JavaScript is disabled in your browser. Please enable JavaScript to view this website.
AB137862

Anti-YWHAE antibody

Be the first to review this product! Submit a review

|

(1 Publication)

Rabbit Polyclonal YWHAE antibody. Suitable for WB, ICC/IF, IHC-P and reacts with Mouse, Human samples. Cited in 1 publication. Immunogen corresponding to Recombinant Fragment Protein within Human YWHAE aa 50 to C-terminus.

View Alternative Names

14-3-3 protein epsilon, 14-3-3E, YWHAE

4 Images
Western blot - Anti-YWHAE antibody (AB137862)
  • WB

Unknown

Western blot - Anti-YWHAE antibody (AB137862)

12% SDS PAGE

All lanes:

Western blot - Anti-YWHAE antibody (ab137862) at 1/1000 dilution

All lanes:

H1299 whole cell lysate at 30 µg

Predicted band size: 29 kDa

false

Western blot - Anti-YWHAE antibody (AB137862)
  • WB

Unknown

Western blot - Anti-YWHAE antibody (AB137862)

12% SDS PAGE

All lanes:

Western blot - Anti-YWHAE antibody (ab137862) at 1/10000 dilution

All lanes:

Mouse brain whole cell lysate at 20 µg

Predicted band size: 29 kDa,41 kDa

false

Immunocytochemistry/ Immunofluorescence - Anti-YWHAE antibody (AB137862)
  • ICC/IF

Unknown

Immunocytochemistry/ Immunofluorescence - Anti-YWHAE antibody (AB137862)

Immunofluorescence analysis of methanol fixed A431 cells labelling YWHAE with 137862 at 1/200. Lower panel shows costaining with Hoechst 33342.

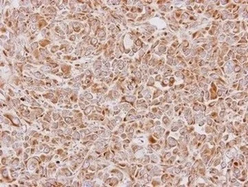
Immunohistochemistry (Formalin/PFA-fixed paraffin-embedded sections) - Anti-YWHAE antibody (AB137862)
  • IHC-P

Supplier Data

Immunohistochemistry (Formalin/PFA-fixed paraffin-embedded sections) - Anti-YWHAE antibody (AB137862)

Immunohistochemical analysis of paraffin embedded MDA MB231 xenograft tissue labelling YWHAE with ab137862 at 1/500.

Key facts

Host species

Rabbit

Clonality

Polyclonal

Isotype

IgG

Carrier free

No

Reacts with

Mouse, Human

Applications

WB, IHC-P, ICC/IF

applications

Immunogen

Recombinant Fragment Protein within Human YWHAE aa 50 to C-terminus. The exact immunogen used to generate this antibody is proprietary information.

P62258

Reactivity data

{ "title": "Reactivity Data", "filters": { "stats": ["", "Species", "Dilution Info", "Notes"], "tabs": { "all-applications": {"fullname" : "All Applications", "shortname": "All Applications"}, "WB" : {"fullname" : "Western blot", "shortname":"WB"}, "ICCIF" : {"fullname" : "Immunocytochemistry/ Immunofluorescence", "shortname":"ICC/IF"}, "IHCP" : {"fullname" : "Immunohistochemistry (Formalin/PFA-fixed paraffin-embedded sections)", "shortname":"IHC-P"} }, "product-promise": { "all": "all", "testedAndGuaranteed": "tested", "guaranteed": "expected", "predicted": "predicted", "notRecommended": "not-recommended" } }, "values": { "Human": { "WB-species-checked": "testedAndGuaranteed", "WB-species-dilution-info": "1/1000.00000 - 1/10000.00000", "WB-species-notes": "<p></p>", "ICCIF-species-checked": "testedAndGuaranteed", "ICCIF-species-dilution-info": "1/100.00000 - 1/1000.00000", "ICCIF-species-notes": "<p></p>", "IHCP-species-checked": "testedAndGuaranteed", "IHCP-species-dilution-info": "1/100.00000 - 1/1000.00000", "IHCP-species-notes": "<p>Perform heat mediated antigen retrieval before commencing with IHC staining protocol using10mM Citrate buffer (pH6.0) or Tris-EDTA buffer (pH8.0)</p>" }, "Mouse": { "WB-species-checked": "testedAndGuaranteed", "WB-species-dilution-info": "1/1000.00000 - 1/10000.00000", "WB-species-notes": "<p></p>", "ICCIF-species-checked": "guaranteed", "ICCIF-species-dilution-info": "", "ICCIF-species-notes": "", "IHCP-species-checked": "guaranteed", "IHCP-species-dilution-info": "", "IHCP-species-notes": "" }, "Rat": { "WB-species-checked": "predicted", "WB-species-dilution-info": "", "WB-species-notes": "", "ICCIF-species-checked": "predicted", "ICCIF-species-dilution-info": "", "ICCIF-species-notes": "", "IHCP-species-checked": "predicted", "IHCP-species-dilution-info": "", "IHCP-species-notes": "" }, "Chicken": { "WB-species-checked": "predicted", "WB-species-dilution-info": "", "WB-species-notes": "", "ICCIF-species-checked": "predicted", "ICCIF-species-dilution-info": "", "ICCIF-species-notes": "", "IHCP-species-checked": "predicted", "IHCP-species-dilution-info": "", "IHCP-species-notes": "" }, "Cow": { "WB-species-checked": "predicted", "WB-species-dilution-info": "", "WB-species-notes": "", "ICCIF-species-checked": "predicted", "ICCIF-species-dilution-info": "", "ICCIF-species-notes": "", "IHCP-species-checked": "predicted", "IHCP-species-dilution-info": "", "IHCP-species-notes": "" }, "Xenopus laevis": { "WB-species-checked": "predicted", "WB-species-dilution-info": "", "WB-species-notes": "", "ICCIF-species-checked": "predicted", "ICCIF-species-dilution-info": "", "ICCIF-species-notes": "", "IHCP-species-checked": "predicted", "IHCP-species-dilution-info": "", "IHCP-species-notes": "" }, "Xenopus tropicalis": { "WB-species-checked": "predicted", "WB-species-dilution-info": "", "WB-species-notes": "", "ICCIF-species-checked": "predicted", "ICCIF-species-dilution-info": "", "ICCIF-species-notes": "", "IHCP-species-checked": "predicted", "IHCP-species-dilution-info": "", "IHCP-species-notes": "" } } }

You may be interested in:

AB314822

Human YWHAE ELISA Kit

0

0 Reviews

View product

We recommend this product because it’s often used in the same experiment or related research.

We advise that you always check the datasheet to ensure it fits your experiments, or contact ourtechnical teamfor help.

Properties and storage information

Form
Liquid
Purification technique
Affinity purification Immunogen
Storage buffer
pH: 7 Preservative: 0.01% Thimerosal (merthiolate) Constituents: 20% Glycerol (glycerin, glycerine), 1.21% Tris, 0.75% Glycine
Shipped at conditions
Blue Ice
Appropriate short-term storage conditions
+4°C
Appropriate long-term storage conditions
-20°C
Aliquoting information
Upon delivery aliquot
Storage information
Avoid freeze / thaw cycle

Supplementary information

This supplementary information is collated from multiple sources and compiled automatically.

The YWHAE protein also known as 14-3-3E acts as a regulatory molecule by binding to various phosphoserine-containing proteins. It plays key roles in cellular signaling and exists as a dimer. YWHAE has a molecular mass of around 29 kDa and is widely expressed in tissues including the brain heart and skeletal muscle. Its interactions often rely on its abundant presence in various cell types showing its versatility.
Biological function summary

YWHAE protein interacts with several enzymes and receptors forming complexes that affect their functional states. It is a member of the 14-3-3 family which facilitates signal transduction by binding to phosphorylated serine/threonine residues. This protein influences processes like cell cycle control apoptosis and stress responses emphasizing its significant roles in maintaining cellular homeostasis.

Pathways

YWHAE plays significant roles in the Akt and MAPK pathways. In the Akt pathway YWHAE partners with proteins like BAD and FOXO which are important in controlling apoptosis and cell survival. In the MAPK pathway it regulates multiple proteins including Raf and MEK impacting cell growth and differentiation. Understanding YWHAE's interactions in these pathways highlights its influence in critical signaling events.

YWHAE has been tied to schizophrenia and neurodevelopmental disorders. In schizophrenia it interacts with proteins like DISC1 affecting neuronal migration and synaptic function. In neurodevelopmental disorders alterations in YWHAE can lead to compromised signaling that disrupts normal brain function. These connections highlight the importance of YWHAE in maintaining neurological health.

Product protocols

For this product, it's our understanding that no specific protocols are required. You can visit:

Target data

Adapter protein implicated in the regulation of a large spectrum of both general and specialized signaling pathways. Binds to a large number of partners, usually by recognition of a phosphoserine or phosphothreonine motif (PubMed : 35343654). Binding generally results in the modulation of the activity of the binding partner (By similarity). Positively regulates phosphorylated protein HSF1 nuclear export to the cytoplasm (PubMed : 12917326). Plays a positive role in the antiviral signaling pathway upstream of TBK1 via interaction with RIGI (PubMed : 37555661). Mechanistically, directs RIGI redistribution from the cytosol to mitochondrial associated membranes where it mediates MAVS-dependent innate immune signaling during viral infection (PubMed : 22607805). Plays a role in proliferation inhibition and cell cycle arrest by exporting HNRNPC from the nucleus to the cytoplasm to be degraded by ubiquitination (PubMed : 37599448).
See full target information YWHAE

Publications (1)

Recent publications for all applications. Explore the full list and refine your search

Archives of biochemistry and biophysics 663:101-108 PubMed30550728

2018

NF45 promotes esophageal squamous carcinoma cell invasion by increasing Rac1 activity through 14-3-3ε protein.

Applications

Unspecified application

Species

Unspecified reactive species

Yao Wen-Jian,Tong Song,Tan Jun,Xu Kai-Ying,Wang Jian-Jun,Wang Si-Hua
View all publications

Product promise

We are committed to supporting your work with high-quality reagents, and we're here for you every step of the way. In the unlikely event that one of our products does not perform as expected, you're protected by our Product Promise.
For full details, please see our Terms & Conditions

Associated Products

Select an associated product type
Alternative Product
Primary Antibodies

AB92311

Anti-YWHAE antibody [EPR3918]

primary-antibodies

ywhae-antibody-epr3918-ab92311

5

(2 reviews)

Alternative Product
Primary Antibodies

AB239903

Anti-YWHAE antibody [EPR3918] - BSA and Azide free

primary-antibodies

ywhae-antibody-epr3918-bsa-and-azide-free-ab239903

0

(0 reviews)

Please note: All products are 'FOR RESEARCH USE ONLY. NOT FOR USE IN DIAGNOSTIC OR THERAPEUTIC PROCEDURES'.

For licensing inquiries, please contact partnerships@abcam.com