JavaScript is disabled in your browser. Please enable JavaScript to view this website.
AB109237

Anti-YY1 antibody [EPR4652] - Nuclear Loading Control

  • RabMAb
  • Recombinant
  • Lab Essentials
  • Advanced Validation
  • 20ul selling size
  • What is this?

4

(10 Reviews)

|

(76 Publications)

Anti-YY1 antibody [EPR4652] - Nuclear Loading Control (ab109237) is a rabbit monoclonal antibody detecting YY1 in Western Blot, Flow Cytometry (Intra), Flow Cytometry, IHC-P, ICC/IF. Suitable for Human, Mouse, Rat.

- Biophysical QC for unrivalled batch-batch consistency
- Over 50 publications

View Alternative Names

INO80S, YY1, Transcriptional repressor protein YY1, Delta transcription factor, INO80 complex subunit S, NF-E1, Yin and yang 1, YY-1

13 Images
Immunohistochemistry (Formalin/PFA-fixed paraffin-embedded sections) - Anti-YY1 antibody [EPR4652] - Nuclear Loading Control (AB109237)
  • IHC-P

Unknown

Immunohistochemistry (Formalin/PFA-fixed paraffin-embedded sections) - Anti-YY1 antibody [EPR4652] - Nuclear Loading Control (AB109237)

Immunohistochemistry (Formalin/PFA-fixed paraffin-embedded sections) analysis human tonsil tissue labelling YY1 with unpurified ab109237 at 1/250.

Perform heat mediated antigen retrieval with citrate buffer pH 6 before commencing with IHC staining protocol.

Immunocytochemistry/ Immunofluorescence - Anti-YY1 antibody [EPR4652] - Nuclear Loading Control (AB109237)
  • ICC/IF

Lab

Immunocytochemistry/ Immunofluorescence - Anti-YY1 antibody [EPR4652] - Nuclear Loading Control (AB109237)

Immunocytochemistry/Immunofluorescence analysis of HUT-78 cells labelling YY1 with purified ab109237 at 1/50. Cells were fixed with 4% paraformaldehyde and permeabilized with 0.1% Triton X-100. ab150077, an Alexa Fluor® 488-conjugated goat anti-rabbit IgG (1/500) was used as the secondary antibody. DAPI (blue) was used as the nuclear counterstain.

Control : primary antibody (1/50) and secondary antibody, ab150120, an Alexa Fluor® 594-conjugated goat anti-mouse IgG (1/500).

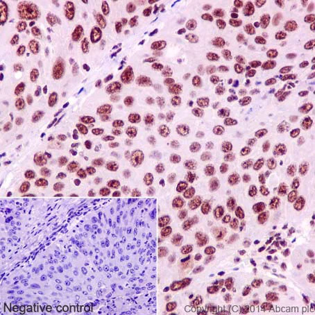
Immunohistochemistry (Formalin/PFA-fixed paraffin-embedded sections) - Anti-YY1 antibody [EPR4652] - Nuclear Loading Control (AB109237)
  • IHC-P

Lab

Immunohistochemistry (Formalin/PFA-fixed paraffin-embedded sections) - Anti-YY1 antibody [EPR4652] - Nuclear Loading Control (AB109237)

Immunohistochemistry (Formalin/PFA-fixed paraffin-embedded sections) analysis of human cervix carcinoma tissue labelling YY1 with purified ab109237 at 1/500. Heat mediated antigen retrieval was performed using Tris/EDTA buffer pH 9. ab97051, a HRP-conjugated goat anti-rabbit IgG (H+L) was used as the secondary antibody (1/500). Negative control using PBS instead of primary antibody. Counterstained with hematoxylin.

Immunocytochemistry/ Immunofluorescence - Anti-YY1 antibody [EPR4652] - Nuclear Loading Control (AB109237)
  • ICC/IF

Unknown

Immunocytochemistry/ Immunofluorescence - Anti-YY1 antibody [EPR4652] - Nuclear Loading Control (AB109237)

Immunocytochemistry/Immunofluorescence analysis of HeLa cells labelling YY1 with unpurified ab109237 at 1/100.

Flow Cytometry (Intracellular) - Anti-YY1 antibody [EPR4652] - Nuclear Loading Control (AB109237)
  • Flow Cyt (Intra)

Lab

Flow Cytometry (Intracellular) - Anti-YY1 antibody [EPR4652] - Nuclear Loading Control (AB109237)

ab109237 staining YY1 in the human cell line HeLa (Human epithelial cell line from cervix adenocarcinoma) by intracellular flow cytometry. Cells were fixed with 4% paraformaldehyde, permiabilised with 90% methanol and the sample was incubated with the primary antibody at a dilution of 1/30. A goat anti rabbit IgG (Alexa Fluor® 488) at a dilution of 1/2000 was used as the secondary antibody.

Isoytype control : Rabbit monoclonal IgG (Black).

Unlabelled control : Cell without incubation with primary antibody and secondary antibody (Blue).

Immunohistochemistry (Formalin/PFA-fixed paraffin-embedded sections) - Anti-YY1 antibody [EPR4652] - Nuclear Loading Control (AB109237)
  • IHC-P

Unknown

Immunohistochemistry (Formalin/PFA-fixed paraffin-embedded sections) - Anti-YY1 antibody [EPR4652] - Nuclear Loading Control (AB109237)

Immunohistochemistry (Formalin/PFA-fixed paraffin-embedded sections) analysis human kidney tissue labelling YY1 with unpurified ab109237 at 1/250.

Perform heat mediated antigen retrieval with citrate buffer pH 6 before commencing with IHC staining protocol.

Western blot - Anti-YY1 antibody [EPR4652] - Nuclear Loading Control (AB109237)
  • WB

Lab

Western blot - Anti-YY1 antibody [EPR4652] - Nuclear Loading Control (AB109237)

Blocking buffer and concentration : 5% NFDM/TBST.

Diluting buffer and concentration : 5% NFDM /TBST.

All lanes:

Western blot - Anti-YY1 antibody [EPR4652] - Nuclear Loading Control (ab109237) at 1/50000 dilution

Lane 1:

Y79 (Human retinoblastoma cell line) cell lysate at 10 µg

Lane 2:

HuT-78 cell lysate at 10 µg

Secondary

All lanes:

Peroxidase-conjugated goat anti-rabbit IgG (H+L) at 1/1000 dilution

Predicted band size: 45 kDa

Observed band size: 68 kDa

false

Western blot - Anti-YY1 antibody [EPR4652] - Nuclear Loading Control (AB109237)
  • WB

Unknown

Western blot - Anti-YY1 antibody [EPR4652] - Nuclear Loading Control (AB109237)

All lanes:

Western blot - Anti-YY1 antibody [EPR4652] - Nuclear Loading Control (ab109237) at 1/1000 dilution

Lane 1:

Daudi (Human Burkitt's lymphoma cell line) cell lysate at 10 µg

Lane 2:

Y79 (Human retinoblastoma cell line) cell lysate at 10 µg

Lane 3:

HuT-78 cell lysate at 10 µg

Predicted band size: 45 kDa

false

Western blot - Anti-YY1 antibody [EPR4652] - Nuclear Loading Control (AB109237)
  • WB

Lab

Western blot - Anti-YY1 antibody [EPR4652] - Nuclear Loading Control (AB109237)

Blocking buffer and concentration : 5% NFDM/TBST.

Diluting buffer and concentration : 5% NFDM /TBST.

All lanes:

Western blot - Anti-YY1 antibody [EPR4652] - Nuclear Loading Control (ab109237) at 1/10000 dilution

Lane 1:

HeLa (Human epithelial cell line from cervix adenocarcinoma) cell lysate at 20 µg

Lane 2:

Daudi (Human Burkitt's lymphoma cell line) cell lysate at 20 µg

Secondary

All lanes:

Peroxidase-conjugated goat anti-rabbit IgG (H+L) at 1/1000 dilution

Predicted band size: 45 kDa

Observed band size: 68 kDa

false

ChIC/CUT&RUN sequencing - Anti-YY1 antibody [EPR4652] - Nuclear Loading Control (AB109237)
  • ChIC/CUT&RUN-seq

Lab

ChIC/CUT&RUN sequencing - Anti-YY1 antibody [EPR4652] - Nuclear Loading Control (AB109237)

ChIC/CUT&RUN was performed using a pAG-MNase at a final concentration of 700 ng/mL, 2.5 x 10^5 K-562 (Human chronic myelogenous leukemia lymphoblast) cells and 5 µg of ab109237 [EPR4652]. The resulting DNA was sequenced on the Illumina NovaSeq 6000 to a depth of 10 million reads. The negative IgG control ab172730 is also shown. The University of Geneva owns patents relevant to ChIC (Chromatin Immuno-Cleavage) methods.

ChIC/CUT&RUN sequencing - Anti-YY1 antibody [EPR4652] - Nuclear Loading Control (AB109237)
  • ChIC/CUT&RUN-seq

Lab

ChIC/CUT&RUN sequencing - Anti-YY1 antibody [EPR4652] - Nuclear Loading Control (AB109237)

ChIC/CUT&RUN was performed using a pAG-MNase at a final concentration of 700 ng/mL, 2.5 x 10^5 K-562 (Human chronic myelogenous leukemia lymphoblast) cells and 5 µg of ab109237 [EPR4652]. The resulting DNA was sequenced on the Illumina NovaSeq 6000 to a depth of 10 million reads. The negative IgG control ab172730 is also shown. The University of Geneva owns patents relevant to ChIC (Chromatin Immuno-Cleavage) methods.

ChIC/CUT&RUN sequencing - Anti-YY1 antibody [EPR4652] - Nuclear Loading Control (AB109237)
  • ChIC/CUT&RUN-seq

Lab

ChIC/CUT&RUN sequencing - Anti-YY1 antibody [EPR4652] - Nuclear Loading Control (AB109237)

ChIC/CUT&RUN was performed using a pAG-MNase at a final concentration of 700 ng/mL, 2.5 x 10^5 K-562 (Human chronic myelogenous leukemia lymphoblast) cells and 5 µg of ab109237 [EPR4652]. The resulting DNA was sequenced on the Illumina NovaSeq 6000 to a depth of 10 million reads. The negative IgG control ab172730 is also shown. The University of Geneva owns patents relevant to ChIC (Chromatin Immuno-Cleavage) methods.

Western blot - Anti-YY1 antibody [EPR4652] - Nuclear Loading Control (AB109237)
  • WB

Lab

Western blot - Anti-YY1 antibody [EPR4652] - Nuclear Loading Control (AB109237)

Blocking buffer and concentration : 5% NFDM/TBST.

Diluting buffer and concentration : 5% NFDM /TBST.

All lanes:

Western blot - Anti-YY1 antibody [EPR4652] - Nuclear Loading Control (ab109237) at 1/2000 dilution

Lane 1:

Mouse heart at 10 µg

Lane 2:

Rat heart at 10 µg

Secondary

All lanes:

Peroxidase-conjugated goat anti-rabbit IgG (H+L) at 1/1000 dilution

Predicted band size: 45 kDa

Observed band size: 68 kDa

false

  • Carrier free

    Anti-YY1 antibody [EPR4652] - BSA and Azide free

  • 519 Alexa Fluor® 488

    Alexa Fluor® 488 Anti-YY1 antibody [EPR4652] - Nuclear Marker

  • Carrier free

    Anti-YY1 antibody [EPR4652] - BSA and Azide free (Detector)

Key facts

Host species

Rabbit

Clonality

Monoclonal

Clone number

EPR4652

Isotype

IgG

Carrier free

No

Reacts with

Mouse, Rat, Human

Applications

ICC/IF, WB, IHC-P, Flow Cyt (Intra), ChIC/CUT&RUN-seq

applications

Immunogen

The exact immunogen used to generate this antibody is proprietary information.

Reactivity data

{ "title": "Reactivity Data", "filters": { "stats": ["", "Species", "Dilution Info", "Notes"], "tabs": { "all-applications": {"fullname" : "All Applications", "shortname": "All Applications"}, "IHCP" : {"fullname" : "Immunohistochemistry (Formalin/PFA-fixed paraffin-embedded sections)", "shortname":"IHC-P"}, "IP" : {"fullname" : "Immunoprecipitation", "shortname":"IP"}, "ChIP" : {"fullname" : "ChIP", "shortname":"ChIP"}, "WB" : {"fullname" : "Western blot", "shortname":"WB"}, "ICCIF" : {"fullname" : "Immunocytochemistry/ Immunofluorescence", "shortname":"ICC/IF"}, "FlowCytIntra" : {"fullname" : "Flow Cytometry (Intracellular)", "shortname":"Flow Cyt (Intra)"}, "ChICCUTRUNseq" : {"fullname" : "ChIC/CUT&RUN sequencing", "shortname":"ChIC/CUT&RUN-seq"} }, "product-promise": { "all": "all", "testedAndGuaranteed": "tested", "guaranteed": "expected", "predicted": "predicted", "notRecommended": "not-recommended" } }, "values": { "Human": { "IHCP-species-checked": "testedAndGuaranteed", "IHCP-species-dilution-info": "1/100", "IHCP-species-notes": "<p><strong>For unpurified use at 1/250 - 1/500.</strong></p> Perform heat-mediated antigen retrieval with citrate buffer pH 6 before commencing with IHC staining protocol.", "IP-species-checked": "notRecommended", "IP-species-dilution-info": "1/30", "IP-species-notes": "<p></p>", "ChIP-species-checked": "notRecommended", "ChIP-species-dilution-info": "", "ChIP-species-notes": "<p></p>", "WB-species-checked": "testedAndGuaranteed", "WB-species-dilution-info": "1/2000 - 1/10000", "WB-species-notes": "<p></p>", "ICCIF-species-checked": "testedAndGuaranteed", "ICCIF-species-dilution-info": "1/50", "ICCIF-species-notes": "<p><strong>For unpurified use at 1/100 - 1/250.</strong></p>", "FlowCytIntra-species-checked": "testedAndGuaranteed", "FlowCytIntra-species-dilution-info": "", "FlowCytIntra-species-notes": "<p></p>", "ChICCUTRUNseq-species-checked": "testedAndGuaranteed", "ChICCUTRUNseq-species-dilution-info": "", "ChICCUTRUNseq-species-notes": "<p></p>" }, "Mouse": { "IHCP-species-checked": "guaranteed", "IHCP-species-dilution-info": "", "IHCP-species-notes": "", "IP-species-checked": "notRecommended", "IP-species-dilution-info": "", "IP-species-notes": "", "ChIP-species-checked": "notRecommended", "ChIP-species-dilution-info": "", "ChIP-species-notes": "<p></p>", "WB-species-checked": "testedAndGuaranteed", "WB-species-dilution-info": "1/2000 - 1/10000", "WB-species-notes": "<p></p>", "ICCIF-species-checked": "guaranteed", "ICCIF-species-dilution-info": "", "ICCIF-species-notes": "", "FlowCytIntra-species-checked": "guaranteed", "FlowCytIntra-species-dilution-info": "", "FlowCytIntra-species-notes": "", "ChICCUTRUNseq-species-checked": "guaranteed", "ChICCUTRUNseq-species-dilution-info": "", "ChICCUTRUNseq-species-notes": "" }, "Rat": { "IHCP-species-checked": "guaranteed", "IHCP-species-dilution-info": "", "IHCP-species-notes": "", "IP-species-checked": "notRecommended", "IP-species-dilution-info": "", "IP-species-notes": "", "ChIP-species-checked": "notRecommended", "ChIP-species-dilution-info": "", "ChIP-species-notes": "<p></p>", "WB-species-checked": "testedAndGuaranteed", "WB-species-dilution-info": "1/2000 - 1/10000", "WB-species-notes": "<p></p>", "ICCIF-species-checked": "guaranteed", "ICCIF-species-dilution-info": "", "ICCIF-species-notes": "", "FlowCytIntra-species-checked": "guaranteed", "FlowCytIntra-species-dilution-info": "", "FlowCytIntra-species-notes": "", "ChICCUTRUNseq-species-checked": "guaranteed", "ChICCUTRUNseq-species-dilution-info": "", "ChICCUTRUNseq-species-notes": "" } } }

Product details

What is this antibody validated in?
Anti-YY1 antibody [EPR4652] - Nuclear Loading Control (ab109237) is a rabbit recombinant monoclonal antibody and is validated for use in Western Blot (WB), Flow Cytometry (Intra), Flow Cytometry (Flow Cyt), Immunohistochemistry (IHC-P), Immunocytochemistry/immunofluorescence (ICC/IF) in Human, Mouse, Rat samples.

What is the molecular weight of YY1?
Anti-YY1 [EPR4652] - Nuclear Loading Control (ab109237) is often used as a loading control in Western blot. It specifically detects a band for YY1 (UniProt: P25490) at a molecular weight of 45kDa.

Trusted by the scientific community
Anti-YY1 [EPR4652] - Nuclear Loading Control (ab109237) was first used in a scientific publication in 2011 and has been cited over 50 times in peer-reviewed journals.

Reviewed by scientists
Anti-YY1 [EPR4652] - Nuclear Loading Control (ab109237) has over 10 independent reviews from customers.

Trial sizes available!
Test your antibody or perform pre-screening before committing to a larger quantity. Sold in 10µl. Discover our selection of trial-size antibodies.

Other related products
We have a range of other formats of antibody clone [EPR4652] also available for your convenience: ab109237, Alexa Fluor® 488 - ab199814, Carrier free - ab232573, Carrier free - ab281076

Patented technology
Our RabMAb® technology is a patented hybridoma-based technology for making rabbit monoclonal antibodies. For details on our patents, please refer to RabMAb® patents.

What are the advantages of a recombinant monoclonal antibody?
This product is a recombinant monoclonal antibody, which offers several advantages including:

  • - High batch-to-batch consistency and reproducibility
  • - Improved sensitivity and specificity
  • - Long-term security of supply
  • - Animal-free batch production

For more information, read more on recombinant antibodies.

Properties and storage information

Form
Liquid
Purification technique
Affinity purification Protein A
Storage buffer
pH: 7.2 - 7.4 Preservative: 0.01% Sodium azide Constituents: PBS, 40% Glycerol (glycerin, glycerine), 0.05% BSA
Shipped at conditions
Blue Ice
Appropriate short-term storage duration
1-2 weeks
Appropriate short-term storage conditions
+4°C
Appropriate long-term storage conditions
-20°C
Aliquoting information
Upon delivery aliquot
Storage information
Stable for 12 months at -20°C

Supplementary information

This supplementary information is collated from multiple sources and compiled automatically.

YY1 also known as Yin Yang 1 is a transcription factor that regulates gene expression by binding to specific DNA sequences. It is a protein with a molecular mass of approximately 68 kDa and is ubiquitously expressed in many tissues including liver lung and kidney. Functionally YY1 can both activate and repress transcription making it versatile in regulating gene activity. It interacts with several co-factors and other proteins influencing chromatin structure and gene expression.
Biological function summary

Yin Yang 1 plays an important role in various cellular processes such as cell proliferation differentiation and apoptosis. It is part of a chromatin remodeling complex where it assists in modifying the architecture of chromatin to control gene activity. Due to its ability to bind to diverse DNA motifs YY1 is involved in embryonic development and cellular differentiation. Additionally it interacts with other transcription factors to coordinate the expression of genes critical for cell cycle progression and survival.

Pathways

The Yin Yang 1 transcription factor is integrally involved in several key signaling pathways. It plays a notable role in the Wnt signaling pathway which is vital for controlling cell growth and differentiation. YY1 interacts with proteins such as Β-catenin an important player in the Wnt pathway to mediate its transcriptional effects. Furthermore it also functions within the mTOR signaling pathway associating with proteins like mTOR itself to impact cell metabolism and growth.

Alterations in the expression or function of YY1 have been implicated in several conditions. Dysregulation of YY1 has strong associations with cancer as its interactions with proteins like MYC can lead to abnormal cell proliferation and tumor development. Additionally its role in neuronal differentiation links it with neurological disorders such as Alzheimer's disease. In these contexts YY1's interaction with other transcription factors and regulatory proteins influences disease progression and severity.

Product protocols

For this product, it's our understanding that no specific protocols are required. You can visit:

Target data

Multifunctional transcription factor that exhibits positive and negative control on a large number of cellular and viral genes by binding to sites overlapping the transcription start site (PubMed : 15329343, PubMed : 17721549, PubMed : 24326773, PubMed : 25787250). Binds to the consensus sequence 5'-CCGCCATNTT-3'; some genes have been shown to contain a longer binding motif allowing enhanced binding; the initial CG dinucleotide can be methylated greatly reducing the binding affinity (PubMed : 15329343, PubMed : 17721549, PubMed : 24326773, PubMed : 25787250). The effect on transcription regulation is depending upon the context in which it binds and diverse mechanisms of action include direct activation or repression, indirect activation or repression via cofactor recruitment, or activation or repression by disruption of binding sites or conformational DNA changes (PubMed : 15329343, PubMed : 17721549, PubMed : 24326773, PubMed : 25787250). Its activity is regulated by transcription factors and cytoplasmic proteins that have been shown to abrogate or completely inhibit YY1-mediated activation or repression (PubMed : 15329343, PubMed : 17721549, PubMed : 24326773, PubMed : 25787250). For example, it acts as a repressor in absence of adenovirus E1A protein but as an activator in its presence (PubMed : 1655281). Acts synergistically with the SMAD1 and SMAD4 in bone morphogenetic protein (BMP)-mediated cardiac-specific gene expression (PubMed : 15329343). Binds to SMAD binding elements (SBEs) (5'-GTCT/AGAC-3') within BMP response element (BMPRE) of cardiac activating regions (PubMed : 15329343). May play an important role in development and differentiation. Proposed to recruit the PRC2/EED-EZH2 complex to target genes that are transcriptional repressed (PubMed : 11158321). Involved in DNA repair (PubMed : 18026119, PubMed : 28575647). In vitro, binds to DNA recombination intermediate structures (Holliday junctions). Plays a role in regulating enhancer activation (PubMed : 28575647). Recruits the PR-DUB complex to specific gene-regulatory regions (PubMed : 20805357).. Proposed core component of the chromatin remodeling INO80 complex which is involved in transcriptional regulation, DNA replication and probably DNA repair; proposed to target the INO80 complex to YY1-responsive elements.
See full target information YY1

Publications (76)

Recent publications for all applications. Explore the full list and refine your search

JCI insight 10: PubMed41059571

2025

AI662270/GRP94 axis couples the unfolded protein response to mitochondrial dynamics during acute myocardial infarction.

Applications

Unspecified application

Species

Unspecified reactive species

Suling Ding,Wen Liu,Zhiwei Zhang,Xiyang Yang,Dili Sun,Jianfu Zhu,Xiaowei Zhu,Shijun Wang,Mengshi Xie,Hongyu Shi,Junbo Ge,Xiangdong Yang

The Journal of clinical investigation 135: PubMed40762953

2025

Chromatin factor YY1 controls fetal hematopoietic stem cell migration and engraftment in mice.

Applications

Unspecified application

Species

Unspecified reactive species

Sahitya Saka,Zhanping Lu,Yinghua Wang,Peng Liu,Deependra K Singh,Junki P Lee,Carmen G Palii,Tyler R Alvarez,Anna Lfv Assumpção,Xiaona You,Jing Zhang,Marjorie Brand,Michael L Atchison,Xuan Pan

Nature communications 16:6261 PubMed40623999

2025

YY1 enhances HIF-1α stability in tumor-associated macrophages to suppress anti-tumor immunity of prostate cancer in mice.

Applications

Unspecified application

Species

Unspecified reactive species

Wenchao Li,SaiSai Chen,Jian Lu,Weipu Mao,Shiya Zheng,Minhao Zhang,Tiange Wu,Yurui Chen,Kai Lu,Chunyan Chu,Chuanjun Shu,Yue Hou,Xue Yang,Naipeng Shi,Zhijun Chen,Lihua Zhang,Lei Zhang,Rong Na,Ming Chen,Shenghong Ju,Dingxiao Zhang,Yi Ma,Bin Xu

Nature communications 16:3307 PubMed40204699

2025

Mutant huntingtin induces neuronal apoptosis via derepressing the non-canonical poly(A) polymerase PAPD5.

Applications

Unspecified application

Species

Unspecified reactive species

Zhefan Stephen Chen,Shaohong Isaac Peng,Lok I Leong,Terence Gall-Duncan,Nathan Siu Jun Wong,Tsz Ho Li,Xiao Lin,Yuming Wei,Alex Chun Koon,Junzhe Huang,Jacquelyne Ka-Li Sun,Clinton Turner,Lynette Tippett,Maurice A Curtis,Richard L M Faull,Kin Ming Kwan,Hei-Man Chow,Ho Ko,Ting-Fung Chan,Kevin Talbot,Christopher E Pearson,Ho Yin Edwin Chan

Clinical and experimental medicine 25:99 PubMed40156642

2025

YY1-induced transcription of AKR1C3 activates the Hedgehog signalling pathway to enhance lenalidomide resistance and glycolytic activity in multiple myeloma cells.

Applications

Unspecified application

Species

Unspecified reactive species

Yang Chen,Aijia Zhang,Yuan Wang,Daoda Qi,Chengyi Peng,Zihao Liang,Jingjing Guo,Yan Gu

Cell death & disease 16:144 PubMed40021626

2025

Lactylation-driven transcriptional activation of FBXO33 promotes gallbladder cancer metastasis by regulating p53 polyubiquitination.

Applications

Unspecified application

Species

Unspecified reactive species

Zhenheng Wu,You Peng,Wen Chen,Feng Xia,Tieshan Song,Qiming Ke

Nature communications 16:1324 PubMed39900599

2025

Skeletal muscle stem cells modulate niche function in Duchenne muscular dystrophy mouse through YY1-CCL5 axis.

Applications

Unspecified application

Species

Unspecified reactive species

Yang Li,Chuhan Li,Qiang Sun,Xingyuan Liu,Fengyuan Chen,Yeelo Cheung,Yu Zhao,Ting Xie,Bénédicte Chazaud,Hao Sun,Huating Wang

EMBO reports 26:810-835 PubMed39747661

2025

Viral oncogene EBNALP regulates YY1 DNA binding and alters host 3D genome organization.

Applications

Unspecified application

Species

Unspecified reactive species

Chong Wang,Merrin Manlong Leong,Weiyue Ding,Yohei Narita,Xiang Liu,Hongbo Wang,Stefanie P T Yiu,Jessica Lee,Katelyn R S Zhao,Amy Cui,Benjamin Gewurz,Wolfgang Hammerschmidt,Mingxiang Teng,Bo Zhao

Blood cancer journal 14:218 PubMed39695118

2024

Single-cell transcriptomic and spatial analysis reveal the immunosuppressive microenvironment in relapsed/refractory angioimmunoblastic T-cell lymphoma.

Applications

Unspecified application

Species

Unspecified reactive species

Mengyan Zhu,Ning Li,Lei Fan,Rongrong Wu,Lei Cao,Yimin Ren,Chuanyang Lu,Lishen Zhang,Yun Cai,Yuzhu Shi,Zihan Lin,Xueying Lu,Jiayan Leng,Shiyang Zhong,Xingfei Hu,Bin Huang,Runheng Huang,Wanting Zhou,Diru Yao,Lingxiang Wu,Wei Wu,Quanzhong Liu,Peng Xia,Ruize Chen,Wenyu Shi,Ruohan Zhang,Sali Lv,Chunling Wang,Liang Yu,Jianyong Li,Qianghu Wang,Kening Li,Hui Jin

Cell death & disease 15:862 PubMed39604408

2024

YY1 downregulation underlies therapeutic response to molecular targeted agents.

Applications

Unspecified application

Species

Unspecified reactive species

Shichao Zhou,Jingyu Zang,Mei-Chun Cai,Kaiyan Ye,Jin Liu,Pengfei Ma,Jie Wu,Chenyang Dai,Haijiao Lu,Qing Zhang,Junhong Jiang,Tianqing Chu,Ying Shen,Li Tan,Guanglei Zhuang,Xiaojing Zhao,Lan Wang,Yu Zhuang,Yujie Fu
View all publications

Product promise

We are committed to supporting your work with high-quality reagents, and we're here for you every step of the way. In the unlikely event that one of our products does not perform as expected, you're protected by our Product Promise.
For full details, please see our Terms & Conditions

Please note: All products are 'FOR RESEARCH USE ONLY. NOT FOR USE IN DIAGNOSTIC OR THERAPEUTIC PROCEDURES'.

For licensing inquiries, please contact partnerships@abcam.com