JavaScript is disabled in your browser. Please enable JavaScript to view this website.
AB239956

Anti-YY1 antibody [EPR4651] - BSA and Azide free

Be the first to review this product! Submit a review

|

(1 Publication)

Rabbit Recombinant Monoclonal YY1 antibody. Carrier free. Suitable for IHC-P, WB and reacts with Human, Mouse, Rat samples. Cited in 1 publication.

View Alternative Names

INO80S, YY1, Transcriptional repressor protein YY1, Delta transcription factor, INO80 complex subunit S, NF-E1, Yin and yang 1, YY-1

1 Images
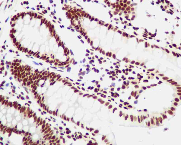
Immunohistochemistry (Formalin/PFA-fixed paraffin-embedded sections) - Anti-YY1 antibody [EPR4651] - BSA and Azide free (AB239956)
  • IHC-P

Unknown

Immunohistochemistry (Formalin/PFA-fixed paraffin-embedded sections) - Anti-YY1 antibody [EPR4651] - BSA and Azide free (AB239956)

This data was developed using the same antibody clone in a different buffer formulation containing PBS, BSA, glycerol, and sodium azide (ab109228).

Immunohistochemical analysis of YY1 in paraffin embedded Human colon tissue, using a 1/250 dilution of ab109228.

Perform heat mediated antigen retrieval before commencing with IHC staining protocol.

  • Unconjugated

    Anti-YY1 antibody [EPR4651] - Nuclear Loading Control

  • Carrier free

    Anti-YY1 antibody [EPR4651] - BSA and Azide free (Capture)

Key facts

Host species

Rabbit

Clonality

Monoclonal

Clone number

EPR4651

Isotype

IgG

Carrier free

Yes

Reacts with

Human

Applications

WB, IHC-P

applications

Immunogen

The exact immunogen used to generate this antibody is proprietary information.

Reactivity data

{ "title": "Reactivity Data", "filters": { "stats": ["", "Species", "Dilution Info", "Notes"], "tabs": { "all-applications": {"fullname" : "All Applications", "shortname": "All Applications"}, "IHCP" : {"fullname" : "Immunohistochemistry (Formalin/PFA-fixed paraffin-embedded sections)", "shortname":"IHC-P"}, "ICCIF" : {"fullname" : "Immunocytochemistry/ Immunofluorescence", "shortname":"ICC/IF"}, "WB" : {"fullname" : "Western blot", "shortname":"WB"} }, "product-promise": { "all": "all", "testedAndGuaranteed": "tested", "guaranteed": "expected", "predicted": "predicted", "notRecommended": "not-recommended" } }, "values": { "Human": { "IHCP-species-checked": "testedAndGuaranteed", "IHCP-species-dilution-info": "", "IHCP-species-notes": "<p>(heat to 98 degrees C, allow to cool for 10-20 minutes)</p>", "ICCIF-species-checked": "notRecommended", "ICCIF-species-dilution-info": "", "ICCIF-species-notes": "<p></p>", "WB-species-checked": "guaranteed", "WB-species-dilution-info": "", "WB-species-notes": "<p></p>" }, "Mouse": { "IHCP-species-checked": "predicted", "IHCP-species-dilution-info": "", "IHCP-species-notes": "", "ICCIF-species-checked": "notRecommended", "ICCIF-species-dilution-info": "", "ICCIF-species-notes": "", "WB-species-checked": "guaranteed", "WB-species-dilution-info": "", "WB-species-notes": "<p></p>" }, "Rat": { "IHCP-species-checked": "predicted", "IHCP-species-dilution-info": "", "IHCP-species-notes": "", "ICCIF-species-checked": "notRecommended", "ICCIF-species-dilution-info": "", "ICCIF-species-notes": "", "WB-species-checked": "guaranteed", "WB-species-dilution-info": "", "WB-species-notes": "<p></p>" } } }

Product details

ab239956 is the carrier-free version of ab109228.

Patented technology
Our RabMAb® technology is a patented hybridoma-based technology for making rabbit monoclonal antibodies. For details on our patents, please refer to RabMAb® patents.

What are the advantages of a recombinant monoclonal antibody?
This product is a recombinant monoclonal antibody, which offers several advantages including:

  • - High batch-to-batch consistency and reproducibility
  • - Improved sensitivity and specificity
  • - Long-term security of supply
  • - Animal-free batch production

For more information, read more on recombinant antibodies.

Conjugation ready
Our carrier-free antibodies are typically supplied in a PBS-only formulation, purified and free of BSA, sodium azide and glycerol. This conjugation-ready format is designed for use with fluorochromes, metal isotopes, oligonucleotides, and enzymes, which makes them ideal for antibody labelling, functional and cell-based assays, flow-based assays (e.g. mass cytometry) and Multiplex Imaging applications.

Use our conjugation kits for antibody conjugates that are ready-to-use in as little as 20 minutes with 1 minute hands-on-time and 100% antibody recovery: available for fluorescent dyes, HRP, biotin and gold.

Compatibility
This product is compatible with the Maxpar® Antibody Labeling Kit from Fluidigm, without the need for antibody preparation. Maxpar® is a trademark of Fluidigm Canada Inc.

Properties and storage information

Form
Liquid
Purification technique
Affinity purification Protein A
Storage buffer
pH: 7.2 - 7.4 Constituents: PBS
Shipped at conditions
Blue Ice
Appropriate short-term storage conditions
+4°C
Appropriate long-term storage conditions
+4°C
Storage information
Do Not Freeze

Supplementary information

This supplementary information is collated from multiple sources and compiled automatically.

YY1 also known as Yin Yang 1 is a transcription factor that regulates gene expression by binding to specific DNA sequences. It is a protein with a molecular mass of approximately 68 kDa and is ubiquitously expressed in many tissues including liver lung and kidney. Functionally YY1 can both activate and repress transcription making it versatile in regulating gene activity. It interacts with several co-factors and other proteins influencing chromatin structure and gene expression.
Biological function summary

Yin Yang 1 plays an important role in various cellular processes such as cell proliferation differentiation and apoptosis. It is part of a chromatin remodeling complex where it assists in modifying the architecture of chromatin to control gene activity. Due to its ability to bind to diverse DNA motifs YY1 is involved in embryonic development and cellular differentiation. Additionally it interacts with other transcription factors to coordinate the expression of genes critical for cell cycle progression and survival.

Pathways

The Yin Yang 1 transcription factor is integrally involved in several key signaling pathways. It plays a notable role in the Wnt signaling pathway which is vital for controlling cell growth and differentiation. YY1 interacts with proteins such as β-catenin an important player in the Wnt pathway to mediate its transcriptional effects. Furthermore it also functions within the mTOR signaling pathway associating with proteins like mTOR itself to impact cell metabolism and growth.

Alterations in the expression or function of YY1 have been implicated in several conditions. Dysregulation of YY1 has strong associations with cancer as its interactions with proteins like MYC can lead to abnormal cell proliferation and tumor development. Additionally its role in neuronal differentiation links it with neurological disorders such as Alzheimer's disease. In these contexts YY1's interaction with other transcription factors and regulatory proteins influences disease progression and severity.

Product protocols

For this product, it's our understanding that no specific protocols are required. You can visit:

Target data

Multifunctional transcription factor that exhibits positive and negative control on a large number of cellular and viral genes by binding to sites overlapping the transcription start site (PubMed : 15329343, PubMed : 17721549, PubMed : 24326773, PubMed : 25787250). Binds to the consensus sequence 5'-CCGCCATNTT-3'; some genes have been shown to contain a longer binding motif allowing enhanced binding; the initial CG dinucleotide can be methylated greatly reducing the binding affinity (PubMed : 15329343, PubMed : 17721549, PubMed : 24326773, PubMed : 25787250). The effect on transcription regulation is depending upon the context in which it binds and diverse mechanisms of action include direct activation or repression, indirect activation or repression via cofactor recruitment, or activation or repression by disruption of binding sites or conformational DNA changes (PubMed : 15329343, PubMed : 17721549, PubMed : 24326773, PubMed : 25787250). Its activity is regulated by transcription factors and cytoplasmic proteins that have been shown to abrogate or completely inhibit YY1-mediated activation or repression (PubMed : 15329343, PubMed : 17721549, PubMed : 24326773, PubMed : 25787250). For example, it acts as a repressor in absence of adenovirus E1A protein but as an activator in its presence (PubMed : 1655281). Acts synergistically with the SMAD1 and SMAD4 in bone morphogenetic protein (BMP)-mediated cardiac-specific gene expression (PubMed : 15329343). Binds to SMAD binding elements (SBEs) (5'-GTCT/AGAC-3') within BMP response element (BMPRE) of cardiac activating regions (PubMed : 15329343). May play an important role in development and differentiation. Proposed to recruit the PRC2/EED-EZH2 complex to target genes that are transcriptional repressed (PubMed : 11158321). Involved in DNA repair (PubMed : 18026119, PubMed : 28575647). In vitro, binds to DNA recombination intermediate structures (Holliday junctions). Plays a role in regulating enhancer activation (PubMed : 28575647). Recruits the PR-DUB complex to specific gene-regulatory regions (PubMed : 20805357).. Proposed core component of the chromatin remodeling INO80 complex which is involved in transcriptional regulation, DNA replication and probably DNA repair; proposed to target the INO80 complex to YY1-responsive elements.
See full target information YY1

Publications (1)

Recent publications for all applications. Explore the full list and refine your search

Brain and behavior 13:e3043 PubMed37165750

2023

Combined treatment of high-intensity interval training with neural stem cell generation on contusive model of spinal cord injury in rats.

Applications

Unspecified application

Species

Unspecified reactive species

Reza Keikhaei,Elahe Abdi,Marzieh Darvishi,Zohreh Ghotbeddin,Hatef Ghasemi Hamidabadi
View all publications

Product promise

We are committed to supporting your work with high-quality reagents, and we're here for you every step of the way. In the unlikely event that one of our products does not perform as expected, you're protected by our Product Promise.
For full details, please see our Terms & Conditions

Please note: All products are 'FOR RESEARCH USE ONLY. NOT FOR USE IN DIAGNOSTIC OR THERAPEUTIC PROCEDURES'.

For licensing inquiries, please contact partnerships@abcam.com