JavaScript is disabled in your browser. Please enable JavaScript to view this website.
AB127702

Anti-ZBTB20 antibody

Be the first to review this product! Submit a review

|

(5 Publications)

Rabbit Polyclonal ZBTB20 antibody. Suitable for WB, IHC-P, ICC/IF and reacts with Mouse, Human, Rat samples. Cited in 5 publications. Immunogen corresponding to Recombinant Fragment Protein within Human ZBTB20 aa 1-300.

View Alternative Names

DPZF, ZNF288, ZBTB20, Zinc finger and BTB domain-containing protein 20, Dendritic-derived BTB/POZ zinc finger protein, Zinc finger protein 288

6 Images
Immunohistochemistry (Formalin/PFA-fixed paraffin-embedded sections) - Anti-ZBTB20 antibody (AB127702)
  • IHC-P

Supplier Data

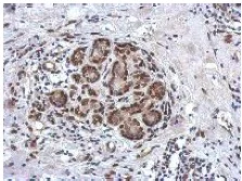
Immunohistochemistry (Formalin/PFA-fixed paraffin-embedded sections) - Anti-ZBTB20 antibody (AB127702)

ab127702, at 1/750 dilution, staining ZBTB20 in paraffin-embedded Human breast carcinoma tissue by Immunohistochemistry.

Immunocytochemistry/ Immunofluorescence - Anti-ZBTB20 antibody (AB127702)
  • ICC/IF

Supplier Data

Immunocytochemistry/ Immunofluorescence - Anti-ZBTB20 antibody (AB127702)

Immunofluorescence analysis of DIV10 rat E18 primary hippocampal neuron cells fixed in 4% paraformaldehyde at RT for 15 min labelling ZBTB20 protein using ab127702 at a 1/500 dilution (Green). Tau, stained by Tau antibody used at a 1/500 dilution (Red). DAPI was used for nuclear staining (Blue).

Immunocytochemistry/ Immunofluorescence - Anti-ZBTB20 antibody (AB127702)
  • ICC/IF

Supplier Data

Immunocytochemistry/ Immunofluorescence - Anti-ZBTB20 antibody (AB127702)

Immunofluorescence analysis of DIV9 rat E18 primary hippocampal neuron cells fixed in 4% paraformaldehyde at RT for 15 min labelling ZBTB20 protein using ab127702 at a 1/500 dilution (Green). beta Tubulin 3/ Tuj1, stained by beta Tubulin 3/ Tuj1 antibody used at a 1/500 dilution (Red). DAPI was used for nuclear staining (Blue).

Immunohistochemistry (Formalin/PFA-fixed paraffin-embedded sections) - Anti-ZBTB20 antibody (AB127702)
  • IHC-P

Supplier Data

Immunohistochemistry (Formalin/PFA-fixed paraffin-embedded sections) - Anti-ZBTB20 antibody (AB127702)

Immunohistochemical analysis of paraffin embedded mouse hippocampus tissue stained for ZBTB20 protein at nucleus with ab127702 at a 1/1000 dilution.

Antigen retrieval : Citrate buffer, pH 6.0, 15 min

Western blot - Anti-ZBTB20 antibody (AB127702)
  • WB

Supplier Data

Western blot - Anti-ZBTB20 antibody (AB127702)

Samples were separated by 7.5% SDS-PAGE.

All lanes:

Western blot - Anti-ZBTB20 antibody (ab127702) at 1/1000 dilution

Lane 1:

293T whole cell lysates at 30 µg

Lane 2:

293T nuclear extracts at 30 µg

Secondary

All lanes:

HRP conjugated anti rabbit IgG antibody

Predicted band size: 81 kDa

false

Western blot - Anti-ZBTB20 antibody (AB127702)
  • WB

Supplier Data

Western blot - Anti-ZBTB20 antibody (AB127702)

Samples were separated by 1 7.5% SDS-PAGE.

All lanes:

Western blot - Anti-ZBTB20 antibody (ab127702) at 1/1000 dilution

Lane 1:

NIH3T3 whole cell lysates at 30 µg

Lane 2:

JC whole cell lysates at 30 µg

Lane 3:

BCL 1 whole cell lysate at 30 µg

Secondary

All lanes:

HRP conjugated anti rabbit IgG antibody

Predicted band size: 81 kDa

false

Key facts

Host species

Rabbit

Clonality

Polyclonal

Isotype

IgG

Carrier free

No

Reacts with

Human, Mouse, Rat

Applications

ICC/IF, IHC-P, WB

applications

Immunogen

Recombinant Fragment Protein within Human ZBTB20 aa 1-300. The exact immunogen used to generate this antibody is proprietary information.

Q9HC78

Reactivity data

{ "title": "Reactivity Data", "filters": { "stats": ["", "Species", "Dilution Info", "Notes"], "tabs": { "all-applications": {"fullname" : "All Applications", "shortname": "All Applications"}, "WB" : {"fullname" : "Western blot", "shortname":"WB"}, "IHCP" : {"fullname" : "Immunohistochemistry (Formalin/PFA-fixed paraffin-embedded sections)", "shortname":"IHC-P"}, "ICCIF" : {"fullname" : "Immunocytochemistry/ Immunofluorescence", "shortname":"ICC/IF"} }, "product-promise": { "all": "all", "testedAndGuaranteed": "tested", "guaranteed": "expected", "predicted": "predicted", "notRecommended": "not-recommended" } }, "values": { "Human": { "WB-species-checked": "testedAndGuaranteed", "WB-species-dilution-info": "1/500 - 1/3000", "WB-species-notes": "<p></p>", "IHCP-species-checked": "testedAndGuaranteed", "IHCP-species-dilution-info": "1/100 - 1/1000", "IHCP-species-notes": "<p></p>", "ICCIF-species-checked": "guaranteed", "ICCIF-species-dilution-info": "", "ICCIF-species-notes": "" }, "Mouse": { "WB-species-checked": "testedAndGuaranteed", "WB-species-dilution-info": "1/500 - 1/3000", "WB-species-notes": "<p></p>", "IHCP-species-checked": "testedAndGuaranteed", "IHCP-species-dilution-info": "1/100 - 1/1000", "IHCP-species-notes": "<p></p>", "ICCIF-species-checked": "guaranteed", "ICCIF-species-dilution-info": "", "ICCIF-species-notes": "" }, "Rat": { "WB-species-checked": "guaranteed", "WB-species-dilution-info": "", "WB-species-notes": "", "IHCP-species-checked": "guaranteed", "IHCP-species-dilution-info": "", "IHCP-species-notes": "", "ICCIF-species-checked": "testedAndGuaranteed", "ICCIF-species-dilution-info": "1/100 - 1/1000", "ICCIF-species-notes": "<p></p>" } } }

Properties and storage information

Form
Liquid
Purification technique
Affinity purification Immunogen
Storage buffer
pH: 7 Preservative: 0.025% Proclin 300 Constituents: PBS, 20% Glycerol (glycerin, glycerine), 1% BSA
Shipped at conditions
Blue Ice
Appropriate short-term storage conditions
+4°C
Appropriate long-term storage conditions
-20°C
Aliquoting information
Upon delivery aliquot
Storage information
Avoid freeze / thaw cycle

Supplementary information

This supplementary information is collated from multiple sources and compiled automatically.

ZBTB20 also known as ZFP288 or HOF functions as a transcription factor in the body. This protein has a molecular mass of approximately 79 kDa. It is expressed in several tissues with high levels found in the brain liver and pancreas. The protein contains zinc finger domains which assist in binding to specific DNA sequences regulating gene expression. It plays a role in the development and cellular differentiation by modulating target gene networks.
Biological function summary

ZBTB20 influences various processes integral to cell growth and development. It participates in pathways associated with the regulation of gene expression and acts as a repressor for some genes. ZBTB20 does not primarily form part of a complex but interacts with other transcriptional regulators. The protein modulates hepatocyte proliferation and maintains neuronal function by affecting gene transcription in these regions.

Pathways

Several biological processes depend on effective interaction with ZBTB20. This protein is involved in the insulin signaling pathway which affects glucose metabolism and homeostasis. ZBTB20 interacts with other significant proteins such as PDX1 to maintain pancreatic functions. Additionally it plays a minor role in the JAK-STAT pathway which influences immune response and growth through interaction with STAT proteins.

ZBTB20 exhibits connections to several health conditions specifically metabolic and neurological disorders. For instance mutations or dysregulation of ZBTB20 correlate with diabetes due to its involvement in insulin regulation. Additionally abnormalities in ZBTB20 expression link to intellectual disabilities influencing brain function. The protein interacts with SOX2 a critical regulator of neuronal gene expression contributing to these disorders.

Product protocols

For this product, it's our understanding that no specific protocols are required. You can visit:

Target data

May be a transcription factor that may be involved in hematopoiesis, oncogenesis, and immune responses (PubMed : 11352661). Plays a role in postnatal myogenesis, may be involved in the regulation of satellite cells self-renewal (By similarity).
See full target information ZBTB20

Publications (5)

Recent publications for all applications. Explore the full list and refine your search

Acta biochimica et biophysica Sinica 57:1106-1114 PubMed40109092

2025

METTL3-mediated m A modification of pri-miRNA-31 promotes hypertrophic scar progression.

Applications

Unspecified application

Species

Unspecified reactive species

Qirui Wang,Jialin Hou,Siyi Zeng,Xue Wang,Yimin Liang,Renpeng Zhou

Oncology letters 28:358 PubMed38881713

2024

ZBTB20 suppresses tumor growth in glioblastoma through activating the TET1/FAS/caspase‑3 pathway.

Applications

Unspecified application

Species

Unspecified reactive species

Ping Duan,Bo Li,Yifan Zhou,Huanhuan Cao,Shiyue Chen,Ying Xing

Histology and histopathology 37:137-149 PubMed34825699

2021

Circ-SFMBT2 facilitates the malignant growth of acute myeloid leukemia cells by modulating miR-582-3p/ZBTB20 pathway.

Applications

Unspecified application

Species

Unspecified reactive species

Wei Chang,Zhen Shang,Xi Ming,Jiaying Wu,Yi Xiao

Artificial cells, nanomedicine, and biotechnology 47:3862-3872 PubMed31556767

2019

ZBTB20 promotes cell migration and invasion of gastric cancer by inhibiting IκBα to induce NF-κB activation.

Applications

Unspecified application

Species

Unspecified reactive species

Yangmei Zhang,Xichang Zhou,ManMan Zhang,Long Cheng,Youwei Zhang,Xiang Wang

Oncotarget 7:14336-49 PubMed26893361

2016

Zinc finger protein ZBTB20 is an independent prognostic marker and promotes tumor growth of human hepatocellular carcinoma by repressing FoxO1.

Applications

IHC

Species

Unspecified reactive species

Heping Kan,Yuqi Huang,Xianghong Li,Dingli Liu,Jianjia Chen,Miaojiang Shu
View all publications

Product promise

We are committed to supporting your work with high-quality reagents, and we're here for you every step of the way. In the unlikely event that one of our products does not perform as expected, you're protected by our Product Promise.
For full details, please see our Terms & Conditions

Please note: All products are 'FOR RESEARCH USE ONLY. NOT FOR USE IN DIAGNOSTIC OR THERAPEUTIC PROCEDURES'.

For licensing inquiries, please contact partnerships@abcam.com