JavaScript is disabled in your browser. Please enable JavaScript to view this website.
AB275037

Anti-YTHDF2 antibody [EPR23544-19] - BSA and Azide free

Be the first to review this product! Submit a review

|

(0 Publication)

Rabbit Recombinant Monoclonal YTHDF2 antibody. Carrier free. Suitable for ICC/IF, IP, WB, IHC-P, Flow Cyt (Intra) and reacts with Human, Mouse, Rat samples.

View Alternative Names

HGRG8, YTHDF2, YTH domain-containing family protein 2, DF2, CLL-associated antigen KW-14, High-glucose-regulated protein 8, Renal carcinoma antigen NY-REN-2

11 Images
Immunocytochemistry/ Immunofluorescence - Anti-YTHDF2 antibody [EPR23544-19] - BSA and Azide free (AB275037)
  • ICC/IF

Unknown

Immunocytochemistry/ Immunofluorescence - Anti-YTHDF2 antibody [EPR23544-19] - BSA and Azide free (AB275037)

This data was developed using ab246514, the same antibody clone in a different buffer formulation.

Immunofluorescent analysis of 4% Paraformaldehyde-fixed, 0.1% Triton X-100 permeabilizedNIH/3T3 (Mouse embryo fibroblast cell line) cells labelling YTHDF2 with ab246514 at 1/50 dilution, followed by ab150077 Goat Anti-Rabbit IgG H&L (Alexa Fluor® 488) antibody at 1/1000 dilution (Green). Confocal image showing cytoplasmic staining in NIH/3T3 cell line. ab195889 Anti-alpha Tubulin mouse monoclonal antibody - Microtubule Marker (Alexa Fluor® 594) was used to counterstain tubulin at 1/200 dilution (Red). The Nuclear counterstain was DAPI (Blue).

Secondary antibody only control : Secondary antibody is ab150077 Goat Anti-Rabbit IgG H&L (Alexa Fluor® 488) at 1/1000 dilution.

Immunohistochemistry (Formalin/PFA-fixed paraffin-embedded sections) - Anti-YTHDF2 antibody [EPR23544-19] - BSA and Azide free (AB275037)
  • IHC-P

Unknown

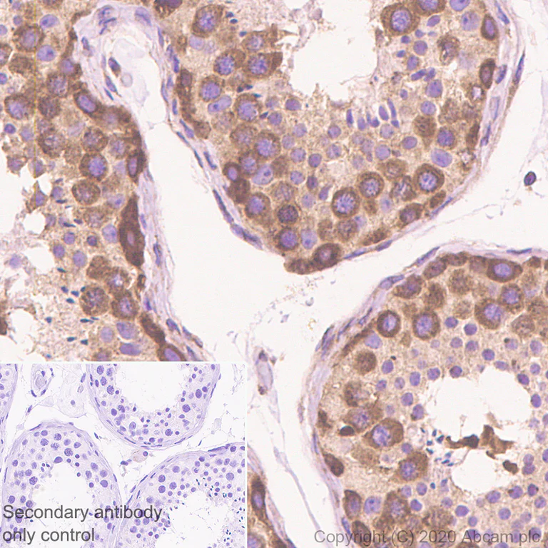
Immunohistochemistry (Formalin/PFA-fixed paraffin-embedded sections) - Anti-YTHDF2 antibody [EPR23544-19] - BSA and Azide free (AB275037)

This data was developed using ab246514, the same antibody clone in a different buffer formulation.

Immunohistochemical analysis of paraffin-embedded Rat testis tissue labeling YTHDF2 with ab246514 at 1/2000 dilution followed by a ready to use Rabbit specific IHC polymer detection kit HRP/DAB (ab209101). Cytoplasmic staining in rat testis (PMID : 30903744, PMID : 29103884). The section was incubated with ab246514 for 30 mins at room temperature. The immunostaining was performed on a Leica Biosystems BOND® RX instrument Counterstained with Hematoxylin.

Secondary antibody only control : Secondary antibody is a ready to use Rabbit specific IHC polymer detection kit HRP/DAB (ab209101).

Heat mediated antigen retrieval with Tris-EDTA buffer (pH 9.0, epitope retrieval solution2) for 20 mins.

Immunohistochemistry (Formalin/PFA-fixed paraffin-embedded sections) - Anti-YTHDF2 antibody [EPR23544-19] - BSA and Azide free (AB275037)
  • IHC-P

Unknown

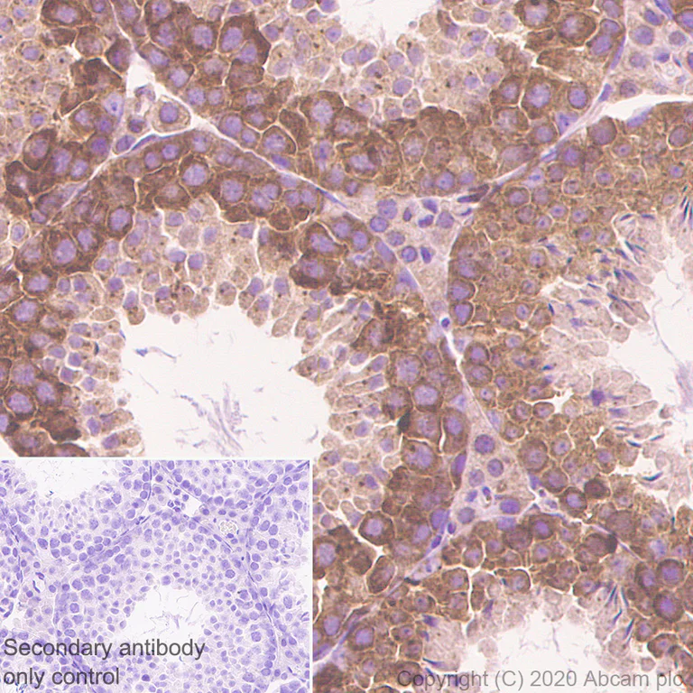
Immunohistochemistry (Formalin/PFA-fixed paraffin-embedded sections) - Anti-YTHDF2 antibody [EPR23544-19] - BSA and Azide free (AB275037)

This data was developed using ab246514, the same antibody clone in a different buffer formulation.

Immunohistochemical analysis of paraffin-embedded Human testis tissue labeling YTHDF2 with ab246514 at 1/2000 dilution followed by a ready to use Rabbit specific IHC polymer detection kit HRP/DAB (ab209101). Cytoplasmic staining in human testis (PMID : 30903744, PMID : 29103884).The section was incubated with ab246514 for 30 mins at room temperature. The immunostaining was performed on a Leica Biosystems BOND® RX instrument Counterstained with Hematoxylin.

Secondary antibody only control : Secondary antibody is a ready to use Rabbit specific IHC polymer detection kit HRP/DAB (ab209101).

Heat mediated antigen retrieval with Tris-EDTA buffer (pH 9.0, epitope retrieval solution2) for 20 mins.

Flow Cytometry (Intracellular) - Anti-YTHDF2 antibody [EPR23544-19] - BSA and Azide free (AB275037)
  • Flow Cyt (Intra)

Unknown

Flow Cytometry (Intracellular) - Anti-YTHDF2 antibody [EPR23544-19] - BSA and Azide free (AB275037)

This data was developed using ab246514, the same antibody clone in a different buffer formulation.

Intracellular flow cytometric analysis of 4% paraformaldehyde fixed, 90% methanol permeabilized HeLa (Human cervix adenocarcinoma epithelial cell) cells labelling YTHDF2 with ab246514 at 1/500 dilution (0.1ug) (Red) compared with a Rabbit monoclonal IgG (ab172730) (Black) isotype control and an unlabelled control (cells without incubation with primary antibody and secondary antibody) (Blue).

A Goat anti rabbit IgG (Alexa Fluor®488, ab150077) at 1/2000 dilution was used as the secondary antibody.

Flow Cytometry (Intracellular) - Anti-YTHDF2 antibody [EPR23544-19] - BSA and Azide free (AB275037)
  • Flow Cyt (Intra)

Unknown

Flow Cytometry (Intracellular) - Anti-YTHDF2 antibody [EPR23544-19] - BSA and Azide free (AB275037)

This data was developed using ab246514, the same antibody clone in a different buffer formulation.

Intracellular flow cytometric analysis of 4% paraformaldehyde fixed, 90% methanol permeabilized NIH/3T3 (Mouse embryonic fibroblast cell line) cells labelling YTHDF2 with ab246514 at 1/500 dilution (0.1ug) (Red) compared with a Rabbit monoclonal IgG (ab172730) (Black) isotype control and an unlabelled control (cells without incubation with primary antibody and secondary antibody) (Blue).

A Goat anti rabbit IgG (Alexa Fluor®488, ab150077) at 1/2000 dilution was used as the secondary antibody.

Immunocytochemistry/ Immunofluorescence - Anti-YTHDF2 antibody [EPR23544-19] - BSA and Azide free (AB275037)
  • ICC/IF

Unknown

Immunocytochemistry/ Immunofluorescence - Anti-YTHDF2 antibody [EPR23544-19] - BSA and Azide free (AB275037)

This data was developed using ab246514, the same antibody clone in a different buffer formulation.

Immunofluorescent analysis of 4% Paraformaldehyde-fixed, 0.1% Triton X-100 permeabilized HeLa (Human epithelial adenocarcinoma cell line) (siRNA control) and HeLa (siRNA YTHDF) cells labelling YTHDF2 with ab246514 at 1/100 dilution, followed by ab150077 Goat Anti-Rabbit IgG H&L (Alexa Fluor® 488) antibody at 1/1000 dilution (Green). Confocal image showing cytoplasmic staining in HeLa cell line transfected with scramble siRNA and reduced staining in HeLa cell line transfected with siRNA YTHDF2. ab195889 Anti-alpha Tubulin mouse monoclonal antibody - Microtubule Marker (Alexa Fluor® 594) was used to counterstain tubulin at 1/200 dilution (Red). The Nuclear counterstain was DAPI (Blue).

Secondary antibody only control : Secondary antibody is ab150077 Goat Anti-Rabbit IgG H&L (Alexa Fluor® 488) at 1/1000 dilution.

Immunohistochemistry (Formalin/PFA-fixed paraffin-embedded sections) - Anti-YTHDF2 antibody [EPR23544-19] - BSA and Azide free (AB275037)
  • IHC-P

Unknown

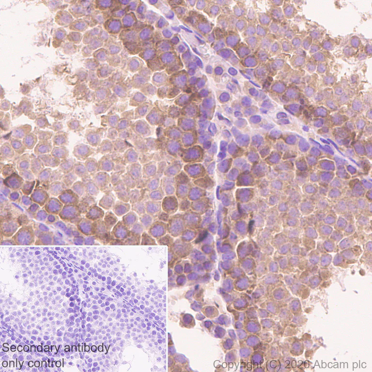
Immunohistochemistry (Formalin/PFA-fixed paraffin-embedded sections) - Anti-YTHDF2 antibody [EPR23544-19] - BSA and Azide free (AB275037)

This data was developed using ab246514, the same antibody clone in a different buffer formulation.

Immunohistochemical analysis of paraffin-embedded Mouse testis tissue labeling YTHDF2 with ab246514 at 1/2000 dilution followed by a ready to use Rabbit specific IHC polymer detection kit HRP/DAB (ab209101). Cytoplasmic staining in mouse testis (PMID : 30903744, PMID : 29103884). The section was incubated with ab246514 for 30 mins at room temperature. The immunostaining was performed on a Leica Biosystems BOND® RX instrument Counterstained with Hematoxylin.

Secondary antibody only control : Secondary antibody is a ready to use Rabbit specific IHC polymer detection kit HRP/DAB (ab209101).

Heat mediated antigen retrieval with Tris-EDTA buffer (pH 9.0, epitope retrieval solution2) for 20 mins.

Immunoprecipitation - Anti-YTHDF2 antibody [EPR23544-19] - BSA and Azide free (AB275037)
  • IP

Unknown

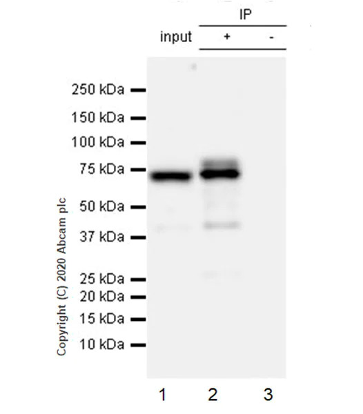
Immunoprecipitation - Anti-YTHDF2 antibody [EPR23544-19] - BSA and Azide free (AB275037)

This data was developed using ab246514, the same antibody clone in a different buffer formulation.

YTHDF2 was immunoprecipitated from 0.35 mg NIH/3T3 (mouse embryonic fibroblast cell line) whole cell lysate with ab246514 at 1/30 dilution (2ug in 0.35mg lysates). Western blot was performed on the immunoprecipitate using ab246514 at 1/1000 dilution. VeriBlot for IP Detection Reagent (HRP)(ab131366) was used at 1/5000 dilution.

Lane 1 : NIH/3T3 (mouse embryonic fibroblast) whole cell lysate 10 ug

Lane 2 : ab246514 IP in NIH/3T3 whole cell lysate

Lane 3 : Rabbit monoclonal IgG (ab172730) instead of ab246514 in NIH/3T3 whole cell lysate

Blocking and dilution buffer and concentration : 5% NFDM/TBST.

Exposure time : 84 seconds.

Lysates were made freshly and used in IP test immediately to minimize protein degradation.

All lanes:

Immunoprecipitation - Anti-YTHDF2 antibody [EPR23544-19] (<a href='/en-us/products/primary-antibodies/ythdf2-antibody-epr23544-19-ab246514'>ab246514</a>)

Predicted band size: 62 kDa

Observed band size: 62 kDa

false

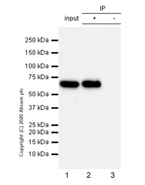
Immunoprecipitation - Anti-YTHDF2 antibody [EPR23544-19] - BSA and Azide free (AB275037)
  • IP

Unknown

Immunoprecipitation - Anti-YTHDF2 antibody [EPR23544-19] - BSA and Azide free (AB275037)

This data was developed using ab246514, the same antibody clone in a different buffer formulation.

YTHDF2 was immunoprecipitated from 0.35 mg HeLa (human cervix adenocarcinoma epithelial cell line) whole cell lysate with ab246514 at 1/30 dilution (2ug in 0.35mg lysates). Western blot was performed on the immunoprecipitate using ab246514 at 1/1000 dilution. VeriBlot for IP Detection Reagent (HRP)(ab131366) was used at 1/5000 dilution.

Lane 1 : HeLa whole cell lysate 10 ug

Lane 2 : ab246514 IP in HeLa whole cell lysate

Lane 3 : Rabbit monoclonal IgG (ab172730) instead of ab246514 in HeLa whole cell lysate

Blocking and dilution buffer and concentration : 5% NFDM/TBST.

Exposure time : 10 seconds.

All lanes:

Immunoprecipitation - Anti-YTHDF2 antibody [EPR23544-19] (<a href='/en-us/products/primary-antibodies/ythdf2-antibody-epr23544-19-ab246514'>ab246514</a>)

Predicted band size: 62 kDa

Observed band size: 62 kDa

false

Western blot - Anti-YTHDF2 antibody [EPR23544-19] - BSA and Azide free (AB275037)
  • WB

Unknown

Western blot - Anti-YTHDF2 antibody [EPR23544-19] - BSA and Azide free (AB275037)

This data was developed using ab246514, the same antibody clone in a different buffer formulation.

Blocking and dilution buffer : 5% NFDM/TBST.

Exposure times : Lanes 1-2 : 37 seconds; Lane 3 : 180 seconds; Lane 4 : 37 seconds.

The molecular mass observed is consistent with the literature (PMID : 28104805).

Lysates should be made freshly and used in WB immediately to minimize protein degradation.

All lanes:

Western blot - Anti-YTHDF2 antibody [EPR23544-19] (<a href='/en-us/products/primary-antibodies/ythdf2-antibody-epr23544-19-ab246514'>ab246514</a>) at 1/1000 dilution

Lane 1:

HeLa (human cervix adenocarcinoma epithelial cell) whole cell lysate at 20 µg

Lane 2:

LNCaP (human prostate carcinoma epithelial cell) whole cell lysate at 20 µg

Lane 3:

MEF (mouse embryonic fibroblast (immortalized)) whole cell lysate at 20 µg

Lane 4:

PC-12 (rat adrenal gland pheochromocytoma) whole cell lysate at 20 µg

Secondary

All lanes:

Goat Anti-Rabbit IgG, (H+L), Peroxidase conjugated (<a href='/en-us/products/secondary-antibodies/goat-rabbit-igg-h-l-hrp-ab97051'>ab97051</a>) at 1/100000 dilution

Predicted band size: 62 kDa

Observed band size: 62 kDa

false

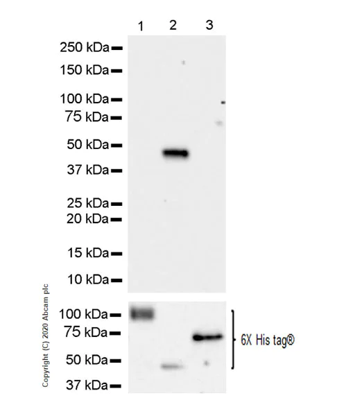
Western blot - Anti-YTHDF2 antibody [EPR23544-19] - BSA and Azide free (AB275037)
  • WB

Unknown

Western blot - Anti-YTHDF2 antibody [EPR23544-19] - BSA and Azide free (AB275037)

This data was developed using ab246514, the same antibody clone in a different buffer formulation.

Blocking and dilution buffer : 5% NFDM/TBST.

Exposure time : 59 seconds.

These rec proteins were made in house.
LIF-His-tagged human YTHDF1 recombinant protein was expressed from a mammalian - HEK-293 expression system.
His-tagged human YTHDF2 recombinant protein is extracts of E.coli expressing YTHDF2.
His-tagged human YTHDF3 recombinant protein is extracts of E.coli expressing YTHDF3.

All lanes:

Western blot - Anti-YTHDF2 antibody [EPR23544-19] (<a href='/en-us/products/primary-antibodies/ythdf2-antibody-epr23544-19-ab246514'>ab246514</a>) at 1/5000 dilution

Lane 1:

LIF-His-tagged human YTHDF1 recombinant protein, 10 ng

Lane 2:

His-tagged human YTHDF2 recombinant protein, 10 ng

Lane 3:

His-tagged human YTHDF3 recombinant protein, 10 ng

Secondary

All lanes:

Goat Anti-Rabbit IgG, (H+L), Peroxidase conjugated (<a href='/en-us/products/secondary-antibodies/goat-rabbit-igg-h-l-hrp-ab97051'>ab97051</a>) at 1/100000 dilution

Predicted band size: 62 kDa

Observed band size: 62 kDa

false

Key facts

Host species

Rabbit

Clonality

Monoclonal

Clone number

EPR23544-19

Isotype

IgG

Carrier free

Yes

Reacts with

Mouse, Rat, Human

Applications

Flow Cyt (Intra), IHC-P, WB, ICC/IF, IP

applications

Immunogen

The exact immunogen used to generate this antibody is proprietary information.

Reactivity data

{ "title": "Reactivity Data", "filters": { "stats": ["", "Species", "Dilution Info", "Notes"], "tabs": { "all-applications": {"fullname" : "All Applications", "shortname": "All Applications"}, "ICCIF" : {"fullname" : "Immunocytochemistry/ Immunofluorescence", "shortname":"ICC/IF"}, "IP" : {"fullname" : "Immunoprecipitation", "shortname":"IP"}, "WB" : {"fullname" : "Western blot", "shortname":"WB"}, "IHCP" : {"fullname" : "Immunohistochemistry (Formalin/PFA-fixed paraffin-embedded sections)", "shortname":"IHC-P"}, "FlowCytIntra" : {"fullname" : "Flow Cytometry (Intracellular)", "shortname":"Flow Cyt (Intra)"} }, "product-promise": { "all": "all", "testedAndGuaranteed": "tested", "guaranteed": "expected", "predicted": "predicted", "notRecommended": "not-recommended" } }, "values": { "Human": { "ICCIF-species-checked": "testedAndGuaranteed", "ICCIF-species-dilution-info": "", "ICCIF-species-notes": "<p></p>", "IP-species-checked": "testedAndGuaranteed", "IP-species-dilution-info": "", "IP-species-notes": "<p></p>", "WB-species-checked": "testedAndGuaranteed", "WB-species-dilution-info": "", "WB-species-notes": "<p></p>", "IHCP-species-checked": "testedAndGuaranteed", "IHCP-species-dilution-info": "", "IHCP-species-notes": "<p></p>", "FlowCytIntra-species-checked": "testedAndGuaranteed", "FlowCytIntra-species-dilution-info": "", "FlowCytIntra-species-notes": "<p></p>" }, "Mouse": { "ICCIF-species-checked": "testedAndGuaranteed", "ICCIF-species-dilution-info": "", "ICCIF-species-notes": "<p></p>", "IP-species-checked": "testedAndGuaranteed", "IP-species-dilution-info": "", "IP-species-notes": "<p></p>", "WB-species-checked": "testedAndGuaranteed", "WB-species-dilution-info": "", "WB-species-notes": "<p></p>", "IHCP-species-checked": "testedAndGuaranteed", "IHCP-species-dilution-info": "", "IHCP-species-notes": "<p></p>", "FlowCytIntra-species-checked": "testedAndGuaranteed", "FlowCytIntra-species-dilution-info": "", "FlowCytIntra-species-notes": "<p></p>" }, "Rat": { "ICCIF-species-checked": "guaranteed", "ICCIF-species-dilution-info": "", "ICCIF-species-notes": "", "IP-species-checked": "guaranteed", "IP-species-dilution-info": "", "IP-species-notes": "", "WB-species-checked": "testedAndGuaranteed", "WB-species-dilution-info": "", "WB-species-notes": "<p></p>", "IHCP-species-checked": "testedAndGuaranteed", "IHCP-species-dilution-info": "", "IHCP-species-notes": "<p></p>", "FlowCytIntra-species-checked": "guaranteed", "FlowCytIntra-species-dilution-info": "", "FlowCytIntra-species-notes": "" } } }

Product details

ab275037 is the carrier-free version of ab246514.

Patented technology
Our RabMAb® technology is a patented hybridoma-based technology for making rabbit monoclonal antibodies. For details on our patents, please refer to RabMAb® patents.

What are the advantages of a recombinant monoclonal antibody?
This product is a recombinant monoclonal antibody, which offers several advantages including:

  • - High batch-to-batch consistency and reproducibility
  • - Improved sensitivity and specificity
  • - Long-term security of supply
  • - Animal-free batch production

For more information, read more on recombinant antibodies.

Conjugation ready
Our carrier-free antibodies are typically supplied in a PBS-only formulation, purified and free of BSA, sodium azide and glycerol. This conjugation-ready format is designed for use with fluorochromes, metal isotopes, oligonucleotides, and enzymes, which makes them ideal for antibody labelling, functional and cell-based assays, flow-based assays (e.g. mass cytometry) and Multiplex Imaging applications.

Use our conjugation kits for antibody conjugates that are ready-to-use in as little as 20 minutes with 1 minute hands-on-time and 100% antibody recovery: available for fluorescent dyes, HRP, biotin and gold.

Compatibility
This product is compatible with the Maxpar® Antibody Labeling Kit from Fluidigm, without the need for antibody preparation. Maxpar® is a trademark of Fluidigm Canada Inc.

Properties and storage information

Form
Liquid
Purification technique
Affinity purification Protein A
Storage buffer
Constituents: PBS
Shipped at conditions
Blue Ice
Appropriate short-term storage conditions
+4°C
Appropriate long-term storage conditions
+4°C
Storage information
Do Not Freeze

Supplementary information

This supplementary information is collated from multiple sources and compiled automatically.

YTHDF2 also known as YTH domain family member 2 mechanically functions as a reader of N6-methyladenosine (m6A)-modified RNA. YTHDF2 binds to these m6A-modified sites on messenger RNA leading to degradation of these transcripts. This protein acts in the cytoplasm and has a molecular weight of approximately 65 kDa. YTHDF2 is highly expressed in various tissues including in the brain liver and reproductive organs.
Biological function summary

YTHDF2 plays a critical role in regulating mRNA stability and decay impacting gene expression dynamically. It acts as an important regulator in processes such as cell differentiation and response to stress. YTHDF2 does not seem to form a complex but interacts with other proteins to fulfill its regulatory functions. Importantly these interactions help manage the cellular RNA cycle maintaining proper cellular physiology.

Pathways

YTHDF2 integrates into the mRNA surveillance pathway and influences processes such as the circadian rhythm and immune response. It works with proteins such as DCP1/2 which are part of the mRNA decay pathway to ensure rapid turnover of target mRNAs. YTHDF2's control over transcript degradation connects it with RNA-processing machinery impacting pathways reliant on precise proteomic modulation.

Abnormal YTHDF2 function can contribute to cancer and metabolic disorders. In cancer its interaction with tumor suppressor proteins like p53 alters transcript levels important for cancer cell survival. In metabolic disorders YTHDF2's effect on mRNA turnover can influence pathways involving insulin secretion. YTHDF2's involvement in these diseases suggests it as a potential target for therapeutic intervention.

Product protocols

For this product, it's our understanding that no specific protocols are required. You can visit:

Target data

Specifically recognizes and binds N6-methyladenosine (m6A)-containing RNAs, and regulates their stability (PubMed : 24284625, PubMed : 26046440, PubMed : 26318451, PubMed : 32492408). M6A is a modification present at internal sites of mRNAs and some non-coding RNAs and plays a role in mRNA stability and processing (PubMed : 22575960, PubMed : 24284625, PubMed : 25412658, PubMed : 25412661, PubMed : 32492408). Acts as a regulator of mRNA stability by promoting degradation of m6A-containing mRNAs via interaction with the CCR4-NOT and ribonuclease P/MRP complexes, depending on the context (PubMed : 24284625, PubMed : 26046440, PubMed : 27558897, PubMed : 30930054, PubMed : 32492408). The YTHDF paralogs (YTHDF1, YTHDF2 and YTHDF3) share m6A-containing mRNAs targets and act redundantly to mediate mRNA degradation and cellular differentiation (PubMed : 28106072, PubMed : 32492408). M6A-containing mRNAs containing a binding site for RIDA/HRSP12 (5'-GGUUC-3') are preferentially degraded by endoribonucleolytic cleavage : cooperative binding of RIDA/HRSP12 and YTHDF2 to transcripts leads to recruitment of the ribonuclease P/MRP complex (PubMed : 30930054). Other m6A-containing mRNAs undergo deadenylation via direct interaction between YTHDF2 and CNOT1, leading to recruitment of the CCR4-NOT and subsequent deadenylation of m6A-containing mRNAs (PubMed : 27558897). Required maternally to regulate oocyte maturation : probably acts by binding to m6A-containing mRNAs, thereby regulating maternal transcript dosage during oocyte maturation, which is essential for the competence of oocytes to sustain early zygotic development (By similarity). Also required during spermatogenesis : regulates spermagonial adhesion by promoting degradation of m6A-containing transcripts coding for matrix metallopeptidases (By similarity). Also involved in hematopoietic stem cells specification by binding to m6A-containing mRNAs, leading to promote their degradation (PubMed : 30065315). Also acts as a regulator of neural development by promoting m6A-dependent degradation of neural development-related mRNA targets (By similarity). Inhibits neural specification of induced pluripotent stem cells by binding to methylated neural-specific mRNAs and promoting their degradation, thereby restraining neural differentiation (PubMed : 32169943). Regulates circadian regulation of hepatic lipid metabolism : acts by promoting m6A-dependent degradation of PPARA transcripts (PubMed : 30428350). Regulates the innate immune response to infection by inhibiting the type I interferon response : acts by binding to m6A-containing IFNB transcripts and promoting their degradation (PubMed : 30559377). May also act as a promoter of cap-independent mRNA translation following heat shock stress : upon stress, relocalizes to the nucleus and specifically binds mRNAs with some m6A methylation mark at their 5'-UTR, protecting demethylation of mRNAs by FTO, thereby promoting cap-independent mRNA translation (PubMed : 26458103). Regulates mitotic entry by promoting the phase-specific m6A-dependent degradation of WEE1 transcripts (PubMed : 32267835). Promotes formation of phase-separated membraneless compartments, such as P-bodies or stress granules, by undergoing liquid-liquid phase separation upon binding to mRNAs containing multiple m6A-modified residues : polymethylated mRNAs act as a multivalent scaffold for the binding of YTHDF proteins, juxtaposing their disordered regions and thereby leading to phase separation (PubMed : 31292544, PubMed : 31388144, PubMed : 31642031, PubMed : 32451507). The resulting mRNA-YTHDF complexes then partition into different endogenous phase-separated membraneless compartments, such as P-bodies, stress granules or neuronal RNA granules (PubMed : 31292544). May also recognize and bind RNAs modified by C5-methylcytosine (m5C) and act as a regulator of rRNA processing (PubMed : 31815440).. (Microbial infection) Promotes viral gene expression and replication of polyomavirus SV40 : acts by binding to N6-methyladenosine (m6A)-containing viral RNAs (PubMed : 29447282).. (Microbial infection) Promotes viral gene expression and virion production of kaposis sarcoma-associated herpesvirus (KSHV) at some stage of the KSHV life cycle (in iSLK.219 and iSLK.BAC16 cells) (PubMed : 29659627). Acts by binding to N6-methyladenosine (m6A)-containing viral RNAs (PubMed : 29659627).
See full target information YTHDF2

Product promise

We are committed to supporting your work with high-quality reagents, and we're here for you every step of the way. In the unlikely event that one of our products does not perform as expected, you're protected by our Product Promise.
For full details, please see our Terms & Conditions

Associated Products

Select an associated product type
Alternative Version
Primary Antibodies

AB309605

Alexa Fluor® 488 Anti-YTHDF2 antibody [EPR23544-19]

primary-antibodies

alexa-fluor-488-ythdf2-antibody-epr23544-19-ab309605

0

(0 reviews)

Please note: All products are 'FOR RESEARCH USE ONLY. NOT FOR USE IN DIAGNOSTIC OR THERAPEUTIC PROCEDURES'.

For licensing inquiries, please contact partnerships@abcam.com