JavaScript is disabled in your browser. Please enable JavaScript to view this website.
AB283277

Anti-YTHDC2 antibody [EPR24278-9] - BSA and Azide free

Be the first to review this product! Submit a review

|

(0 Publication)

Rabbit Recombinant Monoclonal YTHDC2 antibody. Carrier free. Suitable for IP, WB, IHC-Fr, IHC-P and reacts with Human, Mouse, Rat samples.

View Alternative Names

3'-5' RNA helicase YTHDC2, YTH domain-containing protein 2, hYTHDC2, YTHDC2

13 Images
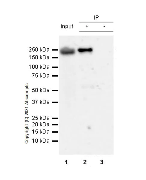
Immunoprecipitation - Anti-YTHDC2 antibody [EPR24278-9] - BSA and Azide free (AB283277)
  • IP

Supplier Data

Immunoprecipitation - Anti-YTHDC2 antibody [EPR24278-9] - BSA and Azide free (AB283277)

This data was developed using ab271139, the same antibody clone in a different buffer formulation.

YTHDC2 was immunoprecipitated from 0.35 mg HeLa (human cervix adenocarcinoma epithelial cell) whole cell lysate 10 μg with ab271139 at 1/30 dilution (2μg in 0.35mg lysates). Western blot was performed on the immunoprecipitate using ab271139 at 1/1000 dilution. VeriBlot for IP secondary antibody(HRP) (ab131366) was used at 1/5000 dilution.

Lane 1 : HeLa (human cervix adenocarcinoma epithelial cell) whole cell lysate 10 μg

Lane 2 : ab271139 IP in HeLa whole cell lysate

Lane 3 : Rabbit monoclonal IgG (ab172730) instead of ab271139 in HeLa whole cell lysate

Blocking and dilution buffer and concentration : 5% NFDM/TBST.

Exposure time : 24 seconds.

Lysates were made freshly and used in IP test immediately to minimize protein degradation.

All lanes:

Immunoprecipitation - Anti-YTHDC2 antibody [EPR24278-9] (<a href='/en-us/products/primary-antibodies/ythdc2-antibody-epr24278-9-ab271139'>ab271139</a>)

Predicted band size: 160 kDa

Observed band size: 160 kDa

false

Immunohistochemistry (Formalin/PFA-fixed paraffin-embedded sections) - Anti-YTHDC2 antibody [EPR24278-9] - BSA and Azide free (AB283277)
  • IHC-P

Supplier Data

Immunohistochemistry (Formalin/PFA-fixed paraffin-embedded sections) - Anti-YTHDC2 antibody [EPR24278-9] - BSA and Azide free (AB283277)

This data was developed using ab271139, the same antibody clone in a different buffer formulation.

Immunohistochemical analysis of paraffin-embedded Mouse cerebrum tissue labelling YTHDC2 with ab271139 at 1/2000 (0.285 μg/mL) followed by a ready to use LeicaDS9800 (Bond™ Polymer Refine Detection). Cytoplasmic staining on mouse cerebrum. The section was incubated with ab271139 for 30 mins at room temperature. The immunostaining was performed on a Leica Biosystems BOND® RX instrument Counterstained with Hematoxylin.

Secondary antibody only control : Secondary antibody is a ready to use LeicaDS9800 (Bond™ Polymer Refine Detection).

Heat mediated antigen retrieval with Tris-EDTA buffer (pH 9.0, epitope retrieval solution2) for 20 mins.

Immunohistochemistry (Frozen sections) - Anti-YTHDC2 antibody [EPR24278-9] - BSA and Azide free (AB283277)
  • IHC-Fr

Supplier Data

Immunohistochemistry (Frozen sections) - Anti-YTHDC2 antibody [EPR24278-9] - BSA and Azide free (AB283277)

This data was developed using ab271139, the same antibody clone in a different buffer formulation.

Immunohistochemical analysis of 4% PFA-fixed, 0.2% Triton X-100 permeabilized frozen Mouse heart (fresh) tissue labeling YTHDC2 with ab271139 at 1/50 (11.4 μg/mL) dilution followed by ab150081 Goat Anti-Rabbit IgG H&L (Alexa Fluor® 488) preadsorbed at 1/1000 dilution (Green). The nuclear counterstain was DAPI (Blue).

No staining on mouse heart
Negative control : (PMID : 29087293)

Secondary antibody control : Secondary antibody is ab150081 Goat Anti-Rabbit IgG H&L (Alexa Fluor® 488) preadsorbed at 1/1000 dilution.

Immunohistochemistry (Formalin/PFA-fixed paraffin-embedded sections) - Anti-YTHDC2 antibody [EPR24278-9] - BSA and Azide free (AB283277)
  • IHC-P

Supplier Data

Immunohistochemistry (Formalin/PFA-fixed paraffin-embedded sections) - Anti-YTHDC2 antibody [EPR24278-9] - BSA and Azide free (AB283277)

This data was developed using ab271139, the same antibody clone in a different buffer formulation.

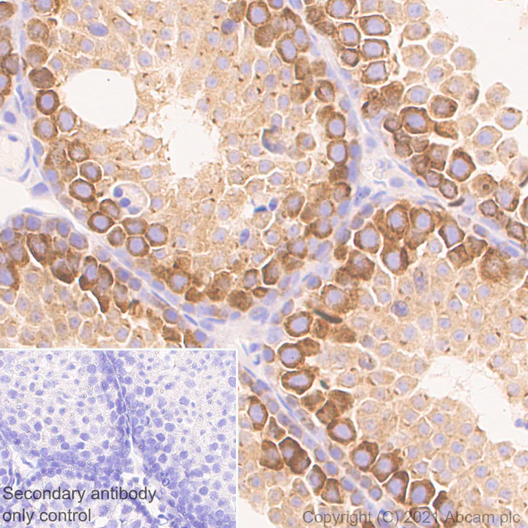
Immunohistochemical analysis of paraffin-embedded Rat testis tissue labelling YTHDC2 with ab271139 at 1/2000 (0.285 μg/mL) followed by a ready to use LeicaDS9800 (Bond™ Polymer Refine Detection) was used. Cytoplasmic staining on rat testis. The section was incubated with ab271139 for 30 mins at room temperature. The immunostaining was performed on a Leica Biosystems BOND® RX instrument Counterstained with Hematoxylin.

Secondary antibody only control : Secondary antibody is a ready to use LeicaDS9800 (Bond™ Polymer Refine Detection) was used.

Heat mediated antigen retrieval with Tris-EDTA buffer (pH 9.0, epitope retrieval solution2) for 20 mins.

Immunohistochemistry (Frozen sections) - Anti-YTHDC2 antibody [EPR24278-9] - BSA and Azide free (AB283277)
  • IHC-Fr

Supplier Data

Immunohistochemistry (Frozen sections) - Anti-YTHDC2 antibody [EPR24278-9] - BSA and Azide free (AB283277)

This data was developed using ab271139, the same antibody clone in a different buffer formulation.

Immunohistochemical analysis of 4% PFA-fixed, 0.2% Triton X-100 permeabilized frozen Mouse testis (fresh) tissue labeling YTHDC2 with ab271139 at 1/50 (11.4 μg/mL) dilution followed by ab150081 Goat Anti-Rabbit IgG H&L (Alexa Fluor® 488) preadsorbed at 1/1000 dilution (Green). Cytoplasmic staining on mouse testis is observed. The nuclear counterstain was DAPI (Blue).

Secondary antibody control : Secondary antibody is ab150081 Goat Anti-Rabbit IgG H&L (Alexa Fluor® 488) preadsorbed at 1/1000 dilution.

Immunohistochemistry (Frozen sections) - Anti-YTHDC2 antibody [EPR24278-9] - BSA and Azide free (AB283277)
  • IHC-Fr

Supplier Data

Immunohistochemistry (Frozen sections) - Anti-YTHDC2 antibody [EPR24278-9] - BSA and Azide free (AB283277)

This data was developed using ab271139, the same antibody clone in a different buffer formulation.

Immunohistochemical analysis of 4% PFA-fixed, 0.2% Triton X-100 permeabilized frozen Rat testis (fresh) tissue labeling YTHDC2 with ab271139 at 1/50 (11.4 μg/mL) dilution followed by ab150081 Goat Anti-Rabbit IgG H&L (Alexa Fluor® 488) preadsorbed at 1/1000 dilution (Green). Cytoplasmic staining on rat testis is observed. The nuclear counterstain was DAPI (Blue).

Secondary antibody control : Secondary antibody is ab150081 Goat Anti-Rabbit IgG H&L (Alexa Fluor® 488) preadsorbedat 1/1000 dilution.

Immunohistochemistry (Frozen sections) - Anti-YTHDC2 antibody [EPR24278-9] - BSA and Azide free (AB283277)
  • IHC-Fr

Supplier Data

Immunohistochemistry (Frozen sections) - Anti-YTHDC2 antibody [EPR24278-9] - BSA and Azide free (AB283277)

This data was developed using ab271139, the same antibody clone in a different buffer formulation.

Immunohistochemical analysis of 4% PFA-fixed, 0.2% Triton X-100 permeabilized frozen Rat heart (fresh) tissue labeling YTHDC2 with ab271139 at 1/50 (11.4 μg/mL) dilution followed by ab150081 Goat Anti-Rabbit IgG H&L (Alexa Fluor® 488) preadsorbed at 1/1000 dilution (Green). The nuclear counterstain was DAPI (Blue).

No staining on rat heart
Negative control : (PMID : 29087293)

Secondary antibody control : Secondary antibody is ab150081 Goat Anti-Rabbit IgG H&L (Alexa Fluor® 488) preadsorbed at 1/1000 dilution.

Immunohistochemistry (Formalin/PFA-fixed paraffin-embedded sections) - Anti-YTHDC2 antibody [EPR24278-9] - BSA and Azide free (AB283277)
  • IHC-P

Supplier Data

Immunohistochemistry (Formalin/PFA-fixed paraffin-embedded sections) - Anti-YTHDC2 antibody [EPR24278-9] - BSA and Azide free (AB283277)

This data was developed using ab271139, the same antibody clone in a different buffer formulation.

Immunohistochemical analysis of paraffin-embedded Rat cerebrum tissue labelling YTHDC2 with ab271139 at 1/2000 (0.285 μg/mL) dilution, followed by a ready to use LeicaDS9800 (Bond™ Polymer Refine Detection). Cytoplasmic staining on rat cerebrum. The section was incubated with ab271139 for 30 mins at room temperature. The immunostaining was performed on a Leica Biosystems BOND® RX instrument Counterstained with Hematoxylin.

Secondary antibody only control : Secondary antibody is a ready to use LeicaDS9800 (Bond™ Polymer Refine Detection).

Heat mediated antigen retrieval with Tris-EDTA buffer (pH 9.0, epitope retrieval solution2) for 20 mins.

Immunohistochemistry (Formalin/PFA-fixed paraffin-embedded sections) - Anti-YTHDC2 antibody [EPR24278-9] - BSA and Azide free (AB283277)
  • IHC-P

Supplier Data

Immunohistochemistry (Formalin/PFA-fixed paraffin-embedded sections) - Anti-YTHDC2 antibody [EPR24278-9] - BSA and Azide free (AB283277)

This data was developed using ab271139, the same antibody clone in a different buffer formulation.

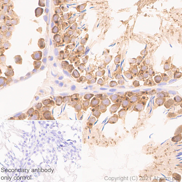
Immunohistochemical analysis of paraffin-embedded Mouse testis tissue labelling YTHDC2 with ab271139 at 1/2000 (0.285 μg/mL) dilution, followed by a ready to use LeicaDS9800 (Bond™ Polymer Refine Detection). Cytoplasmic staining on mouse testis (PMID : 28809393). The section was incubated with ab271139 for 30 mins at room temperature. The immunostaining was performed on a Leica Biosystems BOND® RX instrument Counterstained with Hematoxylin.

Secondary antibody only control : Secondary antibody is a ready to use LeicaDS9800 (Bond™ Polymer Refine Detection).

Heat mediated antigen retrieval with Tris-EDTA buffer (pH 9.0, epitope retrieval solution2) for 20 mins.

Immunoprecipitation - Anti-YTHDC2 antibody [EPR24278-9] - BSA and Azide free (AB283277)
  • IP

Supplier Data

Immunoprecipitation - Anti-YTHDC2 antibody [EPR24278-9] - BSA and Azide free (AB283277)

This data was developed using ab271139, the same antibody clone in a different buffer formulation.

YTHDC2 was immunoprecipitated from 0.35 mg RAW264.7 (mouse Abelson murine leukemia virus-induced tumor macrophage) whole cell lysate 10 μg with ab271139 at 1/30 dilution (2μg in 0.35mg lysates). Western blot was performed on the immunoprecipitate using ab271139 at 1/1000 dilution. VeriBlot for IP secondary antibody(HRP) (ab131366) was used at 1/5000 dilution.

Lane 1 : RAW264.7 (mouse Abelson murine leukemia virus-induced tumor macrophage) whole cell lysate 10μg

Lane 2 : ab271139 IP in RAW264.7 whole cell lysate

Lane 3 : Rabbit monoclonal IgG (ab172730) instead of ab271139 in RAW264.7 whole cell lysate

Blocking and dilution buffer and concentration : 5% NFDM/TBST.

Exposure time : 67 seconds.

Lysates were made freshly and used in IP test immediately to minimize protein degradation.

All lanes:

Immunoprecipitation - Anti-YTHDC2 antibody [EPR24278-9] (<a href='/en-us/products/primary-antibodies/ythdc2-antibody-epr24278-9-ab271139'>ab271139</a>)

Predicted band size: 160 kDa

Observed band size: 160 kDa

false

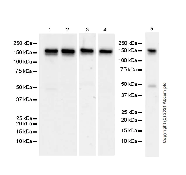
Western blot - Anti-YTHDC2 antibody [EPR24278-9] - BSA and Azide free (AB283277)
  • WB

Lab

Western blot - Anti-YTHDC2 antibody [EPR24278-9] - BSA and Azide free (AB283277)

This data was developed using ab271139, the same antibody clone in a different buffer formulation.

Blocking and diluting buffer and concentration : 5% NFDM/TBST.

Lysates were made freshly and used in WB test immediately to minimize protein degradation.

Exposure time : Lane 1-2, 4-5 : 37 seconds. Lane 3 : 3 minutes.

All lanes:

Western blot - Anti-YTHDC2 antibody [EPR24278-9] (<a href='/en-us/products/primary-antibodies/ythdc2-antibody-epr24278-9-ab271139'>ab271139</a>) at 1/1000 dilution

Lane 1:

HeLa (human cervix adenocarcinoma epithelial cell) whole cell lysate at 20 µg

Lane 2:

293T (human embryonic kidney epithelial cell) whole cell lysate at 20 µg

Lane 3:

NIH/3T3 (mouse embryonic fibroblast) whole cell lysate at 20 µg

Lane 4:

PC-12 (rat adrenal gland pheochromocytoma) whole cell lysate at 20 µg

Lane 5:

RAW264.7 (mouse Abelson murine leukemia virus-induced tumor macrophage) whole cell lysate at 20 µg

Secondary

All lanes:

Western blot - Goat Anti-Rabbit IgG H&L (HRP) (<a href='/en-us/products/secondary-antibodies/goat-rabbit-igg-h-l-hrp-ab97051'>ab97051</a>) at 1/100000 dilution

Predicted band size: 160 kDa

Observed band size: 160 kDa

false

Western blot - Anti-YTHDC2 antibody [EPR24278-9] - BSA and Azide free (AB283277)
  • WB

Lab

Western blot - Anti-YTHDC2 antibody [EPR24278-9] - BSA and Azide free (AB283277)

This data was developed using ab271139, the same antibody clone in a different buffer formulation.

Blocking and diluting buffer and concentration : 5% NFDM/TBST

The observed MW & expression profile are consistent with what has been described in the literature (PMID : 29799838, PMID : 29087293).

Low expression : heart (PMID : 29799838, PMID : 29087293).

Exposure time : 15 seconds.

All lanes:

Western blot - Anti-YTHDC2 antibody [EPR24278-9] (<a href='/en-us/products/primary-antibodies/ythdc2-antibody-epr24278-9-ab271139'>ab271139</a>) at 1/1000 dilution

Lane 1:

Mouse testis tissue lysate at 20 µg

Lane 2:

Mouse heart tissue lysate at 20 µg

Secondary

All lanes:

Western blot - Goat Anti-Rabbit IgG H&L (HRP) (<a href='/en-us/products/secondary-antibodies/goat-rabbit-igg-h-l-hrp-ab97051'>ab97051</a>) at 1/100000 dilution

Predicted band size: 160 kDa

Observed band size: 160 kDa

false

Western blot - Anti-YTHDC2 antibody [EPR24278-9] - BSA and Azide free (AB283277)
  • WB

Lab

Western blot - Anti-YTHDC2 antibody [EPR24278-9] - BSA and Azide free (AB283277)

This data was developed using ab271139, the same antibody clone in a different buffer formulation.

Blocking and diluting buffer and concentration : 5% NFDM/TBST.

The observed MW & expression profile are consistent with what has been described in the literature (PMID : 29799838, PMID : 29087293).

Low expression : heart (PMID : 29799838, PMID : 29087293).

Exposure time : 114 seconds.

All lanes:

Western blot - Anti-YTHDC2 antibody [EPR24278-9] (<a href='/en-us/products/primary-antibodies/ythdc2-antibody-epr24278-9-ab271139'>ab271139</a>) at 1/1000 dilution

Lane 1:

Rat testis tissue lysate at 20 µg

Lane 2:

Rat heart tissue lysate at 20 µg

Secondary

All lanes:

Western blot - Goat Anti-Rabbit IgG H&L (HRP) (<a href='/en-us/products/secondary-antibodies/goat-rabbit-igg-h-l-hrp-ab97051'>ab97051</a>) at 1/100000 dilution

Predicted band size: 160 kDa

Observed band size: 160 kDa

false

Key facts

Host species

Rabbit

Clonality

Monoclonal

Clone number

EPR24278-9

Isotype

IgG

Carrier free

Yes

Reacts with

Human, Mouse, Rat

Applications

WB, IP, IHC-Fr, IHC-P

applications

Immunogen

The exact immunogen used to generate this antibody is proprietary information.

Reactivity data

{ "title": "Reactivity Data", "filters": { "stats": ["", "Species", "Dilution Info", "Notes"], "tabs": { "all-applications": {"fullname" : "All Applications", "shortname": "All Applications"}, "IP" : {"fullname" : "Immunoprecipitation", "shortname":"IP"}, "WB" : {"fullname" : "Western blot", "shortname":"WB"}, "ICCIF" : {"fullname" : "Immunocytochemistry/ Immunofluorescence", "shortname":"ICC/IF"}, "IHCFr" : {"fullname" : "Immunohistochemistry (Frozen sections)", "shortname":"IHC-Fr"}, "FlowCytIntra" : {"fullname" : "Flow Cytometry (Intracellular)", "shortname":"Flow Cyt (Intra)"}, "IHCP" : {"fullname" : "Immunohistochemistry (Formalin/PFA-fixed paraffin-embedded sections)", "shortname":"IHC-P"} }, "product-promise": { "all": "all", "testedAndGuaranteed": "tested", "guaranteed": "expected", "predicted": "predicted", "notRecommended": "not-recommended" } }, "values": { "Human": { "IP-species-checked": "testedAndGuaranteed", "IP-species-dilution-info": "", "IP-species-notes": "<p></p>", "WB-species-checked": "testedAndGuaranteed", "WB-species-dilution-info": "", "WB-species-notes": "<p></p>", "ICCIF-species-checked": "notRecommended", "ICCIF-species-dilution-info": "", "ICCIF-species-notes": "<p></p>", "IHCFr-species-checked": "guaranteed", "IHCFr-species-dilution-info": "", "IHCFr-species-notes": "", "FlowCytIntra-species-checked": "notRecommended", "FlowCytIntra-species-dilution-info": "", "FlowCytIntra-species-notes": "<p></p>", "IHCP-species-checked": "notRecommended", "IHCP-species-dilution-info": "", "IHCP-species-notes": "<p></p>" }, "Mouse": { "IP-species-checked": "testedAndGuaranteed", "IP-species-dilution-info": "", "IP-species-notes": "<p></p>", "WB-species-checked": "testedAndGuaranteed", "WB-species-dilution-info": "", "WB-species-notes": "<p></p>", "ICCIF-species-checked": "notRecommended", "ICCIF-species-dilution-info": "", "ICCIF-species-notes": "<p></p>", "IHCFr-species-checked": "testedAndGuaranteed", "IHCFr-species-dilution-info": "", "IHCFr-species-notes": "<p></p>", "FlowCytIntra-species-checked": "notRecommended", "FlowCytIntra-species-dilution-info": "", "FlowCytIntra-species-notes": "<p></p>", "IHCP-species-checked": "testedAndGuaranteed", "IHCP-species-dilution-info": "", "IHCP-species-notes": "<p></p>" }, "Rat": { "IP-species-checked": "guaranteed", "IP-species-dilution-info": "", "IP-species-notes": "", "WB-species-checked": "testedAndGuaranteed", "WB-species-dilution-info": "", "WB-species-notes": "<p></p>", "ICCIF-species-checked": "notRecommended", "ICCIF-species-dilution-info": "", "ICCIF-species-notes": "", "IHCFr-species-checked": "testedAndGuaranteed", "IHCFr-species-dilution-info": "", "IHCFr-species-notes": "<p></p>", "FlowCytIntra-species-checked": "notRecommended", "FlowCytIntra-species-dilution-info": "", "FlowCytIntra-species-notes": "<p></p>", "IHCP-species-checked": "testedAndGuaranteed", "IHCP-species-dilution-info": "", "IHCP-species-notes": "<p></p>" } } }

Product details

ab283277 is the carrier-free version of ab271139.

Patented technology
Our RabMAb® technology is a patented hybridoma-based technology for making rabbit monoclonal antibodies. For details on our patents, please refer to RabMAb® patents.

What are the advantages of a recombinant monoclonal antibody?
This product is a recombinant monoclonal antibody, which offers several advantages including:

  • - High batch-to-batch consistency and reproducibility
  • - Improved sensitivity and specificity
  • - Long-term security of supply
  • - Animal-free batch production

For more information, read more on recombinant antibodies.

Conjugation ready
Our carrier-free antibodies are typically supplied in a PBS-only formulation, purified and free of BSA, sodium azide and glycerol. This conjugation-ready format is designed for use with fluorochromes, metal isotopes, oligonucleotides, and enzymes, which makes them ideal for antibody labelling, functional and cell-based assays, flow-based assays (e.g. mass cytometry) and Multiplex Imaging applications.

Use our conjugation kits for antibody conjugates that are ready-to-use in as little as 20 minutes with 1 minute hands-on-time and 100% antibody recovery: available for fluorescent dyes, HRP, biotin and gold.

Compatibility
This product is compatible with the Maxpar® Antibody Labeling Kit from Fluidigm, without the need for antibody preparation. Maxpar® is a trademark of Fluidigm Canada Inc.

Properties and storage information

Form
Liquid
Purification technique
Affinity purification Protein A
Storage buffer
pH: 7.2 - 7.4 Constituents: PBS
Shipped at conditions
Blue Ice
Appropriate short-term storage conditions
+4°C
Appropriate long-term storage conditions
+4°C

Supplementary information

This supplementary information is collated from multiple sources and compiled automatically.

YTHDC2 also known as YT521-B homology domain containing 2 functions as an RNA helicase with a molecular mass of approximately 160 kDa. This protein modulates RNA metabolism by promoting the efficient translation of mRNAs. It shows enriched expression in the testis as well as notable levels in immune cells and possibly in other tissues. Its involvement in the recognition and binding of N6-methyladenosine (m6A)-modified RNA substrates makes YTHDC2 a significant factor in RNA processing.
Biological function summary

YTHDC2 contributes to the regulation of mRNA stability and turnover within the cell. It may operate as part of a complex involved in post-transcriptional control. Through these actions YTHDC2 influences processes such as meiosis and the differentiation of germ cells supported by its association with m6A reader proteins. This association plays a role in the recognition of specific m6A marks critical for RNA dynamics.

Pathways

YTHDC2 integrates into the m6A-dependent RNA decay and translation machinery. One important pathway involving this protein is the m6A-mediated gene expression regulation pathway. Within this context YTHDC2 interacts closely with other m6A machinery components such as METTL3 and bridges mRNA modification with subsequent cellular outcomes. Another related pathway is spermatogenesis where the precise control by YTHDC2 is necessary for successful meiosis via interaction with various meiotic proteins.

Aberrant regulation or expression of YTHDC2 links to infertility as proper expression is necessary for normal germ cell development. This condition involves its association with other reproductive proteins such as those functioning in meiosis. Disorders in mRNA metabolism potentially leading to cancer might also implicate YTHDC2 due to its broad role in regulating mRNA stability and translation highlighting the need to understand its interactions with tumor-related pathways.

Product protocols

For this product, it's our understanding that no specific protocols are required. You can visit:

Target data

3'-5' RNA helicase that plays a key role in the male and female germline by promoting transition from mitotic to meiotic divisions in stem cells (PubMed : 26318451, PubMed : 29033321, PubMed : 29970596). Specifically recognizes and binds N6-methyladenosine (m6A)-containing RNAs, a modification present at internal sites of mRNAs and some non-coding RNAs that plays a role in the efficiency of RNA processing and stability (PubMed : 26318451, PubMed : 29033321). Essential for ensuring a successful progression of the meiotic program in the germline by regulating the level of m6A-containing RNAs (By similarity). Acts by binding and promoting degradation of m6A-containing mRNAs : the 3'-5' RNA helicase activity is required for this process and RNA degradation may be mediated by XRN1 exoribonuclease (PubMed : 29033321). Required for both spermatogenesis and oogenesis (By similarity).
See full target information YTHDC2

Product promise

We are committed to supporting your work with high-quality reagents, and we're here for you every step of the way. In the unlikely event that one of our products does not perform as expected, you're protected by our Product Promise.
For full details, please see our Terms & Conditions

Please note: All products are 'FOR RESEARCH USE ONLY. NOT FOR USE IN DIAGNOSTIC OR THERAPEUTIC PROCEDURES'.

For licensing inquiries, please contact partnerships@abcam.com