JavaScript is disabled in your browser. Please enable JavaScript to view this website.
AB245365

Anti-YY1 antibody - Nuclear Loading Control

Be the first to review this product! Submit a review

|

(13 Publications)

Rabbit Polyclonal YY1 antibody. Suitable for IHC-P, IP, WB and reacts with Mouse, Human samples. Cited in 13 publications. Immunogen corresponding to Synthetic Peptide within Human YY1 aa 50-100.

View Alternative Names

INO80S, YY1, Transcriptional repressor protein YY1, Delta transcription factor, INO80 complex subunit S, NF-E1, Yin and yang 1, YY-1

3 Images
Immunohistochemistry (Formalin/PFA-fixed paraffin-embedded sections) - Anti-YY1 antibody - Nuclear Loading Control (AB245365)
  • IHC-P

Supplier Data

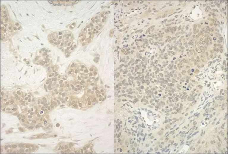
Immunohistochemistry (Formalin/PFA-fixed paraffin-embedded sections) - Anti-YY1 antibody - Nuclear Loading Control (AB245365)

Formalin-fixed, paraffin-embedded human breast carcinoma tissue (left) and mouse teratoma tissue (right) stained for YY1 using ab245365 at 1/200 dilution in immunohistochemical analysis.
Detection : DAB staining.

Immunoprecipitation - Anti-YY1 antibody - Nuclear Loading Control (AB245365)
  • IP

Supplier Data

Immunoprecipitation - Anti-YY1 antibody - Nuclear Loading Control (AB245365)

YY1 was immunoprecipitated from HeLa (human epithelial cell line from cervix adenocarcinoma) whole cell lysate (1 mg for IP, 20% of IP loaded) with ab245365 at 3 μg/mg lysate. Western blot was performed from the immunoprecipitate using ab245365 at 1 μg/ml.

Lane 1 : ab245365 IP in HeLa whole cell lysate.
Lane 2 : Control IgG IP in HeLa whole cell lysate.

Detection : Chemiluminescence with exposure time of 3 seconds.

All lanes:

Immunoprecipitation - Anti-YY1 antibody - Nuclear Loading Control (ab245365)

Predicted band size: 45 kDa

false

Western blot - Anti-YY1 antibody - Nuclear Loading Control (AB245365)
  • WB

Supplier Data

Western blot - Anti-YY1 antibody - Nuclear Loading Control (AB245365)

All lanes:

Western blot - Anti-YY1 antibody - Nuclear Loading Control (ab245365) at 0.04 µg/mL

Lane 1:

HeLa (human epithelial cell line from cervix adenocarcinoma) whole cell lysate at 50 µg

Lane 2:

HeLa whole cell lysate at 15 µg

Lane 3:

HeLa whole cell lysate at 5 µg

Lane 4:

HEK-293T (human epithelial cell line from embryonic kidney transformed with large T antigen) whole cell lysate at 50 µg

Lane 5:

NIH/3T3 (mouse embryo fibroblast cell line) whole cell lysate at 50 µg

Predicted band size: 45 kDa

true

Exposure time: 30s

Key facts

Host species

Rabbit

Clonality

Polyclonal

Isotype

IgG

Carrier free

No

Reacts with

Mouse, Human

Applications

IHC-P, IP, WB

applications

Immunogen

Synthetic Peptide within Human YY1 aa 50-100. The exact immunogen used to generate this antibody is proprietary information.

P25490

Reactivity data

{ "title": "Reactivity Data", "filters": { "stats": ["", "Species", "Dilution Info", "Notes"], "tabs": { "all-applications": {"fullname" : "All Applications", "shortname": "All Applications"}, "IHCP" : {"fullname" : "Immunohistochemistry (Formalin/PFA-fixed paraffin-embedded sections)", "shortname":"IHC-P"}, "IP" : {"fullname" : "Immunoprecipitation", "shortname":"IP"}, "WB" : {"fullname" : "Western blot", "shortname":"WB"} }, "product-promise": { "all": "all", "testedAndGuaranteed": "tested", "guaranteed": "expected", "predicted": "predicted", "notRecommended": "not-recommended" } }, "values": { "Human": { "IHCP-species-checked": "testedAndGuaranteed", "IHCP-species-dilution-info": "1/100 - 1/500", "IHCP-species-notes": "<p></p>", "IP-species-checked": "testedAndGuaranteed", "IP-species-dilution-info": "2-5 µg/mg of lysate", "IP-species-notes": "<p></p>", "WB-species-checked": "testedAndGuaranteed", "WB-species-dilution-info": "1/2000 - 1/10000", "WB-species-notes": "<p></p>" }, "Mouse": { "IHCP-species-checked": "testedAndGuaranteed", "IHCP-species-dilution-info": "1/100 - 1/500", "IHCP-species-notes": "<p></p>", "IP-species-checked": "guaranteed", "IP-species-dilution-info": "", "IP-species-notes": "", "WB-species-checked": "guaranteed", "WB-species-dilution-info": "", "WB-species-notes": "" } } }

Properties and storage information

Form
Liquid
Purification technique
Affinity purification Immunogen
Purification notes
ab245365 was affinity purified using an epitope specific to YY1 immobilized on solid support.
Storage buffer
pH: 6.8 - 7.4 Preservative: 0.09% Sodium azide Constituents: Tris buffered saline, 0.1% BSA
Shipped at conditions
Blue Ice
Appropriate short-term storage duration
1-2 weeks
Appropriate short-term storage conditions
+4°C
Appropriate long-term storage conditions
+4°C
Aliquoting information
Upon delivery aliquot
Storage information
Avoid freeze / thaw cycle

Supplementary information

This supplementary information is collated from multiple sources and compiled automatically.

YY1 also known as Yin Yang 1 is a transcription factor that regulates gene expression by binding to specific DNA sequences. It is a protein with a molecular mass of approximately 68 kDa and is ubiquitously expressed in many tissues including liver lung and kidney. Functionally YY1 can both activate and repress transcription making it versatile in regulating gene activity. It interacts with several co-factors and other proteins influencing chromatin structure and gene expression.
Biological function summary

Yin Yang 1 plays an important role in various cellular processes such as cell proliferation differentiation and apoptosis. It is part of a chromatin remodeling complex where it assists in modifying the architecture of chromatin to control gene activity. Due to its ability to bind to diverse DNA motifs YY1 is involved in embryonic development and cellular differentiation. Additionally it interacts with other transcription factors to coordinate the expression of genes critical for cell cycle progression and survival.

Pathways

The Yin Yang 1 transcription factor is integrally involved in several key signaling pathways. It plays a notable role in the Wnt signaling pathway which is vital for controlling cell growth and differentiation. YY1 interacts with proteins such as β-catenin an important player in the Wnt pathway to mediate its transcriptional effects. Furthermore it also functions within the mTOR signaling pathway associating with proteins like mTOR itself to impact cell metabolism and growth.

Alterations in the expression or function of YY1 have been implicated in several conditions. Dysregulation of YY1 has strong associations with cancer as its interactions with proteins like MYC can lead to abnormal cell proliferation and tumor development. Additionally its role in neuronal differentiation links it with neurological disorders such as Alzheimer's disease. In these contexts YY1's interaction with other transcription factors and regulatory proteins influences disease progression and severity.

Product protocols

For this product, it's our understanding that no specific protocols are required. You can visit:

Target data

Multifunctional transcription factor that exhibits positive and negative control on a large number of cellular and viral genes by binding to sites overlapping the transcription start site (PubMed : 15329343, PubMed : 17721549, PubMed : 24326773, PubMed : 25787250). Binds to the consensus sequence 5'-CCGCCATNTT-3'; some genes have been shown to contain a longer binding motif allowing enhanced binding; the initial CG dinucleotide can be methylated greatly reducing the binding affinity (PubMed : 15329343, PubMed : 17721549, PubMed : 24326773, PubMed : 25787250). The effect on transcription regulation is depending upon the context in which it binds and diverse mechanisms of action include direct activation or repression, indirect activation or repression via cofactor recruitment, or activation or repression by disruption of binding sites or conformational DNA changes (PubMed : 15329343, PubMed : 17721549, PubMed : 24326773, PubMed : 25787250). Its activity is regulated by transcription factors and cytoplasmic proteins that have been shown to abrogate or completely inhibit YY1-mediated activation or repression (PubMed : 15329343, PubMed : 17721549, PubMed : 24326773, PubMed : 25787250). For example, it acts as a repressor in absence of adenovirus E1A protein but as an activator in its presence (PubMed : 1655281). Acts synergistically with the SMAD1 and SMAD4 in bone morphogenetic protein (BMP)-mediated cardiac-specific gene expression (PubMed : 15329343). Binds to SMAD binding elements (SBEs) (5'-GTCT/AGAC-3') within BMP response element (BMPRE) of cardiac activating regions (PubMed : 15329343). May play an important role in development and differentiation. Proposed to recruit the PRC2/EED-EZH2 complex to target genes that are transcriptional repressed (PubMed : 11158321). Involved in DNA repair (PubMed : 18026119, PubMed : 28575647). In vitro, binds to DNA recombination intermediate structures (Holliday junctions). Plays a role in regulating enhancer activation (PubMed : 28575647). Recruits the PR-DUB complex to specific gene-regulatory regions (PubMed : 20805357).. Proposed core component of the chromatin remodeling INO80 complex which is involved in transcriptional regulation, DNA replication and probably DNA repair; proposed to target the INO80 complex to YY1-responsive elements.
See full target information YY1

Publications (13)

Recent publications for all applications. Explore the full list and refine your search

Journal of inflammation (London, England) 22:41 PubMed41057834

2025

Baicalein inhibits mycobacterium tuberculosis-induced macrophage M1 polarization depending on the regulation of YY1/RAB10/TLR4 pathway.

Applications

Unspecified application

Species

Unspecified reactive species

Qing Zhou,Shuanghua Chen,Linfei Shu,Qian Wang,Ting Yuan,Yangjing Ou,Ling Qing,Xiaojin He

Journal of bone oncology 53:100701 PubMed40717796

2025

Yin Yang 1 protein-activated N-acetyltransferase 10 drives cell malignant progression of osteosarcoma through ac4C acetylation of integrin β3.

Applications

Unspecified application

Species

Unspecified reactive species

Fan Yang,Mao Wang

Acta biochimica et biophysica Sinica 57:1391-1405 PubMed40589411

2025

Modulation of ferroptosis via YY1-SLC7A11 axis in hepatic ischemia-reperfusion injury pathogenesis.

Applications

Unspecified application

Species

Unspecified reactive species

Shaochuang Wang,Baofei Jiang,Jun Cao,Ting Xu,Chengming Zhou,Xiangyou Yu,Yi Wang,Yu Xie,Lindong Ji,Guangrong Zhou,Hao Wen,Long Ma,Kun Wu

Frontiers in immunology 16:1597779 PubMed40458393

2025

The novel role of Yin Yang 1 in acute rejection of liver allografts through activation of dendritic cells.

Applications

Unspecified application

Species

Unspecified reactive species

Yi Chen,Jie Wang,Liping Hong,Hongtao Wang,Wubing He,Lihong Chen

Biochemistry and biophysics reports 41:101907 PubMed39830524

2025

Effect of β-catenin on hypoxia induced epithelial mesenchymal transition in HK-2 cells by regulating Brachyury.

Applications

Unspecified application

Species

Unspecified reactive species

Ping Sun,Haihui Yang,Binying Min,Yongfu Li,Jun Wang,Mo Chen,Diping Yu,Wenjuan Sun

Experimental dermatology 33:e70008 PubMed39494931

2024

NEDD4L Inhibits the Proliferation and Migration of Keloid Fibroblasts by Regulating YY1 Ubiquitination-Mediated Glycolytic Metabolic Reprogramming.

Applications

Unspecified application

Species

Unspecified reactive species

Jun Jin,Kai Wang,Chenxi Lu,Chenghao Yao,Feng Xie

Cell death discovery 10:81 PubMed38360723

2024

CD24 induced cellular quiescence-like state and chemoresistance in ovarian cancer cells via miR-130a/301a-dependent CDK19 downregulation.

Applications

Unspecified application

Species

Unspecified reactive species

Yeonsue Jang,Suki Kang,Hyun Ho Han,Baek Gil Kim,Nam Hoon Cho

Pathology international 74:197-209 PubMed38353379

2024

Yin Yang 1 facilitates the activation, inflammation, and extracellular matrix deposition of hepatic stellate cells in hepatic fibrosis.

Applications

Unspecified application

Species

Unspecified reactive species

Xiao Fu,Xin Luo,Ping Xiao,Ninghong Guo

Journal of microbiology and biotechnology 32:1406-1415 PubMed36330745

2022

Silencing YY1 Alleviates Ox-LDL-Induced Inflammation and Lipid Accumulation in Macrophages through Regulation of PCSK9/ LDLR Signaling.

Applications

Unspecified application

Species

Unspecified reactive species

Zhengyao Qian,Jianping Zhao

Frontiers in genetics 13:945414 PubMed36003333

2022

Identification of CXCL10 and CXCL11 as the candidate genes involving the development of colitis-associated colorectal cancer.

Applications

Unspecified application

Species

Unspecified reactive species

Can Lu,Xiaopeng Zhang,Yang Luo,Jingang Huang,Minhao Yu
View all publications

Product promise

We are committed to supporting your work with high-quality reagents, and we're here for you every step of the way. In the unlikely event that one of our products does not perform as expected, you're protected by our Product Promise.
For full details, please see our Terms & Conditions

Please note: All products are 'FOR RESEARCH USE ONLY. NOT FOR USE IN DIAGNOSTIC OR THERAPEUTIC PROCEDURES'.

For licensing inquiries, please contact partnerships@abcam.com