", "filters": { "stats": ["", "Species", "Dilution Info", "Notes"], "tabs": { "all-applications": {"fullname" : "All Applications", "shortname": "All Applications"}, "IP" : {"fullname" : "Immunoprecipitation", "shortname":"IP"}, "FlowCyt" : {"fullname" : "Flow Cytometry", "shortname":"Flow Cyt"}, "WB" : {"fullname" : "Western blot", "shortname":"WB"}, "ICCIF" : {"fullname" : "Immunocytochemistry/ Immunofluorescence", "shortname":"ICC/IF"}, "IHCP" : {"fullname" : "Immunohistochemistry (Formalin/PFA-fixed paraffin-embedded sections)", "shortname":"IHC-P"} }, "product-promise": { "all": "all", "testedAndGuaranteed": "tested", "guaranteed": "expected", "predicted": "predicted", "notRecommended": "not-recommended" } }, "values": { "Human": { "IP-species-checked": "notRecommended", "IP-species-dilution-info": "", "IP-species-notes": "<p></p>", "FlowCyt-species-checked": "notRecommended", "FlowCyt-species-dilution-info": "", "FlowCyt-species-notes": "<p></p>", "WB-species-checked": "guaranteed", "WB-species-dilution-info": "", "WB-species-notes": "<p></p>", "ICCIF-species-checked": "notRecommended", "ICCIF-species-dilution-info": "", "ICCIF-species-notes": "<p></p>", "IHCP-species-checked": "testedAndGuaranteed", "IHCP-species-dilution-info": "", "IHCP-species-notes": "<p>Heat mediated antigen retrieval with Tris-EDTA buffer (pH 9.0, epitope retrieval solution 2) for 20 mins.</p> Perform heat-mediated antigen retrieval with Tris/EDTA buffer pH 9.0 before commencing with IHC staining protocol." }, "Mouse": { "IP-species-checked": "notRecommended", "IP-species-dilution-info": "", "IP-species-notes": "<p></p> Perform heat-mediated antigen retrieval with Tris/EDTA buffer pH 9.0 before commencing with IHC staining protocol.", "FlowCyt-species-checked": "notRecommended", "FlowCyt-species-dilution-info": "", "FlowCyt-species-notes": "<p></p>", "WB-species-checked": "guaranteed", "WB-species-dilution-info": "", "WB-species-notes": "<p></p>", "ICCIF-species-checked": "notRecommended", "ICCIF-species-dilution-info": "", "ICCIF-species-notes": "<p></p>", "IHCP-species-checked": "predicted", "IHCP-species-dilution-info": "", "IHCP-species-notes": "" }, "Rat": { "IP-species-checked": "notRecommended", "IP-species-dilution-info": "", "IP-species-notes": "<p></p>", "FlowCyt-species-checked": "notRecommended", "FlowCyt-species-dilution-info": "", "FlowCyt-species-notes": "<p></p>", "WB-species-checked": "guaranteed", "WB-species-dilution-info": "", "WB-species-notes": "<p></p>", "ICCIF-species-checked": "notRecommended", "ICCIF-species-dilution-info": "", "ICCIF-species-notes": "<p></p>", "IHCP-species-checked": "predicted", "IHCP-species-dilution-info": "", "IHCP-species-notes": "" } } }

Product details

ab251648 is the carrier-free version of ab220159.

Patented technology
Our RabMAb® technology is a patented hybridoma-based technology for making rabbit monoclonal antibodies. For details on our patents, please refer to RabMAb® patents.

What are the advantages of a recombinant monoclonal antibody?
This product is a recombinant monoclonal antibody, which offers several advantages including:

  • - High batch-to-batch consistency and reproducibility
  • - Improved sensitivity and specificity
  • - Long-term security of supply
  • - Animal-free batch production

For more information, read more on recombinant antibodies.

Conjugation ready
Our carrier-free antibodies are typically supplied in a PBS-only formulation, purified and free of BSA, sodium azide and glycerol. This conjugation-ready format is designed for use with fluorochromes, metal isotopes, oligonucleotides, and enzymes, which makes them ideal for antibody labelling, functional and cell-based assays, flow-based assays (e.g. mass cytometry) and Multiplex Imaging applications.

Use our conjugation kits for antibody conjugates that are ready-to-use in as little as 20 minutes with 1 minute hands-on-time and 100% antibody recovery: available for fluorescent dyes, HRP, biotin and gold.

Compatibility
This product is compatible with the Maxpar® Antibody Labeling Kit from Fluidigm, without the need for antibody preparation. Maxpar® is a trademark of Fluidigm Canada Inc.

Properties and storage information

Form
Liquid
Purification technique
Affinity purification Protein A
Storage buffer
pH: 7.2 - 7.4 Constituents: PBS
Shipped at conditions
Blue Ice
Appropriate short-term storage conditions
+4°C
Appropriate long-term storage conditions
+4°C
Storage information
Do Not Freeze

Supplementary information

This supplementary information is collated from multiple sources and compiled automatically.

YTHDC1 also known as YT521-B is a nuclear protein involved in mRNA processing. It belongs to the YTH domain family recognized for binding m6A-modified RNA. The protein has a mass of approximately 82 kDa. Expression of YTHDC1 occurs mainly in the nucleus but may also be found in other cellular compartments. Its widespread presence includes tissues such as the brain and liver suggesting its diverse functional roles.
Biological function summary

YTHDC1 operates in the regulation of mRNA splicing and transportation. It associates with spliceosome components to influence alternative splicing decisions. YTHDC1 part of the m6A reader complex recognizes the m6A methylation mark on RNA aiding in the control of mRNA fate. Additionally its interactions with certain proteins affect RNA stability and translation essential for proper gene expression regulation.

Pathways

YTHDC1 plays a significant role in RNA metabolism and the cellular response to stress. Involvement in the mRNA splicing pathway highlights its contribution to gene expression regulation. YTHDC1 interacts with proteins like SRSF3 and SRFS10 which modulate RNA splicing and stability. Another pathway includes its role in the cellular stress response where YTHDC1 helps maintain RNA integrity linking it to adaptive responses in cells.

YTHDC1 captures interest regarding cancer and neurodegenerative diseases. Abnormal expression levels or mutations in YTHDC1 have associations with various cancer types hinting at its role in tumorigenesis. Alterations in YTHDC1 expression impact splicing patterns and gene expression potentially influencing cancer progression. Additionally YTHDC1's connection to neurodegeneration involves proteins such as FUS and TDP-43 which are associated with disorders like amyotrophic lateral sclerosis (ALS) suggesting that YTHDC1 may play a role in RNA metabolism dysregulation observed in these diseases.

Product protocols

For this product, it's our understanding that no specific protocols are required. You can visit:

Target data

Regulator of alternative splicing that specifically recognizes and binds N6-methyladenosine (m6A)-containing RNAs (PubMed : 25242552, PubMed : 26318451, PubMed : 26876937, PubMed : 28984244). M6A is a modification present at internal sites of mRNAs and some non-coding RNAs and plays a role in the efficiency of mRNA splicing, processing and stability (PubMed : 25242552, PubMed : 26318451). Acts as a key regulator of exon-inclusion or exon-skipping during alternative splicing via interaction with mRNA splicing factors SRSF3 and SRSF10 (PubMed : 26876937). Specifically binds m6A-containing mRNAs and promotes recruitment of SRSF3 to its mRNA-binding elements adjacent to m6A sites, leading to exon-inclusion during alternative splicing (PubMed : 26876937). In contrast, interaction with SRSF3 prevents interaction with SRSF10, a splicing factor that promotes exon skipping : this prevents SRSF10 from binding to its mRNA-binding sites close to m6A-containing regions, leading to inhibit exon skipping during alternative splicing (PubMed : 26876937). May also regulate alternative splice site selection (PubMed : 20167602). Also involved in nuclear export of m6A-containing mRNAs via interaction with SRSF3 : interaction with SRSF3 facilitates m6A-containing mRNA-binding to both SRSF3 and NXF1, promoting mRNA nuclear export (PubMed : 28984244). Involved in S-adenosyl-L-methionine homeostasis by regulating expression of MAT2A transcripts, probably by binding m6A-containing MAT2A mRNAs (By similarity). Also recognizes and binds m6A on other RNA molecules (PubMed : 27602518). Involved in random X inactivation mediated by Xist RNA : recognizes and binds m6A-containing Xist and promotes transcription repression activity of Xist (PubMed : 27602518). Also recognizes and binds m6A-containing single-stranded DNA (PubMed : 32663306). Involved in germline development : required for spermatogonial development in males and oocyte growth and maturation in females, probably via its role in alternative splicing (By similarity).
See full target information YTHDC1

Product promise

We are committed to supporting your work with high-quality reagents, and we're here for you every step of the way. In the unlikely event that one of our products does not perform as expected, you're protected by our Product Promise.
For full details, please see our Terms & Conditions

Associated Products

Select an associated product type
Alternative Product
Primary Antibodies

AB264375

Anti-YTHDC1 antibody

primary-antibodies

ythdc1-antibody-ab264375

0

(0 reviews)

Please note: All products are 'FOR RESEARCH USE ONLY. NOT FOR USE IN DIAGNOSTIC OR THERAPEUTIC PROCEDURES'.

For licensing inquiries, please contact partnerships@abcam.com