JavaScript is disabled in your browser. Please enable JavaScript to view this website.
AB60970

Anti-ZAP70 (phospho Y315) antibody

4

(1 Review)

|

(1 Publication)

Rabbit Polyclonal ZAP70 phospho Y315 antibody. Suitable for WB, IHC-P and reacts with Human samples. Cited in 1 publication. Immunogen corresponding to Synthetic Peptide within Human ZAP70 phospho Y315.

View Alternative Names

SRK, ZAP70, Tyrosine-protein kinase ZAP-70, 70 kDa zeta-chain associated protein, Syk-related tyrosine kinase

2 Images
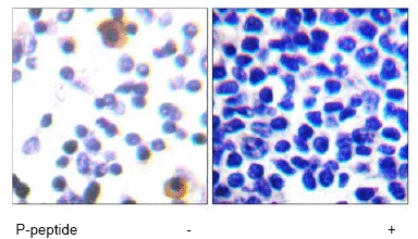
Immunohistochemistry (Formalin/PFA-fixed paraffin-embedded sections) - Anti-ZAP70 (phospho Y315) antibody (AB60970)
  • IHC-P

Unknown

Immunohistochemistry (Formalin/PFA-fixed paraffin-embedded sections) - Anti-ZAP70 (phospho Y315) antibody (AB60970)

ab60970 at 1/50 - 1/100 dilution staining ZAP70 in human lymph node by immunohistochemistry on paraffin-embedded tissue, in the absence or presence of the immunising phosphopeptide.

Western blot - Anti-ZAP70 (phospho Y315) antibody (AB60970)
  • WB

Supplier Data

Western blot - Anti-ZAP70 (phospho Y315) antibody (AB60970)

All lanes:

Western blot - Anti-ZAP70 (phospho Y315) antibody (ab60970) at 500 Cells

Lane 1:

Jurkat (human T cell leukemia cell line from peripheral blood) treated with 40 nM Ca2+, whole cell lysate

Lane 2:

Jurkat incubated with 40 nM Ca2+, whole cell lysate incubated with phospho-peptide

Predicted band size: 69 kDa

false

Key facts

Host species

Rabbit

Clonality

Polyclonal

Isotype

IgG

Carrier free

No

Reacts with

Human

Applications

WB, IHC-P

applications

Immunogen

Synthetic Peptide within Human ZAP70 phospho Y315. The exact immunogen used to generate this antibody is proprietary information.

P43403

Reactivity data

{ "title": "Reactivity Data", "filters": { "stats": ["", "Species", "Dilution Info", "Notes"], "tabs": { "all-applications": {"fullname" : "All Applications", "shortname": "All Applications"}, "WB" : {"fullname" : "Western blot", "shortname":"WB"}, "IHCP" : {"fullname" : "Immunohistochemistry (Formalin/PFA-fixed paraffin-embedded sections)", "shortname":"IHC-P"} }, "product-promise": { "all": "all", "testedAndGuaranteed": "tested", "guaranteed": "expected", "predicted": "predicted", "notRecommended": "not-recommended" } }, "values": { "Human": { "WB-species-checked": "testedAndGuaranteed", "WB-species-dilution-info": "1/500 - 1/1000", "WB-species-notes": "<p></p>", "IHCP-species-checked": "testedAndGuaranteed", "IHCP-species-dilution-info": "1/50 - 1/100", "IHCP-species-notes": "<p></p>" } } }

Properties and storage information

Form
Liquid
Purification technique
Affinity purification Immunogen
Purification notes
Affinity-purified from rabbit antiserum by affinity-chromatography using epitope-specific phosphopeptide. The antibody against non-phosphopeptide was removed by chromatography using non-phosphopeptide corresponding to the phosphorylation site.
Storage buffer
pH: 7.4 Preservative: 0.02% Sodium azide Constituents: PBS, 50% Glycerol (glycerin, glycerine), 0.87% Sodium chloride
Shipped at conditions
Blue Ice
Appropriate short-term storage conditions
+4°C
Appropriate long-term storage conditions
-20°C
Storage information
Stable for 12 months at -20°C

Supplementary information

This supplementary information is collated from multiple sources and compiled automatically.

ZAP70 also known as Zeta-chain-associated protein kinase 70 is a tyrosine kinase that plays an important role in T-cell receptor signaling. The protein has a molecular mass of approximately 70 kDa. ZAP70 is mainly expressed in T cells and natural killer (NK) cells. It gets activated upon T-cell receptor engagement initiating downstream signaling cascades essential for T-cell function and adaptive immune response.
Biological function summary

ZAP70 is instrumental in the signaling cascade that activates T cells in response to antigen recognition. It forms part of a larger signaling complex following the engagement of the T-cell receptor with antigens. This complex transmits critical activation signals leading to further cellular responses such as cytokine production and cell proliferation. ZAP70's function ensures appropriate immune responses and helps maintain immune system balance.

Pathways

ZAP70 plays an integral role in T-cell receptor signaling pathways. This protein interacts with other signaling molecules like Lck and LAT facilitating the transmission of activation signals within the cell. As part of the T-cell activation pathway ZAP70 helps to bridge receptor-ligand interactions with cellular responses enabling the immune cells to combat infections effectively.

ZAP70 mutations or dysregulations can lead to severe immunodeficiencies or autoimmune diseases. For example ZAP70 deficiency results in severe combined immunodeficiency (SCID) which severely impairs immune function. Additionally aberrant ZAP70 activity has links to certain autoimmune disorders like rheumatoid arthritis where it influences abnormal immune signaling. Understanding the biochemical pathways that involve ZAP70 provides insight into managing these diseases and developing therapeutic strategies.

Product protocols

For this product, it's our understanding that no specific protocols are required. You can visit:

Target data

Tyrosine kinase that plays an essential role in regulation of the adaptive immune response. Regulates motility, adhesion and cytokine expression of mature T-cells, as well as thymocyte development. Contributes also to the development and activation of primary B-lymphocytes. When antigen presenting cells (APC) activate T-cell receptor (TCR), a serie of phosphorylations lead to the recruitment of ZAP70 to the doubly phosphorylated TCR component CD247/CD3Z through ITAM motif at the plasma membrane. This recruitment serves to localization to the stimulated TCR and to relieve its autoinhibited conformation. Release of ZAP70 active conformation is further stabilized by phosphorylation mediated by LCK. Subsequently, ZAP70 phosphorylates at least 2 essential adapter proteins : LAT and LCP2. In turn, a large number of signaling molecules are recruited and ultimately lead to lymphokine production, T-cell proliferation and differentiation. Furthermore, ZAP70 controls cytoskeleton modifications, adhesion and mobility of T-lymphocytes, thus ensuring correct delivery of effectors to the APC. ZAP70 is also required for TCR-CD247/CD3Z internalization and degradation through interaction with the E3 ubiquitin-protein ligase CBL and adapter proteins SLA and SLA2. Thus, ZAP70 regulates both T-cell activation switch on and switch off by modulating TCR expression at the T-cell surface. During thymocyte development, ZAP70 promotes survival and cell-cycle progression of developing thymocytes before positive selection (when cells are still CD4/CD8 double negative). Additionally, ZAP70-dependent signaling pathway may also contribute to primary B-cells formation and activation through B-cell receptor (BCR).
See full target information ZAP70 phospho Y315

Publications (1)

Recent publications for all applications. Explore the full list and refine your search

The Journal of comparative neurology 529:853-884 PubMed32656849

2020

Mapping of the excitatory, inhibitory, and modulatory afferent projections to the anatomically defined active expiratory oscillator in adult male rats.

Applications

Unspecified application

Species

Unspecified reactive species

Vivian Biancardi,Jashan Saini,Anileen Pageni,Hema Prashaad M,Gregory D Funk,Silvia Pagliardini
View all publications

Product promise

We are committed to supporting your work with high-quality reagents, and we're here for you every step of the way. In the unlikely event that one of our products does not perform as expected, you're protected by our Product Promise.
For full details, please see our Terms & Conditions

Please note: All products are 'FOR RESEARCH USE ONLY. NOT FOR USE IN DIAGNOSTIC OR THERAPEUTIC PROCEDURES'.

For licensing inquiries, please contact partnerships@abcam.com