JavaScript is disabled in your browser. Please enable JavaScript to view this website.
AB100862

Anti-ZC3H12D antibody

Be the first to review this product! Submit a review

|

(2 Publications)

Rabbit Polyclonal ZC3H12D antibody. Suitable for WB, IHC-P and reacts with Human samples. Cited in 2 publications. Immunogen corresponding to Synthetic Peptide within Human ZC3H12D.

View Alternative Names

C6orf95, MCPIP4, TFL, ZC3H12D, Probable ribonuclease ZC3H12D, MCP-induced protein 4, Transformed follicular lymphoma, Zinc finger CCCH domain-containing protein 12D, p34

2 Images
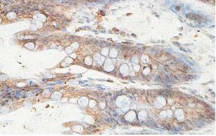
Immunohistochemistry (Formalin/PFA-fixed paraffin-embedded sections) - Anti-ZC3H12D antibody (AB100862)
  • IHC-P

Unknown

Immunohistochemistry (Formalin/PFA-fixed paraffin-embedded sections) - Anti-ZC3H12D antibody (AB100862)

ab100862, at a 1/100 dilution, staining ZC3H12D in formalin-fixed, paraffin-embedded Human fetal small intestine tissue, showing cytoplasmic staining, by Immunohistochemistry.

Western blot - Anti-ZC3H12D antibody (AB100862)
  • WB

Unknown

Western blot - Anti-ZC3H12D antibody (AB100862)

All lanes:

Western blot - Anti-ZC3H12D antibody (ab100862) at 1/500 dilution

Lane 1:

Human fetal small intestine lysate

Lane 2:

Human fetal spleen lysate

Predicted band size: 58 kDa

Observed band size: 57 kDa

false

Key facts

Host species

Rabbit

Clonality

Polyclonal

Isotype

IgG

Carrier free

No

Reacts with

Human

Applications

WB, IHC-P

applications

Immunogen

Synthetic Peptide within Human ZC3H12D. The exact immunogen used to generate this antibody is proprietary information.

A2A288

Reactivity data

{ "title": "Reactivity Data", "filters": { "stats": ["", "Species", "Dilution Info", "Notes"], "tabs": { "all-applications": {"fullname" : "All Applications", "shortname": "All Applications"}, "WB" : {"fullname" : "Western blot", "shortname":"WB"}, "IHCP" : {"fullname" : "Immunohistochemistry (Formalin/PFA-fixed paraffin-embedded sections)", "shortname":"IHC-P"} }, "product-promise": { "all": "all", "testedAndGuaranteed": "tested", "guaranteed": "expected", "predicted": "predicted", "notRecommended": "not-recommended" } }, "values": { "Human": { "WB-species-checked": "testedAndGuaranteed", "WB-species-dilution-info": "1/500 - 1/1000", "WB-species-notes": "<p></p>", "IHCP-species-checked": "testedAndGuaranteed", "IHCP-species-dilution-info": "", "IHCP-species-notes": "<p></p>" } } }

Properties and storage information

Form
Lyophilized
Reconstitution
Reconstitute in 200 µL of water
Purification technique
Affinity purification Immunogen
Storage buffer
pH: 7.2 Preservative: 0.02% Sodium azide Constituents: PBS, 0.5% BSA
Shipped at conditions
Blue Ice
Appropriate short-term storage conditions
+4°C
Appropriate long-term storage conditions
-20°C
Aliquoting information
Upon delivery aliquot
Storage information
Avoid freeze / thaw cycle

Supplementary information

This supplementary information is collated from multiple sources and compiled automatically.

ZC3H12D also known as MCPIP4 is a member of the ZC3H12 family of proteins that have a zinc finger CCCH-type motif. It functions mechanically as a ribonuclease and is involved in degrading mRNA to regulate gene expression. The protein has a molecular mass of approximately 64 kDa and is expressed in various tissues including lymphoid tissues which suggests its role in immune system functioning.
Biological function summary

This protein serves as a regulatory molecule in immune response and inflammation. ZC3H12D interacts with the mRNA and contributes to the reduction of inflammatory cytokines. It is not commonly known to be a part of a multiprotein complex but instead acts as an individual regulatory enzyme in the cells where it is expressed. Its ability to modulate cytokine levels links it directly to maintaining cellular homeostasis during immune responses.

Pathways

ZC3H12D is involved in pathways that handle inflammatory responses and RNA decay. It interacts within the cytokine signaling pathway and the mRNA decay pathway influencing cytokine levels and gene expression. ZC3H12D cooperates with related proteins such as ZC3H12A (also known as MCPIP1) which shares similar functionalities in controlling inflammatory markers and mRNA stability in cellular processes.

Researchers have linked ZC3H12D to autoimmune diseases and certain inflammatory conditions. Its role in controlling cytokine expression associates it with conditions like rheumatoid arthritis where excessive inflammation is an issue. Furthermore studies suggest an association with lupus where it might contribute to dysregulated immune responses. Proteins such as TNF-alpha (tumor necrosis factor-alpha) also connect with ZC3H12D in the context of these diseases indicating its broader role in modulating immune responses.

Product protocols

For this product, it's our understanding that no specific protocols are required. You can visit:

Target data

May regulate cell growth likely by suppressing RB1 phosphorylation (PubMed : 19531561). May function as RNase and regulate the levels of target RNA species (Potential). In association with ZC3H12A enhances the degradation of interleukin IL-6 mRNA level in activated macrophages (PubMed : 26134560). Serve as a tumor suppressor in certain leukemia cells (PubMed : 17210687). Overexpression inhibits the G1 to S phase progression through suppression of RB1 phosphorylation (PubMed : 19531561).
See full target information ZC3H12D

Publications (2)

Recent publications for all applications. Explore the full list and refine your search

Cell biology and toxicology 38:1047-1062 PubMed34545456

2021

Long non-coding RNA FOXP4-AS1 facilitates the biological functions of hepatocellular carcinoma cells via downregulating ZC3H12D by mediating H3K27me3 through recruitment of EZH2.

Applications

Unspecified application

Species

Unspecified reactive species

Junfeng Ye,Yu Fu,Zhongfeng Wang,Jinhai Yu

Cellular signalling 24:569-76 PubMed22036805

2011

The putative tumor suppressor Zc3h12d modulates toll-like receptor signaling in macrophages.

Applications

IHC-P

Species

Mouse

Shengping Huang,Dongfei Qi,Jian Liang,Ruidong Miao,Kentaro Minagawa,Tim Quinn,Toshimitsu Matsui,Daping Fan,Jianguo Liu,Mingui Fu
View all publications

Product promise

We are committed to supporting your work with high-quality reagents, and we're here for you every step of the way. In the unlikely event that one of our products does not perform as expected, you're protected by our Product Promise.
For full details, please see our Terms & Conditions

Please note: All products are 'FOR RESEARCH USE ONLY. NOT FOR USE IN DIAGNOSTIC OR THERAPEUTIC PROCEDURES'.

For licensing inquiries, please contact partnerships@abcam.com