JavaScript is disabled in your browser. Please enable JavaScript to view this website.
AB252244

Anti-ZBTB20 antibody [4A3] - BSA and Azide free

Be the first to review this product! Submit a review

|

(1 Publication)

Rat Recombinant Monoclonal ZBTB20 antibody. Carrier free. Suitable for IHC-P and reacts with Mouse, Rat samples. Cited in 1 publication.

View Alternative Names

Zfp288, Zbtb20, Zinc finger and BTB domain-containing protein 20, BTB/POZ domain zinc finger factor HOF, Zinc finger protein 288

4 Images
Immunohistochemistry (Formalin/PFA-fixed paraffin-embedded sections) - Anti-ZBTB20 antibody [4A3] - BSA and Azide free (AB252244)
  • IHC-P

Supplier Data

Immunohistochemistry (Formalin/PFA-fixed paraffin-embedded sections) - Anti-ZBTB20 antibody [4A3] - BSA and Azide free (AB252244)

Immunohistochemical analysis of paraffin-embedded rat hippocampus tissue labeling ZBTB20 with ab243143 at 0.077μg/ml, followed by ready to use Goat Anti-Rat IgG H&L (HRP polymer) (ab214882). Nuclear staining on rat hippocampus (PMID : 11744704). Counterstained with hematoxylin.

Secondary antibody only control : Used PBS instead of primary antibody, followed by ready to use Goat Anti-Rat IgG H&L (HRP polymer) (ab214882). Heat mediated antigen retrieval using ab93684 (Tris/EDTA buffer, pH 9.0).

This data was developed using the same antibody clone in a different buffer formulation containing PBS, BSA, glycerol, and sodium azide (ab243143).

Immunohistochemistry (Formalin/PFA-fixed paraffin-embedded sections) - Anti-ZBTB20 antibody [4A3] - BSA and Azide free (AB252244)
  • IHC-P

Supplier Data

Immunohistochemistry (Formalin/PFA-fixed paraffin-embedded sections) - Anti-ZBTB20 antibody [4A3] - BSA and Azide free (AB252244)

Immunohistochemical analysis of paraffin-embedded mouse E14.5 cerebrum tissue labeling ZBTB20 with ab243143 at 0.077μg/ml, followed by ready to use Goat Anti-Rat IgG H&L (HRP polymer) (ab214882). Nuclear staining on mouse E14.5 cerebrum(PMID : 20308569). Counterstained with hematoxylin.

Secondary antibody only control : Used PBS instead of primary antibody, followed by ready to use Goat Anti-Rat IgG H&L (HRP polymer) (ab214882). Heat mediated antigen retrieval using ab93684 (Tris/EDTA buffer, pH 9.0).

This data was developed using the same antibody clone in a different buffer formulation containing PBS, BSA, glycerol, and sodium azide (ab243143).

Immunohistochemistry (Formalin/PFA-fixed paraffin-embedded sections) - Anti-ZBTB20 antibody [4A3] - BSA and Azide free (AB252244)
  • IHC-P

Supplier Data

Immunohistochemistry (Formalin/PFA-fixed paraffin-embedded sections) - Anti-ZBTB20 antibody [4A3] - BSA and Azide free (AB252244)

Immunohistochemical analysis of paraffin-embedded mouse hippocampus tissue labeling ZBTB20 with ab243143 at 0.077μg/ml, followed by ready to use Goat Anti-Rat IgG H&L (HRP polymer) (ab214882). Nuclear staining on mouse hippocampus (PMID : 11744704). Counterstained with hematoxylin.

Secondary antibody only control : Used PBS instead of primary antibody, followed by ready to use Goat Anti-Rat IgG H&L (HRP polymer) (ab214882). Heat mediated antigen retrieval using ab93684 (Tris/EDTA buffer, pH 9.0).

This data was developed using the same antibody clone in a different buffer formulation containing PBS, BSA, glycerol, and sodium azide (ab243143).

Immunohistochemistry (Formalin/PFA-fixed paraffin-embedded sections) - Anti-ZBTB20 antibody [4A3] - BSA and Azide free (AB252244)
  • IHC-P

Supplier Data

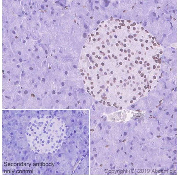
Immunohistochemistry (Formalin/PFA-fixed paraffin-embedded sections) - Anti-ZBTB20 antibody [4A3] - BSA and Azide free (AB252244)

Immunohistochemical analysis of paraffin-embedded mouse pancreas tissue labeling ZBTB20 with ab243143 at 0.077μg/ml, followed by ready to use Goat Anti-Rat IgG H&L (HRP polymer) (ab214882). Nuclear staining on mouse pancreas (PMID : 22374165). Counterstained with hematoxylin.

Secondary antibody only control : Used PBS instead of primary antibody, followed by ready to use Goat Anti-Rat IgG H&L (HRP polymer) (ab214882). Heat mediated antigen retrieval using ab93684 (Tris/EDTA buffer, pH 9.0).

This data was developed using the same antibody clone in a different buffer formulation containing PBS, BSA, glycerol, and sodium azide (ab243143).

Key facts

Host species

Rat

Clonality

Monoclonal

Clone number

4A3

Isotype

IgG2a

Carrier free

Yes

Reacts with

Mouse, Rat

Applications

IHC-P

applications

Immunogen

The exact immunogen used to generate this antibody is proprietary information.

Reactivity data

{ "title": "Reactivity Data", "filters": { "stats": ["", "Species", "Dilution Info", "Notes"], "tabs": { "all-applications": {"fullname" : "All Applications", "shortname": "All Applications"}, "IHCP" : {"fullname" : "Immunohistochemistry (Formalin/PFA-fixed paraffin-embedded sections)", "shortname":"IHC-P"} }, "product-promise": { "all": "all", "testedAndGuaranteed": "tested", "guaranteed": "expected", "predicted": "predicted", "notRecommended": "not-recommended" } }, "values": { "Mouse": { "IHCP-species-checked": "testedAndGuaranteed", "IHCP-species-dilution-info": "0.077 µg/mL", "IHCP-species-notes": "<p></p>" }, "Rat": { "IHCP-species-checked": "testedAndGuaranteed", "IHCP-species-dilution-info": "0.077 µg/mL", "IHCP-species-notes": "<p></p>" } } }

Product details

ab252244 is the carrier-free version of ab243143.

What are the advantages of a recombinant monoclonal antibody?
This product is a recombinant monoclonal antibody, which offers several advantages including:

  • - High batch-to-batch consistency and reproducibility
  • - Improved sensitivity and specificity
  • - Long-term security of supply
  • - Animal-free batch production

For more information, read more on recombinant antibodies.

Want a custom formulation?
This antibody clone is manufactured by Abcam. If you require a custom buffer formulation or conjugation for your experiments, please contact orders@abcam.com

Conjugation ready
Our carrier-free antibodies are typically supplied in a PBS-only formulation, purified and free of BSA, sodium azide and glycerol. This conjugation-ready format is designed for use with fluorochromes, metal isotopes, oligonucleotides, and enzymes, which makes them ideal for antibody labelling, functional and cell-based assays, flow-based assays (e.g. mass cytometry) and Multiplex Imaging applications.

Use our conjugation kits for antibody conjugates that are ready-to-use in as little as 20 minutes with 1 minute hands-on-time and 100% antibody recovery: available for fluorescent dyes, HRP, biotin and gold.

Compatibility
This product is compatible with the Maxpar® Antibody Labeling Kit from Fluidigm, without the need for antibody preparation. Maxpar® is a trademark of Fluidigm Canada Inc.

Properties and storage information

Form
Liquid
Purification technique
Ion exchange chromatography
Storage buffer
pH: 7.2 - 7.4 Constituents: PBS
Shipped at conditions
Blue Ice
Appropriate short-term storage conditions
+4°C
Appropriate long-term storage conditions
+4°C
Storage information
Do Not Freeze

Supplementary information

This supplementary information is collated from multiple sources and compiled automatically.

ZBTB20 also known as ZFP288 or HOF functions as a transcription factor in the body. This protein has a molecular mass of approximately 79 kDa. It is expressed in several tissues with high levels found in the brain liver and pancreas. The protein contains zinc finger domains which assist in binding to specific DNA sequences regulating gene expression. It plays a role in the development and cellular differentiation by modulating target gene networks.
Biological function summary

ZBTB20 influences various processes integral to cell growth and development. It participates in pathways associated with the regulation of gene expression and acts as a repressor for some genes. ZBTB20 does not primarily form part of a complex but interacts with other transcriptional regulators. The protein modulates hepatocyte proliferation and maintains neuronal function by affecting gene transcription in these regions.

Pathways

Several biological processes depend on effective interaction with ZBTB20. This protein is involved in the insulin signaling pathway which affects glucose metabolism and homeostasis. ZBTB20 interacts with other significant proteins such as PDX1 to maintain pancreatic functions. Additionally it plays a minor role in the JAK-STAT pathway which influences immune response and growth through interaction with STAT proteins.

ZBTB20 exhibits connections to several health conditions specifically metabolic and neurological disorders. For instance mutations or dysregulation of ZBTB20 correlate with diabetes due to its involvement in insulin regulation. Additionally abnormalities in ZBTB20 expression link to intellectual disabilities influencing brain function. The protein interacts with SOX2 a critical regulator of neuronal gene expression contributing to these disorders.

Product protocols

For this product, it's our understanding that no specific protocols are required. You can visit:

Target data

May be a transcription factor that may be involved in hematopoiesis, oncogenesis, and immune responses (By similarity). Plays a role in postnatal myogenesis, may be involved in the regulation of satellite cells self-renewal (PubMed : 27446912).
See full target information Zbtb20

Publications (1)

Recent publications for all applications. Explore the full list and refine your search

Cancer biology & therapy 26:2545062 PubMed40789692

2025

SLX1 silencing overcomes Olaparib resistance in metastatic castration-resistant prostate cancer by disrupting SLX4-mediated DNA repair complexes.

Applications

Unspecified application

Species

Unspecified reactive species

Xin Zhao,Shiyun Feng,Xiaoping Nitie,Shibu Muluo,Yi Lei
View all publications

Product promise

We are committed to supporting your work with high-quality reagents, and we're here for you every step of the way. In the unlikely event that one of our products does not perform as expected, you're protected by our Product Promise.
For full details, please see our Terms & Conditions

Please note: All products are 'FOR RESEARCH USE ONLY. NOT FOR USE IN DIAGNOSTIC OR THERAPEUTIC PROCEDURES'.

For licensing inquiries, please contact partnerships@abcam.com