JavaScript is disabled in your browser. Please enable JavaScript to view this website.
AB220160

Anti-YTHDC2 antibody [EPR21820-49]

5

(4 Reviews)

|

(29 Publications)

Rabbit Recombinant Monoclonal YTHDC2 antibody. Suitable for IP, WB, IHC-Fr, Flow Cyt (Intra), IHC-P and reacts with Human, Mouse, Rat samples. Cited in 29 publications.

View Alternative Names

3'-5' RNA helicase YTHDC2, YTH domain-containing protein 2, hYTHDC2, YTHDC2

11 Images
Flow Cytometry (Intracellular) - Anti-YTHDC2 antibody [EPR21820-49] (AB220160)
  • Flow Cyt (Intra)

Unknown

Flow Cytometry (Intracellular) - Anti-YTHDC2 antibody [EPR21820-49] (AB220160)

Intracellular flow cytometric analysis of 4% paraformaldehyde fixed 90% methanol permeabilized HeLa (human cervix adenocarcinoma epithelial cell) cells labelling YTHDC2 with ab220160 at 1/600 (Red) compared with a Rabbit monoclonal IgG (ab172730) / Black isotype control and an unlabelled control (cells without incubation with primary antibody and secondary antibody) (Blue). A Goat anti rabbit IgG (Alexa Fluor® 488, ab150077) at 1/2000 dilution was used as the secondary antibody.

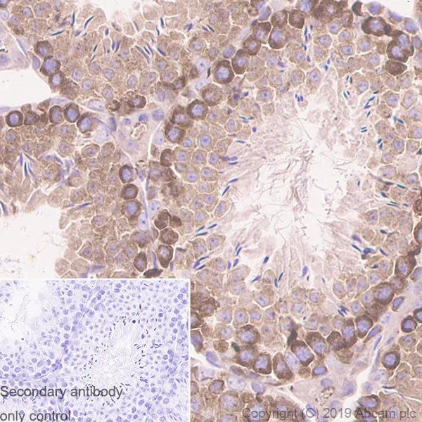
Immunohistochemistry (Formalin/PFA-fixed paraffin-embedded sections) - Anti-YTHDC2 antibody [EPR21820-49] (AB220160)
  • IHC-P

Unknown

Immunohistochemistry (Formalin/PFA-fixed paraffin-embedded sections) - Anti-YTHDC2 antibody [EPR21820-49] (AB220160)

Immunohistochemical analysis of paraffin-embedded Human testis tissue labeling YTHDC2 with ab220160 at 1/500 dilution (1.19 ug/ml) followed by a ready to use Goat Anti-Rabbit IgG H&L (HRP). Cytoplasmic staining on human testis (PMID : 28380054). Counterstained with Hematoxylin.

Secondary antibody only control : Secondary antibody is a ready to use Goat Anti-Rabbit IgG H&L (HRP).

Heat mediated antigen retrieval using ab93684 (Tris/EDTA buffer, pH 9.0).

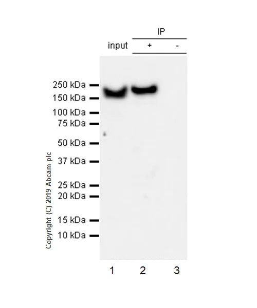
Immunoprecipitation - Anti-YTHDC2 antibody [EPR21820-49] (AB220160)
  • IP

Unknown

Immunoprecipitation - Anti-YTHDC2 antibody [EPR21820-49] (AB220160)

YTHDC2 was immunoprecipitated from 0.35 mg of HeLa (human cervix adenocarcinoma epithelial cell) whole cell lysate with ab220160 at 1/30 dilution. Western blot was performed from the immunoprecipitate using ab220160 at 1/1000 dilution. VeriBlot for IP secondary antibody (HRP) (ab131366), was used as secondary antibody at 1/5000 dilution.

Lane 1 : HeLa whole cell lysate 10 μ (Input).
Lane 2 : ab220160IP in HeLa whole cell lysate.
Lane 3 : Rabbit monoclonal IgG (ab172730) instead of ab220160 in HeLa whole cell lysate.

Blocking and dilution buffer and concentration : 5% NFDM/TBST.
Exposure time : 30 seconds.

All lanes:

Immunoprecipitation - Anti-YTHDC2 antibody [EPR21820-49] (ab220160)

Predicted band size: 160 kDa

Observed band size: 160 kDa

false

Immunohistochemistry (Formalin/PFA-fixed paraffin-embedded sections) - Anti-YTHDC2 antibody [EPR21820-49] (AB220160)
  • IHC-P

Unknown

Immunohistochemistry (Formalin/PFA-fixed paraffin-embedded sections) - Anti-YTHDC2 antibody [EPR21820-49] (AB220160)

Immunohistochemical analysis of paraffin-embedded Mouse testis tissue labeling YTHDC2 with ab220160 at 1/500 dilution (1.19 ug/ml) followed by a ready to use Goat Anti-Rabbit IgG H&L (HRP). Cytoplasmic staining on mouse testis (PMID : 28380054). Counterstained with Hematoxylin.

Secondary antibody only control : Secondary antibody is a ready to use Goat Anti-Rabbit IgG H&L (HRP).

Heat mediated antigen retrieval using ab93684 (Tris/EDTA buffer, pH 9.0).

Immunohistochemistry (Frozen sections) - Anti-YTHDC2 antibody [EPR21820-49] (AB220160)
  • IHC-Fr

Supplier Data

Immunohistochemistry (Frozen sections) - Anti-YTHDC2 antibody [EPR21820-49] (AB220160)

Immunohistochemical analysis of 4% paraformaldehyde fixed, 0.2% Triton X-100 permeabilised rat testis tissue labeling YTHDC2 with ab220160 at 1/50 dilution (11 ug/mL). Followed by ab150077 AlexaFluor®488 Goat anti-Rabbit secondary antibody at 1/1000 dilution (2 ug/mL). Showing cytoplasmic staining on rat testis. Nuclear counterstain : DAPI.

Immunohistochemistry (Frozen sections) - Anti-YTHDC2 antibody [EPR21820-49] (AB220160)
  • IHC-Fr

Supplier Data

Immunohistochemistry (Frozen sections) - Anti-YTHDC2 antibody [EPR21820-49] (AB220160)

Immunohistochemical analysis of 4% paraformaldehyde fixed, 0.2% Triton X-100 permeabilised mouse testis tissue labeling YTHDC2 with ab220160 at 1/50 dilution (11 ug/mL). Followed by ab150077 AlexaFluor®488 Goat anti-Rabbit secondary antibody at 1/1000 dilution (2 ug/mL). Showing cytoplasmic staining on mouse testis. Nuclear counterstain : DAPI.

Immunohistochemistry (Frozen sections) - Anti-YTHDC2 antibody [EPR21820-49] (AB220160)
  • IHC-Fr

Supplier Data

Immunohistochemistry (Frozen sections) - Anti-YTHDC2 antibody [EPR21820-49] (AB220160)

Negative control : (PMID : 29087293)

Immunohistochemical analysis of 4% paraformaldehyde fixed, 0.2% Triton X-100 permeabilised mouse heart tissue labeling YTHDC2 with ab220160 at 1/50 dilution (11 ug/mL). Followed by ab150077 AlexaFluor®488 Goat anti-Rabbit secondary antibody at 1/1000 dilution (2 ug/mL). No staining observed on mouse heart. Nuclear counterstain : DAPI.

Immunohistochemistry (Frozen sections) - Anti-YTHDC2 antibody [EPR21820-49] (AB220160)
  • IHC-Fr

Supplier Data

Immunohistochemistry (Frozen sections) - Anti-YTHDC2 antibody [EPR21820-49] (AB220160)

Negative control : (PMID : 29087293)

Immunohistochemical analysis of 4% paraformaldehyde fixed, 0.2% Triton X-100 permeabilised rat heart tissue labeling YTHDC2 with ab220160 at 1/50 dilution (11 ug/mL). Followed by ab150077 AlexaFluor®488 Goat anti-Rabbit secondary antibody at 1/1000 dilution (2 ug/mL). No staining observed on rat heart. Nuclear counterstain : DAPI.

Immunohistochemistry (Formalin/PFA-fixed paraffin-embedded sections) - Anti-YTHDC2 antibody [EPR21820-49] (AB220160)
  • IHC-P

Unknown

Immunohistochemistry (Formalin/PFA-fixed paraffin-embedded sections) - Anti-YTHDC2 antibody [EPR21820-49] (AB220160)

Immunohistochemical analysis of paraffin-embedded Rat testis tissue labeling YTHDC2 with ab220160 at 1/500 dilution (1.19 ug/ml) followed by a ready to use Goat Anti-Rabbit IgG H&L (HRP). Cytoplasmic staining on rat testis (PMID : 28380054). Counterstained with Hematoxylin.

Secondary antibody only control : Secondary antibody is a ready to use Goat Anti-Rabbit IgG H&L (HRP).

Heat mediated antigen retrieval using ab93684 (Tris/EDTA buffer, pH 9.0).

Western blot - Anti-YTHDC2 antibody [EPR21820-49] (AB220160)
  • WB

Supplier Data

Western blot - Anti-YTHDC2 antibody [EPR21820-49] (AB220160)

Blocking and dilution buffer : 5% NFDM/TBST.

Exposure times.

Lane 1 : 3 minutes; Lanes 2-3 : 37 seconds; Lane 4 : 3 minutes; Lane 5 : 37 seconds.

All lanes:

Western blot - Anti-YTHDC2 antibody [EPR21820-49] (ab220160) at 1/1000 dilution

Lane 1:

HT-1080 (human fibrosarcoma epithelial cell) whole cell lysate at 20 µg

Lane 2:

HeLa (human cervix adenocarcinoma epithelial cell) whole cell lysate at 20 µg

Lane 3:

HEK-293 (human embryonic kidney epithelial cell) whole cell lysate at 20 µg

Lane 4:

NIH/3T3 (mouse embryonic fibroblast) whole cell lysate at 20 µg

Lane 5:

PC-12 (rat adrenal gland pheochromocytoma) whole cell lysate at 20 µg

Secondary

All lanes:

Western blot - Goat Anti-Rabbit IgG H&L (HRP) (<a href='/en-us/products/secondary-antibodies/goat-rabbit-igg-h-l-hrp-ab97051'>ab97051</a>) at 1/100000 dilution

Predicted band size: 160 kDa

Observed band size: 160 kDa

false

Western blot - Anti-YTHDC2 antibody [EPR21820-49] (AB220160)
  • WB

Supplier Data

Western blot - Anti-YTHDC2 antibody [EPR21820-49] (AB220160)

Blocking and dilution bufer : 5% NFDM/TBST.

The wild-type and YTHDC2 knockout cell lysates were kindly provided by an anonymous collaborator.

ab220160 was shown to specifically react with YTHDC2 in wild-type mESC cells as signal was lost in YTHDC2 knockout cells. Wild-type and YTHDC2 knockout samples were subjected to SDS-PAGE. ab220160 and ab181602 (Rabbit anti-GAPDH loading control) were incubated 1 hour at room temperature at 1/1000 dilution and 1/200,000 dilution respectively. Blots were developed with Goat Anti-Rabbit IgG, (H+L), Peroxidase conjugated (ab97051) secondary antibody at 1/100,000 dilution for 1 hour at room temperature before imaging.

All lanes:

Western blot - Anti-YTHDC2 antibody [EPR21820-49] (ab220160) at 1/1000 dilution

Lane 1:

Wild-type mESC (mouse embryo stem cell) whole cell lysate at 40 µg

Lane 2:

YTHDC2 knockout mESC whole cell lysate at 40 µg

Secondary

All lanes:

Western blot - Goat Anti-Rabbit IgG H&L (HRP) (<a href='/en-us/products/secondary-antibodies/goat-rabbit-igg-h-l-hrp-ab97051'>ab97051</a>) at 1/100000 dilution

Predicted band size: 160 kDa

Observed band size: 160 kDa

false

Exposure time: 3min

  • Carrier free

    Anti-YTHDC2 antibody [EPR21820-49] - BSA and Azide free

Key facts

Host species

Rabbit

Clonality

Monoclonal

Clone number

EPR21820-49

Isotype

IgG

Carrier free

No

Reacts with

Mouse, Rat, Human

Applications

IP, WB, IHC-P, IHC-Fr, Flow Cyt (Intra)

applications

Immunogen

The exact immunogen used to generate this antibody is proprietary information.

Reactivity data

{ "title": "Reactivity Data", "filters": { "stats": ["", "Species", "Dilution Info", "Notes"], "tabs": { "all-applications": {"fullname" : "All Applications", "shortname": "All Applications"}, "IP" : {"fullname" : "Immunoprecipitation", "shortname":"IP"}, "WB" : {"fullname" : "Western blot", "shortname":"WB"}, "ICCIF" : {"fullname" : "Immunocytochemistry/ Immunofluorescence", "shortname":"ICC/IF"}, "IHCFr" : {"fullname" : "Immunohistochemistry (Frozen sections)", "shortname":"IHC-Fr"}, "FlowCytIntra" : {"fullname" : "Flow Cytometry (Intracellular)", "shortname":"Flow Cyt (Intra)"}, "IHCP" : {"fullname" : "Immunohistochemistry (Formalin/PFA-fixed paraffin-embedded sections)", "shortname":"IHC-P"} }, "product-promise": { "all": "all", "testedAndGuaranteed": "tested", "guaranteed": "expected", "predicted": "predicted", "notRecommended": "not-recommended" } }, "values": { "Human": { "IP-species-checked": "testedAndGuaranteed", "IP-species-dilution-info": "1/30", "IP-species-notes": "<p></p>", "WB-species-checked": "testedAndGuaranteed", "WB-species-dilution-info": "1/1000", "WB-species-notes": "<p></p>", "ICCIF-species-checked": "notRecommended", "ICCIF-species-dilution-info": "", "ICCIF-species-notes": "<p></p>", "IHCFr-species-checked": "guaranteed", "IHCFr-species-dilution-info": "", "IHCFr-species-notes": "", "FlowCytIntra-species-checked": "testedAndGuaranteed", "FlowCytIntra-species-dilution-info": "1/600", "FlowCytIntra-species-notes": "<p></p>", "IHCP-species-checked": "testedAndGuaranteed", "IHCP-species-dilution-info": "1/500", "IHCP-species-notes": "<p></p>" }, "Mouse": { "IP-species-checked": "guaranteed", "IP-species-dilution-info": "", "IP-species-notes": "", "WB-species-checked": "testedAndGuaranteed", "WB-species-dilution-info": "1/1000", "WB-species-notes": "<p></p>", "ICCIF-species-checked": "notRecommended", "ICCIF-species-dilution-info": "", "ICCIF-species-notes": "", "IHCFr-species-checked": "testedAndGuaranteed", "IHCFr-species-dilution-info": "1/50", "IHCFr-species-notes": "<p></p>", "FlowCytIntra-species-checked": "guaranteed", "FlowCytIntra-species-dilution-info": "", "FlowCytIntra-species-notes": "", "IHCP-species-checked": "testedAndGuaranteed", "IHCP-species-dilution-info": "1/500", "IHCP-species-notes": "<p></p>" }, "Rat": { "IP-species-checked": "guaranteed", "IP-species-dilution-info": "", "IP-species-notes": "", "WB-species-checked": "testedAndGuaranteed", "WB-species-dilution-info": "1/1000", "WB-species-notes": "<p></p>", "ICCIF-species-checked": "notRecommended", "ICCIF-species-dilution-info": "", "ICCIF-species-notes": "", "IHCFr-species-checked": "testedAndGuaranteed", "IHCFr-species-dilution-info": "1/50", "IHCFr-species-notes": "<p></p>", "FlowCytIntra-species-checked": "guaranteed", "FlowCytIntra-species-dilution-info": "", "FlowCytIntra-species-notes": "", "IHCP-species-checked": "testedAndGuaranteed", "IHCP-species-dilution-info": "1/500", "IHCP-species-notes": "<p></p>" }, "Cow": { "IP-species-checked": "predicted", "IP-species-dilution-info": "", "IP-species-notes": "", "WB-species-checked": "predicted", "WB-species-dilution-info": "", "WB-species-notes": "", "ICCIF-species-checked": "notRecommended", "ICCIF-species-dilution-info": "", "ICCIF-species-notes": "", "IHCFr-species-checked": "predicted", "IHCFr-species-dilution-info": "", "IHCFr-species-notes": "", "FlowCytIntra-species-checked": "predicted", "FlowCytIntra-species-dilution-info": "", "FlowCytIntra-species-notes": "", "IHCP-species-checked": "predicted", "IHCP-species-dilution-info": "", "IHCP-species-notes": "" }, "Pig": { "IP-species-checked": "predicted", "IP-species-dilution-info": "", "IP-species-notes": "", "WB-species-checked": "predicted", "WB-species-dilution-info": "", "WB-species-notes": "", "ICCIF-species-checked": "notRecommended", "ICCIF-species-dilution-info": "", "ICCIF-species-notes": "", "IHCFr-species-checked": "predicted", "IHCFr-species-dilution-info": "", "IHCFr-species-notes": "", "FlowCytIntra-species-checked": "predicted", "FlowCytIntra-species-dilution-info": "", "FlowCytIntra-species-notes": "", "IHCP-species-checked": "predicted", "IHCP-species-dilution-info": "", "IHCP-species-notes": "" }, "Primates": { "IP-species-checked": "predicted", "IP-species-dilution-info": "", "IP-species-notes": "", "WB-species-checked": "predicted", "WB-species-dilution-info": "", "WB-species-notes": "", "ICCIF-species-checked": "notRecommended", "ICCIF-species-dilution-info": "", "ICCIF-species-notes": "", "IHCFr-species-checked": "predicted", "IHCFr-species-dilution-info": "", "IHCFr-species-notes": "", "FlowCytIntra-species-checked": "predicted", "FlowCytIntra-species-dilution-info": "", "FlowCytIntra-species-notes": "", "IHCP-species-checked": "predicted", "IHCP-species-dilution-info": "", "IHCP-species-notes": "" } } }

Product details

Patented technology
Our RabMAb® technology is a patented hybridoma-based technology for making rabbit monoclonal antibodies. For details on our patents, please refer to RabMAb® patents.

What are the advantages of a recombinant monoclonal antibody?
This product is a recombinant monoclonal antibody, which offers several advantages including:

  • - High batch-to-batch consistency and reproducibility
  • - Improved sensitivity and specificity
  • - Long-term security of supply
  • - Animal-free batch production

For more information, read more on recombinant antibodies.

Properties and storage information

Form
Liquid
Purification technique
Affinity purification Protein A
Storage buffer
pH: 7.2 - 7.4 Preservative: 0.01% Sodium azide Constituents: PBS, 40% Glycerol (glycerin, glycerine), 0.05% BSA
Shipped at conditions
Blue Ice
Appropriate short-term storage duration
1-2 weeks
Appropriate short-term storage conditions
+4°C
Appropriate long-term storage conditions
-20°C
Aliquoting information
Upon delivery aliquot
Storage information
Avoid freeze / thaw cycle

Supplementary information

This supplementary information is collated from multiple sources and compiled automatically.

YTHDC2 also known as YT521-B homology domain containing 2 functions as an RNA helicase with a molecular mass of approximately 160 kDa. This protein modulates RNA metabolism by promoting the efficient translation of mRNAs. It shows enriched expression in the testis as well as notable levels in immune cells and possibly in other tissues. Its involvement in the recognition and binding of N6-methyladenosine (m6A)-modified RNA substrates makes YTHDC2 a significant factor in RNA processing.
Biological function summary

YTHDC2 contributes to the regulation of mRNA stability and turnover within the cell. It may operate as part of a complex involved in post-transcriptional control. Through these actions YTHDC2 influences processes such as meiosis and the differentiation of germ cells supported by its association with m6A reader proteins. This association plays a role in the recognition of specific m6A marks critical for RNA dynamics.

Pathways

YTHDC2 integrates into the m6A-dependent RNA decay and translation machinery. One important pathway involving this protein is the m6A-mediated gene expression regulation pathway. Within this context YTHDC2 interacts closely with other m6A machinery components such as METTL3 and bridges mRNA modification with subsequent cellular outcomes. Another related pathway is spermatogenesis where the precise control by YTHDC2 is necessary for successful meiosis via interaction with various meiotic proteins.

Aberrant regulation or expression of YTHDC2 links to infertility as proper expression is necessary for normal germ cell development. This condition involves its association with other reproductive proteins such as those functioning in meiosis. Disorders in mRNA metabolism potentially leading to cancer might also implicate YTHDC2 due to its broad role in regulating mRNA stability and translation highlighting the need to understand its interactions with tumor-related pathways.

Product protocols

For this product, it's our understanding that no specific protocols are required. You can visit:

Target data

3'-5' RNA helicase that plays a key role in the male and female germline by promoting transition from mitotic to meiotic divisions in stem cells (PubMed : 26318451, PubMed : 29033321, PubMed : 29970596). Specifically recognizes and binds N6-methyladenosine (m6A)-containing RNAs, a modification present at internal sites of mRNAs and some non-coding RNAs that plays a role in the efficiency of RNA processing and stability (PubMed : 26318451, PubMed : 29033321). Essential for ensuring a successful progression of the meiotic program in the germline by regulating the level of m6A-containing RNAs (By similarity). Acts by binding and promoting degradation of m6A-containing mRNAs : the 3'-5' RNA helicase activity is required for this process and RNA degradation may be mediated by XRN1 exoribonuclease (PubMed : 29033321). Required for both spermatogenesis and oogenesis (By similarity).
See full target information YTHDC2

Publications (29)

Recent publications for all applications. Explore the full list and refine your search

Oncology letters 30:498 PubMed40917727

2025

YTHDC2 inhibits HPV-positive cervical cancer growth by suppressing SLC7A11 in a ferroptosis-dependent manner.

Applications

Unspecified application

Species

Unspecified reactive species

Li Ren,Junjun Zhang,Jinjin Yang,Li Ji,Jingjing Guo

Cancer cell international 25:290 PubMed40722171

2025

mA-modified CTC-297N7.9 inhibits hepatocellular carcinoma metastasis via epigenetically downregulating CCL2 and CD47.

Applications

Unspecified application

Species

Unspecified reactive species

Huamei Wei,Changhong Pu,Min Zeng,Rongzhou Lu,Yunyu Wei,Yanyan Huang,Zheng Huang,Lizheng Huang,Zuoming Xu,Jianchu Wang,Rihai Ma,Jian Pu

Clinical and translational medicine 15:e70388 PubMed40629911

2025

IGF2BP2 binding to CPSF6 facilitates m6A-mediated alternative polyadenylation of PUM2 and promotes malignant progression in ovarian cancer.

Applications

Unspecified application

Species

Unspecified reactive species

Xin Luo,Qinglv Wei,Lingcui Xie,Ningxuan Chen,Bin Gu,Jiani Xu,Xiaoyan Jiang,Xinzhao Zuo,Hongyan Zhao,Xiaoyi Liu,Yu Yang,Tao Liu,Yong Zhu,Ping Yi,Jing Xu

Communications biology 8:457 PubMed40102597

2025

Peli1, regulated by mA modification, suppresses NLRP3 inflammasome activation in atherosclerosis by inhibiting YB-1.

Applications

Unspecified application

Species

Unspecified reactive species

Qiang Liu,Lu Yan,Tao Wu,Qinghua Wu,Ben Ke,Wen Shen

Journal of hepatocellular carcinoma 11:2393-2411 PubMed39649245

2024

mA-Methylated NUTM2B-AS1 Promotes Hepatocellular Carcinoma Stemness Feature via Epigenetically Activating Transcription.

Applications

Unspecified application

Species

Unspecified reactive species

Wenchuan Li,Min Zeng,Yuanjia Ning,Rongzhou Lu,Yunyu Wei,Zuoming Xu,Huamei Wei,Jian Pu

Frontiers in immunology 15:1440398 PubMed39534605

2024

YTHDC1 Regulates the Migration, Invasion, Proliferation, and Apoptosis of Rheumatoid Fibroblast-Like Synoviocytes.

Applications

Unspecified application

Species

Unspecified reactive species

Zhi-Wei Feng,Chen-Fei Yang,He-Fang Xiao,Fa Yuan,Feng Chen,Bo Zhang,Jun Zhang,Min Tan,Ming-Gang Guo

Theranostics 14:5551-5570 PubMed39310099

2024

The m6A reader YTHDC2 promotes the pathophysiology of temporal lobe epilepsy by modulating SLC7A11-dependent glutamate dysregulation in astrocytes.

Applications

Unspecified application

Species

Unspecified reactive species

Kai Zhang,Zhiquan Yang,Zhuanyi Yang,Liangchao Du,Yu Zhou,Shiyu Fu,Xiaoyue Wang,Xing Li,Dingyang Liu,Xinghui He

Military Medical Research 11:22 PubMed38622688

2024

Interferon-α stimulates DExH-box helicase 58 to prevent hepatocyte ferroptosis.

Applications

Unspecified application

Species

Unspecified reactive species

Kai-Wei Jia,Ren-Qi Yao,Yi-Wen Fan,Ding-Ji Zhang,Ye Zhou,Min-Jun Wang,Li-Yuan Zhang,Yue Dong,Zhi-Xuan Li,Su-Yuan Wang,Mu Wang,Yun-Hui Li,Lu-Xin Zhang,Ting Lei,Liang-Chen Gui,Shan Lu,Ying-Yun Yang,Si-Xian Wang,Yi-Zhi Yu,Yong-Ming Yao,Jin Hou

Cellular & molecular biology letters 29:36 PubMed38486141

2024

Obesity-induced downregulation of miR-192 exacerbates lipopolysaccharide-induced acute lung injury by promoting macrophage activation.

Applications

Unspecified application

Species

Unspecified reactive species

Siqi Wu,Wenjing Tang,Ling Liu,Ke Wei,Yin Tang,Jingyue Ma,Hongbin Li,Yichan Ao

Epigenetics 19:2326868 PubMed38465865

2024

m6A reader YTHDC2 mediates NCOA4 mRNA stability affecting ferritinophagy to alleviate secondary injury after intracerebral haemorrhage.

Applications

Unspecified application

Species

Unspecified reactive species

Fengfeng Li,Fang Wang,Lei Wang,Jianhua Wang,Shanshan Wei,Junjun Meng,Yanan Li,Lei Feng,Pei Jiang
View all publications

Product promise

We are committed to supporting your work with high-quality reagents, and we're here for you every step of the way. In the unlikely event that one of our products does not perform as expected, you're protected by our Product Promise.
For full details, please see our Terms & Conditions

Please note: All products are 'FOR RESEARCH USE ONLY. NOT FOR USE IN DIAGNOSTIC OR THERAPEUTIC PROCEDURES'.

For licensing inquiries, please contact partnerships@abcam.com