JavaScript is disabled in your browser. Please enable JavaScript to view this website.
AB243143

Anti-ZBTB20 antibody [4A3]

Be the first to review this product! Submit a review

|

(3 Publications)

Rat Recombinant Monoclonal ZBTB20 antibody. Suitable for IHC-P and reacts with Mouse, Rat samples. Cited in 3 publications.

View Alternative Names

Zfp288, Zbtb20, Zinc finger and BTB domain-containing protein 20, BTB/POZ domain zinc finger factor HOF, Zinc finger protein 288

4 Images
Immunohistochemistry (Formalin/PFA-fixed paraffin-embedded sections) - Anti-ZBTB20 antibody [4A3] (AB243143)
  • IHC-P

Supplier Data

Immunohistochemistry (Formalin/PFA-fixed paraffin-embedded sections) - Anti-ZBTB20 antibody [4A3] (AB243143)

Immunohistochemical analysis of paraffin-embedded rat hippocampus tissue labeling ZBTB20 with ab243143 at 0.077μg/ml, followed by ready to use Goat Anti-Rat IgG H&L (HRP polymer) (ab214882). Nuclear staining on rat hippocampus (PMID : 11744704). Counterstained with hematoxylin.

Secondary antibody only control : Used PBS instead of primary antibody, followed by ready to use Goat Anti-Rat IgG H&L (HRP polymer) (ab214882). Heat mediated antigen retrieval using ab93684 (Tris/EDTA buffer, pH 9.0).

Immunohistochemistry (Formalin/PFA-fixed paraffin-embedded sections) - Anti-ZBTB20 antibody [4A3] (AB243143)
  • IHC-P

Supplier Data

Immunohistochemistry (Formalin/PFA-fixed paraffin-embedded sections) - Anti-ZBTB20 antibody [4A3] (AB243143)

Immunohistochemical analysis of paraffin-embedded mouse E14.5 cerebrum tissue labeling ZBTB20 with ab243143 at 0.077μg/ml, followed by ready to use Goat Anti-Rat IgG H&L (HRP polymer) (ab214882). Nuclear staining on mouse E14.5 cerebrum(PMID : 20308569). Counterstained with hematoxylin.

Secondary antibody only control : Used PBS instead of primary antibody, followed by ready to use Goat Anti-Rat IgG H&L (HRP polymer) (ab214882). Heat mediated antigen retrieval using ab93684 (Tris/EDTA buffer, pH 9.0).

Immunohistochemistry (Formalin/PFA-fixed paraffin-embedded sections) - Anti-ZBTB20 antibody [4A3] (AB243143)
  • IHC-P

Supplier Data

Immunohistochemistry (Formalin/PFA-fixed paraffin-embedded sections) - Anti-ZBTB20 antibody [4A3] (AB243143)

Immunohistochemical analysis of paraffin-embedded mouse hippocampus tissue labeling ZBTB20 with ab243143 at 0.077μg/ml, followed by ready to use Goat Anti-Rat IgG H&L (HRP polymer) (ab214882). Nuclear staining on mouse hippocampus (PMID : 11744704). Counterstained with hematoxylin.

Secondary antibody only control : Used PBS instead of primary antibody, followed by ready to use Goat Anti-Rat IgG H&L (HRP polymer) (ab214882). Heat mediated antigen retrieval using ab93684 (Tris/EDTA buffer, pH 9.0).

Immunohistochemistry (Formalin/PFA-fixed paraffin-embedded sections) - Anti-ZBTB20 antibody [4A3] (AB243143)
  • IHC-P

Supplier Data

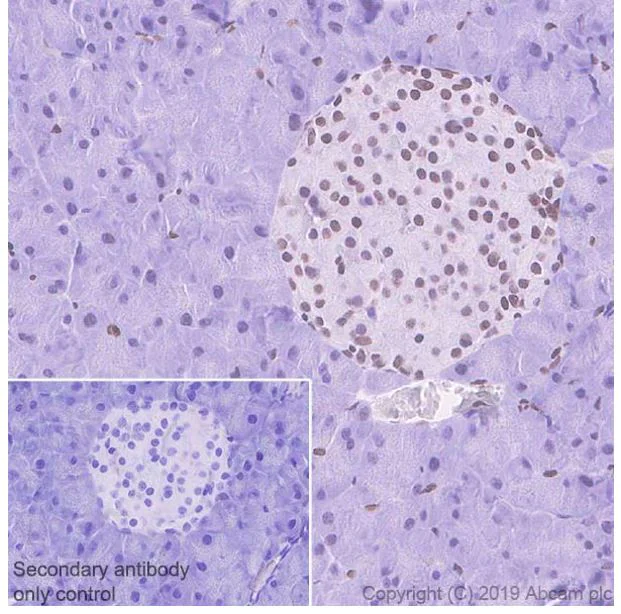
Immunohistochemistry (Formalin/PFA-fixed paraffin-embedded sections) - Anti-ZBTB20 antibody [4A3] (AB243143)

Immunohistochemical analysis of paraffin-embedded mouse pancreas tissue labeling ZBTB20 with ab243143 at 0.077μg/ml, followed by ready to use Goat Anti-Rat IgG H&L (HRP polymer) (ab214882). Nuclear staining on mouse pancreas (PMID : 22374165). Counterstained with hematoxylin.

Secondary antibody only control : Used PBS instead of primary antibody, followed by ready to use Goat Anti-Rat IgG H&L (HRP polymer) (ab214882). Heat mediated antigen retrieval using ab93684 (Tris/EDTA buffer, pH 9.0).

  • Carrier free

    Anti-ZBTB20 antibody [4A3] - BSA and Azide free

Key facts

Host species

Rat

Clonality

Monoclonal

Clone number

4A3

Isotype

IgG2a

Carrier free

No

Reacts with

Mouse, Rat

Applications

IHC-P

applications

Immunogen

The exact immunogen used to generate this antibody is proprietary information.

Reactivity data

{ "title": "Reactivity Data", "filters": { "stats": ["", "Species", "Dilution Info", "Notes"], "tabs": { "all-applications": {"fullname" : "All Applications", "shortname": "All Applications"}, "IHCP" : {"fullname" : "Immunohistochemistry (Formalin/PFA-fixed paraffin-embedded sections)", "shortname":"IHC-P"} }, "product-promise": { "all": "all", "testedAndGuaranteed": "tested", "guaranteed": "expected", "predicted": "predicted", "notRecommended": "not-recommended" } }, "values": { "Mouse": { "IHCP-species-checked": "testedAndGuaranteed", "IHCP-species-dilution-info": "0.077 mg/mL", "IHCP-species-notes": "<p></p>" }, "Rat": { "IHCP-species-checked": "testedAndGuaranteed", "IHCP-species-dilution-info": "0.077 mg/mL", "IHCP-species-notes": "<p></p>" } } }

Product details

What are the advantages of a recombinant monoclonal antibody?
This product is a recombinant monoclonal antibody, which offers several advantages including:

  • - High batch-to-batch consistency and reproducibility
  • - Improved sensitivity and specificity
  • - Long-term security of supply
  • - Animal-free batch production

For more information, read more on recombinant antibodies.

Want a custom formulation?
This antibody clone is manufactured by Abcam. If you require a custom buffer formulation or conjugation for your experiments, please contact orders@abcam.com

Properties and storage information

Form
Liquid
Purification technique
Ion exchange chromatography
Storage buffer
pH: 7.2 - 7.4 Preservative: 0.01% Sodium azide Constituents: PBS, 40% Glycerol (glycerin, glycerine), 0.05% BSA
Shipped at conditions
Blue Ice
Appropriate short-term storage duration
1-2 weeks
Appropriate short-term storage conditions
+4°C
Appropriate long-term storage conditions
-20°C
Aliquoting information
Upon delivery aliquot
Storage information
Avoid freeze / thaw cycle

Supplementary information

This supplementary information is collated from multiple sources and compiled automatically.

ZBTB20 also known as ZFP288 or HOF functions as a transcription factor in the body. This protein has a molecular mass of approximately 79 kDa. It is expressed in several tissues with high levels found in the brain liver and pancreas. The protein contains zinc finger domains which assist in binding to specific DNA sequences regulating gene expression. It plays a role in the development and cellular differentiation by modulating target gene networks.
Biological function summary

ZBTB20 influences various processes integral to cell growth and development. It participates in pathways associated with the regulation of gene expression and acts as a repressor for some genes. ZBTB20 does not primarily form part of a complex but interacts with other transcriptional regulators. The protein modulates hepatocyte proliferation and maintains neuronal function by affecting gene transcription in these regions.

Pathways

Several biological processes depend on effective interaction with ZBTB20. This protein is involved in the insulin signaling pathway which affects glucose metabolism and homeostasis. ZBTB20 interacts with other significant proteins such as PDX1 to maintain pancreatic functions. Additionally it plays a minor role in the JAK-STAT pathway which influences immune response and growth through interaction with STAT proteins.

ZBTB20 exhibits connections to several health conditions specifically metabolic and neurological disorders. For instance mutations or dysregulation of ZBTB20 correlate with diabetes due to its involvement in insulin regulation. Additionally abnormalities in ZBTB20 expression link to intellectual disabilities influencing brain function. The protein interacts with SOX2 a critical regulator of neuronal gene expression contributing to these disorders.

Product protocols

For this product, it's our understanding that no specific protocols are required. You can visit:

Target data

May be a transcription factor that may be involved in hematopoiesis, oncogenesis, and immune responses (By similarity). Plays a role in postnatal myogenesis, may be involved in the regulation of satellite cells self-renewal (PubMed : 27446912).
See full target information Zbtb20

Publications (3)

Recent publications for all applications. Explore the full list and refine your search

Biomolecules 15: PubMed40563424

2025

Caffeic Acid Phenethyl Ester Protects Against Doxorubicin-Induced Cardiotoxicity via Inhibiting the ROS-MLKL-Mediated Cross-Talk Between Oxidative Stress and Necroptosis.

Applications

Unspecified application

Species

Unspecified reactive species

Chenying Jiang,Tinghuang Zhang,Jiawen Gu,Chenjun Shen,Hang Gao,Hai An,Chen Wang,Jiahui Lu,Shengzhang Lin,Huajun Zhao,Zhihui Zhu

Neurogastroenterology and motility 36:e14718 PubMed38009899

2023

ZBTB20 mediates stress-induced visceral hypersensitivity via activating the NF-κB/transient receptor potential channel pathway.

Applications

Unspecified application

Species

Unspecified reactive species

Qing-Qing Luo,Li Cheng,Bo Wang,Xin Chen,Wen-Ting Li,Sheng-Liang Chen

Journal of cellular and molecular medicine : PubMed33063955

2020

Zinc Finger Protein ZBTB20 protects against cardiac remodelling post-myocardial infarction via ROS-TNFα/ASK1/JNK pathway regulation.

Applications

Unspecified application

Species

Unspecified reactive species

Fangfang Li,Yiming Yang,Chuanyou Xue,Mengtong Tan,Lu Xu,Jianbo Gao,Luhong Xu,Jing Zong,Wenhao Qian
View all publications

Product promise

We are committed to supporting your work with high-quality reagents, and we're here for you every step of the way. In the unlikely event that one of our products does not perform as expected, you're protected by our Product Promise.
For full details, please see our Terms & Conditions

Please note: All products are 'FOR RESEARCH USE ONLY. NOT FOR USE IN DIAGNOSTIC OR THERAPEUTIC PROCEDURES'.

For licensing inquiries, please contact partnerships@abcam.com