JavaScript is disabled in your browser. Please enable JavaScript to view this website.
AB252346

Anti-YTHDF1 antibody [EPR22349-16]

5

(1 Review)

|

(32 Publications)

Rabbit Recombinant Monoclonal YTHDF1 antibody. Suitable for IHC-P, WB, Flow Cyt (Intra) and reacts with Mouse, Rat samples. Cited in 32 publications.

View Alternative Names

C20orf21, YTHDF1, YTH domain-containing family protein 1, DF1, Dermatomyositis associated with cancer putative autoantigen 1, DACA-1

5 Images
Flow Cytometry (Intracellular) - Anti-YTHDF1 antibody [EPR22349-16] (AB252346)
  • Flow Cyt (Intra)

Unknown

Flow Cytometry (Intracellular) - Anti-YTHDF1 antibody [EPR22349-16] (AB252346)

Intracellular flow cytometric analysis of 4% paraformaldehyde-fixed, 90% methanol permeabilized NIH/3T3 (mouse embryonic fibroblast) cell line labeling YTHDF1 with ab252346 at 1/40 (red) compared with a Rabbit monoclonal IgG (ab172730) (black) and an unlabeled control (cells without incubation with primary antibody and secondary antibody) (blue). Goat anti rabbit IgG (Alexa Fluor® 488, ab150077), at 1/2000 dilution was used as the secondary antibody.

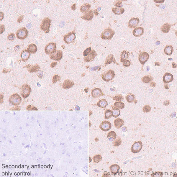
Immunohistochemistry (Formalin/PFA-fixed paraffin-embedded sections) - Anti-YTHDF1 antibody [EPR22349-16] (AB252346)
  • IHC-P

Unknown

Immunohistochemistry (Formalin/PFA-fixed paraffin-embedded sections) - Anti-YTHDF1 antibody [EPR22349-16] (AB252346)

Immunohistochemical analysis of paraffin-embedded mouse cerebrum tissue labeling YTHDF1 with ab252346 at 1/100 dilution, followed by ready to use Rabbit specific IHC polymer detection kit HRP/DAB (ab209101). Cytoplasmic staining on mouse cerebrum (PMID : 29103884; 26046440) is observed. Counterstained with hematoxylin.

Secondary antibody only control : Used PBS instead of primary antibody, secondary antibody is ready to use Rabbit specific IHC polymer detection kit HRP/DAB (ab209101).

Perform heat mediated antigen retrieval with Tris-EDTA buffer (pH 9.0, Epitope Retrieval Solution2) before commencing with IHC staining protocol.

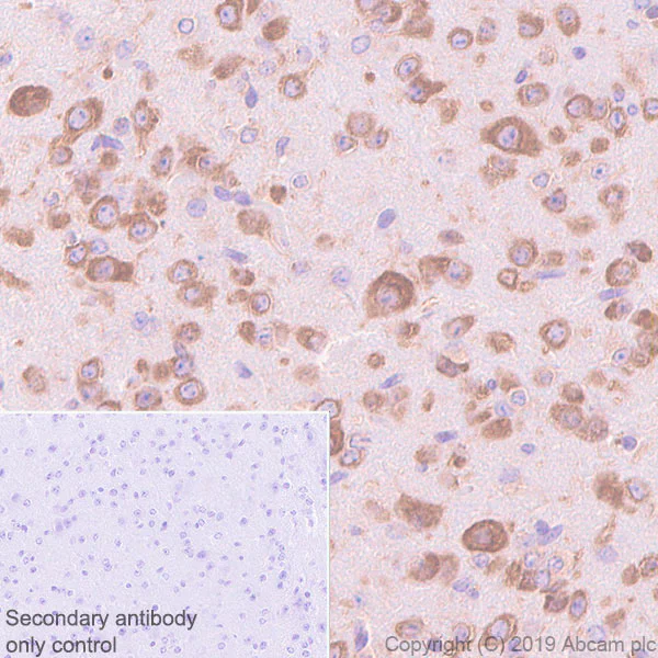
Immunohistochemistry (Formalin/PFA-fixed paraffin-embedded sections) - Anti-YTHDF1 antibody [EPR22349-16] (AB252346)
  • IHC-P

Unknown

Immunohistochemistry (Formalin/PFA-fixed paraffin-embedded sections) - Anti-YTHDF1 antibody [EPR22349-16] (AB252346)

Immunohistochemical analysis of paraffin-embedded rat cerebrum tissue labeling YTHDF1 with ab252346 at 1/100 dilution, followed by ready to use Rabbit specific IHC polymer detection kit HRP/DAB (ab209101). Cytoplasmic staining on rat cerebrum (PMID : 29103884; 26046440) is observed. Counterstained with hematoxylin.

Secondary antibody only control : Used PBS instead of primary antibody, secondary antibody is ready to use Rabbit specific IHC polymer detection kit HRP/DAB (ab209101).

Perform heat mediated antigen retrieval with Tris-EDTA buffer (pH 9.0, Epitope Retrieval Solution2) before commencing with IHC staining protocol.

Western blot - Anti-YTHDF1 antibody [EPR22349-16] (AB252346)
  • WB

Unknown

Western blot - Anti-YTHDF1 antibody [EPR22349-16] (AB252346)

Recommended to use fresh lysate to avoid target protein being degraded.

Blocking/Dilution buffer : 5% NFDM/TBST.

All lanes:

Western blot - Anti-YTHDF1 antibody [EPR22349-16] (ab252346) at 1/1000 dilution

Lane 1:

Mouse testis lysate at 20 µg

Lane 2:

Rat testis lysate at 20 µg

Secondary

All lanes:

Western blot - Goat Anti-Rabbit IgG H&L (HRP) (<a href='/en-us/products/secondary-antibodies/goat-rabbit-igg-h-l-hrp-ab97051'>ab97051</a>) at 1/100000 dilution

Predicted band size: 61 kDa

Observed band size: 61 kDa

false

Exposure time: 48s

Western blot - Anti-YTHDF1 antibody [EPR22349-16] (AB252346)
  • WB

Unknown

Western blot - Anti-YTHDF1 antibody [EPR22349-16] (AB252346)

The wild-type and YTHDF1 knockout cell lysates were kindly provided by an anonymous collaborator.

ab252346 was shown to specifically react with YTHDF1 in wild-type mESC cells as signal was lost in YTHDF1 knockout cells. Wild-type and YTHDF1 knockout samples were subjected to SDS-PAGE. ab252346 and ab181602 (Rabbit anti-GAPDH loading control) were incubated 1 hour at room temperature at 1/1000 dilution and 1/200,000 dilution respectively. Blots were developed with Goat Anti-Rabbit IgG, (H+L), Peroxidase conjugated (ab97051) secondary antibody at 1/100,000 dilution for 1 hour at room temperature before imaging. The blot was developed on a BIO-RAD® ChemiDoc™ MP instrument using the ECL technique.

Exposure times : Lanes 1-3 : 3 minutes; Lane 4 : 20 seconds.

Blocking/Dilution buffer : 5% NFDM/TBST.

All lanes:

Western blot - Anti-YTHDF1 antibody [EPR22349-16] (ab252346) at 1/1000 dilution

Lane 1:

Wild-type mESC (mouse embryo stem cell) whole cell lysate at 20 µg

Lane 2:

YTHDF1 knockout mESC whole cell lysate at 20 µg

Lane 3:

NIH/3T3 (mouse embryonic fibroblast) whole cell lysate at 10 µg

Lane 4:

PC-12 (rat adrenal gland pheochromocytoma) whole cell lysate at 10 µg

Secondary

All lanes:

Western blot - Goat Anti-Rabbit IgG H&L (HRP) (<a href='/en-us/products/secondary-antibodies/goat-rabbit-igg-h-l-hrp-ab97051'>ab97051</a>) at 1/100000 dilution

Predicted band size: 61 kDa

Observed band size: 61 kDa

false

Key facts

Host species

Rabbit

Clonality

Monoclonal

Clone number

EPR22349-16

Isotype

IgG

Carrier free

No

Reacts with

Mouse, Rat

Applications

WB, Flow Cyt (Intra), IHC-P

applications

Immunogen

The exact immunogen used to generate this antibody is proprietary information.

Reactivity data

{ "title": "Reactivity Data", "filters": { "stats": ["", "Species", "Dilution Info", "Notes"], "tabs": { "all-applications": {"fullname" : "All Applications", "shortname": "All Applications"}, "IHCP" : {"fullname" : "Immunohistochemistry (Formalin/PFA-fixed paraffin-embedded sections)", "shortname":"IHC-P"}, "IP" : {"fullname" : "Immunoprecipitation", "shortname":"IP"}, "WB" : {"fullname" : "Western blot", "shortname":"WB"}, "ICCIF" : {"fullname" : "Immunocytochemistry/ Immunofluorescence", "shortname":"ICC/IF"}, "FlowCytIntra" : {"fullname" : "Flow Cytometry (Intracellular)", "shortname":"Flow Cyt (Intra)"} }, "product-promise": { "all": "all", "testedAndGuaranteed": "tested", "guaranteed": "expected", "predicted": "predicted", "notRecommended": "not-recommended" } }, "values": { "Mouse": { "IHCP-species-checked": "testedAndGuaranteed", "IHCP-species-dilution-info": "1/100", "IHCP-species-notes": "<p></p> Perform heat-mediated antigen retrieval before commencing with IHC staining protocol.", "IP-species-checked": "notRecommended", "IP-species-dilution-info": "", "IP-species-notes": "<p></p>", "WB-species-checked": "testedAndGuaranteed", "WB-species-dilution-info": "1/1000", "WB-species-notes": "<p></p>", "ICCIF-species-checked": "notRecommended", "ICCIF-species-dilution-info": "", "ICCIF-species-notes": "<p></p>", "FlowCytIntra-species-checked": "testedAndGuaranteed", "FlowCytIntra-species-dilution-info": "1/40", "FlowCytIntra-species-notes": "<p></p>" }, "Rat": { "IHCP-species-checked": "testedAndGuaranteed", "IHCP-species-dilution-info": "1/100", "IHCP-species-notes": "<p></p> Perform heat-mediated antigen retrieval before commencing with IHC staining protocol.", "IP-species-checked": "notRecommended", "IP-species-dilution-info": "", "IP-species-notes": "<p></p>", "WB-species-checked": "testedAndGuaranteed", "WB-species-dilution-info": "1/1000", "WB-species-notes": "<p></p>", "ICCIF-species-checked": "notRecommended", "ICCIF-species-dilution-info": "", "ICCIF-species-notes": "<p></p>", "FlowCytIntra-species-checked": "guaranteed", "FlowCytIntra-species-dilution-info": "", "FlowCytIntra-species-notes": "" } } }

Product details

Patented technology
Our RabMAb® technology is a patented hybridoma-based technology for making rabbit monoclonal antibodies. For details on our patents, please refer to RabMAb® patents.

What are the advantages of a recombinant monoclonal antibody?
This product is a recombinant monoclonal antibody, which offers several advantages including:

  • - High batch-to-batch consistency and reproducibility
  • - Improved sensitivity and specificity
  • - Long-term security of supply
  • - Animal-free batch production

For more information, read more on recombinant antibodies.

Properties and storage information

Form
Liquid
Purification technique
Affinity purification Protein A
Storage buffer
pH: 7.2 - 7.4 Preservative: 0.01% Sodium azide Constituents: PBS, 40% Glycerol (glycerin, glycerine), 0.05% BSA
Shipped at conditions
Blue Ice
Appropriate short-term storage duration
1-2 weeks
Appropriate short-term storage conditions
+4°C
Appropriate long-term storage conditions
-20°C
Aliquoting information
Upon delivery aliquot
Storage information
Avoid freeze / thaw cycle

Supplementary information

This supplementary information is collated from multiple sources and compiled automatically.

YTHDF1 also known as YTH domain family protein 1 is a reader protein of N6-methyladenosine (m6A) a common RNA modification. Its mass is approximately 64 kDa. YTHDF1 binds to m6A-modified mRNA and enhances its translation efficiency by recruiting ribosomes. This protein is present in various tissues showing higher expression in brain spleen and lymphoid tissues suggesting a role in development and immunity.
Biological function summary

YTHDF1 affects mRNA stability and translation providing a mechanism for regulating protein synthesis. It operates as part of a complex with other m6A readers like YTHDF2 and YTHDF3 which determine mRNA fate. By promoting translation YTHDF1 impacts cellular responses and adaptation to environmental changes especially during stress and division.

Pathways

YTHDF1 integrates into the mRNA surveillance pathway and translation regulation. It interacts closely with other components such as eukaryotic initiation factors (eIFs) to modulate protein synthesis dynamics. This allows cells to rapidly adjust protein levels in response to cues and maintain homeostasis. Its role is critical in link to ribosomal function and stability of gene expression networks.

YTHDF1 has connections to cancer and neurological disorders. In cancer abnormal YTHDF1 expression associates with tumor progression and metastasis and interacts with proteins like METTL3 involved in m6A deposition. In neurological disorders dysregulation of YTHDF1 influences mRNA translation tied to cognitive functions possibly interacting with neurotransmitter pathways. Understanding these roles shows potential for YTHDF1 as a therapeutic target.

Product protocols

For this product, it's our understanding that no specific protocols are required. You can visit:

Target data

Specifically recognizes and binds N6-methyladenosine (m6A)-containing mRNAs, and regulates their stability (PubMed : 24284625, PubMed : 26318451, PubMed : 32492408). M6A is a modification present at internal sites of mRNAs and some non-coding RNAs and plays a role in mRNA stability and processing (PubMed : 24284625, PubMed : 32492408). Acts as a regulator of mRNA stability by promoting degradation of m6A-containing mRNAs via interaction with the CCR4-NOT complex (PubMed : 32492408). The YTHDF paralogs (YTHDF1, YTHDF2 and YTHDF3) shares m6A-containing mRNAs targets and act redundantly to mediate mRNA degradation and cellular differentiation (PubMed : 28106072, PubMed : 32492408). Required to facilitate learning and memory formation in the hippocampus by binding to m6A-containing neuronal mRNAs (By similarity). Acts as a regulator of axon guidance by binding to m6A-containing ROBO3 transcripts (By similarity). Acts as a negative regulator of antigen cross-presentation in myeloid dendritic cells (By similarity). In the context of tumorigenesis, negative regulation of antigen cross-presentation limits the anti-tumor response by reducing efficiency of tumor-antigen cross-presentation (By similarity). Promotes formation of phase-separated membraneless compartments, such as P-bodies or stress granules, by undergoing liquid-liquid phase separation upon binding to mRNAs containing multiple m6A-modified residues : polymethylated mRNAs act as a multivalent scaffold for the binding of YTHDF proteins, juxtaposing their disordered regions and thereby leading to phase separation (PubMed : 31292544, PubMed : 31388144, PubMed : 32451507). The resulting mRNA-YTHDF complexes then partition into different endogenous phase-separated membraneless compartments, such as P-bodies, stress granules or neuronal RNA granules (PubMed : 31292544).
See full target information YTHDF1

Publications (32)

Recent publications for all applications. Explore the full list and refine your search

Communications biology 8:1412 PubMed41034331

2025

Deciphering brain organoid heterogeneity by identifying key quality determinants.

Applications

Unspecified application

Species

Unspecified reactive species

Tom Boerstler,Daniil Kachkin,Elizaveta Gerasimova,Naime Zagha,Federica Furlanetto,Negar Nayebzade,Luke Zappia,Michelle Boisvert,Michaela Farrell,Sonja Ploetz,Iryna Prots,Martin Regensburger,Claudia Günther,Juergen Winkler,Pooja Gupta,Fabian Theis,Marisa Karow,Sven Falk,Beate Winner,Florian Krach

Virus research 358:199590 PubMed40480313

2025

Enterovirus 71 structural viral protein 1 promotes the expression of PMP22 through mA modification in mouse Schwann cells.

Applications

Unspecified application

Species

Unspecified reactive species

Qiuyan Peng,Guangming Liu,Danping Zhu,Suyun Li,Sida Yang,Peiqing Li,Yingxian Yin,Dandan Hu

Gastric cancer : official journal of the International Gastric Cancer Association and the Japanese Gastric Cancer Association 28:760-775 PubMed40366509

2025

The RNA-binding protein YTHDF3 affects gastric cancer cell migration and response to paclitaxel by regulating EZRIN.

Applications

Unspecified application

Species

Unspecified reactive species

Patrícia Mesquita,Alexandre Coelho,Ana S Ribeiro,Luís F C Póvoas,Catarina de Oliveira,Nelson Leça,Sara Silva,Diana Ferreira,Diana Pádua,Ricardo Coelho,Carmen Jerónimo,Joana Paredes,Carlos Conde,Bruno Pereira,Raquel Almeida

Genes & diseases 12:101327 PubMed40092485

2025

YTHDF1 shapes immune-mediated hepatitis via regulating inflammatory cell recruitment and response.

Applications

Unspecified application

Species

Unspecified reactive species

Hao Li,Kailun Yu,Xiandan Zhang,Jiawen Li,Huilong Hu,Xusheng Deng,Siyu Zeng,Xiaoning Dong,Junru Zhao,Yongyou Zhang

Molecular medicine (Cambridge, Mass.) 31:78 PubMed40000966

2025

A novel mechanism of FTO modulating the progression of endometriosis through mediating the m6A methylation of GEF-H1 in a YTHDF1-dependent manner.

Applications

Unspecified application

Species

Unspecified reactive species

Xin-Yu Ding,Hua-Ying Zhang,Jia-Hao Chen,Meng-Jie Yang,Zhi-Xiong Huang,Yi-Hong Lei,Qin-Kun Sun,Jian-Bin Bai,Dian-Chao Lin,Jian-Fa Lan,Lu-Lu Ren,Zheng-Yi Chen,Wei-Dong Zhou,Qiong-Hua Chen

Cell death & disease 16:96 PubMed39948064

2025

Endurance exercise remodels skeletal muscle by suppressing Ythdf1-mediated myostatin expression.

Applications

Unspecified application

Species

Unspecified reactive species

Xin Huang,Chenzhong Xu,Jie Zhang,Weiwei Wu,Zimei Wang,Qiuxiang Pang,Zuojun Liu,Baohua Liu

BMC biology 22:302 PubMed39736678

2024

N6-methyladenosine regulates metabolic remodeling in kidney aging through transcriptional regulator GLIS1.

Applications

Unspecified application

Species

Unspecified reactive species

Li Xu,Shuo Chen,Qiuling Fan,Yonghong Zhu,Hang Mei,Jiao Wang,Hongyuan Yu,Ying Chen,Fan Liu

Journal of experimental & clinical cancer research : CR 43:111 PubMed38605400

2024

METTL3 recruiting M2-type immunosuppressed macrophages by targeting m6A-SNAIL-CXCL2 axis to promote colorectal cancer pulmonary metastasis.

Applications

IHC-P

Species

Human

Peng Ouyang,Kang Li,Wei Xu,Caiyun Chen,Yangdong Shi,Yao Tian,Jin Gong,Zhen Bao

Cell reports 43:113947 PubMed38492220

2024

YTHDF1-CLOCK axis contributes to pathogenesis of allergic airway inflammation through LLPS.

Applications

WB

Species

Human

Jing Wang,Yao Zhou,Meng Zhang,Yujiao Wu,Qun Wu,Wen Su,Min Xu,Jinhong Wu,Min Zhang,Jianwei Shuai,Wei Tang,Jiajia Lv,Min Wu,Zhenwei Xia

Oncogene 43:1288-1302 PubMed38443681

2024

N-methyladenosine demethyltransferase FTO mediated mA modification of estrogen receptor alpha in non-small cell lung cancer tumorigenesis.

Applications

WB

Species

Human

Xin Xu,Shiyu Qiu,Bingjie Zeng,Yiwen Huang,Xianzhao Wang,Fusheng Li,Yiran Yang,Leiqun Cao,Xiao Zhang,Jiayi Wang,Lifang Ma
View all publications

Product promise

We are committed to supporting your work with high-quality reagents, and we're here for you every step of the way. In the unlikely event that one of our products does not perform as expected, you're protected by our Product Promise.
For full details, please see our Terms & Conditions

Please note: All products are 'FOR RESEARCH USE ONLY. NOT FOR USE IN DIAGNOSTIC OR THERAPEUTIC PROCEDURES'.

For licensing inquiries, please contact partnerships@abcam.com