JavaScript is disabled in your browser. Please enable JavaScript to view this website.
AB314639

Anti-ZC3H13 antibody [EPR25077-7] - BSA and Azide free

Be the first to review this product! Submit a review

|

(0 Publication)

Rabbit Recombinant Monoclonal ZC3H13 antibody. Carrier free. Suitable for WB, IHC-P, ICC/IF and reacts with Human samples.

View Alternative Names

KIAA0853, ZC3H13, Zinc finger CCCH domain-containing protein 13

5 Images
Immunohistochemistry (Formalin/PFA-fixed paraffin-embedded sections) - Anti-ZC3H13 antibody [EPR25077-7] - BSA and Azide free (AB314639)
  • IHC-P

Supplier Data

Immunohistochemistry (Formalin/PFA-fixed paraffin-embedded sections) - Anti-ZC3H13 antibody [EPR25077-7] - BSA and Azide free (AB314639)

This data was developed using ab314638, the same antibody clone in a different buffer formulation. Immunohistochemical analysis of paraffin-embedded human gastric adenocarcinoma tissue labeling ZC3H13 with ab314638 at 1/100 (4.99 ug/ml) followed by a ready to use Rabbit specific IHC polymer detection kit HRP/DAB (ab209101). Positive staining on human gastric adenocarcinoma. The section was incubated with ab314638 for 30 mins at room temperature. The immunostaining was performed on a Leica Biosystems BOND® RX instrument. Counterstained with Hematoxylin. Secondary antibody only control : Secondary antibody is a ready to use Rabbit specific IHC polymer detection kit HRP/DAB (ab209101). Heat mediated antigen retrieval was performed with Tris-EDTA buffer (pH 9.0, Epitope Retrieval Solution2) for 20 mins.

Immunohistochemistry (Formalin/PFA-fixed paraffin-embedded sections) - Anti-ZC3H13 antibody [EPR25077-7] - BSA and Azide free (AB314639)
  • IHC-P

Supplier Data

Immunohistochemistry (Formalin/PFA-fixed paraffin-embedded sections) - Anti-ZC3H13 antibody [EPR25077-7] - BSA and Azide free (AB314639)

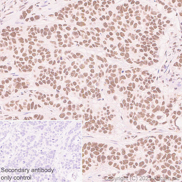
This data was developed using ab314638, the same antibody clone in a different buffer formulation. Immunohistochemical analysis of paraffin-embedded human colon tissue labeling ZC3H13 with ab314638 at 1/100 (4.99 ug/ml) followed by a ready to use rabbit specific IHC polymer detection kit HRP/DAB (ab209101). Positive staining on human colon. The section was incubated with ab314638 for 30 mins at room temperature. The immunostaining was performed on a Leica Biosystems BOND® RX instrument .Counterstained with Hematoxylin. Secondary antibody only control : Secondary antibody is a ready to use Rabbit specific IHC polymer detection kit HRP/DAB (ab209101). Heat mediated antigen retrieval was performed with Tris-EDTA buffer (pH 9.0, Epitope Retrieval Solution2) for 20 mins.

Immunocytochemistry/ Immunofluorescence - Anti-ZC3H13 antibody [EPR25077-7] - BSA and Azide free (AB314639)
  • ICC/IF

Supplier Data

Immunocytochemistry/ Immunofluorescence - Anti-ZC3H13 antibody [EPR25077-7] - BSA and Azide free (AB314639)

This data was developed using ab314638, the same antibody clone in a different buffer formulation. Immunofluorescent analysis of 4% Paraformaldehyde-fixed, 0.1% TritonX-100 permeabilized SW480 (human colorectal adenocarcinoma epithelial cell) cells labelling ZC3H13 with ab314638 at 1/50 (9.98 ug/ml) dilution, followed by ab150081 Goat Anti-Rabbit IgG H&L (Alexa Fluor® 488) preadsorbed antibody at 1/1009 (2ug/ml) dilution (Green). Confocal image showing nuclear staining in SW480 cell line. Image was taken with a confocal microscope(Leica-Microsystems, TCS SP8). ab195889 Anti-alpha Tubulin mouse monoclonal antibody - Microtubule Marker (Alexa Fluor® 594) was used to counterstain tubulin at 1/200 (2.5 ug/ml) dilution (Red). The Nuclear counterstain was DAPI (Blue). Secondary antibody only control : Secondary antibody is ab150081 Goat Anti-Rabbit IgG H&L (Alexa Fluor® 488) preadsorbed at 1/1009 (2ug/ml) dilution.

Western blot - Anti-ZC3H13 antibody [EPR25077-7] - BSA and Azide free (AB314639)
  • WB

Supplier Data

Western blot - Anti-ZC3H13 antibody [EPR25077-7] - BSA and Azide free (AB314639)

This data was developed using ab314638, the same antibody clone in a different buffer formulation. Blocking and diluting buffer and concentration : 5% NFDM/TBST Lysates were freshly made and used for Western blotting immediately to minimize protein degradation.

All lanes:

Western blot - Anti-ZC3H13 antibody [EPR25077-7] (<a href='/en-us/products/primary-antibodies/zc3h13-antibody-epr25077-7-ab314638'>ab314638</a>) at 1/1000 dilution

Lane 1:

HeLa (human cervix adenocarcinoma epithelial cell) whole cell lysate at 20 µg

Lane 2:

293T (human embryonic kidney epithelial cell) whole cell lysate at 20 µg

Secondary

All lanes:

Western blot - Goat Anti-Rabbit IgG H&L (HRP) (<a href='/en-us/products/secondary-antibodies/goat-rabbit-igg-h-l-hrp-ab97051'>ab97051</a>) at 1/20000 dilution

Observed band size: 240 kDa

false

Exposure time: 81s

Western blot - Anti-ZC3H13 antibody [EPR25077-7] - BSA and Azide free (AB314639)
  • WB

Supplier Data

Western blot - Anti-ZC3H13 antibody [EPR25077-7] - BSA and Azide free (AB314639)

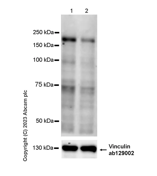
This data was developed using ab314638, the same antibody clone in a different buffer formulation. Blocking and diluting buffer and concentration : 5% NFDM/TBST The bands beneath the target band (240 kDa) are likely to be degraded target fragments. In Western blot, Anti-Vinculin antibody [EPR8185] (ab129002) staining at 1/10000 dilution.

All lanes:

Western blot - Anti-ZC3H13 antibody [EPR25077-7] (<a href='/en-us/products/primary-antibodies/zc3h13-antibody-epr25077-7-ab314638'>ab314638</a>) at 1/1000 dilution

Lane 1:

SW480 (human colorectal adenocarcinoma epithelial cell) transfected with scrambled siRNA control whole cell lysate at 40 µg

Lane 2:

SW480 transfected with siRNA specifically targeting ZC3H13 whole cell lysate at 40 µg

Secondary

All lanes:

Western blot - Goat Anti-Rabbit IgG H&L (HRP) (<a href='/en-us/products/secondary-antibodies/goat-rabbit-igg-h-l-hrp-ab97051'>ab97051</a>) at 1/20000 dilution

Observed band size: 240 kDa

true

Exposure time: 81s

Key facts

Host species

Rabbit

Clonality

Monoclonal

Clone number

EPR25077-7

Isotype

IgG

Carrier free

Yes

Reacts with

Human

Applications

WB, IHC-P, ICC/IF

applications

Immunogen

The exact immunogen used to generate this antibody is proprietary information.

Reactivity data

{ "title": "Reactivity Data", "filters": { "stats": ["", "Species", "Dilution Info", "Notes"], "tabs": { "all-applications": {"fullname" : "All Applications", "shortname": "All Applications"}, "WB" : {"fullname" : "Western blot", "shortname":"WB"}, "IHCP" : {"fullname" : "Immunohistochemistry (Formalin/PFA-fixed paraffin-embedded sections)", "shortname":"IHC-P"}, "ICCIF" : {"fullname" : "Immunocytochemistry/ Immunofluorescence", "shortname":"ICC/IF"}, "FlowCytIntra" : {"fullname" : "Flow Cytometry (Intracellular)", "shortname":"Flow Cyt (Intra)"}, "IP" : {"fullname" : "Immunoprecipitation", "shortname":"IP"} }, "product-promise": { "all": "all", "testedAndGuaranteed": "tested", "guaranteed": "expected", "predicted": "predicted", "notRecommended": "not-recommended" } }, "values": { "Human": { "WB-species-checked": "testedAndGuaranteed", "WB-species-dilution-info": "", "WB-species-notes": "<p></p>", "IHCP-species-checked": "testedAndGuaranteed", "IHCP-species-dilution-info": "", "IHCP-species-notes": "<p></p>", "ICCIF-species-checked": "testedAndGuaranteed", "ICCIF-species-dilution-info": "", "ICCIF-species-notes": "<p></p>", "FlowCytIntra-species-checked": "notRecommended", "FlowCytIntra-species-dilution-info": "", "FlowCytIntra-species-notes": "<p></p>", "IP-species-checked": "notRecommended", "IP-species-dilution-info": "", "IP-species-notes": "<p></p>" }, "Mouse": { "WB-species-checked": "notRecommended", "WB-species-dilution-info": "", "WB-species-notes": "<p></p>", "IHCP-species-checked": "notRecommended", "IHCP-species-dilution-info": "", "IHCP-species-notes": "<p></p>", "ICCIF-species-checked": "notRecommended", "ICCIF-species-dilution-info": "", "ICCIF-species-notes": "<p></p>", "FlowCytIntra-species-checked": "notRecommended", "FlowCytIntra-species-dilution-info": "", "FlowCytIntra-species-notes": "<p></p>", "IP-species-checked": "notRecommended", "IP-species-dilution-info": "", "IP-species-notes": "" }, "Rat": { "WB-species-checked": "notRecommended", "WB-species-dilution-info": "", "WB-species-notes": "<p></p>", "IHCP-species-checked": "notRecommended", "IHCP-species-dilution-info": "", "IHCP-species-notes": "<p></p>", "ICCIF-species-checked": "notRecommended", "ICCIF-species-dilution-info": "", "ICCIF-species-notes": "", "FlowCytIntra-species-checked": "notRecommended", "FlowCytIntra-species-dilution-info": "", "FlowCytIntra-species-notes": "", "IP-species-checked": "notRecommended", "IP-species-dilution-info": "", "IP-species-notes": "" } } }

Product details

ab314639 is the carrier-free version of ab314638.

Patented technology
Our RabMAb® technology is a patented hybridoma-based technology for making rabbit monoclonal antibodies. For details on our patents, please refer to RabMAb® patents.

What are the advantages of a recombinant monoclonal antibody?
This product is a recombinant monoclonal antibody, which offers several advantages including:

  • - High batch-to-batch consistency and reproducibility
  • - Improved sensitivity and specificity
  • - Long-term security of supply
  • - Animal-free batch production

For more information, read more on recombinant antibodies.

Conjugation ready
Our carrier-free antibodies are typically supplied in a PBS-only formulation, purified and free of BSA, sodium azide and glycerol. This conjugation-ready format is designed for use with fluorochromes, metal isotopes, oligonucleotides, and enzymes, which makes them ideal for antibody labelling, functional and cell-based assays, flow-based assays (e.g. mass cytometry) and Multiplex Imaging applications.

Use our conjugation kits for antibody conjugates that are ready-to-use in as little as 20 minutes with 1 minute hands-on-time and 100% antibody recovery: available for fluorescent dyes, HRP, biotin and gold.

Compatibility
This product is compatible with the Maxpar® Antibody Labeling Kit from Fluidigm, without the need for antibody preparation. Maxpar® is a trademark of Fluidigm Canada Inc.

Properties and storage information

Form
Liquid
Purification technique
Affinity purification Protein A
Storage buffer
pH: 7.2 - 7.4 Constituents: PBS
Shipped at conditions
Blue Ice
Appropriate short-term storage conditions
+4°C
Appropriate long-term storage conditions
+4°C

Supplementary information

This supplementary information is collated from multiple sources and compiled automatically.

ZC3H13 also known as zinc finger CCCH-type containing 13 is a protein with mass around 110 kDa. This protein is recognized for its role in post-transcriptional regulation of gene expression by mediating methylation of the N6 position of adenosine residues within RNA molecules. It possesses zinc finger motifs which allow it to bind to RNA and participate in RNA processing. ZC3H13 is expressed in various tissues including the liver lungs and brain indicating its widespread influence in physiological processes.
Biological function summary

ZC3H13 functions as part of the m6A methyltransferase complex where it interacts with other proteins like METTL3 and METTL14. This complex modifies mRNA influencing its stability localization and translation efficiency. Through these actions ZC3H13 plays an important role in regulating RNA metabolism impacting numerous biological activities such as cellular differentiation and response to environmental stress.

Pathways

The function of ZC3H13 integrates into both the mRNA processing and m6A methylation pathways. The protein maintains a strong link with RNA metabolism underpinning cellular processes critical for gene expression. In the pathways it associates with proteins like WTAP and KIAA1429 which coordinate to modulate mRNA methylation levels and stability therefore influencing gene expression patterns and cellular function.

Abnormal function or expression of ZC3H13 is associated with cancer and developmental disorders such as acute myeloid leukemia. ZC3H13's activity is often altered in these conditions contributing to dysregulation of gene expression and uncontrolled cell growth. In cancer its connections with proteins like METTL3 play a role in oncogenic transformation highlighting its potential as a therapeutic target for intervention strategies aiming to modulate mRNA methylation and stabilize normal cellular functions.

Product protocols

For this product, it's our understanding that no specific protocols are required. You can visit:

Target data

Associated component of the WMM complex, a complex that mediates N6-methyladenosine (m6A) methylation of RNAs, a modification that plays a role in the efficiency of mRNA splicing and RNA processing (PubMed : 29507755). Acts as a key regulator of m6A methylation by promoting m6A methylation of mRNAs at the 3'-UTR (By similarity). Controls embryonic stem cells (ESCs) pluripotency via its role in m6A methylation (By similarity). In the WMM complex, anchors component of the MACOM subcomplex in the nucleus (By similarity). Also required for bridging WTAP to the RNA-binding component RBM15 (RBM15 or RBM15B) (By similarity).
See full target information ZC3H13

Product promise

We are committed to supporting your work with high-quality reagents, and we're here for you every step of the way. In the unlikely event that one of our products does not perform as expected, you're protected by our Product Promise.
For full details, please see our Terms & Conditions

Please note: All products are 'FOR RESEARCH USE ONLY. NOT FOR USE IN DIAGNOSTIC OR THERAPEUTIC PROCEDURES'.

For licensing inquiries, please contact partnerships@abcam.com