JavaScript is disabled in your browser. Please enable JavaScript to view this website.
AB225935

Anti-ZBTB48 antibody - N-terminal

Be the first to review this product! Submit a review

|

(2 Publications)

Rabbit Polyclonal ZBTB48 antibody. N-terminal. Suitable for WB, IHC-P and reacts with Human, Mouse samples. Cited in 2 publications. Immunogen corresponding to Recombinant Fragment Protein within Human ZBTB48 aa 1-300.

View Alternative Names

HKR3, TZAP, ZNF855, ZBTB48, Telomere zinc finger-associated protein, Krueppel-related zinc finger protein 3, Zinc finger and BTB domain-containing protein 48, Zinc finger protein 855, hKR3

3 Images
Immunohistochemistry (Formalin/PFA-fixed paraffin-embedded sections) - Anti-ZBTB48 antibody - N-terminal (AB225935)
  • IHC-P

Supplier Data

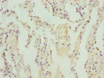
Immunohistochemistry (Formalin/PFA-fixed paraffin-embedded sections) - Anti-ZBTB48 antibody - N-terminal (AB225935)

Paraffin-embedded human lung tissue stained for ZBTB48 using ab225935 at 1/100 dilution in immunohistochemical analysis.

Immunohistochemistry (Formalin/PFA-fixed paraffin-embedded sections) - Anti-ZBTB48 antibody - N-terminal (AB225935)
  • IHC-P

Supplier Data

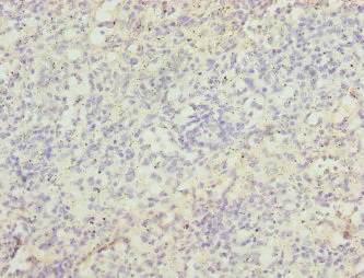
Immunohistochemistry (Formalin/PFA-fixed paraffin-embedded sections) - Anti-ZBTB48 antibody - N-terminal (AB225935)

Paraffin-embedded human spleen tissue stained for ZBTB48 using ab225935 at 1/100 dilution in immunohistochemical analysis.

Western blot - Anti-ZBTB48 antibody - N-terminal (AB225935)
  • WB

Supplier Data

Western blot - Anti-ZBTB48 antibody - N-terminal (AB225935)

All lanes:

Western blot - Anti-ZBTB48 antibody - N-terminal (ab225935) at 1/1000 dilution

Lane 1:

HEK-293T (human epithelial cell line from embryonic kidney transformed with large T antigen) whole cell lysate

Lane 2:

K562 (human chronic myelogenous leukemia cell line from bone marrow ) whole cell lysate

Lane 3:

HepG2 (human liver hepatocellular carcinoma cell line) whole cell lysate

Lane 4:

U-251 MG (human brain glioma cell line) whole cell lysate

Lane 5:

Mouse liver tissue lysate

Secondary

All lanes:

Goat polyclonal to Rabbit IgG at 1/100000 dilution

Predicted band size: 77 kDa

Observed band size: 77 kDa

true

Key facts

Host species

Rabbit

Clonality

Polyclonal

Isotype

IgG

Carrier free

No

Reacts with

Mouse, Human

Applications

WB, IHC-P

applications

Immunogen

Recombinant Fragment Protein within Human ZBTB48 aa 1-300. The exact immunogen used to generate this antibody is proprietary information.

P10074

Reactivity data

{ "title": "Reactivity Data", "filters": { "stats": ["", "Species", "Dilution Info", "Notes"], "tabs": { "all-applications": {"fullname" : "All Applications", "shortname": "All Applications"}, "WB" : {"fullname" : "Western blot", "shortname":"WB"}, "IHCP" : {"fullname" : "Immunohistochemistry (Formalin/PFA-fixed paraffin-embedded sections)", "shortname":"IHC-P"} }, "product-promise": { "all": "all", "testedAndGuaranteed": "tested", "guaranteed": "expected", "predicted": "predicted", "notRecommended": "not-recommended" } }, "values": { "Human": { "WB-species-checked": "testedAndGuaranteed", "WB-species-dilution-info": "1/1000 - 1/5000", "WB-species-notes": "<p></p>", "IHCP-species-checked": "testedAndGuaranteed", "IHCP-species-dilution-info": "1/20 - 1/200", "IHCP-species-notes": "<p></p>" }, "Mouse": { "WB-species-checked": "testedAndGuaranteed", "WB-species-dilution-info": "1/1000 - 1/5000", "WB-species-notes": "<p></p>", "IHCP-species-checked": "guaranteed", "IHCP-species-dilution-info": "", "IHCP-species-notes": "" }, "Orangutan": { "WB-species-checked": "predicted", "WB-species-dilution-info": "", "WB-species-notes": "", "IHCP-species-checked": "predicted", "IHCP-species-dilution-info": "", "IHCP-species-notes": "" } } }

Properties and storage information

Form
Liquid
Purification technique
Affinity purification Immunogen
Storage buffer
pH: 7.3 Preservative: 0.02% Sodium azide Constituents: PBS, 50% Glycerol (glycerin, glycerine)
Shipped at conditions
Blue Ice
Appropriate short-term storage duration
1-2 weeks
Appropriate short-term storage conditions
+4°C
Appropriate long-term storage conditions
-20°C
Aliquoting information
Upon delivery aliquot
Storage information
Avoid freeze / thaw cycle

Supplementary information

This supplementary information is collated from multiple sources and compiled automatically.

ZBTB48 also known as Telomeric Zinc Finger Associated Protein (TZAP) is a protein with a mass of approximately 56 kDa. It binds to telomeric repeat-binding factor 1 (TRF1) and limits telomere length. ZBTB48 contains zinc finger domains that allow it to interact with specific DNA sequences. It is predominantly expressed in the nucleus of human cells where it influences telomere dynamics.
Biological function summary

ZBTB48 serves as a critical component in regulating telomere length and maintaining genomic stability. As part of the shelterin complex it assists in the protection of chromosome ends. ZBTB48 helps prevent telomere fusion and activates pathways that induce the shortening of excessively long telomeres. This regulation is essential for preventing dysregulation in cell division processes.

Pathways

ZBTB48 plays an important role in telomere maintenance and cellular aging pathways. It interacts with proteins like TRF1 and TRF2 to help manage telomere integrity. In the telomere shortening pathway ZBTB48 identifies and binds to lengthy telomeres promoting their reduction. This activity connects it with the telomerase pathway although it acts in opposition to telomerase by ensuring telomeres do not become too long.

Dysregulation of ZBTB48 activity connects to cancer and aging-related diseases. Abnormal function can lead to inappropriate telomere elongation contributing to tumorigenesis. The protein's interactions with TRF1 and TRF2 are significant in these contexts as disruptions in these interactions can lead to chromosomal instability. Understanding ZBTB48's role may offer insights into therapeutic approaches for cancer treatment and aging disorders.

Product protocols

For this product, it's our understanding that no specific protocols are required. You can visit:

Target data

Telomere-binding protein that acts as a regulator of telomere length (PubMed : 28082411, PubMed : 28500257). Directly binds the telomeric double-stranded 5'-TTAGGG-3' repeat (PubMed : 28082411, PubMed : 28500257). Preferentially binds to telomeres that have a low concentration of shelterin complex and acts as a regulator of telomere length by initiating telomere trimming, a process that prevents the accumulation of aberrantly long telomeres (PubMed : 28082411). Also acts as a transcription regulator that binds to promoter regions (PubMed : 24382891, PubMed : 28500257, PubMed : 7969177). Regulates expression of a small subset of genes, including MTFP1 (PubMed : 28500257). Regulates expression the J and/or S elements in MHC II promoter (PubMed : 7969177). Acts as a negative regulator of cell proliferation by specifically activating expression of ARF, a tumor suppressor isoform of CDKN2A (PubMed : 24382891).
See full target information ZBTB48

Publications (2)

Recent publications for all applications. Explore the full list and refine your search

FASEB bioAdvances 6:53-71 PubMed38344410

2024

Club cell-specific telomere protection protein 1 (TPP1) protects against tobacco smoke-induced lung inflammation, xenobiotic metabolic dysregulation, and injurious responses.

Applications

Unspecified application

Species

Unspecified reactive species

Thivanka Muthumalage,Chiara Goracci,Irfan Rahman

Med (New York, N.Y.) 2:395-410 PubMed33860280

2021

Isotope tracing reveals glycolysis and oxidative metabolism in childhood tumors of multiple histologies.

Applications

Unspecified application

Species

Unspecified reactive species

Kendra Johnston,Panayotis Pachnis,Alpaslan Tasdogan,Brandon Faubert,Lauren G Zacharias,Hieu Sy Vu,Laurie Rodgers-Augustyniak,Allison Johnson,Fang Huang,Sean Ricciardo,Zhiyu Zhao,Thomas P Mathews,Tanya Watt,Patrick Leavey,Ralph J DeBerardinis
View all publications

Product promise

We are committed to supporting your work with high-quality reagents, and we're here for you every step of the way. In the unlikely event that one of our products does not perform as expected, you're protected by our Product Promise.
For full details, please see our Terms & Conditions

Please note: All products are 'FOR RESEARCH USE ONLY. NOT FOR USE IN DIAGNOSTIC OR THERAPEUTIC PROCEDURES'.

For licensing inquiries, please contact partnerships@abcam.com